JavaScript is disabled in your browser. Please enable JavaScript to view this website.
AB171022

Anti-EGFR (phospho Y1068) antibody [Y38] - BSA and Azide free

Be the first to review this product! Submit a review

|

(1 Publication)

Rabbit Recombinant Monoclonal EGFR phospho Y1068 antibody. Carrier free. Suitable for IP, WB, ICC/IF and reacts with Human samples. Cited in 1 publication.

View Alternative Names

ERBB, ERBB1, HER1, EGFR, Epidermal growth factor receptor, Proto-oncogene c-ErbB-1, Receptor tyrosine-protein kinase erbB-1

2 Images
Immunocytochemistry/ Immunofluorescence - Anti-EGFR (phospho Y1068) antibody [Y38] - BSA and Azide free (AB171022)
  • ICC/IF

Unknown

Immunocytochemistry/ Immunofluorescence - Anti-EGFR (phospho Y1068) antibody [Y38] - BSA and Azide free (AB171022)

Immunocytochemistry/Immunofluorescence analysis of untreated, EGF treated and EGF + LP treated A431 cells labelling EGFR (phospho Y1068) with purified ab32430 (left) and EGFR with ab52894 (right) both at a dilution of 1/1000.

Cells were fixed with 4% paraformaldehyde and permeabilized with 0.1% Triton X-100. ab150077, an Alexa Fluor® 488-conjugated goat anti-rabbit IgG (1/1000) was used as the secondary antibody. DAPI (blue) was used as the nuclear counterstain. ab7291, a mouse anti-tubulin (1/1000) and ab150120, an Alexa Fluor® 594-conjugated goat anti-mouse IgG (1/1000) were also used.

The image shows increased membrane staining after EGF (100ng/ml, 30min) treatment on A431 cells. The LP treatment decreased the increased membrane staining caused by EGF.

ab52894 was used as a Pan control for ab32430. The results showed membrane and cytoplasmic staining on untreated, EGF and EGF + LP treated A431 cells.

This data was developed using the same antibody clone in a different buffer formulation containing PBS, BSA, glycerol, and sodium azide (ab32430).

Immunoprecipitation - Anti-EGFR (phospho Y1068) antibody [Y38] - BSA and Azide free (AB171022)
  • IP

Unknown

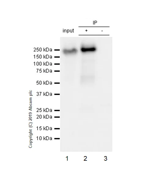
Immunoprecipitation - Anti-EGFR (phospho Y1068) antibody [Y38] - BSA and Azide free (AB171022)

ab32430 (purified) at 1/30 dilution (2ug) immunoprecipitating EGFR in A431 treated with 200 ng/ml EGF for 15 minutes whole cell lysate 10ug . A431 (Human epidermoid carcinoma epithelial cell) treated with 200 ng/ml EGF for 15 minutes whole cell lysate 10ug
Lane 2 (+) : ab32430 & A431 treated with 200 ng/ml EGF for 15 minutes whole cell lysate 10ug
Lane 3 (-) : Rabbit monoclonal IgG (ab172730) instead of ab32430 in A431 treated with 200 ng/ml EGF for 15 minutes whole cell lysate 10ug
For western blotting, VeriBlot for IP secondary antibody (HRP) (ab131366) was used at 1/1000 dilution.
Blocking and diluting buffer : 5% NFDM/TBST.

This data was developed using the same antibody clone in a different buffer formulation containing PBS, BSA, glycerol, and sodium azide (ab32430).

All lanes:

Immunoprecipitation - Anti-EGFR (phospho Y1068) antibody [Y38] (<a href='/en-us/products/primary-antibodies/egfr-phospho-y1068-antibody-y38-ab32430'>ab32430</a>)

Predicted band size: 134 kDa

false

Key facts

Host species

Rabbit

Clonality

Monoclonal

Clone number

Y38

Isotype

IgG

Carrier free

Yes

Reacts with

Human

Applications

ICC/IF, IP, WB

applications

Immunogen

The exact immunogen used to generate this antibody is proprietary information.

Specificity

This antibody recognises only EGFR phosphorylated on Tyrosine 1068 of the mature human isoform 1 (corresponding to Y1092 from the precursor form P00533-1/p170).

Reactivity data

{ "title": "Reactivity Data", "filters": { "stats": ["", "Species", "Dilution Info", "Notes"], "tabs": { "all-applications": {"fullname" : "All Applications", "shortname": "All Applications"}, "IP" : {"fullname" : "Immunoprecipitation", "shortname":"IP"}, "FlowCyt" : {"fullname" : "Flow Cytometry", "shortname":"Flow Cyt"}, "WB" : {"fullname" : "Western blot", "shortname":"WB"}, "ICCIF" : {"fullname" : "Immunocytochemistry/ Immunofluorescence", "shortname":"ICC/IF"} }, "product-promise": { "all": "all", "testedAndGuaranteed": "tested", "guaranteed": "expected", "predicted": "predicted", "notRecommended": "not-recommended" } }, "values": { "Human": { "IP-species-checked": "testedAndGuaranteed", "IP-species-dilution-info": "", "IP-species-notes": "<p></p>", "FlowCyt-species-checked": "notRecommended", "FlowCyt-species-dilution-info": "", "FlowCyt-species-notes": "<p><a href='/en-us/products/primary-antibodies/rabbit-igg-monoclonal-epr25a-isotype-control-low-endotoxin-azide-free-ab199376'>ab199376</a> - Rabbit monoclonal IgG, is suitable for use as an isotype control with this antibody.</p>", "WB-species-checked": "guaranteed", "WB-species-dilution-info": "", "WB-species-notes": "<p>Can be blocked with <a href='/en-us/products/unavailable/human-egfr-peptide-ab205609'>ab205609</a>.</p>", "ICCIF-species-checked": "testedAndGuaranteed", "ICCIF-species-dilution-info": "", "ICCIF-species-notes": "<p></p>" }, "Pig": { "IP-species-checked": "predicted", "IP-species-dilution-info": "", "IP-species-notes": "", "FlowCyt-species-checked": "notRecommended", "FlowCyt-species-dilution-info": "", "FlowCyt-species-notes": "", "WB-species-checked": "predicted", "WB-species-dilution-info": "", "WB-species-notes": "", "ICCIF-species-checked": "predicted", "ICCIF-species-dilution-info": "", "ICCIF-species-notes": "" } } }

Product details

ab171022 is the carrier-free version of ab32430.

Species reactivity
Mouse, Rat: We have preliminary internal testing data to indicate this antibody may not react with these species.
Please contact us for more information.

Patented technology
Our RabMAb® technology is a patented hybridoma-based technology for making rabbit monoclonal antibodies. For details on our patents, please refer to RabMAb® patents.

What are the advantages of a recombinant monoclonal antibody?
This product is a recombinant monoclonal antibody, which offers several advantages including:

  • - High batch-to-batch consistency and reproducibility
  • - Improved sensitivity and specificity
  • - Long-term security of supply
  • - Animal-free batch production

For more information, read more on recombinant antibodies.

Conjugation ready
Our carrier-free antibodies are typically supplied in a PBS-only formulation, purified and free of BSA, sodium azide and glycerol. This conjugation-ready format is designed for use with fluorochromes, metal isotopes, oligonucleotides, and enzymes, which makes them ideal for antibody labelling, functional and cell-based assays, flow-based assays (e.g. mass cytometry) and Multiplex Imaging applications.

Use our conjugation kits for antibody conjugates that are ready-to-use in as little as 20 minutes with 1 minute hands-on-time and 100% antibody recovery: available for fluorescent dyes, HRP, biotin and gold.

Compatibility
This product is compatible with the Maxpar® Antibody Labeling Kit from Fluidigm, without the need for antibody preparation. Maxpar® is a trademark of Fluidigm Canada Inc.

Properties and storage information

Form
Liquid
Purification technique
Affinity purification Protein A
Storage buffer
Constituents: PBS
Shipped at conditions
Blue Ice
Appropriate short-term storage conditions
+4°C
Appropriate long-term storage conditions
+4°C
Storage information
Do Not Freeze

Supplementary information

This supplementary information is collated from multiple sources and compiled automatically.

EGFR or Epidermal Growth Factor Receptor is a transmembrane glycoprotein that acts as a receptor for members of the epidermal growth factor family. Known alternatively as ErbB1 or HER1 this receptor has an approximate molecular weight of 170 kDa. EGFR is expressed in various cell types notably on epithelial cells and can influence multiple cellular processes through its kinase activity. It participates in the regulation of cell growth multiplication and survival by activating its kinase domain upon ligand binding.
Biological function summary

The EGFR protein plays an important role in cellular communication and signaling processes. EGFR pairs with other receptor family members to form active dimers or even higher-order complexes which in turn initiate intracellular signaling cascades. Through these complexes EGFR influences many processes including cell differentiation and repair. This function of EGFR makes it an integral part of mammalian biology affecting how cells respond to their environment by mediating changes in gene expression.

Pathways

EGFR is a central player in the MAPK and PI3K/Akt signaling pathways. Alongside other protein partners like KRAS and PI3 kinase it contributes to transmitting signals from the cell surface to the nucleus affecting gene transcription and cell behavior. These pathways are important for normal cell growth and division and aberrations in these pathways can lead to excessive or insufficient cell proliferation.

EGFR is pertinent to cancer biology including non-small cell lung cancer and glioblastoma where mutations or overexpression of the receptor frequently occur. It connects to proteins such as PTEN and BRAF which influence tumor progression and response to targeted therapies. EGFR's involvement in these disorders highlights its significance as a therapeutic target since it can be manipulated to alter disease progression.

Product protocols

For this product, it's our understanding that no specific protocols are required. You can visit:

Target data

The protein expressed by the EGFR gene functions as a receptor tyrosine kinase, binding with ligands from the EGF family to activate several signaling cascades that translate extracellular signals into cellular responses. Known ligands include EGF, TGFA/TGF-alpha, AREG, epigen, BTC/betacellulin, epiregulin, and HBEGF. Ligand binding triggers receptor dimerization and autophosphorylation, recruiting adapter proteins like GRB2 and activating complex downstream signaling pathways such as RAS-RAF-MEK-ERK, PI3 kinase-AKT, PLCgamma-PKC, and STATs, and possibly the NF-kappa-B cascade. EGFR also directly phosphorylates proteins like RGS16 and MUC1, influencing various cellular processes including its coupling with G protein-coupled receptor signaling and cell migration through interaction with CCDC88A/GIV. Isoform 2 of EGFR may act as an antagonist to EGF actions. In microbial infection, EGFR also serves as a receptor facilitating hepatitis C virus (HCV) entry into hepatocytes by promoting CD81-CLDN1 receptor complexes and enhancing membrane fusion with HCV envelope glycoproteins. This supplementary information is collated from multiple sources and compiled automatically.
See full target information EGFR phospho Y1068

Publications (1)

Recent publications for all applications. Explore the full list and refine your search

Development (Cambridge, England) 145: PubMed29361559

2018

Comparative analysis of mouse and human placentae across gestation reveals species-specific regulators of placental development.

Applications

Unspecified application

Species

Unspecified reactive species

Francesca Soncin,Marwa Khater,Cuong To,Donald Pizzo,Omar Farah,Anna Wakeland,Kanaga Arul Nambi Rajan,Katharine K Nelson,Ching-Wen Chang,Matteo Moretto-Zita,David R Natale,Louise C Laurent,Mana M Parast
View all publications

Product promise

We are committed to supporting your work with high-quality reagents, and we're here for you every step of the way. In the unlikely event that one of our products does not perform as expected, you're protected by our Product Promise.
For full details, please see our Terms & Conditions

Please note: All products are 'FOR RESEARCH USE ONLY. NOT FOR USE IN DIAGNOSTIC OR THERAPEUTIC PROCEDURES'.

For licensing inquiries, please contact partnerships@abcam.com