JavaScript is disabled in your browser. Please enable JavaScript to view this website.
AB5652

Anti-EGFR (phospho Y1173) antibody

5

(1 Review)

|

(15 Publications)

Rabbit Polyclonal EGFR phospho Y1173 antibody. Suitable for ICC, WB, IHC-P and reacts with Human, Mouse samples. Cited in 15 publications. Immunogen corresponding to Synthetic Peptide within Human EGFR phospho Y1173.

View Alternative Names

ERBB, ERBB1, HER1, EGFR, Epidermal growth factor receptor, Proto-oncogene c-ErbB-1, Receptor tyrosine-protein kinase erbB-1

4 Images
Immunocytochemistry - Anti-EGFR (phospho Y1173) antibody (AB5652)
  • ICC

Supplier Data

Immunocytochemistry - Anti-EGFR (phospho Y1173) antibody (AB5652)

HeLa cells stained for EGFR (green) using ab5652 at 2 μg/mL in ICC/IF. Followed by Alexa Fluor 488 Goat Anti-Rabbit IgG Secondary Antibody at 1/400 dilution for 30 minutes at room temperature (Panel a). Nuclei (Panel b : blue) were stained with SlowFade® Gold Antifade Mountant with DAPI. F-actin (Panel c : red) was stained with Alexa Fluor 594 Phalloidin. Panel d is a merged image showing cytoplasmic localization of EGFR (pY1173). Panel e shows untreated cells. Panel f shows no primary antibody control.

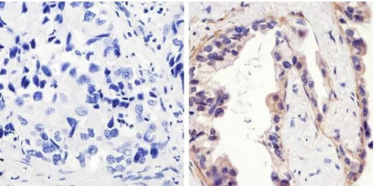
Immunohistochemistry (Formalin/PFA-fixed paraffin-embedded sections) - Anti-EGFR (phospho Y1173) antibody (AB5652)
  • IHC-P

Supplier Data

Immunohistochemistry (Formalin/PFA-fixed paraffin-embedded sections) - Anti-EGFR (phospho Y1173) antibody (AB5652)

Paraffin embedded human lung adenocarcinoma tissue stained for EGFR using ab5652 at 1/50 dilution in immunohistochemical analysis.

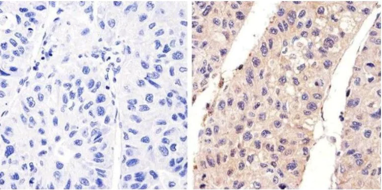
Immunohistochemistry (Formalin/PFA-fixed paraffin-embedded sections) - Anti-EGFR (phospho Y1173) antibody (AB5652)
  • IHC-P

Supplier Data

Immunohistochemistry (Formalin/PFA-fixed paraffin-embedded sections) - Anti-EGFR (phospho Y1173) antibody (AB5652)

Paraffin embedded human hepatocellular carcinoma tissue stained for EGFR using ab5652 at 1/20 dilution in immunohistochemical analysis.

Western blot - Anti-EGFR (phospho Y1173) antibody (AB5652)
  • WB

Unknown

Western blot - Anti-EGFR (phospho Y1173) antibody (AB5652)

Cell extracts prepared from NIH3T3 cells expressing EGFR were starved for 30 hours, then stimulated for 10 minutes with 30 ng/mL EGF (+), or left unstimulated (-), then resolved by SDS-PAGE on a 6% Tris-glycine gel, and transferred to nitrocellulose. Membranes were incubated with 0.50 μg/mL ab5652 antibody, following prior incubation in the absence (lanes 1& 2), or presence of the peptide immunogen (lanes 3 & 4), or the nonphosphopeptide corresponding to the EGFR phosphopeptide (lanes 5 & 6). After washing, membranes were incubated with goat F(ab’)2 anti-rabbit IgG alkaline phosphatase and bands were detected using the Tropix WesternStar detection method. The data show that only the phosphopeptide corresponding to this site blocks the antibody signal, demonstrating the specificity of the ab5652 antibody for this phosphorylated residue. Cell extracts prepared from NIH3T3 cells expressing EGFR were starved for 30 hours, then stimulate

All lanes:

Western blot - Anti-EGFR (phospho Y1173) antibody (ab5652)

Predicted band size: 134 kDa

false

Key facts

Host species

Rabbit

Clonality

Polyclonal

Isotype

IgG

Carrier free

No

Reacts with

Mouse, Human

Applications

WB, ICC, IHC-P

applications

Immunogen

Synthetic Peptide within Human EGFR phospho Y1173. The exact immunogen used to generate this antibody is proprietary information.

P00533

Reactivity data

{ "title": "Reactivity Data", "filters": { "stats": ["", "Species", "Dilution Info", "Notes"], "tabs": { "all-applications": {"fullname" : "All Applications", "shortname": "All Applications"}, "ICC" : {"fullname" : "Immunocytochemistry", "shortname":"ICC"}, "WB" : {"fullname" : "Western blot", "shortname":"WB"}, "IHCP" : {"fullname" : "Immunohistochemistry (Formalin/PFA-fixed paraffin-embedded sections)", "shortname":"IHC-P"} }, "product-promise": { "all": "all", "testedAndGuaranteed": "tested", "guaranteed": "expected", "predicted": "predicted", "notRecommended": "not-recommended" } }, "values": { "Human": { "ICC-species-checked": "testedAndGuaranteed", "ICC-species-dilution-info": "1/100 - 1/500", "ICC-species-notes": "<p></p>", "WB-species-checked": "guaranteed", "WB-species-dilution-info": "", "WB-species-notes": "", "IHCP-species-checked": "testedAndGuaranteed", "IHCP-species-dilution-info": "1/10 - 1/100", "IHCP-species-notes": "<p></p>" }, "Mouse": { "ICC-species-checked": "guaranteed", "ICC-species-dilution-info": "", "ICC-species-notes": "", "WB-species-checked": "testedAndGuaranteed", "WB-species-dilution-info": "1/1000", "WB-species-notes": "<p></p>", "IHCP-species-checked": "guaranteed", "IHCP-species-dilution-info": "", "IHCP-species-notes": "" } } }

Properties and storage information

Form
Liquid
Purification technique
Affinity purification Immunogen
Purification notes
The antibody has been negatively preadsorbed using (i) a non phosphopeptide corresponding to the site of phosphorylation to remove antibody that is reactive with non-phosphorylated epidermal growth factor receptor (EGFR), and (ii) a generic tyrosine phosphorylated peptide to remove antibody that is reactive with phosphotyrosine, irrespective of the sequence. The final product is generated by affinity chromatography using an EGFR-derived peptide that is phosphorylated at tyrosine 1173.
Storage buffer
pH: 7.3 Preservative: 0.05% Sodium azide Constituents: PBS, 50% Glycerol (glycerin, glycerine), 0.1% BSA
Shipped at conditions
Blue Ice
Appropriate short-term storage conditions
+4°C
Appropriate long-term storage conditions
-20°C
Aliquoting information
Upon delivery aliquot
Storage information
Avoid freeze / thaw cycle

Supplementary information

This supplementary information is collated from multiple sources and compiled automatically.

EGFR or Epidermal Growth Factor Receptor is a transmembrane glycoprotein that acts as a receptor for members of the epidermal growth factor family. Known alternatively as ErbB1 or HER1 this receptor has an approximate molecular weight of 170 kDa. EGFR is expressed in various cell types notably on epithelial cells and can influence multiple cellular processes through its kinase activity. It participates in the regulation of cell growth multiplication and survival by activating its kinase domain upon ligand binding.
Biological function summary

The EGFR protein plays an important role in cellular communication and signaling processes. EGFR pairs with other receptor family members to form active dimers or even higher-order complexes which in turn initiate intracellular signaling cascades. Through these complexes EGFR influences many processes including cell differentiation and repair. This function of EGFR makes it an integral part of mammalian biology affecting how cells respond to their environment by mediating changes in gene expression.

Pathways

EGFR is a central player in the MAPK and PI3K/Akt signaling pathways. Alongside other protein partners like KRAS and PI3 kinase it contributes to transmitting signals from the cell surface to the nucleus affecting gene transcription and cell behavior. These pathways are important for normal cell growth and division and aberrations in these pathways can lead to excessive or insufficient cell proliferation.

EGFR is pertinent to cancer biology including non-small cell lung cancer and glioblastoma where mutations or overexpression of the receptor frequently occur. It connects to proteins such as PTEN and BRAF which influence tumor progression and response to targeted therapies. EGFR's involvement in these disorders highlights its significance as a therapeutic target since it can be manipulated to alter disease progression.

Product protocols

For this product, it's our understanding that no specific protocols are required. You can visit:

Target data

The protein expressed by the EGFR gene functions as a receptor tyrosine kinase, binding with ligands from the EGF family to activate several signaling cascades that translate extracellular signals into cellular responses. Known ligands include EGF, TGFA/TGF-alpha, AREG, epigen, BTC/betacellulin, epiregulin, and HBEGF. Ligand binding triggers receptor dimerization and autophosphorylation, recruiting adapter proteins like GRB2 and activating complex downstream signaling pathways such as RAS-RAF-MEK-ERK, PI3 kinase-AKT, PLCgamma-PKC, and STATs, and possibly the NF-kappa-B cascade. EGFR also directly phosphorylates proteins like RGS16 and MUC1, influencing various cellular processes including its coupling with G protein-coupled receptor signaling and cell migration through interaction with CCDC88A/GIV. Isoform 2 of EGFR may act as an antagonist to EGF actions. In microbial infection, EGFR also serves as a receptor facilitating hepatitis C virus (HCV) entry into hepatocytes by promoting CD81-CLDN1 receptor complexes and enhancing membrane fusion with HCV envelope glycoproteins. This supplementary information is collated from multiple sources and compiled automatically.
See full target information EGFR phospho Y1173

Publications (15)

Recent publications for all applications. Explore the full list and refine your search

iScience 27:110306 PubMed39055915

2024

Epidermal growth factor augments the self-renewal capacity of aged hematopoietic stem cells.

Applications

Unspecified application

Species

Unspecified reactive species

Vivian Y Chang,Yuwei He,Samantha Grohe,Morgan R Brady,Aldi Chan,Rucha S Kadam,Tiancheng Fang,Amara Pang,Katherine Pohl,Evelyn Tran,Michelle Li,Jenny Kan,Yurun Zhang,Josie J Lu,Joshua P Sasine,Heather A Himburg,Peibin Yue,John P Chute

Cancers 15: PubMed36831558

2023

Integrin αvβ3 Is a Master Regulator of Resistance to TKI-Induced Ferroptosis in HER2-Positive Breast Cancer.

Applications

Unspecified application

Species

Unspecified reactive species

Aadya Nagpal,Kristen Needham,Darius J R Lane,Scott Ayton,Richard P Redvers,Melissa John,Heloisa S Selistre-de-Araujo,Delphine Denoyer,Normand Pouliot

Neoplasma 70:58-70 PubMed36637083

2023

Zerumbone combined with gefitinib alleviates lung cancer cell growth through the AKT/STAT3/SLC7A11 axis.

Applications

Unspecified application

Species

Unspecified reactive species

Jin-Guo Wang,Da-Lei Li,Rong Fan,Meng-Jun Yan

Cell death discovery 8:203 PubMed35428355

2022

SIRT1 restoration enhances chondrocyte autophagy in osteoarthritis through PTEN-mediated EGFR ubiquitination.

Applications

Unspecified application

Species

Unspecified reactive species

Qunshan Lu,Peilai Liu,Zhuang Miao,Desu Luo,Songlin Li,Mei Lu

Cell biochemistry and function 38:541-548 PubMed32056244

2020

Downregulation of CLDN6 inhibits cell proliferation, migration, and invasion via regulating EGFR/AKT/mTOR signalling pathway in hepatocellular carcinoma.

Applications

Unspecified application

Species

Unspecified reactive species

Lingyuan Huang,Chanjuan Zhao,Kai Sun,Dandan Yang,Linxia Yan,Dan Luo,Jinli He,Xuemei Hu,Rong Wang,Xiaofei Shen,Ning Xiao,Zhendong Zhong

Artificial cells, nanomedicine, and biotechnology 47:3448-3455 PubMed31411068

2019

Oxidative stress promotes ventilator-induced lung injury through activating NLRP3 inflammasome and TRPM2 channel.

Applications

Unspecified application

Species

Unspecified reactive species

Xiaona An,Xiaotong Sun,Xiaomei Yang,Dejie Liu,Yonghao Hou,Hongli Chen,Jianbo Wu

Breast cancer research : BCR 21:94 PubMed31409375

2019

Neoadjuvant neratinib promotes ferroptosis and inhibits brain metastasis in a novel syngeneic model of spontaneous HER2 breast cancer metastasis.

Applications

Unspecified application

Species

Unspecified reactive species

Aadya Nagpal,Richard P Redvers,Xiawei Ling,Scott Ayton,Miriam Fuentes,Elnaz Tavancheh,Irmina Diala,Alshad Lalani,Sherene Loi,Steven David,Robin L Anderson,Yvonne Smith,Delphine Merino,Delphine Denoyer,Normand Pouliot

ACS photonics 5:487-494 PubMed29805987

2018

Analyses of Intravesicular Exosomal Proteins Using a Nano-Plasmonic System.

Applications

Unspecified application

Species

Unspecified reactive species

Jongmin Park,Hyungsoon Im,Seonki Hong,Cesar M Castro,Ralph Weissleder,Hakho Lee

Nature communications 8:15129 PubMed28541302

2017

The long noncoding RNA lnc-EGFR stimulates T-regulatory cells differentiation thus promoting hepatocellular carcinoma immune evasion.

Applications

Unspecified application

Species

Unspecified reactive species

Runqiu Jiang,Junwei Tang,Yun Chen,Lei Deng,Jie Ji,Yu Xie,Ke Wang,Wei Jia,Wen-Ming Chu,Beicheng Sun

Journal of neuro-oncology 133:497-507 PubMed28500562

2017

Epithelial growth factor receptor expression influences 5-ALA induced glioblastoma fluorescence.

Applications

Unspecified application

Species

Unspecified reactive species

Andrea O Fontana,Deborah Piffaretti,Francesco Marchi,Floriana Burgio,Ana Bela Faia-Torres,Paolo Paganetti,Sandra Pinton,Uwe Pieles,Michael Reinert
View all publications

Product promise

We are committed to supporting your work with high-quality reagents, and we're here for you every step of the way. In the unlikely event that one of our products does not perform as expected, you're protected by our Product Promise.
For full details, please see our Terms & Conditions

Please note: All products are 'FOR RESEARCH USE ONLY. NOT FOR USE IN DIAGNOSTIC OR THERAPEUTIC PROCEDURES'.

For licensing inquiries, please contact partnerships@abcam.com