JavaScript is disabled in your browser. Please enable JavaScript to view this website.
AB97613

Anti-EGFR (phospho Y845) antibody [EPR2149Y]

  • RabMAb
  • Recombinant
  • Lab Essentials
  • 20ul selling size
  • What is this?

Be the first to review this product! Submit a review

|

(6 Publications)

Rabbit Recombinant Monoclonal EGFR phospho Y845 antibody. Suitable for Dot, WB, ICC/IF, Flow Cyt (Intra) and reacts with Synthetic peptide, Human samples. Cited in 6 publications.

View Alternative Names

ERBB, ERBB1, HER1, EGFR, Epidermal growth factor receptor, Proto-oncogene c-ErbB-1, Receptor tyrosine-protein kinase erbB-1

5 Images
Immunocytochemistry/ Immunofluorescence - Anti-EGFR (phospho Y845) antibody [EPR2149Y] (AB97613)
  • ICC/IF

Unknown

Immunocytochemistry/ Immunofluorescence - Anti-EGFR (phospho Y845) antibody [EPR2149Y] (AB97613)

Immunofluorescent analysis of 4% paraformaldehyde-fixed,0.1% Triton X-100 permeabilized A431 (Human epidermoid carcinoma cell line) cell lines labeling EGFR with ab97613 (purified) at 1/50 dilution,followed by Goat anti-Rabbit IgG H & L (Alexa Fluor® 488) (ab150077) secondary antibody at 1/1000 dilution

Cells were counterstained with ab195889 (Anti-alpha Tubulin antibody [DM1A] ) - Microtubule Marker (Alexa Fluor® 594)

The nuclear counterstain is DAPI (blue).

The green staining on the membrane was increased in the EGF (100ng/ml, 10min) treated A431 cells when compared with A431 cells without treatment. After LP treatment, the green signaling was obviously decreased.

For the pan antibody, there was no great difference after EGF (100ng/ml, 10min) or EGF (100ng/ml, 10min) + LP treatment. The data showed mostly membranous staining.

Flow Cytometry (Intracellular) - Anti-EGFR (phospho Y845) antibody [EPR2149Y] (AB97613)
  • Flow Cyt (Intra)

Unknown

Flow Cytometry (Intracellular) - Anti-EGFR (phospho Y845) antibody [EPR2149Y] (AB97613)

Intracellular Flow Cytometry analysis of A431 (Human epidermoid carcinoma epithelial cell) treated with 100ng/ml EGF for 10 minutes cells labeling EGFR with purified ab97613 at 1/400 dilution (1μg/ml) (red). Cells were fixed with 4% Paraformaldehyde and permeabilised with 90% Methanol. A Goat anti rabbit IgG (Alexa Fluorr® 488, ab150077) secondary antibody was used at 1/2000. Isotype control - Rabbit monoclonal IgG (Black). Unlabeled control - Cell without incubation with primary antibody and secondary antibody (Blue). Untreated A431 cells (Green).

Western blot - Anti-EGFR (phospho Y845) antibody [EPR2149Y] (AB97613)
  • WB

Lab

Western blot - Anti-EGFR (phospho Y845) antibody [EPR2149Y] (AB97613)

Blocking and dilution buffer : 5% NFDM/TBST.

All lanes:

Western blot - Anti-EGFR (phospho Y845) antibody [EPR2149Y] (ab97613) at 1/1500 dilution

Lane 1:

Untreated A431 (Human epidermoid carcinoma cell line) whole cell lysates at 15 µg

Lane 2:

A431 (Human epidermoid carcinoma cell line) treated with 100 ng/ml EGF for 10 minutes whole cell lysates at 15 µg

Secondary

All lanes:

Western blot - Goat Anti-Rabbit IgG H&L (HRP) (<a href='/en-us/products/secondary-antibodies/goat-rabbit-igg-h-l-hrp-ab97051'>ab97051</a>) at 1/20000 dilution

Predicted band size: 134 kDa

Observed band size: 175 kDa

false

Exposure time: 30s

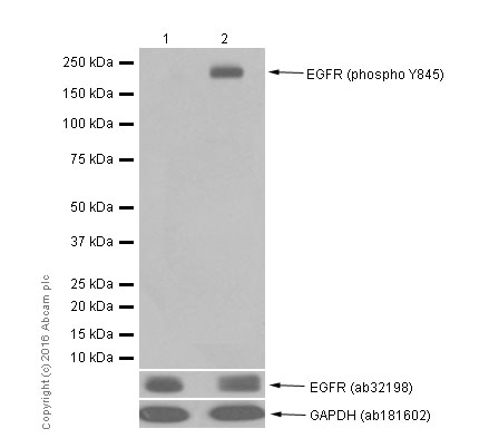
Western blot - Anti-EGFR (phospho Y845) antibody [EPR2149Y] (AB97613)
  • WB

Unknown

Western blot - Anti-EGFR (phospho Y845) antibody [EPR2149Y] (AB97613)

All lanes:

Western blot - Anti-EGFR (phospho Y845) antibody [EPR2149Y] (ab97613) at 1/500 dilution

Lane 1:

A431 cell lysates, untreated at 10 µg

Lane 2:

A431 cell lysates, treated with EGF at 10 µg

Predicted band size: 134 kDa

false

Dot Blot - Anti-EGFR (phospho Y845) antibody [EPR2149Y] (AB97613)
  • Dot

Unknown

Dot Blot - Anti-EGFR (phospho Y845) antibody [EPR2149Y] (AB97613)

Dot Blot analysis of Lane 1 : EGFR (pY845) phospho peptide and Lane 2 : EGFR non-phospho peptide labeling EGFR (phospho Y845) with ab97613 (unpurified) at 1/1000 dilution. 5% NFDM/TBST was used as the diluting and blocking buffer. ab97051 Goat Anti-Rabbit IgG, (H+L), Peroxidase conjugated was used as the secondary antibody at 1/100000 dilution. Exposure time : 3 minutes.

  • Carrier free

    Anti-EGFR (phospho Y845) antibody [EPR2149Y] - BSA and Azide free

  • 665 Alexa Fluor® 647

    Alexa Fluor® 647 Anti-EGFR (phospho Y845) antibody [EPR2149Y]

  • 519 Alexa Fluor® 488

    Alexa Fluor® 488 Anti-EGFR (phospho Y845) antibody [EPR2149Y]

Key facts

Host species

Rabbit

Clonality

Monoclonal

Clone number

EPR2149Y

Isotype

IgG

Carrier free

No

Reacts with

Human

Applications

ICC/IF, WB, Flow Cyt (Intra), Dot

applications

Immunogen

The exact immunogen used to generate this antibody is proprietary information.

Reactivity data

{ "title": "Reactivity Data", "filters": { "stats": ["", "Species", "Dilution Info", "Notes"], "tabs": { "all-applications": {"fullname" : "All Applications", "shortname": "All Applications"}, "Dot" : {"fullname" : "Dot Blot", "shortname":"Dot"}, "WB" : {"fullname" : "Western blot", "shortname":"WB"}, "IHCP" : {"fullname" : "Immunohistochemistry (Formalin/PFA-fixed paraffin-embedded sections)", "shortname":"IHC-P"}, "ICCIF" : {"fullname" : "Immunocytochemistry/ Immunofluorescence", "shortname":"ICC/IF"}, "FlowCytIntra" : {"fullname" : "Flow Cytometry (Intracellular)", "shortname":"Flow Cyt (Intra)"} }, "product-promise": { "all": "all", "testedAndGuaranteed": "tested", "guaranteed": "expected", "predicted": "predicted", "notRecommended": "not-recommended" } }, "values": { "Human": { "Dot-species-checked": "guaranteed", "Dot-species-dilution-info": "", "Dot-species-notes": "", "WB-species-checked": "testedAndGuaranteed", "WB-species-dilution-info": "1/500", "WB-species-notes": "<p></p>", "IHCP-species-checked": "notRecommended", "IHCP-species-dilution-info": "", "IHCP-species-notes": "<p></p>", "ICCIF-species-checked": "testedAndGuaranteed", "ICCIF-species-dilution-info": "1/100 - 1/250", "ICCIF-species-notes": "<p></p>", "FlowCytIntra-species-checked": "testedAndGuaranteed", "FlowCytIntra-species-dilution-info": "1/400", "FlowCytIntra-species-notes": "<p></p>" }, "Synthetic peptide": { "Dot-species-checked": "testedAndGuaranteed", "Dot-species-dilution-info": "", "Dot-species-notes": "<p></p>", "WB-species-checked": "notRecommended", "WB-species-dilution-info": "", "WB-species-notes": "", "IHCP-species-checked": "notRecommended", "IHCP-species-dilution-info": "", "IHCP-species-notes": "", "ICCIF-species-checked": "notRecommended", "ICCIF-species-dilution-info": "", "ICCIF-species-notes": "", "FlowCytIntra-species-checked": "notRecommended", "FlowCytIntra-species-dilution-info": "", "FlowCytIntra-species-notes": "" } } }

Product details

Species reactivity
Mouse, Rat: We have preliminary internal testing data to indicate this antibody may not react with these species.
Please contact us for more information.

Patented technology
Our RabMAb® technology is a patented hybridoma-based technology for making rabbit monoclonal antibodies. For details on our patents, please refer to RabMAb® patents.

What are the advantages of a recombinant monoclonal antibody?
This product is a recombinant monoclonal antibody, which offers several advantages including:

  • - High batch-to-batch consistency and reproducibility
  • - Improved sensitivity and specificity
  • - Long-term security of supply
  • - Animal-free batch production

For more information, read more on recombinant antibodies.

Properties and storage information

Form
Liquid
Purification technique
Affinity purification Protein A
Storage buffer
pH: 7.2 - 7.4 Preservative: 0.01% Sodium azide Constituents: PBS, 40% Glycerol (glycerin, glycerine), 0.05% BSA
Shipped at conditions
Blue Ice
Appropriate short-term storage duration
1-2 weeks
Appropriate short-term storage conditions
+4°C
Appropriate long-term storage conditions
-20°C
Aliquoting information
Upon delivery aliquot
Storage information
Avoid freeze / thaw cycle

Supplementary information

This supplementary information is collated from multiple sources and compiled automatically.

EGFR or Epidermal Growth Factor Receptor is a transmembrane glycoprotein that acts as a receptor for members of the epidermal growth factor family. Known alternatively as ErbB1 or HER1 this receptor has an approximate molecular weight of 170 kDa. EGFR is expressed in various cell types notably on epithelial cells and can influence multiple cellular processes through its kinase activity. It participates in the regulation of cell growth multiplication and survival by activating its kinase domain upon ligand binding.
Biological function summary

The EGFR protein plays an important role in cellular communication and signaling processes. EGFR pairs with other receptor family members to form active dimers or even higher-order complexes which in turn initiate intracellular signaling cascades. Through these complexes EGFR influences many processes including cell differentiation and repair. This function of EGFR makes it an integral part of mammalian biology affecting how cells respond to their environment by mediating changes in gene expression.

Pathways

EGFR is a central player in the MAPK and PI3K/Akt signaling pathways. Alongside other protein partners like KRAS and PI3 kinase it contributes to transmitting signals from the cell surface to the nucleus affecting gene transcription and cell behavior. These pathways are important for normal cell growth and division and aberrations in these pathways can lead to excessive or insufficient cell proliferation.

EGFR is pertinent to cancer biology including non-small cell lung cancer and glioblastoma where mutations or overexpression of the receptor frequently occur. It connects to proteins such as PTEN and BRAF which influence tumor progression and response to targeted therapies. EGFR's involvement in these disorders highlights its significance as a therapeutic target since it can be manipulated to alter disease progression.

Product protocols

For this product, it's our understanding that no specific protocols are required. You can visit:

Target data

Receptor tyrosine kinase binding ligands of the EGF family and activating several signaling cascades to convert extracellular cues into appropriate cellular responses (PubMed : 10805725, PubMed : 27153536, PubMed : 2790960, PubMed : 35538033). Known ligands include EGF, TGFA/TGF-alpha, AREG, epigen/EPGN, BTC/betacellulin, epiregulin/EREG and HBEGF/heparin-binding EGF (PubMed : 12297049, PubMed : 15611079, PubMed : 17909029, PubMed : 20837704, PubMed : 27153536, PubMed : 2790960, PubMed : 7679104, PubMed : 8144591, PubMed : 9419975). Ligand binding triggers receptor homo- and/or heterodimerization and autophosphorylation on key cytoplasmic residues. The phosphorylated receptor recruits adapter proteins like GRB2 which in turn activates complex downstream signaling cascades. Activates at least 4 major downstream signaling cascades including the RAS-RAF-MEK-ERK, PI3 kinase-AKT, PLCgamma-PKC and STATs modules (PubMed : 27153536). May also activate the NF-kappa-B signaling cascade (PubMed : 11116146). Also directly phosphorylates other proteins like RGS16, activating its GTPase activity and probably coupling the EGF receptor signaling to the G protein-coupled receptor signaling (PubMed : 11602604). Also phosphorylates MUC1 and increases its interaction with SRC and CTNNB1/beta-catenin (PubMed : 11483589). Positively regulates cell migration via interaction with CCDC88A/GIV which retains EGFR at the cell membrane following ligand stimulation, promoting EGFR signaling which triggers cell migration (PubMed : 20462955). Plays a role in enhancing learning and memory performance (By similarity). Plays a role in mammalian pain signaling (long-lasting hypersensitivity) (By similarity).. Isoform 2 may act as an antagonist of EGF action.. (Microbial infection) Acts as a receptor for hepatitis C virus (HCV) in hepatocytes and facilitates its cell entry. Mediates HCV entry by promoting the formation of the CD81-CLDN1 receptor complexes that are essential for HCV entry and by enhancing membrane fusion of cells expressing HCV envelope glycoproteins.
See full target information EGFR phospho Y845

Publications (6)

Recent publications for all applications. Explore the full list and refine your search

International journal of biological sciences 21:524-543 PubMed39781447

2025

Smad2 Cooperating with TGIF2 Contributes to EMT and Cancer Stem Cells Properties in Pancreatic Cancer via Co-Targeting SOX2.

Applications

Unspecified application

Species

Unspecified reactive species

Fuqiang Zu,ChuanPing Chen,Qilong Geng,Haoyu Li,Boyuan Chan,Guopei Luo,Mengcheng Wu,Matthias Ilmer,Bernhard W Renz,Lutterodt Bentum-Ennin,Hao Gu,Weiwei Sheng

BMC cancer 24:532 PubMed38671389

2024

Desmoglein 2 and desmocollin 2 depletions promote malignancy through distinct mechanisms in triple-negative and luminal breast cancer.

Applications

Unspecified application

Species

Unspecified reactive species

Ji-Yuan Han,Na Che,Jing Mo,Dan-Fang Zhang,Xiao-Hui Liang,Xue-Yi Dong,Xiu-Lan Zhao,Bao-Cun Sun

International journal of cancer 142:1627-1639 PubMed29193056

2017

Identification of a novel fusion gene HMGA2-EGFR in glioblastoma.

Applications

Unspecified application

Species

Unspecified reactive species

Akiyoshi Komuro,Erna Raja,Caname Iwata,Manabu Soda,Kazunobu Isogaya,Keiko Yuki,Yasushi Ino,Masato Morikawa,Tomoki Todo,Hiroyuki Aburatani,Hiromichi Suzuki,Melissa Ranjit,Atsushi Natsume,Akitake Mukasa,Nobuhito Saito,Hitoshi Okada,Hiroyuki Mano,Kohei Miyazono,Daizo Koinuma

Oncogene 36:6235-6243 PubMed28714960

2017

BIN1 reverses PD-L1-mediated immune escape by inactivating the c-MYC and EGFR/MAPK signaling pathways in non-small cell lung cancer.

Applications

Unspecified application

Species

Unspecified reactive species

J Wang,Y Jia,S Zhao,X Zhang,X Wang,X Han,Y Wang,M Ma,J Shi,L Liu

Investigative ophthalmology & visual science 51:1970-80 PubMed19933191

2009

Normalization of wound healing and diabetic markers in organ cultured human diabetic corneas by adenoviral delivery of c-Met gene.

Applications

Unspecified application

Species

Unspecified reactive species

Mehrnoosh Saghizadeh,Andrei A Kramerov,Fu-Shin X Yu,Maria G Castro,Alexander V Ljubimov

Brain research bulletin 81:262-72 PubMed19828126

2009

Adenovirus-driven overexpression of proteinases in organ-cultured normal human corneas leads to diabetic-like changes.

Applications

Unspecified application

Species

Unspecified reactive species

Mehrnoosh Saghizadeh,Andrei A Kramerov,Yousha Yaghoobzadeh,Jinwei Hu,Julia Y Ljubimova,Keith L Black,Maria G Castro,Alexander V Ljubimov
View all publications

Product promise

We are committed to supporting your work with high-quality reagents, and we're here for you every step of the way. In the unlikely event that one of our products does not perform as expected, you're protected by our Product Promise.
For full details, please see our Terms & Conditions

Please note: All products are 'FOR RESEARCH USE ONLY. NOT FOR USE IN DIAGNOSTIC OR THERAPEUTIC PROCEDURES'.

For licensing inquiries, please contact partnerships@abcam.com