JavaScript is disabled in your browser. Please enable JavaScript to view this website.
AB313646

Anti-EGFRvIII antibody [EPR28380-83]

  • BOND RX™ Validated
  • 20ul selling size
  • RabMAb
  • Recombinant
  • What is this?

Be the first to review this product! Submit a review

|

(0 Publication)

Anti-EGFRvIII antibody [EPR28380-83] (ab313646) is a rabbit monoclonal antibody suitable for WB, IP, Flow Cyt, IHC-P, ICC/IF and reacts with Transfected cell lysate - Human, Human, Transfected cell line - Human, Transfected cell line samples.

Enhanced IHC validation data - Download the data
- validated for confirmed specificity of EGFRvIII vs. EGFR
- detailed IHC expression profiling in normal and clinically relevant cancer FFPE TMAs- glioblastoma
- EGFRvIII/EGFR duplex staining in glioblastoma
- singleplex/duplex protocols for BOND RX™ and Ventana DISCOVERY ULTRA
Over 50 publications
Biophysical QC for unrivalled batch-batch consistency

View Alternative Names

ERBB, ERBB1, HER1, EGFR, Epidermal growth factor receptor, Proto-oncogene c-ErbB-1, Receptor tyrosine-protein kinase erbB-1

9 Images
Immunohistochemistry (Formalin/PFA-fixed paraffin-embedded sections) - Anti-EGFRvIII antibody [EPR28380-83] (AB313646)
  • IHC-P

Lab

Immunohistochemistry (Formalin/PFA-fixed paraffin-embedded sections) - Anti-EGFRvIII antibody [EPR28380-83] (AB313646)

Immunohistochemical analysis of formalin fixed paraffin-embedded human glioblastoma and placenta tissues labelling EGFRvIII with ab313646 and EGFR with ab52894 at a concentration of 2.5 µg/ml and 0.5 µg/ml.

The immunostaining was performed on a Leica Biosystems BOND® RX instrument with a Bond™ Polymer Refine Detection kit. Heat mediated antigen retrieval was performed with Tris-EDTA buffer (pH 9.0, Epitope Retrieval Solution 2) for 20 mins. Primary antibodies were incubated for 30 mins at room temperature. Sections were counterstained with Hematoxylin.

Tissue obtained from the Human Research Tissue Bank, supported by the NHR Cambridge Biomedical Research Centre.

Immunocytochemistry/ Immunofluorescence - Anti-EGFRvIII antibody [EPR28380-83] (AB313646)
  • ICC/IF

Supplier Data

Immunocytochemistry/ Immunofluorescence - Anti-EGFRvIII antibody [EPR28380-83] (AB313646)

Immunofluorescent analysis of 4% paraformaldehyde-fixed, 0.1% TritonX-100 permeabilized 293T (human embryonic kidney epithelial cell) labelling EGFRvIII with ab313646 at 1/500 dilution, followed by ab150081 Goat Anti-Rabbit IgG H&L (Alexa Fluor® 488) preadsorbed antibody at 1/1000 dilution (Green). Cells were counterstained with anti-Myc tag Mouse mab [9E10] (Alexa Fluor® 594) at 1/100 dilution (Red). The Nuclear counterstain is DAPI (Blue).

Confocal image showing cytoplasmic and membrane staining in 293T cells overexpressing human EGFRvIII. No staining in 293T cells overexpressing human wild-type EGFR. Image was taken with a confocal microscope (Leica-Microsystems, TCS SP8).

Secondary antibody only control : Secondary antibody is ab150081 Goat Anti-Rabbit IgG H&L (Alexa Fluor® 488) preadsorbed at 1/1000 (2 µg/mL) dilution.

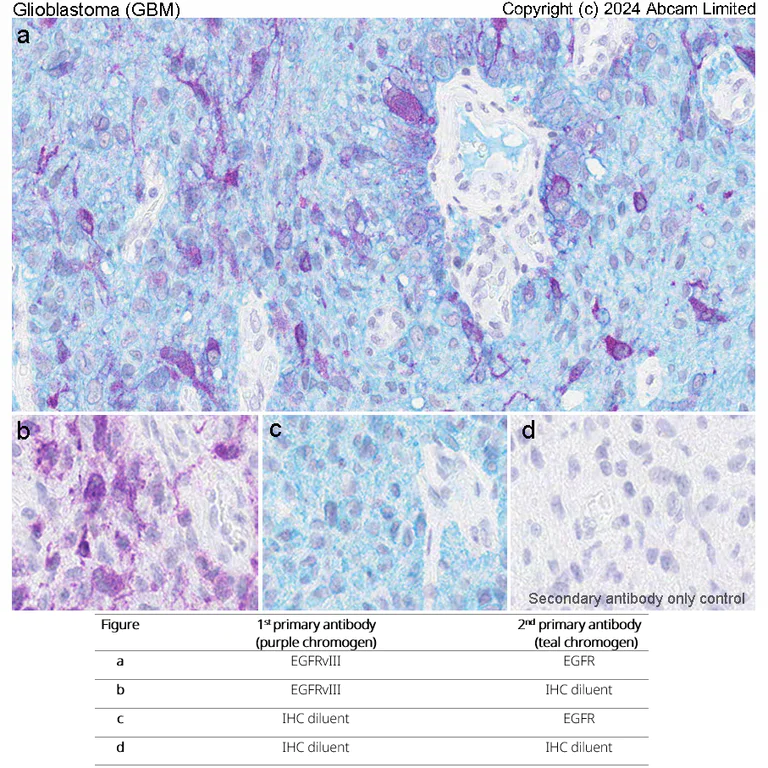
Immunohistochemistry (Formalin/PFA-fixed paraffin-embedded sections) - Anti-EGFRvIII antibody [EPR28380-83] (AB313646)
  • IHC-P

Lab

Immunohistochemistry (Formalin/PFA-fixed paraffin-embedded sections) - Anti-EGFRvIII antibody [EPR28380-83] (AB313646)

Chromogenic duplex (2-plex) immunohistochemical staining of formalin fixed paraffin-embedded human glioblastoma tissue performed on a Roche Ventana Discovery Ultra instrument.

Heat mediated antigen retrieval was performed with CC1 solution for 64 min at 95°C. Two rounds of primary antibody incubation were performed each for 16 min at 37°C. anti-EGFRvIII (ab313646; 1st primary antibody; 3 µg/ml) and anti-EGFR (ab52894; 2nd primary antibody; 0.5 µg/ml). Antibody denaturation was conducted after the first round of staining using Ultra CC2 solution for 8 min at 100°C to avoid cross reactivity.

Signal was developed with anti-rabbit HQ followed by anti-HQ HRP coupled with purple (Discovery purple kit (RUO) #760-229) and teal (Discovery teal kit (RUO) #760-247) chromogens and counterstained with haematoxylin II.

Tissue obtained from the Human Research Tissue Bank, supported by the NHR Cambridge Biomedical Research Centre.

Flow Cytometry - Anti-EGFRvIII antibody [EPR28380-83] (AB313646)
  • Flow Cyt

Supplier Data

Flow Cytometry - Anti-EGFRvIII antibody [EPR28380-83] (AB313646)

Flow cytometric analysis of 293T (human embryonic kidney epithelial cell) transfected with a human EGFRvIII expression vector containing a His-Myc tag (top left, bottom left); human wild-type EGFR expression vector containing a His-Myc tag (top right); empty vector containing a His-Myc tag (bottom right). Cells were fixed with 2% paraformaldehyde and permeabilised with 0.1% Tween-20. Cell labelling of EGFRvIII with ab313646 at 1/500 dilution. A Goat Anti-Rabbit IgG (Alexa Fluor® 488, ab150081) was used at 1/5000 dilution. Isotype control - Rabbit monoclonal IgG (ab172730). No cross-reactivity with human wild-type EGFR.

Cells were surface stained with primary antibody. Fixed with 2% PFA for 10 min followed by intracellularly staining with anti-Myc tag conjugated to Alexa Fluor® 647.

Immunohistochemistry (Formalin/PFA-fixed paraffin-embedded sections) - Anti-EGFRvIII antibody [EPR28380-83] (AB313646)
  • IHC-P

Supplier Data

Immunohistochemistry (Formalin/PFA-fixed paraffin-embedded sections) - Anti-EGFRvIII antibody [EPR28380-83] (AB313646)

Immunohistochemical analysis of paraffin-embedded 293T (human embryonic kidney epithelial cell) transfected with (A) human EGFRvIII expression vector containing a Myc-His tag; (B) human wild-type EGFR expression vector containing a Myc-His tag; (C) empty vector containing a His tag. Whole cell pellet labelling of EGFRvIII with ab313646 at 1/100 (5.09 µg/ml) followed by a ready to use LeicaDS9800 (Bond™ Polymer Refine Detection).

Positive staining on 293T overexpressing human EGFRvIII (image A). No staining on 293T overexpressing human wild-type EGFR (image B) or the empty vector control (image C). The section was incubated with ab313646 for 30 mins at room temperature. The immunostaining was performed on a Leica Biosystems BOND® RX instrument Counterstained with Hematoxylin

Secondary antibody only control : Secondary antibody is a ready to use LeicaDS9800 (Bond™ Polymer Refine Detection).

Heat mediated antigen retrieval was performed with Tris-EDTA buffer (pH 9.0, Epitope Retrieval Solution2) for 20 mins

Immunohistochemistry (Formalin/PFA-fixed paraffin-embedded sections) - Anti-EGFRvIII antibody [EPR28380-83] (AB313646)
  • IHC-P

Supplier Data

Immunohistochemistry (Formalin/PFA-fixed paraffin-embedded sections) - Anti-EGFRvIII antibody [EPR28380-83] (AB313646)

Immunohistochemical analysis of paraffin-embedded (A, D) human placenta; (B, E) human glioblastoma; (C, F) human lung adenocarcinoma tissue.

A-C : Sections were incubated with anti-EGFR antibody [SP84] - C-terminal (ab227642; 1 : 100 ) for 30 mins at room temperature. Positive staining on human placenta (image A), glioblastoma (image B), and lung adenocarcinoma (image C). D-F : Sections were incubated with anti-EGFRvIII antibody [EPR28380-83] (ab313646; 1 : 100 [5.09 µg/mL]) for 30 mins at room temperature. Positive staining on human glioblastoma (image E), no staining on placenta (image D) or lung adenocarcinoma (image F). The immunostaining was performed on a Leica Biosystems BOND® RX instrument counterstained with Hematoxylin.

Secondary antibody only control : Secondary antibody is a ready to use LeicaDS9800 (Bond™ Polymer Refine Detection).

Heat mediated antigen retrieval was performed with Tris-EDTA buffer (pH 9.0, Epitope Retrieval Solution2) for 20 mins.

Immunoprecipitation - Anti-EGFRvIII antibody [EPR28380-83] (AB313646)
  • IP

Supplier Data

Immunoprecipitation - Anti-EGFRvIII antibody [EPR28380-83] (AB313646)

EGFRvIII was immunoprecipitated from 0.35 mg of 293T (human embryonic kidney epithelial cell) transfected with a human EGFRvIII expression vector containing a His-tag using ab313646 at 1/30 dilution (2µg in 0.35mg whole cell lysate). Western blot was performed on the immunoprecipitate using ab313646 at 1/1000 dilution. VeriBlot for IP secondary antibody (HRP)(ab131366) was used at 1/5000 dilution. Isotype control - Rabbit monoclonal IgG (ab172730).

Lanes 1-3 : 293T (human embryonic kidney epithelial cell) transfected with a human EGFRvIII expression vector containing a His-tag

Lane 1 : whole cell lysate at 0.3µg

Lane 2 : IP with ab313646

Lane 3 : IP with Isotype control (ab172730)

Blocking and dilution buffer and concentration : 5% NFDM/TBST.

All lanes:

Immunoprecipitation - Anti-EGFRvIII antibody [EPR28380-83] (ab313646) at 1/30 dilution

All lanes:

293T (human embryonic kidney epithelial cell) transfected with a human EGFRvIII expression vector containing a His-tag whole cell lysate

Secondary

All lanes:

Immunoprecipitation - VeriBlot for IP Detection Reagent (HRP) (<a href='/en-us/products/reagents/veriblot-for-ip-detection-reagent-hrp-ab131366'>ab131366</a>) at 1/1000 dilution

false

Exposure time: 5s

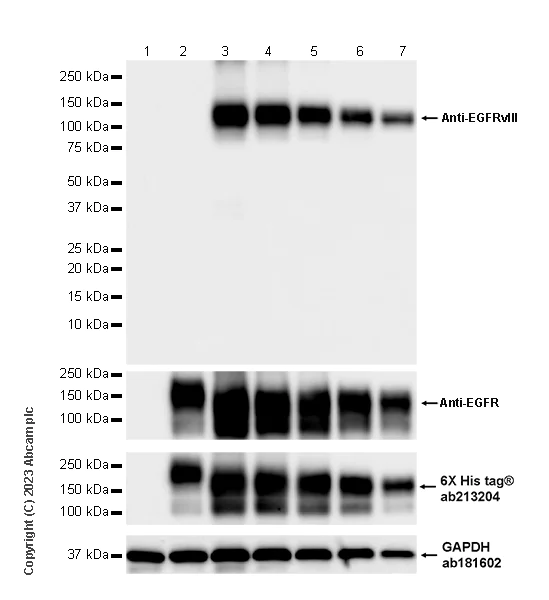
Western blot - Anti-EGFRvIII antibody [EPR28380-83] (AB313646)
  • WB

Supplier Data

Western blot - Anti-EGFRvIII antibody [EPR28380-83] (AB313646)

Blocking and diluting buffer and concentration : 5% NFDM/TBST This antibody recognizes human EGFRvIII but not human wild-type EGFR. In western blot, anti-GAPDH antibody [EPR16891] - Loading Control (ab181602) staining at 1/200000 dilution, anti-His antibody (ab213204) staining at 1/5000 dilution, and anti-EGFR antibody staining at 1/1000 dilution.

All lanes:

Western blot - Anti-EGFRvIII antibody [EPR28380-83] (ab313646) at 1/1000 dilution

Lane 1:

293T (human embryonic kidney epithelial cell) transfected with an empty vector containing a His tag, whole cell lysate at 10 µg

Lane 2:

293T transfected with a human EGFR expression vector containing a His tag, whole cell lysate at 10 µg

Lane 3:

293T transfected with a human EGFRvIII expression vector containing a His tag, whole cell lysate at 10 µg

Lane 4:

293T transfected with a human EGFRvIII expression vector containing a His tag, whole cell lysate at 2.5 µg

Lane 5:

293T transfected with a human EGFRvIII expression vector containing a His tag, whole cell lysate at 0.62 µg

Lane 6:

293T transfected with a human EGFRvIII expression vector containing a His tag, whole cell lysate at 0.31 µg

Lane 7:

293T transfected with a human EGFRvIII expression vector containing a His tag, whole cell lysate at 0.16 µg

Secondary

All lanes:

Western blot - Goat Anti-Rabbit IgG H&L (HRP) (<a href='/en-us/products/secondary-antibodies/goat-rabbit-igg-h-l-hrp-ab97051'>ab97051</a>) at 1/100000 dilution

Observed band size: 134 kDa

false

Exposure time: 5.5s

Western blot - Anti-EGFRvIII antibody [EPR28380-83] (AB313646)
  • WB

Supplier Data

Western blot - Anti-EGFRvIII antibody [EPR28380-83] (AB313646)

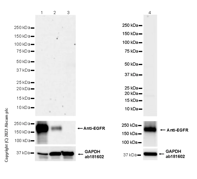
Blocking and diluting buffer and concentration : 5% NFDM/TBST This antibody does not recognize human wild-type EGFR. (A) : anti-EGFRvIII antibody (ab313646) staining at 1/1000 dilution, (B) : anti-EGFR antibody staining at 1/1000 dilution, (C) : anti-GAPDH antibody [EPR16891] – Loading Control (ab181602) staining at 1/200000 dilution.

All lanes:

Western blot - Anti-EGFRvIII antibody [EPR28380-83] (ab313646) at 1/1000 dilution

Lane 1:

A431 (human epidermoid carcinoma epithelial cell) whole cell lysate at 20 µg

Lane 2:

Wild-type HeLa (human cervical adenocarcinoma epithelial cell) whole cell lysate at 20 µg

Lane 3:

EGFR knockout HeLa whole cell lysate at 20 µg

Lane 4:

Human placenta tissue lysate at 20 µg

Secondary

Lanes 1 - 3:

Western blot - Goat Anti-Rabbit IgG H&L (HRP) (<a href='/en-us/products/secondary-antibodies/goat-rabbit-igg-h-l-hrp-ab97051'>ab97051</a>) at 1/100000 dilution

Lane 4:

Goat Anti-Rabbit IgG (HRP) with minimal cross-reactivity with human IgG at 1/2000 dilution

Observed band size: 134 kDa

false

Exposure time: 180s

  • Carrier free

    Anti-EGFRvIII antibody [EPR28380-83] - BSA and Azide free

Key facts

Host species

Rabbit

Clonality

Monoclonal

Clone number

EPR28380-83

Isotype

IgG

Carrier free

No

Reacts with

Human

Applications

Flow Cyt, WB, IP, IHC-P, ICC/IF

applications

Immunogen

The exact immunogen used to generate this antibody is proprietary information.

Reactivity data

{ "title": "Reactivity Data", "filters": { "stats": ["", "Species", "Dilution Info", "Notes"], "tabs": { "all-applications": {"fullname" : "All Applications", "shortname": "All Applications"}, "WB" : {"fullname" : "Western blot", "shortname":"WB"}, "IP" : {"fullname" : "Immunoprecipitation", "shortname":"IP"}, "FlowCyt" : {"fullname" : "Flow Cytometry", "shortname":"Flow Cyt"}, "IHCP" : {"fullname" : "Immunohistochemistry (Formalin/PFA-fixed paraffin-embedded sections)", "shortname":"IHC-P"}, "ICCIF" : {"fullname" : "Immunocytochemistry/ Immunofluorescence", "shortname":"ICC/IF"} }, "product-promise": { "all": "all", "testedAndGuaranteed": "tested", "guaranteed": "expected", "predicted": "predicted", "notRecommended": "not-recommended" } }, "values": { "Human": { "WB-species-checked": "guaranteed", "WB-species-dilution-info": "", "WB-species-notes": "", "IP-species-checked": "guaranteed", "IP-species-dilution-info": "", "IP-species-notes": "", "FlowCyt-species-checked": "guaranteed", "FlowCyt-species-dilution-info": "", "FlowCyt-species-notes": "", "IHCP-species-checked": "testedAndGuaranteed", "IHCP-species-dilution-info": "1/100", "IHCP-species-notes": "<p></p> Perform heat-mediated antigen retrieval with Tris/EDTA buffer pH 9.0 before commencing with IHC staining protocol.", "ICCIF-species-checked": "guaranteed", "ICCIF-species-dilution-info": "", "ICCIF-species-notes": "" }, "Transfected cell line": { "WB-species-checked": "notRecommended", "WB-species-dilution-info": "", "WB-species-notes": "", "IP-species-checked": "notRecommended", "IP-species-dilution-info": "", "IP-species-notes": "", "FlowCyt-species-checked": "notRecommended", "FlowCyt-species-dilution-info": "", "FlowCyt-species-notes": "", "IHCP-species-checked": "testedAndGuaranteed", "IHCP-species-dilution-info": "1/100", "IHCP-species-notes": "<p></p> Perform heat-mediated antigen retrieval with Tris/EDTA buffer pH 9.0 before commencing with IHC staining protocol.", "ICCIF-species-checked": "notRecommended", "ICCIF-species-dilution-info": "", "ICCIF-species-notes": "" }, "Transfected cell line - Human": { "WB-species-checked": "notRecommended", "WB-species-dilution-info": "", "WB-species-notes": "", "IP-species-checked": "notRecommended", "IP-species-dilution-info": "", "IP-species-notes": "", "FlowCyt-species-checked": "testedAndGuaranteed", "FlowCyt-species-dilution-info": "1/500", "FlowCyt-species-notes": "<p></p>", "IHCP-species-checked": "notRecommended", "IHCP-species-dilution-info": "", "IHCP-species-notes": "", "ICCIF-species-checked": "testedAndGuaranteed", "ICCIF-species-dilution-info": "1/500", "ICCIF-species-notes": "<p></p>" }, "Transfected cell lysate - Human": { "WB-species-checked": "testedAndGuaranteed", "WB-species-dilution-info": "1/1000", "WB-species-notes": "<p></p>", "IP-species-checked": "testedAndGuaranteed", "IP-species-dilution-info": "1/30", "IP-species-notes": "<p></p>", "FlowCyt-species-checked": "notRecommended", "FlowCyt-species-dilution-info": "", "FlowCyt-species-notes": "", "IHCP-species-checked": "notRecommended", "IHCP-species-dilution-info": "", "IHCP-species-notes": "", "ICCIF-species-checked": "notRecommended", "ICCIF-species-dilution-info": "", "ICCIF-species-notes": "" } } }

Product details

Patented technology
Our RabMAb® technology is a patented hybridoma-based technology for making rabbit monoclonal antibodies. For details on our patents, please refer to RabMAb® patents.

What are the advantages of a recombinant monoclonal antibody?
This product is a recombinant monoclonal antibody, which offers several advantages including:

  • - High batch-to-batch consistency and reproducibility
  • - Improved sensitivity and specificity
  • - Long-term security of supply
  • - Animal-free batch production

For more information, read more on recombinant antibodies.

Properties and storage information

Form
Liquid
Purification technique
Affinity purification Protein A
Storage buffer
pH: 7.2 - 7.4 Preservative: 0.01% Sodium azide Constituents: PBS, 40% Glycerol (glycerin, glycerine), 0.05% BSA
Shipped at conditions
Blue Ice
Appropriate short-term storage duration
1-2 weeks
Appropriate short-term storage conditions
+4°C
Appropriate long-term storage conditions
-20°C
Aliquoting information
Upon delivery aliquot
Storage information
Avoid freeze / thaw cycle

Supplementary information

This supplementary information is collated from multiple sources and compiled automatically.

EGFR VIII also known as EGFRvIII EGFR of 83 or 83 EGFR is a mutant form of the epidermal growth factor receptor (EGFR) with a molecular weight of approximately 145 kDa. This variant results from a deletion of exons 2 to 7 in the EGFR gene which produces a truncated protein that lacks a portion of the extracellular ligand-binding domain. The EGFRvIII does not bind ligands and is constitutively active. It is often expressed in cancer cells particularly in glioblastomas and some other solid tumors but not in normal tissues.
Biological function summary

EGFRvIII modifies signaling pathways that promote cell survival and proliferation. It is a part of cell membrane-based complexes interacting with proteins like PI3K and Src which helps in activating downstream signaling cascades. This constitutive signaling leads to increased oncogenic potential allowing the cells to thrive in uncontrolled manner contributing to tumor progression and resistance to conventional therapies.

Pathways

EGFRvIII participates in key signaling pathways such as the PI3K/AKT pathway and the RAS/RAF/MEK/ERK pathway. These pathways are important in transmitting signals from receptor tyrosine kinases to the cell nucleus. EGFRvIII links with proteins like AKT and ERK to drive processes that control growth and survival. The dysregulation of these pathways due to EGFRvIII activity can result in enhanced proliferative and survival signals in cancer cells.

EGFRvIII is strongly associated with glioblastoma and non-small cell lung cancer. In these conditions EGFRvIII expression correlates with poor prognosis and an aggressive tumor phenotype. The presence of EGFRvIII often accompanies other oncogenic proteins such as PTEN whose loss of function can amplify the oncogenic signaling of EGFRvIII. As a result targeting EGFRvIII represents a potential therapeutic intervention in such aggressive cancer types.

Product protocols

For this product, it's our understanding that no specific protocols are required. You can visit:

Target data

The protein expressed by the EGFR gene functions as a receptor tyrosine kinase, binding with ligands from the EGF family to activate several signaling cascades that translate extracellular signals into cellular responses. Known ligands include EGF, TGFA/TGF-alpha, AREG, epigen, BTC/betacellulin, epiregulin, and HBEGF. Ligand binding triggers receptor dimerization and autophosphorylation, recruiting adapter proteins like GRB2 and activating complex downstream signaling pathways such as RAS-RAF-MEK-ERK, PI3 kinase-AKT, PLCgamma-PKC, and STATs, and possibly the NF-kappa-B cascade. EGFR also directly phosphorylates proteins like RGS16 and MUC1, influencing various cellular processes including its coupling with G protein-coupled receptor signaling and cell migration through interaction with CCDC88A/GIV. Isoform 2 of EGFR may act as an antagonist to EGF actions. In microbial infection, EGFR also serves as a receptor facilitating hepatitis C virus (HCV) entry into hepatocytes by promoting CD81-CLDN1 receptor complexes and enhancing membrane fusion with HCV envelope glycoproteins. This supplementary information is collated from multiple sources and compiled automatically.
See full target information EGFR
enhancedValidationDataWebsite
en

Product promise

We are committed to supporting your work with high-quality reagents, and we're here for you every step of the way. In the unlikely event that one of our products does not perform as expected, you're protected by our Product Promise.
For full details, please see our Terms & Conditions

Please note: All products are 'FOR RESEARCH USE ONLY. NOT FOR USE IN DIAGNOSTIC OR THERAPEUTIC PROCEDURES'.

For licensing inquiries, please contact partnerships@abcam.com