JavaScript is disabled in your browser. Please enable JavaScript to view this website.
AB216964

Anti-Egr1 antibody

0

(1 Review)

|

(3 Publications)

Rabbit Polyclonal EGR1 antibody. Suitable for WB, IHC-P and reacts with Mouse, Rat samples. Cited in 3 publications. Immunogen corresponding to Synthetic Peptide within Human EGR1 aa 400-450 conjugated to Keyhole Limpet Haemocyanin.

View Alternative Names

KROX24, ZNF225, EGR1, Early growth response protein 1, EGR-1, AT225, Nerve growth factor-induced protein A, Transcription factor ETR103, Transcription factor Zif268, Zinc finger protein 225, Zinc finger protein Krox-24, NGFI-A

2 Images
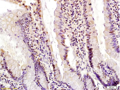
Immunohistochemistry (Formalin/PFA-fixed paraffin-embedded sections) - Anti-Egr1 antibody (AB216964)
  • IHC-P

Supplier Data

Immunohistochemistry (Formalin/PFA-fixed paraffin-embedded sections) - Anti-Egr1 antibody (AB216964)

Immunohistochemical analysis of formalin fixed, paraffin embedded Rat small intestine tissue labeling Egr1 with ab216964 at 1/200 dilution, followed by secondary detection and DAB staining.

Western blot - Anti-Egr1 antibody (AB216964)
  • WB

Lab

Western blot - Anti-Egr1 antibody (AB216964)

All lanes:

Western blot - Anti-Egr1 antibody (ab216964) at 1/500 dilution

All lanes:

Mouse Lung lysates

Secondary

All lanes:

Conjugated secondary antibody at 1/10000 dilution

Predicted band size: 57 kDa

false

Key facts

Host species

Rabbit

Clonality

Polyclonal

Isotype

IgG

Carrier free

No

Reacts with

Mouse, Rat

Applications

WB, IHC-P

applications

Immunogen

Synthetic Peptide within Human EGR1 aa 400-450 conjugated to Keyhole Limpet Haemocyanin. The exact immunogen used to generate this antibody is proprietary information.

P18146

Reactivity data

{ "title": "Reactivity Data", "filters": { "stats": ["", "Species", "Dilution Info", "Notes"], "tabs": { "all-applications": {"fullname" : "All Applications", "shortname": "All Applications"}, "WB" : {"fullname" : "Western blot", "shortname":"WB"}, "IHCP" : {"fullname" : "Immunohistochemistry (Formalin/PFA-fixed paraffin-embedded sections)", "shortname":"IHC-P"} }, "product-promise": { "all": "all", "testedAndGuaranteed": "tested", "guaranteed": "expected", "predicted": "predicted", "notRecommended": "not-recommended" } }, "values": { "Human": { "WB-species-checked": "predicted", "WB-species-dilution-info": "", "WB-species-notes": "", "IHCP-species-checked": "predicted", "IHCP-species-dilution-info": "", "IHCP-species-notes": "" }, "Mouse": { "WB-species-checked": "testedAndGuaranteed", "WB-species-dilution-info": "1/500", "WB-species-notes": "<p></p>", "IHCP-species-checked": "guaranteed", "IHCP-species-dilution-info": "", "IHCP-species-notes": "" }, "Rat": { "WB-species-checked": "guaranteed", "WB-species-dilution-info": "", "WB-species-notes": "", "IHCP-species-checked": "testedAndGuaranteed", "IHCP-species-dilution-info": "1/100 - 1/500", "IHCP-species-notes": "<p></p>" } } }

Properties and storage information

Form
Liquid
Purification technique
Affinity purification Protein A
Storage buffer
pH: 7.4 Preservative: 0.02% Proclin 300 Constituents: 50% Glycerol (glycerin, glycerine), 48.98% TBS, 1X, 1% BSA
Shipped at conditions
Blue Ice
Appropriate short-term storage duration
1-2 weeks
Appropriate short-term storage conditions
+4°C
Appropriate long-term storage conditions
-20°C
Aliquoting information
Upon delivery aliquot
Storage information
Avoid freeze / thaw cycle

Supplementary information

This supplementary information is collated from multiple sources and compiled automatically.

Egr1 also known as early growth response protein 1 is a zinc-finger transcription factor with a molecular weight of approximately 60 kDa. The Egr1 protein plays a significant role in gene expression regulation by binding to specific DNA sequences. This target is highly expressed in a variety of tissues including the brain heart and kidneys. In these tissues Egr1 regulates several cellular processes by activating or repressing target genes. Also Egr1 has monoclonal antibodies available for research purposes providing tools for detailed study in specific cellular contexts.
Biological function summary

Egr1 acts as an immediate-early response gene. It gets rapidly upregulated in response to growth factors stress signals and other extracellular stimuli. As part of the cellular signaling networks Egr1 interacts with other transcription factors to control the expression of genes involved in cell differentiation proliferation and apoptosis. It does not typically form part of a protein complex but may work in concert with other signaling molecules to influence diverse cellular pathways and maintain cellular homeostasis.

Pathways

Egr1 is involved in the MAPK/ERK and PI3K/AKT signaling pathways both key to regulating cellular growth and survival. It functions as a bridging factor that links extracellular signals to transcriptional changes within the nucleus. In the MAPK/ERK pathway Egr1 works alongside proteins like Ras and MEK to promote early gene transcription in response to mitogenic signals. In the PI3K/AKT pathway Egr1 can influence downstream targets reinforcing the pathway's mechanisms in determining cell fate.

Egr1 is linked to cancer and cardiovascular diseases. Abnormal Egr1 expression and activity have been observed in various cancers where it can act as an oncogene or tumor suppressor depending on the context. Abnormal interactions with proteins such as p53 may contribute to tumorigenesis. In cardiovascular diseases Egr1 influences pathological states by regulating genes associated with inflammation and vascular remodeling. The protein’s dysregulation plays a part in atherosclerosis connecting with inflammatory cytokines to promote disease progression.

Product protocols

For this product, it's our understanding that no specific protocols are required. You can visit:

Target data

Transcriptional regulator (PubMed : 20121949). Recognizes and binds to the DNA sequence 5'-GCG(T/G)GGGCG-3'(EGR-site) in the promoter region of target genes (By similarity). Binds double-stranded target DNA, irrespective of the cytosine methylation status (PubMed : 25258363, PubMed : 25999311). Regulates the transcription of numerous target genes, and thereby plays an important role in regulating the response to growth factors, DNA damage, and ischemia. Plays a role in the regulation of cell survival, proliferation and cell death. Activates expression of p53/TP53 and TGFB1, and thereby helps prevent tumor formation. Required for normal progress through mitosis and normal proliferation of hepatocytes after partial hepatectomy. Mediates responses to ischemia and hypoxia; regulates the expression of proteins such as IL1B and CXCL2 that are involved in inflammatory processes and development of tissue damage after ischemia. Regulates biosynthesis of luteinizing hormone (LHB) in the pituitary (By similarity). Regulates the amplitude of the expression rhythms of clock genes : BMAL1, PER2 and NR1D1 in the liver via the activation of PER1 (clock repressor) transcription. Regulates the rhythmic expression of core-clock gene BMAL1 in the suprachiasmatic nucleus (SCN) (By similarity).
See full target information EGR1

Publications (3)

Recent publications for all applications. Explore the full list and refine your search

Pharmacology research & perspectives 13:e70079 PubMed39996441

2025

Psilocin, A Psychedelic Drug, Exerts Anticonvulsant Effects Against PTZ- and MES-Induced Seizures in Mice via 5-HT1A and CB1 Receptors: Involvement of Nitrergic, Opioidergic, and Kynurenine Pathways.

Applications

Unspecified application

Species

Unspecified reactive species

Mohammad Balabandian,Mohammad Amin Manavi,Ali Lesani,Razieh Mohammad Jafari,Hamed Shafaroodi,Navid Heidari,Javad Mirnajafi-Zadeh,Alireza Foroumadi,Arya Afrooghe,Ahmad Reza Dehpour

FASEB journal : official publication of the Federation of American Societies for Experimental Biology 38:e70143 PubMed39708233

2024

Melatonin mitigates intervertebral disc degeneration by suppressing NLRP3 inflammasome activation via the EGR1/DDX3X pathway.

Applications

Unspecified application

Species

Unspecified reactive species

Kangcheng Zhao,Yukun Zhang,Zhiwei Liao,Weifeng Zhang,Gaocai Li,Pengzhi Shi,Zhangrong Cheng,Yuhang Chen,Shuai Li,Kun Wang,Yu Song,Xiaobo Feng,Ran An,Cao Yang

Endocrine journal 68:519-529 PubMed33408314

2021

Knockdown of plasmacytoma variant translocation 1 (PVT1) inhibits high glucose-induced proliferation and renal fibrosis in HRMCs by regulating miR-23b-3p/early growth response factor 1 (EGR1).

Applications

Unspecified application

Species

Unspecified reactive species

Dongmei Yu,Xiaohong Yang,Yong Zhu,Fenyan Xu,Hong Zhang,Zhiqiang Qiu
View all publications

Product promise

We are committed to supporting your work with high-quality reagents, and we're here for you every step of the way. In the unlikely event that one of our products does not perform as expected, you're protected by our Product Promise.
For full details, please see our Terms & Conditions

Please note: All products are 'FOR RESEARCH USE ONLY. NOT FOR USE IN DIAGNOSTIC OR THERAPEUTIC PROCEDURES'.

For licensing inquiries, please contact partnerships@abcam.com