JavaScript is disabled in your browser. Please enable JavaScript to view this website.
AB245228

Anti-EGR2 antibody [EPR23228-40]

  • BOND RX™ Validated
  • RabMAb
  • Recombinant
  • 20ul selling size
  • What is this?

Be the first to review this product! Submit a review

|

(6 Publications)

Rabbit Recombinant Monoclonal EGR2 antibody. Suitable for IHC-P, WB, Flow Cyt (Intra) and reacts with Mouse, Rat samples. Cited in 6 publications.

View Alternative Names

Egr-2, Krox-20, Zfp-25, Egr2, E3 SUMO-protein ligase EGR2, E3 SUMO-protein transferase ERG2, Early growth response protein 2, Zinc finger protein Krox-20, EGR-2

8 Images
Flow Cytometry (Intracellular) - Anti-EGR2 antibody [EPR23228-40] (AB245228)
  • Flow Cyt (Intra)

Lab

Flow Cytometry (Intracellular) - Anti-EGR2 antibody [EPR23228-40] (AB245228)

Flow cytometry overlay histogram showing treated mouse splenocytes on the right (with 5 µg/ml anti-mouse CD3 and 2 µg/ml CD28 for 16 hours) and untreated negative mouse splenocytes on the left, both stained with ab245228 (red line). The cells were fixed with Cytofix and then permeabilised with 2N HCl and 0.1M Borate buffer. The cells were then incubated in 1x PBS containing 10% mouse serum and 10 % normal goat serum to block FC receptors and non-specific protein-protein interaction followed by the antibody (ab245228) (1x 106 in 100μl at 0.2μg/ml (1/10,500 dilution)) for 30 mins at 22°C.

The secondary antibody Goat Anti-Rabbit IgG H&L (Alexa Fluor® 488) preadsorbed was incubated at 1/2000 dilution for 30 mins at 22°C

Isotype control antibody (black line) was Recombinant Rabbit IgG, monoclonal [EPR25A] - Isotype Control used at the same concentration and conditions as the primary antibody. Unlabelled sample (blue line) was also used as a control.

Acquisition of >5000 events were collected using a 50 mW Blue laser (488nm) and 525/40 bandpass filter.

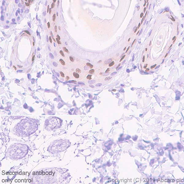
Immunohistochemistry (Formalin/PFA-fixed paraffin-embedded sections) - Anti-EGR2 antibody [EPR23228-40] (AB245228)
  • IHC-P

Unknown

Immunohistochemistry (Formalin/PFA-fixed paraffin-embedded sections) - Anti-EGR2 antibody [EPR23228-40] (AB245228)

Immunohistochemical analysis of paraffin-embedded Rat skin tissue labeling EGR2 with ab245228 at 1/2000 dilution followed by a ready to use Rabbit specific IHC polymer detection kit HRP/DAB (ab209101). IHC results showed nuclear staining on the rat skin (PMID : 21514423, 21514423).The section was incubated with ab245228 for 30 mins at room temperature. The immunostaining staining was performed on a Leica Biosystems BOND® RX instrument. Counterstained with Hematoxylin.

Secondary antibody only control : Secondary antibody is a ready to use Rabbit specific IHC polymer detection kit HRP/DAB (ab209101).

Heat mediated antigen retrieval with Citrate buffer (pH 6.0, epitope retrieval solution 1) for 20 mins

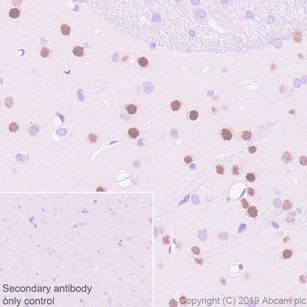
Immunohistochemistry (Formalin/PFA-fixed paraffin-embedded sections) - Anti-EGR2 antibody [EPR23228-40] (AB245228)
  • IHC-P

Unknown

Immunohistochemistry (Formalin/PFA-fixed paraffin-embedded sections) - Anti-EGR2 antibody [EPR23228-40] (AB245228)

Immunohistochemical analysis of paraffin-embedded Mouse cerebrum tissue labeling EGR2 with ab245228 at 1/2000 dilution followed by a ready to use Rabbit specific IHC polymer detection kit HRP/DAB (ab209101). IHC results showed nuclear staining on the mouse cerebrum (PMID : 30122531).The section was incubated with ab245228 for 30 mins at room temperature. The immunostaining staining was performed on a Leica Biosystems BOND® RX instrument. Counterstained with Hematoxylin.

Secondary antibody only control : Secondary antibody is a ready to use Rabbit specific IHC polymer detection kit HRP/DAB (ab209101).

Heat mediated antigen retrieval with Citrate buffer (pH 6.0, epitope retrieval solution 1) for 20 mins

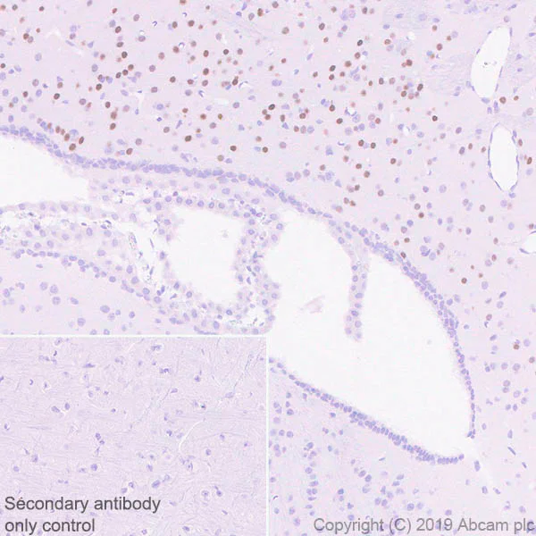
Immunohistochemistry (Formalin/PFA-fixed paraffin-embedded sections) - Anti-EGR2 antibody [EPR23228-40] (AB245228)
  • IHC-P

Unknown

Immunohistochemistry (Formalin/PFA-fixed paraffin-embedded sections) - Anti-EGR2 antibody [EPR23228-40] (AB245228)

Immunohistochemical analysis of paraffin-embedded Rat cerebrum tissue labeling EGR2 with ab245228 at 1/2000 dilution followed by a ready to use Rabbit specific IHC polymer detection kit HRP/DAB (ab209101). IHC results showed nuclear staining on the rat cerebrum.The section was incubated with ab245228 for 30 mins at room temperature. The immunostaining staining was performed on a Leica Biosystems BOND® RX instrument. Counterstained with Hematoxylin.

Secondary antibody only control : Secondary antibody is a ready to use Rabbit specific IHC polymer detection kit HRP/DAB (ab209101).

Heat mediated antigen retrieval with Citrate buffer (pH 6.0, epitope retrieval solution 1) for 20 mins

Flow Cytometry (Intracellular) - Anti-EGR2 antibody [EPR23228-40] (AB245228)
  • Flow Cyt (Intra)

Lab

Flow Cytometry (Intracellular) - Anti-EGR2 antibody [EPR23228-40] (AB245228)

Flow cytometry overlay histogram showing mouse splenocytes treated with 2.5µg/ml Concanavalin A for 24 hours (bottom panel) and negative untreated mouse splenocytes (top panel) stained with ab245228. The cells were incubated in 1x PBS containing 10μg/ml anti CD16/CD32 and 10% normal goat serum to block FC receptors and non-specific protein-protein interactions, followed by the antibody (ab245228) (1x 106 in 100μl at 5 μg/ml (1/100 dilution)) and CD4-APC multistain for 30min on ice.

The secondary antibody Goat Anti-Rabbit IgG H&L (Alexa Fluor® 488) preadsorbed was incubated at 1/4000 for 30min on ice.

Isotype control antibody (black line) was Recombinant Rabbit IgG, monoclonal [EPR25A] - Isotype Control used at the same concentration and conditions as the primary antibody. Unlabelled sample (blue line) was also used as a control.

Acquisition of >5000 events were collected using a 50 mW Blue laser (488nm) and 525/40 bandpass filter.

Flow Cytometry (Intracellular) - Anti-EGR2 antibody [EPR23228-40] (AB245228)
  • Flow Cyt (Intra)

Unknown

Flow Cytometry (Intracellular) - Anti-EGR2 antibody [EPR23228-40] (AB245228)

Intracellular flow cytometric analysis of 2% paraformaldehyde fixed, True-Nuclear buffer-permeabilized Mouse splenocyte (treated with 5ug/ml anti-mouse CD3 and 2ug/ml anti-mouse CD28 for 16h) cells labelling EGR2 with ab245228 at 1/500 dilution (Right) compared with a Rabbit monoclonal IgG (ab172730) isotype control (Left). Goat anti rabbit IgG (Alexa Fluor® 488, ab150077) at 1/2000 dilution was used as the secondary antibody.

Cells were surface stained with anti-CD4 conjugated to APC-Cy7 . Then fixed with 2% PFA for 10min followed by intracellularly stained with rabbit IgG (Left) or ab245228 (Right).

Western blot - Anti-EGR2 antibody [EPR23228-40] (AB245228)
  • WB

Supplier Data

Western blot - Anti-EGR2 antibody [EPR23228-40] (AB245228)

Blocking and dilution buffer : 5% NFDM/TBST.

Expopsure time : 3 minutes.

The molecular weight observed is consistent with what has been described in the literature (PMID : 23747308).

All lanes:

Western blot - Anti-EGR2 antibody [EPR23228-40] (ab245228) at 1/1000 dilution

All lanes:

Rat brain tissue lysate at 20 µg

Secondary

All lanes:

Western blot - Goat Anti-Rabbit IgG H&L (HRP) (<a href='/en-us/products/secondary-antibodies/goat-rabbit-igg-h-l-hrp-ab97051'>ab97051</a>) at 1/100000 dilution

Predicted band size: 50 kDa

Observed band size: 53 kDa

false

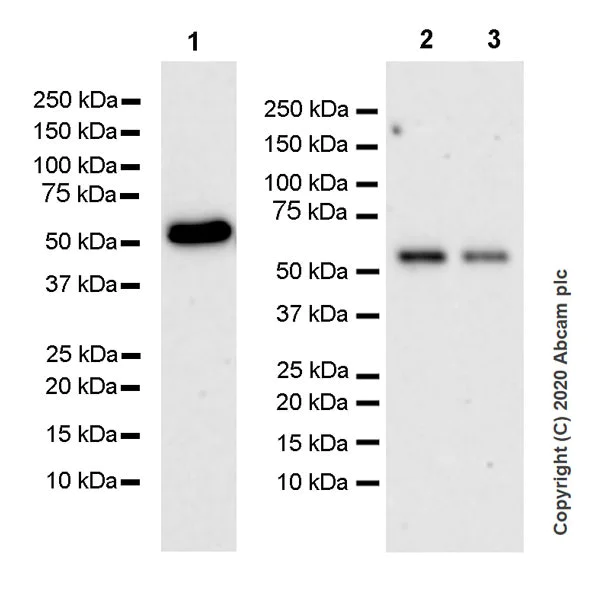
Western blot - Anti-EGR2 antibody [EPR23228-40] (AB245228)
  • WB

Supplier Data

Western blot - Anti-EGR2 antibody [EPR23228-40] (AB245228)

Blocking and dilution buffer : 5% NFDM/TBST.

Exposure time : 3 minutes.

The molecular weight observed is consistent with what has been described in the literature (PMID : 23747308).

All lanes:

Western blot - Anti-EGR2 antibody [EPR23228-40] (ab245228) at 1/1000 dilution

Lane 1:

Mouse P0 cerebellum tissue lysate at 20 µg

Lane 2:

Mouse thymus tissue lysate at 20 µg

Lane 3:

Rat thymus tissue lysate at 20 µg

Secondary

All lanes:

Western blot - Goat Anti-Rabbit IgG H&L (HRP) (<a href='/en-us/products/secondary-antibodies/goat-rabbit-igg-h-l-hrp-ab97051'>ab97051</a>) at 1/100000 dilution

Predicted band size: 50 kDa

Observed band size: 53 kDa

false

Key facts

Host species

Rabbit

Clonality

Monoclonal

Clone number

EPR23228-40

Isotype

IgG

Carrier free

No

Reacts with

Mouse, Rat

Applications

Flow Cyt (Intra), WB, IHC-P

applications

Immunogen

The exact immunogen used to generate this antibody is proprietary information.

Reactivity data

{ "title": "Reactivity Data", "filters": { "stats": ["", "Species", "Dilution Info", "Notes"], "tabs": { "all-applications": {"fullname" : "All Applications", "shortname": "All Applications"}, "IHCP" : {"fullname" : "Immunohistochemistry (Formalin/PFA-fixed paraffin-embedded sections)", "shortname":"IHC-P"}, "IP" : {"fullname" : "Immunoprecipitation", "shortname":"IP"}, "ChIP" : {"fullname" : "ChIP", "shortname":"ChIP"}, "WB" : {"fullname" : "Western blot", "shortname":"WB"}, "ICCIF" : {"fullname" : "Immunocytochemistry/ Immunofluorescence", "shortname":"ICC/IF"}, "IHCFr" : {"fullname" : "Immunohistochemistry (Frozen sections)", "shortname":"IHC-Fr"}, "FlowCytIntra" : {"fullname" : "Flow Cytometry (Intracellular)", "shortname":"Flow Cyt (Intra)"} }, "product-promise": { "all": "all", "testedAndGuaranteed": "tested", "guaranteed": "expected", "predicted": "predicted", "notRecommended": "not-recommended" } }, "values": { "Human": { "IHCP-species-checked": "notRecommended", "IHCP-species-dilution-info": "1/2000", "IHCP-species-notes": "<p></p> Perform heat-mediated antigen retrieval with citrate buffer pH 6 before commencing with IHC staining protocol.", "IP-species-checked": "notRecommended", "IP-species-dilution-info": "", "IP-species-notes": "", "ChIP-species-checked": "notRecommended", "ChIP-species-dilution-info": "", "ChIP-species-notes": "", "WB-species-checked": "notRecommended", "WB-species-dilution-info": "", "WB-species-notes": "", "ICCIF-species-checked": "notRecommended", "ICCIF-species-dilution-info": "", "ICCIF-species-notes": "", "IHCFr-species-checked": "notRecommended", "IHCFr-species-dilution-info": "", "IHCFr-species-notes": "", "FlowCytIntra-species-checked": "notRecommended", "FlowCytIntra-species-dilution-info": "", "FlowCytIntra-species-notes": "" }, "Mouse": { "IHCP-species-checked": "testedAndGuaranteed", "IHCP-species-dilution-info": "1/2000", "IHCP-species-notes": "<p></p> Perform heat-mediated antigen retrieval with citrate buffer pH 6 before commencing with IHC staining protocol.", "IP-species-checked": "notRecommended", "IP-species-dilution-info": "", "IP-species-notes": "<p></p>", "ChIP-species-checked": "notRecommended", "ChIP-species-dilution-info": "", "ChIP-species-notes": "<p></p>", "WB-species-checked": "testedAndGuaranteed", "WB-species-dilution-info": "1/1000", "WB-species-notes": "<p></p>", "ICCIF-species-checked": "notRecommended", "ICCIF-species-dilution-info": "", "ICCIF-species-notes": "<p></p>", "IHCFr-species-checked": "notRecommended", "IHCFr-species-dilution-info": "", "IHCFr-species-notes": "<p></p>", "FlowCytIntra-species-checked": "testedAndGuaranteed", "FlowCytIntra-species-dilution-info": "1/10650", "FlowCytIntra-species-notes": "<p></p>" }, "Rat": { "IHCP-species-checked": "testedAndGuaranteed", "IHCP-species-dilution-info": "1/2000", "IHCP-species-notes": "<p></p> Perform heat-mediated antigen retrieval with citrate buffer pH 6 before commencing with IHC staining protocol.", "IP-species-checked": "notRecommended", "IP-species-dilution-info": "", "IP-species-notes": "", "ChIP-species-checked": "notRecommended", "ChIP-species-dilution-info": "", "ChIP-species-notes": "", "WB-species-checked": "testedAndGuaranteed", "WB-species-dilution-info": "1/1000", "WB-species-notes": "<p></p>", "ICCIF-species-checked": "notRecommended", "ICCIF-species-dilution-info": "", "ICCIF-species-notes": "", "IHCFr-species-checked": "notRecommended", "IHCFr-species-dilution-info": "", "IHCFr-species-notes": "<p></p>", "FlowCytIntra-species-checked": "guaranteed", "FlowCytIntra-species-dilution-info": "", "FlowCytIntra-species-notes": "" } } }

Product details

Patented technology
Our RabMAb® technology is a patented hybridoma-based technology for making rabbit monoclonal antibodies. For details on our patents, please refer to RabMAb® patents.

What are the advantages of a recombinant monoclonal antibody?
This product is a recombinant monoclonal antibody, which offers several advantages including:

  • - High batch-to-batch consistency and reproducibility
  • - Improved sensitivity and specificity
  • - Long-term security of supply
  • - Animal-free batch production

For more information, read more on recombinant antibodies.

Properties and storage information

Form
Liquid
Purification technique
Affinity purification Protein A
Storage buffer
pH: 7.2 - 7.4 Preservative: 0.01% Sodium azide Constituents: PBS, 40% Glycerol (glycerin, glycerine), 0.05% BSA
Shipped at conditions
Blue Ice
Appropriate short-term storage duration
1-2 weeks
Appropriate short-term storage conditions
+4°C
Appropriate long-term storage conditions
-20°C
Aliquoting information
Upon delivery aliquot
Storage information
Avoid freeze / thaw cycle

Supplementary information

This supplementary information is collated from multiple sources and compiled automatically.

EGR2 also known as early growth response 2 or KROX20 refers to a transcription factor with a mass of approximately 53 kDa. This protein plays a significant role in gene expression and regulates various genes involved in cellular growth and differentiation. EGR2 is expressed in various tissues with notable presence in the nervous system particularly within Schwann cells and the developing vertebrate nervous system. It can also be found in immune system cells including T and B cells.
Biological function summary

EGR2 influences the development and function of the peripheral nervous system contributing to processes like nerve myelination. It acts as a transcriptional regulator controlling the expression of genes that are essential for the maintenance of myelin sheaths around nerves. While EGR2 does not directly form part of a protein complex its role as a transcription factor allows it to interact with many other proteins to exert its regulatory functions.

Pathways

EGR2 participates in cellular pathways such as the MAPK/ERK signaling pathway and the immune response pathway. In the MAPK/ERK pathway EGR2 interacts with proteins like ERK1/2 to regulate cell growth and differentiation. In immune response pathways EGR2 modulates the differentiation of T cells impacting immune homeostasis and function by influencing gene expression pertinent to immune regulation.

Mutations or dysregulation of EGR2 can relate to Charcot-Marie-Tooth disease type 1 a peripheral nerve disorder. This neuropathy impacts myelin production where alterations in EGR2 play a role alongside proteins like PMP22 which are also affected in the disorder. Additionally EGR2 expression irregularities have been studied in connection with systemic lupus erythematosus in which immune cell regulation becomes impaired affecting proteins involved in immune signaling.

Product protocols

For this product, it's our understanding that no specific protocols are required. You can visit:

Target data

Sequence-specific DNA-binding transcription factor (PubMed : 11823429, PubMed : 1674431, PubMed : 1969796, PubMed : 31852952). Plays a role in hindbrain segmentation by regulating the expression of a subset of homeobox containing genes and in Schwann cell myelination by regulating the expression of genes involved in the formation and maintenance of myelin (PubMed : 11823429, PubMed : 1674431, PubMed : 1969796, PubMed : 31852952, PubMed : 8093858). Binds to two EGR2-consensus sites EGR2A (5'-CTGTAGGAG-3') and EGR2B (5'-ATGTAGGTG-3') in the HOXB3 enhancer and promotes HOXB3 transcriptional activation (PubMed : 11823429). Binds to specific DNA sites located in the promoter region of HOXA4, HOXB2 and ERBB2 (PubMed : 17938205, PubMed : 1969796, PubMed : 8093858). Regulates hindbrain segmentation by controlling the expression of Hox genes, such as HOXA4, HOXB3 and HOXB2, and thereby specifying odd and even rhombomeres (PubMed : 11823429, PubMed : 1674431). Promotes the expression of HOXB3 in the rhombomere r5 and of HOXB3 in r3 and r5 in the hindbrain (PubMed : 11823429, PubMed : 8093858). Regulates myelination in the peripheral nervous system after birth, possibly by regulating the expression of myelin proteins, such as MPZ, and by promoting the differentiation of Schwann cells (PubMed : 10068633, PubMed : 7935840). Involved in the development of the jaw openener musculature, probably by playing a role in its innervation through trigeminal motor neurons (PubMed : 11509834). May play a role in adipogenesis, possibly by regulating the expression of CEBPB (PubMed : 16054051).. E3 SUMO-protein ligase helping SUMO1 conjugation to its coregulators NAB1 and NAB2, whose sumoylation down-regulates EGR2 transcriptional activity.
See full target information Egr2

Publications (6)

Recent publications for all applications. Explore the full list and refine your search

Cell death & disease 16:490 PubMed40610400

2025

Erythropoietin decreases apoptosis and promotes Schwann cell repair and phagocytosis following nerve crush injury in mice.

Applications

Unspecified application

Species

Unspecified reactive species

Prem Kumar Govindappa,Govindaraj Ellur,John P Hegarty,Akash Gupta,Rahul V G,John C Elfar

The Journal of neuroscience : the official journal of the Society for Neuroscience 44: PubMed39054068

2024

TFEB/3 Govern Repair Schwann Cell Generation and Function Following Peripheral Nerve Injury.

Applications

Unspecified application

Species

Unspecified reactive species

Akash A Patel,Hyukmin Kim,Raghu Ramesh,Anthony Marquez,Moler M Faraj,Henri Antikainen,Andrew S Lee,Adriana Torres,Imran M Khawaja,Corey Heffernan,Edward M Bonder,Patrice Maurel,John Svaren,Young-Jin Son,Radek Dobrowolski,Haesun A Kim

BioTechniques 74:237-241 PubMed37199238

2023

Instant Pot for antigen retrieval: a simple, safe and economical method for use in immunohistochemistry.

Applications

Unspecified application

Species

Unspecified reactive species

Nolan Kearns,Karli Norville,John G Frelinger

BMC cardiovascular disorders 22:373 PubMed35971091

2022

EGR2 is a hub-gene in myocardial infarction and aggravates inflammation and apoptosis in hypoxia-induced cardiomyocytes.

Applications

Unspecified application

Species

Unspecified reactive species

Zhixiang Bo,Shuwen Huang,Li Li,Lin Chen,Ping Chen,Xiaoyi Luo,Fang Shi,Bing Zhu,Lin Shen

Kidney & blood pressure research 47:177-184 PubMed35038705

2022

LncRNA Dlx6os1 Accelerates Diabetic Nephropathy Progression by Epigenetically Repressing SOX6 via Recruiting EZH2.

Applications

Unspecified application

Species

Unspecified reactive species

Yan-Xia Chen,Shu-Ying Zhu,Chong Huang,Cheng-Yun Xu,Xiang-Dong Fang,Wei-Ping Tu

Cellular and molecular gastroenterology and hepatology 11:597-621 PubMed32987153

2020

Tristetraprolin Promotes Hepatic Inflammation and Tumor Initiation but Restrains Cancer Progression to Malignancy.

Applications

Unspecified application

Species

Unspecified reactive species

Dobrochna Dolicka,Cyril Sobolewski,Monika Gjorgjieva,Marta Correia de Sousa,Flavien Berthou,Claudio De Vito,Didier J Colin,Olivia Bejuy,Margot Fournier,Christine Maeder,Perry J Blackshear,Laura Rubbia-Brandt,Michelangelo Foti
View all publications

Product promise

We are committed to supporting your work with high-quality reagents, and we're here for you every step of the way. In the unlikely event that one of our products does not perform as expected, you're protected by our Product Promise.
For full details, please see our Terms & Conditions

Please note: All products are 'FOR RESEARCH USE ONLY. NOT FOR USE IN DIAGNOSTIC OR THERAPEUTIC PROCEDURES'.

For licensing inquiries, please contact partnerships@abcam.com