JavaScript is disabled in your browser. Please enable JavaScript to view this website.
AB272903

Anti-EGR3 antibody

Be the first to review this product! Submit a review

|

(0 Publication)

Rabbit Polyclonal EGR3 antibody. Suitable for WB and reacts with Mouse, Human, Rat samples. Immunogen corresponding to Recombinant Fragment Protein within Human EGR3.

View Alternative Names

PILOT, EGR3, Early growth response protein 3, EGR-3, Zinc finger protein pilot

2 Images
Western blot - Anti-EGR3 antibody (AB272903)
  • WB

Supplier Data

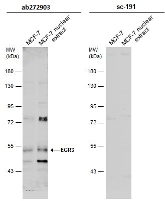
Western blot - Anti-EGR3 antibody (AB272903)

7.5% SDS-PAGE.

Western blot comparsion between ab272903 (Left) and a competitor antibody (Right).

All lanes:

Western blot - Anti-EGR3 antibody (ab272903) at 1/500 dilution

Lane 1:

MCF7 whole cell lysate at 30 µg

Lane 2:

MCF7 nuclear extract whole cell lysate at 30 µg

Secondary

All lanes:

HRP-conjugated anti-rabbit IgG antibody

Predicted band size: 43 kDa

false

Western blot - Anti-EGR3 antibody (AB272903)
  • WB

Unknown

Western blot - Anti-EGR3 antibody (AB272903)

All lanes:

Western blot - Anti-EGR3 antibody (ab272903) at 1/300 dilution

Lane 1:

Mouse brain lysate at 50 mg/mL

Lane 2:

Rat brain lysate at 50 µg

Secondary

All lanes:

HRP-conjugated anti-rabbit IgG antibody

Predicted band size: 43 kDa

false

Key facts

Host species

Rabbit

Clonality

Polyclonal

Isotype

IgG

Carrier free

No

Reacts with

Mouse, Rat, Human

Applications

WB

applications

Immunogen

Recombinant Fragment Protein within Human EGR3. The exact immunogen used to generate this antibody is proprietary information.

Q06889

Reactivity data

{ "title": "Reactivity Data", "filters": { "stats": ["", "Species", "Dilution Info", "Notes"], "tabs": { "all-applications": {"fullname" : "All Applications", "shortname": "All Applications"}, "WB" : {"fullname" : "Western blot", "shortname":"WB"} }, "product-promise": { "all": "all", "testedAndGuaranteed": "tested", "guaranteed": "expected", "predicted": "predicted", "notRecommended": "not-recommended" } }, "values": { "Human": { "WB-species-checked": "testedAndGuaranteed", "WB-species-dilution-info": "1/100 - 1/3000", "WB-species-notes": "<p></p>" }, "Mouse": { "WB-species-checked": "testedAndGuaranteed", "WB-species-dilution-info": "1/100 - 1/3000", "WB-species-notes": "<p></p>" }, "Rat": { "WB-species-checked": "testedAndGuaranteed", "WB-species-dilution-info": "1/100 - 1/3000", "WB-species-notes": "<p></p>" } } }

Properties and storage information

Form
Liquid
Purification technique
Affinity purification Immunogen
Storage buffer
pH: 7 Preservative: 0.01% Thimerosal (merthiolate) Constituents: PBS, 20% Glycerol (glycerin, glycerine)
Shipped at conditions
Blue Ice
Appropriate short-term storage duration
1-2 weeks
Appropriate short-term storage conditions
+4°C
Appropriate long-term storage conditions
-20°C
Aliquoting information
Upon delivery aliquot
Storage information
Avoid freeze / thaw cycle

Supplementary information

This supplementary information is collated from multiple sources and compiled automatically.

EGR3 also known as Early Growth Response 3 is a transcription factor involved in regulating gene expression. The protein weighs around 40 kDa and is expressed across various tissues including the brain thymus and spleen. EGR3 functions by binding to specific DNA sequences modulating the transcription of target genes. As part of the early growth response proteins it has roles in the nervous system and immune response.
Biological function summary

EGR3 influences several cellular processes by modulating gene expression related to cell growth and apoptosis. It's not part of a complex but acts individually to activate or repress target genes. In the nervous system EGR3 contributes to neuronal plasticity and differentiation. In immune systems it aids in the development and function of thymic cells affecting the maturation of T lymphocytes.

Pathways

EGR3 participates in the MAPK signaling pathway and is highly active in the PI3K/AKT pathway. Within these pathways it interacts with other transcription factors and signaling molecules including EGR1 and EGR2 to regulate cell proliferation and survival. These interactions enable EGR3 to play a significant role in cellular responses to external stimuli and stress.

EGR3 has connections to schizophrenia and systemic lupus erythematosus (SLE). Altered expression of EGR3 is observed in these conditions suggesting its involvement in their pathophysiology. In schizophrenia EGR3 has links with proteins such as Neuregulin 1 influencing synaptic plasticity and cognitive functions. Similarly in SLE it interacts with immune response pathways suggesting its role in autoimmunity and inflammation processes.

Product protocols

For this product, it's our understanding that no specific protocols are required. You can visit:

Target data

Probable transcription factor involved in muscle spindle development.
See full target information EGR3

Product promise

We are committed to supporting your work with high-quality reagents, and we're here for you every step of the way. In the unlikely event that one of our products does not perform as expected, you're protected by our Product Promise.
For full details, please see our Terms & Conditions

Please note: All products are 'FOR RESEARCH USE ONLY. NOT FOR USE IN DIAGNOSTIC OR THERAPEUTIC PROCEDURES'.

For licensing inquiries, please contact partnerships@abcam.com