JavaScript is disabled in your browser. Please enable JavaScript to view this website.
AB239966

Anti-EHD1 antibody [EPR4954] - BSA and Azide free

Be the first to review this product! Submit a review

|

(1 Publication)

Rabbit Recombinant Monoclonal EHD1 antibody. Carrier free. Suitable for IHC-P, IP, WB and reacts with Rat, Human, Mouse samples. Cited in 1 publication.

View Alternative Names

PAST, PAST1, CDABP0131, EHD1, EH domain-containing protein 1, PAST homolog 1, Testilin, hPAST1

6 Images
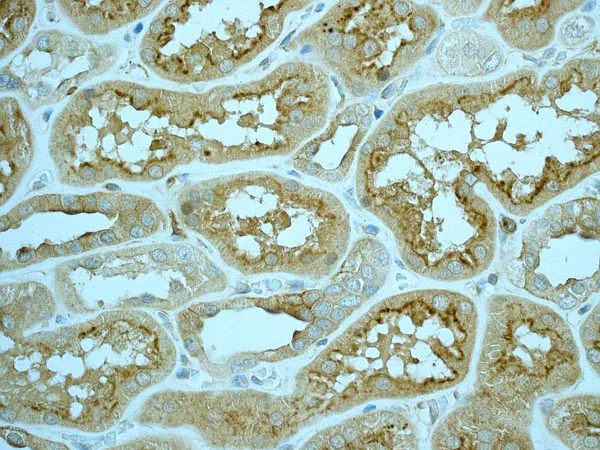
Immunohistochemistry (Formalin/PFA-fixed paraffin-embedded sections) - Anti-EHD1 antibody [EPR4954] - BSA and Azide free (AB239966)
  • IHC-P

Unknown

Immunohistochemistry (Formalin/PFA-fixed paraffin-embedded sections) - Anti-EHD1 antibody [EPR4954] - BSA and Azide free (AB239966)

Immunohistochemical analysis of EHD1 in paraffin embedded Human kidney tissue, using ab109311 at a 1/100 dilution.

This data was developed using the same antibody clone in a different buffer formulation containing PBS, BSA, glycerol, and sodium azide (ab109311).

Perform heat mediated antigen retrieval before commencing with IHC staining protocol.

Immunohistochemistry (Formalin/PFA-fixed paraffin-embedded sections) - Anti-EHD1 antibody [EPR4954] - BSA and Azide free (AB239966)
  • IHC-P

Unknown

Immunohistochemistry (Formalin/PFA-fixed paraffin-embedded sections) - Anti-EHD1 antibody [EPR4954] - BSA and Azide free (AB239966)

Immunohistochemistry (Formalin/PFA-fixed paraffin-embedded sections) analysis of human thyroid carcinoma tissue sections labeling EHD1 with purified ab109311 at 1/120 dilution (2.85 μg/ml). Heat mediated antigen retrieval using Bond™ Epitope Retrieval Solution 2 (pH 9.0). Rabbit specific IHC polymer detection kit HRP/DAB (ab209101) was used as the secondary antibody.

Negative control : PBS instead of the primary antibody.

Hematoxylin was used as a counterstain.

This data was developed using the same antibody clone in a different buffer formulation containing PBS, BSA, glycerol, and sodium azide (ab109311).

Immunohistochemistry (Formalin/PFA-fixed paraffin-embedded sections) - Anti-EHD1 antibody [EPR4954] - BSA and Azide free (AB239966)
  • IHC-P

Unknown

Immunohistochemistry (Formalin/PFA-fixed paraffin-embedded sections) - Anti-EHD1 antibody [EPR4954] - BSA and Azide free (AB239966)

Immunohistochemical analysis of EHD1 in paraffin embedded Human tonsil tissue, using ab109311 at a 1/100 dilution.

This data was developed using the same antibody clone in a different buffer formulation containing PBS, BSA, glycerol, and sodium azide (ab109311).

Perform heat mediated antigen retrieval before commencing with IHC staining protocol.

Immunohistochemistry (Formalin/PFA-fixed paraffin-embedded sections) - Anti-EHD1 antibody [EPR4954] - BSA and Azide free (AB239966)
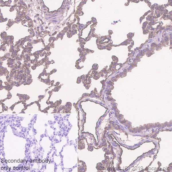
  • IHC-P

Unknown

Immunohistochemistry (Formalin/PFA-fixed paraffin-embedded sections) - Anti-EHD1 antibody [EPR4954] - BSA and Azide free (AB239966)

Immunohistochemistry (Formalin/PFA-fixed paraffin-embedded sections) analysis of rat lung tissue sections labeling EHD1 with purified ab109311 at 1/1600 dilution (0.21 μg/ml). Heat mediated antigen retrieval using Bond™ Epitope Retrieval Solution 2 (pH 9.0). Rabbit specific IHC polymer detection kit HRP/DAB (ab209101) was used as the secondary antibody.

Negative control : PBS instead of the primary antibody.

Hematoxylin was used as a counterstain.

This data was developed using the same antibody clone in a different buffer formulation containing PBS, BSA, glycerol, and sodium azide (ab109311)

Immunohistochemistry (Formalin/PFA-fixed paraffin-embedded sections) - Anti-EHD1 antibody [EPR4954] - BSA and Azide free (AB239966)
  • IHC-P

Unknown

Immunohistochemistry (Formalin/PFA-fixed paraffin-embedded sections) - Anti-EHD1 antibody [EPR4954] - BSA and Azide free (AB239966)

Immunohistochemistry (Formalin/PFA-fixed paraffin-embedded sections) analysis of mouse lung tissue sections labeling EHD1 with purified ab109311 at 1/1600 dilution (0.21 μg/ml). Heat mediated antigen retrieval using Bond™ Epitope Retrieval Solution 2 (pH 9.0). Rabbit specific IHC polymer detection kit HRP/DAB (ab209101) was used as the secondary antibody.

Negative control : PBS instead of the primary antibody.

Hematoxylin was used as a counterstain.

This data was developed using the same antibody clone in a different buffer formulation containing PBS, BSA, glycerol, and sodium azide (ab109311).

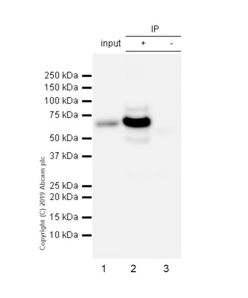
Immunoprecipitation - Anti-EHD1 antibody [EPR4954] - BSA and Azide free (AB239966)
  • IP

Unknown

Immunoprecipitation - Anti-EHD1 antibody [EPR4954] - BSA and Azide free (AB239966)

ab109311 (purified ) at 1/30 dilution (2ug) immunoprecipitating EHD1 in HeLa whole cell lysate.

Lane 1 (input) : HeLa (Human cervix adenocarcinoma epithelial cell) whole cell lysate 10ug
Lane 2 (+) : ab109311 & HeLa whole cell lysate
Lane 3 (-) : Rabbit monoclonal IgG (ab172730) instead of ab109311 in HeLa whole cell lysate

For western blotting, VeriBlot for IP Detection Reagent (HRP) (ab131366) was used at 1/1000 dilution.

Blocking and diluting buffer : 5% NFDM/TBST.

This data was developed using the same antibody clone in a different buffer formulation containing PBS, BSA, glycerol, and sodium azide (ab109311).

All lanes:

Immunoprecipitation - Anti-EHD1 antibody [EPR4954] (<a href='/en-us/products/primary-antibodies/ehd1-antibody-epr4954-ab109311'>ab109311</a>)

Predicted band size: 61 kDa

Observed band size: 68 kDa

false

Key facts

Host species

Rabbit

Clonality

Monoclonal

Clone number

EPR4954

Isotype

IgG

Carrier free

Yes

Reacts with

Rat, Human, Mouse

Applications

IP, WB, IHC-P

applications

Immunogen

The exact immunogen used to generate this antibody is proprietary information.

Reactivity data

{ "title": "Reactivity Data", "filters": { "stats": ["", "Species", "Dilution Info", "Notes"], "tabs": { "all-applications": {"fullname" : "All Applications", "shortname": "All Applications"}, "IHCP" : {"fullname" : "Immunohistochemistry (Formalin/PFA-fixed paraffin-embedded sections)", "shortname":"IHC-P"}, "IP" : {"fullname" : "Immunoprecipitation", "shortname":"IP"}, "WB" : {"fullname" : "Western blot", "shortname":"WB"} }, "product-promise": { "all": "all", "testedAndGuaranteed": "tested", "guaranteed": "expected", "predicted": "predicted", "notRecommended": "not-recommended" } }, "values": { "Human": { "IHCP-species-checked": "guaranteed", "IHCP-species-dilution-info": "", "IHCP-species-notes": "", "IP-species-checked": "testedAndGuaranteed", "IP-species-dilution-info": "", "IP-species-notes": "<p></p>", "WB-species-checked": "guaranteed", "WB-species-dilution-info": "", "WB-species-notes": "<p></p>" }, "Mouse": { "IHCP-species-checked": "predicted", "IHCP-species-dilution-info": "", "IHCP-species-notes": "", "IP-species-checked": "predicted", "IP-species-dilution-info": "", "IP-species-notes": "", "WB-species-checked": "guaranteed", "WB-species-dilution-info": "", "WB-species-notes": "<p></p>" }, "Rat": { "IHCP-species-checked": "testedAndGuaranteed", "IHCP-species-dilution-info": "", "IHCP-species-notes": "<p>Heat to 98°C, allow to cool for 10-20 minutes.</p> Perform heat-mediated antigen retrieval before commencing with IHC staining protocol.", "IP-species-checked": "guaranteed", "IP-species-dilution-info": "", "IP-species-notes": "", "WB-species-checked": "guaranteed", "WB-species-dilution-info": "", "WB-species-notes": "<p></p>" } } }

Product details

ab239966 is the carrier-free version of ab109311.

Patented technology
Our RabMAb® technology is a patented hybridoma-based technology for making rabbit monoclonal antibodies. For details on our patents, please refer to RabMAb® patents.

What are the advantages of a recombinant monoclonal antibody?
This product is a recombinant monoclonal antibody, which offers several advantages including:

  • - High batch-to-batch consistency and reproducibility
  • - Improved sensitivity and specificity
  • - Long-term security of supply
  • - Animal-free batch production

For more information, read more on recombinant antibodies.

Conjugation ready
Our carrier-free antibodies are typically supplied in a PBS-only formulation, purified and free of BSA, sodium azide and glycerol. This conjugation-ready format is designed for use with fluorochromes, metal isotopes, oligonucleotides, and enzymes, which makes them ideal for antibody labelling, functional and cell-based assays, flow-based assays (e.g. mass cytometry) and Multiplex Imaging applications.

Use our conjugation kits for antibody conjugates that are ready-to-use in as little as 20 minutes with 1 minute hands-on-time and 100% antibody recovery: available for fluorescent dyes, HRP, biotin and gold.

Compatibility
This product is compatible with the Maxpar® Antibody Labeling Kit from Fluidigm, without the need for antibody preparation. Maxpar® is a trademark of Fluidigm Canada Inc.

Properties and storage information

Form
Liquid
Purification technique
Affinity purification Protein A
Storage buffer
pH: 7.2 - 7.4 Constituents: PBS
Shipped at conditions
Blue Ice
Appropriate short-term storage conditions
+4°C
Appropriate long-term storage conditions
+4°C
Storage information
Do Not Freeze

Supplementary information

This supplementary information is collated from multiple sources and compiled automatically.

EHD1 also known as Eps15 homology domain-containing protein 1 or EH domain-containing protein 1 is an important component in the process of endocytic recycling. EHD1 belongs to the C-terminal EHD protein family and it has a molecular mass of approximately 61 kDa. Expression of EHD1 occurs in various tissues with significant levels in the brain heart and skeletal muscle. As a member of this family EHD1 plays an authoritative role in membrane trafficking specifically in the cycling of endosomes back to the plasma membrane.
Biological function summary

In cellular transport and organization EHD1 regulates the recycling and sorting of endocytic vesicles. It functions in concert with other partners including Rab proteins and syndapin forming a complex that promotes the tubulation and fission of recycling carriers. This involvement is fundamental for maintaining cell surface receptor levels and proper cell signaling. EHD1's role is necessary to ensure cellular homeostasis and receptor-mediated processes.

Pathways

EHD1 plays an influential role in intracellular trafficking pathways particularly the endocytic recycling pathway and the trafficking of GLUT4 in adipocytes and muscle cells. In collaboration with proteins such as Rab11 and SNX5 it supports the movement of recycled membrane proteins and receptors back to the cell surface. In the GLUT4 pathway EHD1 assists in glucose uptake by facilitating the correct localization of glucose transporters on the plasma membrane which is critical for maintaining glucose homeostasis.

EHD1's dysfunction has been linked to neurodegenerative diseases and cancer. Abnormal EHD1 activity can impact neuronal signaling pathways contributing to conditions such as Alzheimer's disease. The alteration of its function can also promote disrupted recycling of growth factor receptors therefore potentially contributing to oncogenic processes. EHD1’s interactions with proteins like Rab11 and SNX5 in these contexts highlight its involvement in maintaining cellular integrity and normal function.

Product protocols

For this product, it's our understanding that no specific protocols are required. You can visit:

Target data

ATP- and membrane-binding protein that controls membrane reorganization/tubulation upon ATP hydrolysis. In vitro causes vesiculation of endocytic membranes (PubMed : 24019528). Acts in early endocytic membrane fusion and membrane trafficking of recycling endosomes (PubMed : 15020713, PubMed : 17233914, PubMed : 20801876). Recruited to endosomal membranes upon nerve growth factor stimulation, indirectly regulates neurite outgrowth (By similarity). Plays a role in myoblast fusion (By similarity). Involved in the unidirectional retrograde dendritic transport of endocytosed BACE1 and in efficient sorting of BACE1 to axons implicating a function in neuronal APP processing (By similarity). Plays a role in the formation of the ciliary vesicle (CV), an early step in cilium biogenesis. Proposed to be required for the fusion of distal appendage vesicles (DAVs) to form the CV by recruiting SNARE complex component SNAP29. Is required for recruitment of transition zone proteins CEP290, RPGRIP1L, TMEM67 and B9D2, and of IFT20 following DAV reorganization before Rab8-dependent ciliary membrane extension. Required for the loss of CCP110 form the mother centriole essential for the maturation of the basal body during ciliogenesis (PubMed : 25686250).
See full target information EHD1

Publications (1)

Recent publications for all applications. Explore the full list and refine your search

Obesity (Silver Spring, Md.) 30:666-679 PubMed35170865

2022

Exosomal miR-122 promotes adipogenesis and aggravates obesity through the VDR/SREBF1 axis.

Applications

Unspecified application

Species

Unspecified reactive species

Xiao-Yan Huang,Ji-Xiong Chen,Yi Ren,Li-Chun Fan,Wei Xiang,Xiao-Jie He
View all publications

Product promise

We are committed to supporting your work with high-quality reagents, and we're here for you every step of the way. In the unlikely event that one of our products does not perform as expected, you're protected by our Product Promise.
For full details, please see our Terms & Conditions

Please note: All products are 'FOR RESEARCH USE ONLY. NOT FOR USE IN DIAGNOSTIC OR THERAPEUTIC PROCEDURES'.

For licensing inquiries, please contact partnerships@abcam.com