JavaScript is disabled in your browser. Please enable JavaScript to view this website.
AB153892

Anti-EHD4 antibody

Be the first to review this product! Submit a review

|

(2 Publications)

Rabbit Polyclonal EHD4 antibody. Suitable for WB, IHC-P and reacts with Human, Rat, Mouse samples. Cited in 2 publications. Immunogen corresponding to Recombinant Fragment Protein within Human EHD4 aa 50-350.

View Alternative Names

HCA10, HCA11, PAST4, FKSG7, EHD4, EH domain-containing protein 4, Hepatocellular carcinoma-associated protein 10/11, PAST homolog 4

3 Images
Immunohistochemistry (Formalin/PFA-fixed paraffin-embedded sections) - Anti-EHD4 antibody (AB153892)
  • IHC-P

Supplier Data

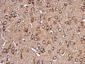
Immunohistochemistry (Formalin/PFA-fixed paraffin-embedded sections) - Anti-EHD4 antibody (AB153892)

Immunohistochemical analysis of paraffin-embedded rat brain tissue labelling EHD4 protein at cytoplasm with ab153892 at a 1/500 dilution.

Antigen retrieval : Trilogy™ (EDTA based, pH 8.0) buffer, 15min

Immunohistochemistry (Formalin/PFA-fixed paraffin-embedded sections) - Anti-EHD4 antibody (AB153892)
  • IHC-P

Supplier Data

Immunohistochemistry (Formalin/PFA-fixed paraffin-embedded sections) - Anti-EHD4 antibody (AB153892)

Immunohistochemical analysis of paraffin-embedded mouse brain tissue labelling EHD4 protein at cytoplasm with ab153892 at a 1/500 dilution.

Antigen retrieval : Trilogy™ (EDTA based, pH 8.0) buffer, 15min

Western blot - Anti-EHD4 antibody (AB153892)
  • WB

Unknown

Western blot - Anti-EHD4 antibody (AB153892)

7.5% SDS PAGE

All lanes:

Western blot - Anti-EHD4 antibody (ab153892) at 1/1000 dilution

Lane 1:

293T whole cell lysate at 30 µg

Lane 2:

A431 whole cell lysate at 30 µg

Lane 3:

HeLa whole cell lysate at 30 µg

Lane 4:

HepG2 whole cell lysate at 30 µg

Predicted band size: 61 kDa

false

Key facts

Host species

Rabbit

Clonality

Polyclonal

Isotype

IgG

Carrier free

No

Reacts with

Mouse, Rat, Human

Applications

WB, IHC-P

applications

Immunogen

Recombinant Fragment Protein within Human EHD4 aa 50-350. The exact immunogen used to generate this antibody is proprietary information.

Q9H223

Reactivity data

{ "title": "Reactivity Data", "filters": { "stats": ["", "Species", "Dilution Info", "Notes"], "tabs": { "all-applications": {"fullname" : "All Applications", "shortname": "All Applications"}, "WB" : {"fullname" : "Western blot", "shortname":"WB"}, "IHCP" : {"fullname" : "Immunohistochemistry (Formalin/PFA-fixed paraffin-embedded sections)", "shortname":"IHC-P"} }, "product-promise": { "all": "all", "testedAndGuaranteed": "tested", "guaranteed": "expected", "predicted": "predicted", "notRecommended": "not-recommended" } }, "values": { "Human": { "WB-species-checked": "testedAndGuaranteed", "WB-species-dilution-info": "1/500 - 1/3000", "WB-species-notes": "<p></p>", "IHCP-species-checked": "guaranteed", "IHCP-species-dilution-info": "", "IHCP-species-notes": "" }, "Mouse": { "WB-species-checked": "guaranteed", "WB-species-dilution-info": "", "WB-species-notes": "", "IHCP-species-checked": "testedAndGuaranteed", "IHCP-species-dilution-info": "1/100 - 1/1000", "IHCP-species-notes": "<p></p>" }, "Rat": { "WB-species-checked": "guaranteed", "WB-species-dilution-info": "", "WB-species-notes": "", "IHCP-species-checked": "testedAndGuaranteed", "IHCP-species-dilution-info": "1/100 - 1/1000", "IHCP-species-notes": "<p></p>" }, "Cow": { "WB-species-checked": "predicted", "WB-species-dilution-info": "", "WB-species-notes": "", "IHCP-species-checked": "predicted", "IHCP-species-dilution-info": "", "IHCP-species-notes": "" }, "Xenopus laevis": { "WB-species-checked": "predicted", "WB-species-dilution-info": "", "WB-species-notes": "", "IHCP-species-checked": "predicted", "IHCP-species-dilution-info": "", "IHCP-species-notes": "" }, "Xenopus tropicalis": { "WB-species-checked": "predicted", "WB-species-dilution-info": "", "WB-species-notes": "", "IHCP-species-checked": "predicted", "IHCP-species-dilution-info": "", "IHCP-species-notes": "" } } }

Properties and storage information

Form
Liquid
Purification technique
Affinity purification Immunogen
Storage buffer
pH: 7 Preservative: 0.01% Thimerosal (merthiolate) Constituents: 20% Glycerol (glycerin, glycerine), 1.21% Tris, 0.75% Glycine
Shipped at conditions
Blue Ice
Appropriate short-term storage conditions
+4°C
Appropriate long-term storage conditions
-20°C
Aliquoting information
Upon delivery aliquot
Storage information
Avoid freeze / thaw cycle

Supplementary information

This supplementary information is collated from multiple sources and compiled automatically.

EHD4 also known as EH domain-containing protein 4 is a member of the C-terminal Eps15 homology domain-containing protein family. This protein has a mass of approximately 68 kDa. Mechanically EHD4 participates in the regulation of endocytic transport by assisting in the remodeling of membranes. It is expressed in different tissues significantly in the brain and testes where it fulfills several cellular functions.
Biological function summary

EHD4 plays a role in intracellular trafficking processes essential for cellular homeostasis. It associates with the endosomal recycling complex facilitating the transport of receptors from endosomes back to the plasma membrane or the trans-Golgi network. This activity supports the maintenance of receptor availability on the cell surface influencing cellular responsiveness to external stimuli.

Pathways

EHD4 functions within endocytic and recycling pathways coordinating these with other cellular proteins. For instance EHD4 interacts with RAB proteins such as RAB11 to regulate membrane dynamics and vesicular traffic. These interactions are critical in the coordination and regulation of proteins involved in the recycling of membrane compartments within the cell.

EHD4 has been implicated in neurodegenerative diseases and certain forms of cancer. In the context of cancer EHD4's role in membrane trafficking affects cell signaling and proliferation while its dysregulation can lead to aberrant cellular behaviors. Furthermore it interacts with other proteins like EHD1 influencing pathophysiological processes linked to these conditions.

Product protocols

For this product, it's our understanding that no specific protocols are required. You can visit:

Target data

ATP- and membrane-binding protein that probably controls membrane reorganization/tubulation upon ATP hydrolysis. Plays a role in early endosomal transport.
See full target information EHD4

Publications (2)

Recent publications for all applications. Explore the full list and refine your search

Journal of virology 92: PubMed29695422

2018

Interferon-Stimulated Gene (ISG)-Expression Screening Reveals the Specific Antibunyaviral Activity of ISG20.

Applications

Unspecified application

Species

Unspecified reactive species

Junjie Feng,Arthur Wickenhagen,Matthew L Turnbull,Veronica V Rezelj,Felix Kreher,Natasha L Tilston-Lunel,Gillian S Slack,Benjamin Brennan,Elina Koudriakova,Andrew E Shaw,Suzannah J Rihn,Charles M Rice,Paul D Bieniasz,Richard M Elliott,Xiaohong Shi,Sam J Wilson

Cancer research 76:418-28 PubMed26560516

2015

Neuropilin-2 Regulates Endosome Maturation and EGFR Trafficking to Support Cancer Cell Pathobiology.

Applications

WB

Species

Human

Samikshan Dutta,Sohini Roy,Navatha S Polavaram,Marissa J Stanton,Heyu Zhang,Tanvi Bhola,Pia Hönscheid,Terrence M Donohue,Hamid Band,Surinder K Batra,Michael H Muders,Kaustubh Datta
View all publications

Product promise

We are committed to supporting your work with high-quality reagents, and we're here for you every step of the way. In the unlikely event that one of our products does not perform as expected, you're protected by our Product Promise.
For full details, please see our Terms & Conditions

Please note: All products are 'FOR RESEARCH USE ONLY. NOT FOR USE IN DIAGNOSTIC OR THERAPEUTIC PROCEDURES'.

For licensing inquiries, please contact partnerships@abcam.com