JavaScript is disabled in your browser. Please enable JavaScript to view this website.
AB183889

Anti-EHMT2/G9A antibody

4

(1 Review)

|

(3 Publications)

Rabbit Polyclonal EHMT2/G9A antibody. Suitable for IP, WB, IHC-P, ICC/IF and reacts with Human, Mouse samples. Cited in 3 publications. Immunogen corresponding to Synthetic Peptide within Human EHMT2 aa 1-150.

View Alternative Names

BAT8, C6orf30, G9A, KMT1C, NG36, EHMT2, Histone-lysine N-methyltransferase EHMT2, Euchromatic histone-lysine N-methyltransferase 2, HLA-B-associated transcript 8, Histone H3-K9 methyltransferase 3, Lysine N-methyltransferase 1C, Protein G9a, H3-K9-HMTase 3

8 Images
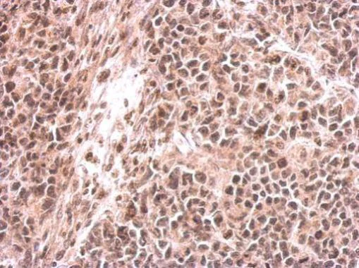
Immunohistochemistry (Formalin/PFA-fixed paraffin-embedded sections) - Anti-EHMT2/G9A antibody (AB183889)
  • IHC-P

Supplier Data

Immunohistochemistry (Formalin/PFA-fixed paraffin-embedded sections) - Anti-EHMT2/G9A antibody (AB183889)

Immunohistochemical analysis of paraffin-embedded human rectal carcinoma tissue stained for G9a protein at nucleus with ab183889 at a 1/250 dilution.

Antigen retrieval : EDTA based (pH 8.0) buffer, 15min

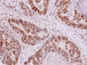
Immunohistochemistry (Formalin/PFA-fixed paraffin-embedded sections) - Anti-EHMT2/G9A antibody (AB183889)
  • IHC-P

Supplier Data

Immunohistochemistry (Formalin/PFA-fixed paraffin-embedded sections) - Anti-EHMT2/G9A antibody (AB183889)

Immunohistochemical analysis of paraffin-embedded HeLa xenograft tissue, labeling EHMT2/ G9A using ab183889 at a 1/500 dilution.

Immunocytochemistry/ Immunofluorescence - Anti-EHMT2/G9A antibody (AB183889)
  • ICC/IF

Supplier Data

Immunocytochemistry/ Immunofluorescence - Anti-EHMT2/G9A antibody (AB183889)

Immunofluorescence analysis of HeLa cells fixed in 4% paraformaldehyde for 5 minutes, labeling EHMT2/ G9A using ab183889 at a 1/500 dilution (green). Blue : Hoechst 33342 staining.

Immunoprecipitation - Anti-EHMT2/G9A antibody (AB183889)
  • IP

Supplier Data

Immunoprecipitation - Anti-EHMT2/G9A antibody (AB183889)

Immunoprecipitation of G9a protein from HeLa whole cell extracts using 5 µg of ab183889. Western blot analysis was performed using ab183889 diluted at 1/1000 dilution.

All lanes:

Immunoprecipitation - Anti-EHMT2/G9A antibody (ab183889) at 5 µg

Lane 1:

HeLa whole cell extracts (Input)

Lane 2:

HeLa whole cell extracts with IgG control

Lane 3:

HeLa whole cell extracts (+)

Secondary

All lanes:

Anti-Rabbit IgG

Predicted band size: 132 kDa

false

Immunohistochemistry (Formalin/PFA-fixed paraffin-embedded sections) - Anti-EHMT2/G9A antibody (AB183889)
  • IHC-P

Supplier Data

Immunohistochemistry (Formalin/PFA-fixed paraffin-embedded sections) - Anti-EHMT2/G9A antibody (AB183889)

Immunohistochemical analysis of paraffin-embedded mouse intestine and colon tissue stained for G9a protein at nucleus with ab183889 at a 1/500 dilution.

Antigen retrieval : Citrate buffer, pH 6.0, 15 min

Western blot - Anti-EHMT2/G9A antibody (AB183889)
  • WB

Supplier Data

Western blot - Anti-EHMT2/G9A antibody (AB183889)

Samples were separated by 5% SDS-PAGE.

All lanes:

Western blot - Anti-EHMT2/G9A antibody (ab183889) at 1/1000 dilution

Lane 1:

293T whole cell lysates at 30 µg

Lane 2:

A431 whole cell lysates at 30 µg

Lane 3:

HeLa whole cell lysates at 30 µg

Lane 4:

HepG2 whole cell lysates at 30 µg

Predicted band size: 132 kDa

false

Western blot - Anti-EHMT2/G9A antibody (AB183889)
  • WB

Supplier Data

Western blot - Anti-EHMT2/G9A antibody (AB183889)

Samples were separated by 5% SDS-PAGE.

All lanes:

Western blot - Anti-EHMT2/G9A antibody (ab183889) at 1/1000 dilution

Lane 1:

293T whole cell lysates at 30 µg

Lane 2:

A431 whole cell lysates at 30 µg

Secondary

All lanes:

HRP-conjugated anti-rabbit IgG antibody

Predicted band size: 132 kDa

false

Western blot - Anti-EHMT2/G9A antibody (AB183889)
  • WB

Supplier Data

Western blot - Anti-EHMT2/G9A antibody (AB183889)

Samples were separated by 5% SDS-PAGE.

All lanes:

Western blot - Anti-EHMT2/G9A antibody (ab183889) at 1/1000 dilution

Lane 1:

293T whole cell lysates at 30 µg

Lanes 2 - 3:

G9a shRNA transfected 293T whole cell lysates at 30 µg

Secondary

All lanes:

HRP-conjugated anti-rabbit IgG antibody

Predicted band size: 132 kDa

false

Key facts

Host species

Rabbit

Clonality

Polyclonal

Isotype

IgG

Carrier free

No

Reacts with

Mouse, Human

Applications

IP, WB, ICC/IF, IHC-P

applications

Immunogen

Synthetic Peptide within Human EHMT2 aa 1-150. The exact immunogen used to generate this antibody is proprietary information.

Q96KQ7

Reactivity data

{ "title": "Reactivity Data", "filters": { "stats": ["", "Species", "Dilution Info", "Notes"], "tabs": { "all-applications": {"fullname" : "All Applications", "shortname": "All Applications"}, "IP" : {"fullname" : "Immunoprecipitation", "shortname":"IP"}, "WB" : {"fullname" : "Western blot", "shortname":"WB"}, "IHCP" : {"fullname" : "Immunohistochemistry (Formalin/PFA-fixed paraffin-embedded sections)", "shortname":"IHC-P"}, "ICCIF" : {"fullname" : "Immunocytochemistry/ Immunofluorescence", "shortname":"ICC/IF"} }, "product-promise": { "all": "all", "testedAndGuaranteed": "tested", "guaranteed": "expected", "predicted": "predicted", "notRecommended": "not-recommended" } }, "values": { "Human": { "IP-species-checked": "testedAndGuaranteed", "IP-species-dilution-info": "1/100 - 1/1000", "IP-species-notes": "<p></p>", "WB-species-checked": "testedAndGuaranteed", "WB-species-dilution-info": "1/500 - 1/3000", "WB-species-notes": "<p></p>", "IHCP-species-checked": "testedAndGuaranteed", "IHCP-species-dilution-info": "1/100 - 1/1000", "IHCP-species-notes": "<p></p>", "ICCIF-species-checked": "testedAndGuaranteed", "ICCIF-species-dilution-info": "1/100 - 1/1000", "ICCIF-species-notes": "<p></p>" }, "Mouse": { "IP-species-checked": "guaranteed", "IP-species-dilution-info": "", "IP-species-notes": "", "WB-species-checked": "guaranteed", "WB-species-dilution-info": "", "WB-species-notes": "", "IHCP-species-checked": "testedAndGuaranteed", "IHCP-species-dilution-info": "1/100 - 1/1000", "IHCP-species-notes": "<p></p>", "ICCIF-species-checked": "guaranteed", "ICCIF-species-dilution-info": "", "ICCIF-species-notes": "" }, "Rat": { "IP-species-checked": "predicted", "IP-species-dilution-info": "", "IP-species-notes": "", "WB-species-checked": "predicted", "WB-species-dilution-info": "", "WB-species-notes": "", "IHCP-species-checked": "predicted", "IHCP-species-dilution-info": "", "IHCP-species-notes": "", "ICCIF-species-checked": "predicted", "ICCIF-species-dilution-info": "", "ICCIF-species-notes": "" }, "Cow": { "IP-species-checked": "predicted", "IP-species-dilution-info": "", "IP-species-notes": "", "WB-species-checked": "predicted", "WB-species-dilution-info": "", "WB-species-notes": "", "IHCP-species-checked": "predicted", "IHCP-species-dilution-info": "", "IHCP-species-notes": "", "ICCIF-species-checked": "predicted", "ICCIF-species-dilution-info": "", "ICCIF-species-notes": "" }, "Pig": { "IP-species-checked": "predicted", "IP-species-dilution-info": "", "IP-species-notes": "", "WB-species-checked": "predicted", "WB-species-dilution-info": "", "WB-species-notes": "", "IHCP-species-checked": "predicted", "IHCP-species-dilution-info": "", "IHCP-species-notes": "", "ICCIF-species-checked": "predicted", "ICCIF-species-dilution-info": "", "ICCIF-species-notes": "" } } }

Properties and storage information

Form
Liquid
Purification technique
Affinity purification Immunogen
Storage buffer
pH: 7 Preservative: 0.025% Proclin 300 Constituents: PBS, 20% Glycerol (glycerin, glycerine)
Shipped at conditions
Blue Ice
Appropriate short-term storage duration
1-2 weeks
Appropriate short-term storage conditions
+4°C
Appropriate long-term storage conditions
-20°C
Aliquoting information
Upon delivery aliquot
Storage information
Avoid freeze / thaw cycle

Supplementary information

This supplementary information is collated from multiple sources and compiled automatically.

EHMT2 also known as G9a is a methyltransferase enzyme with a molecular mass of approximately 165 kDa. It modifies histones by adding methyl groups to lysine 9 on histone H3 which results in chromatin structure changes and influences gene expression. EHMT2/G9a expresses in various tissues including brain heart and liver showing its widespread role in different physiological processes. As a well-studied protein researchers often analyze EHMT2 activity using assays like ELISA and western blot.
Biological function summary

EHMT2/G9a regulates gene expression by altering chromatin accessibility. It is part of a chromatin remodeling complex interacting with proteins such as ANMTA02. Through its methyltransferase activity it maintains an epigenetic silence state important for embryonic development differentiation and cellular identity. EHMT2/G9a plays a significant role in the repression of transcriptional activity of tumor suppressor genes and developmental genes.

Pathways

G9a functions in epigenetic signaling pathways and influences processes like the cell cycle and DNA damage repair. It interacts with proteins in the Polycomb repressive complex such as EZH2 to regulate gene silencing. Additionally in the DNA damage response pathway G9a can associate with histone deacetylases to stabilize chromatin and prevent unwarranted gene expression.

Aberrant regulation of EHMT2/G9a associates with cancer and neurodevelopmental disorders. In various cancers such as leukemia G9a suppresses tumor suppressor genes aiding tumor progression. Connections between G9a and proteins like DNMT1 highlight its role in maintaining a hypermethylation state in cancerous cells. In neurodevelopmental disorders altered expression of G9a affects synaptic plasticity linking it with cognitive impairments and autism spectrum disorders.

Product protocols

For this product, it's our understanding that no specific protocols are required. You can visit:

Target data

Histone methyltransferase that specifically mono- and dimethylates 'Lys-9' of histone H3 (H3K9me1 and H3K9me2, respectively) in euchromatin. H3K9me represents a specific tag for epigenetic transcriptional repression by recruiting HP1 proteins to methylated histones. Also mediates monomethylation of 'Lys-56' of histone H3 (H3K56me1) in G1 phase, leading to promote interaction between histone H3 and PCNA and regulating DNA replication. Also weakly methylates 'Lys-27' of histone H3 (H3K27me). Also required for DNA methylation, the histone methyltransferase activity is not required for DNA methylation, suggesting that these 2 activities function independently. Probably targeted to histone H3 by different DNA-binding proteins like E2F6, MGA, MAX and/or DP1. May also methylate histone H1. In addition to the histone methyltransferase activity, also methylates non-histone proteins : mediates dimethylation of 'Lys-373' of p53/TP53. Also methylates CDYL, WIZ, ACIN1, DNMT1, HDAC1, ERCC6, KLF12 and itself.
See full target information EHMT2

Publications (3)

Recent publications for all applications. Explore the full list and refine your search

Cell insight 2:100112 PubMed37388553

2023

The CHCHD2/Sirt1 corepressors involve in G9a-mediated regulation of RNase H1 expression to control R-loop.

Applications

Unspecified application

Species

Unspecified reactive species

Le Li,Yequn Wu,Kui Dai,Qing Wang,Shiqi Ye,Qipeng Shi,Zhenfei Chen,Yi-Chun Huang,Weiwei Zhao,Lijia Li

The Journal of neuroscience : the official journal of the Society for Neuroscience 43:2002-2020 PubMed36759195

2023

Epilepsy-Related CDKL5 Deficiency Slows Synaptic Vesicle Endocytosis in Central Nerve Terminals.

Applications

Unspecified application

Species

Unspecified reactive species

Christiana Kontaxi,Daniela Ivanova,Elizabeth C Davenport,Peter C Kind,Michael A Cousin

Annals of translational medicine 10:583 PubMed35722379

2022

G9a promotes inflammation in induced pneumonia mice by stimulating M1 macrophage polarization and H3K9me2 methylation in FOXP1 promoter region.

Applications

Unspecified application

Species

Unspecified reactive species

Yi Li,Guanhua Li,Li Zhang,Yuechuan Li,Zhan Zhao
View all publications

Product promise

We are committed to supporting your work with high-quality reagents, and we're here for you every step of the way. In the unlikely event that one of our products does not perform as expected, you're protected by our Product Promise.
For full details, please see our Terms & Conditions

Please note: All products are 'FOR RESEARCH USE ONLY. NOT FOR USE IN DIAGNOSTIC OR THERAPEUTIC PROCEDURES'.

For licensing inquiries, please contact partnerships@abcam.com