JavaScript is disabled in your browser. Please enable JavaScript to view this website.
AB133482

Anti-EHMT2/G9A antibody [EPR4019(2)] - ChIP Grade

  • RabMAb
  • Advanced Validation
  • Recombinant
  • KO Validated
  • What is this?

4

(1 Review)

|

(11 Publications)

Rabbit Recombinant Monoclonal EHMT2/G9A antibody. Suitable for WB, IHC-P, ChIP-seq, ChIC/CUT&RUN-seq and reacts with Human samples. Cited in 11 publications.

View Alternative Names

BAT8, C6orf30, G9A, KMT1C, NG36, EHMT2, Histone-lysine N-methyltransferase EHMT2, Euchromatic histone-lysine N-methyltransferase 2, HLA-B-associated transcript 8, Histone H3-K9 methyltransferase 3, Lysine N-methyltransferase 1C, Protein G9a, H3-K9-HMTase 3

8 Images
ChIP-sequencing - Anti-EHMT2/G9A antibody [EPR4019(2)] - ChIP Grade (AB133482)
  • ChIP-seq

Lab

ChIP-sequencing - Anti-EHMT2/G9A antibody [EPR4019(2)] - ChIP Grade (AB133482)

Chromatin was prepared from HeLa cells. Cells were fixed with 1% formaldehyde for 10 minutes. ChIP was performed with 107 HeLa cells and 8 μg of ab133482 [EPR4019(2)]. ChIP DNA was sequenced on the Illumina NovaSeq 6000 to a depth of 30 million reads. Additional screenshots of mapped reads can be downloaded here.

Western blot - Anti-EHMT2/G9A antibody [EPR4019(2)] - ChIP Grade (AB133482)
  • WB

Lab

Western blot - Anti-EHMT2/G9A antibody [EPR4019(2)] - ChIP Grade (AB133482)

Lanes 1 - 4 : Merged signal (red and green). Green - ab133482 observed at 170 kDa. Red - loading control, ab8245, observed at 37 kDa.

ab133482 was shown to recognize EHMT2/G9A when EHMT2/G9A knockout samples were used, along with additional cross-reactive bands. Wild-type and EHMT2/G9A knockout samples were subjected to SDS-PAGE. ab133482 and ab8245 (loading control to GAPDH) were diluted 1/1000 and 1/10000 respectively and incubated overnight at 4°C. Blots were developed with Goat anti-Rabbit IgG H&L (IRDye® 800CW) preadsorbed (ab216773) and Goat anti-Mouse IgG H&L (IRDye® 680RD) preadsorbed (ab216776) secondary antibodies at 1/10000 dilution for 1 h at room temperature before imaging.

All lanes:

Western blot - Anti-EHMT2/G9A antibody [EPR4019(2)] - ChIP Grade (ab133482) at 1/1000 dilution

Lane 1:

Wild-type HAP1 cell lysate at 20 µg

Lane 2:

EHMT2/G9A knockout HAP1 cell lysate at 20 µg

Lane 3:

HEK293 cell lysate at 20 µg

Lane 4:

HepG2 cell lysate at 20 µg

Predicted band size: 132 kDa

false

Western blot - Anti-EHMT2/G9A antibody [EPR4019(2)] - ChIP Grade (AB133482)
  • WB

Lab

Western blot - Anti-EHMT2/G9A antibody [EPR4019(2)] - ChIP Grade (AB133482)

Lanes 1-4 : Merged signal (red and green). Green - ab133482 observed at 160 kDa. Red - loading control ab8245 observed at 37 kDa.

ab133482 Anti-EHMT2/G9A antibody [EPR4019(2)] was shown to specifically react with EHMT2/G9A in wild-type HeLa cells. Loss of signal was observed when knockout cell line ab265149 (knockout cell lysate ab257080) was used. Wild-type and EHMT2/G9A knockout samples were subjected to SDS-PAGE. ab133482 and Anti-GAPDH antibody [6C5] - Loading Control (ab8245) were incubated overnight at 4°C at 1 in 1000 dilution and 1 in 20000 dilution respectively. Blots were developed with Goat anti-Rabbit IgG H&L (IRDye® 800CW) preadsorbed (ab216773) and Goat anti-Mouse IgG H&L (IRDye® 680RD) preadsorbed (ab216776) secondary antibodies at 1 in 20000 dilution for 1 hour at room temperature before imaging.

All lanes:

Western blot - Anti-EHMT2/G9A antibody [EPR4019(2)] - ChIP Grade (ab133482) at 1/1000 dilution

Lane 1:

Wild-type HeLa cell lysate at 20 µg

Lane 2:

EHMT2/G9A knockout HeLa cell lysate at 20 µg

Lane 2:

Western blot - Human EHMT2 (G9A) knockout HeLa cell line (<a href='/en-us/products/cell-lines/human-ehmt2-g9a-knockout-hela-cell-line-ab265149'>ab265149</a>)

Lane 3:

HEK-293 cell lysate at 20 µg

Lane 4:

HepG2 cell lysate at 20 µg

Secondary

All lanes:

Western blot - Goat anti-Rabbit IgG H&L (IRDye® 800CW) preadsorbed (<a href='/en-us/products/secondary-antibodies/goat-rabbit-igg-h-l-irdye-800cw-preadsorbed-ab216773'>ab216773</a>) at 1/20000 dilution

Predicted band size: 132 kDa

Observed band size: 160 kDa

false

ChIC/CUT&RUN sequencing - Anti-EHMT2/G9A antibody [EPR4019(2)] - ChIP Grade (AB133482)
  • ChIC/CUT&RUN-seq

Supplier Data

ChIC/CUT&RUN sequencing - Anti-EHMT2/G9A antibody [EPR4019(2)] - ChIP Grade (AB133482)

CUT&RUN profiling with EHMT2 antibody reveals the expected genomic enrichment pattern in cells. Representative genome browser tracks show CUT&RUN data generated using the CUTANA™ CUT&RUN Kit (EpiCypher 14-1048) with EHMT2 antibody (Abcam ab133482, 0.5 µg). 500,000 HeLa cells were used per reaction. IgG, H3K4me3, and H3K27me3 antibodies were included as controls to assess non-specific background, active promoters, and repressed chromatin, respectively. Libraries were prepared using the CUTANA™ CUT&RUN Library Prep Kit (EpiCypher 14-1001). Sequencing was performed with paired-end 50 bp reads, and data were processed on CUTANA™ Cloud (cloud.epicypher.com) by alignment to the hg38 genome. Images were generated using Integrative Genomics Viewer (IGV, Broad Institute).

ChIC/CUT&RUN sequencing - Anti-EHMT2/G9A antibody [EPR4019(2)] - ChIP Grade (AB133482)
  • ChIC/CUT&RUN-seq

Supplier Data

ChIC/CUT&RUN sequencing - Anti-EHMT2/G9A antibody [EPR4019(2)] - ChIP Grade (AB133482)

CUT&RUN profiling with EHMT2 antibody demonstrates robust genome-wide enrichment in cells. Heatmaps of genome-wide signal flanking annotated transcription start sites (TSSs, +/- 2 kbp) display CUT&RUN data generated using the CUTANA™ CUT&RUN Kit (EpiCypher 14-1048) with EHMT2 antibody (Abcam ab133482, 0.5 µg). 500,000 HeLa cells were used per reaction. IgG antibody was included as a negative control to assess non-specific background. Libraries were prepared using the CUTANA™ CUT&RUN Library Prep Kit (EpiCypher 14-1001). Sequencing was performed with paired-end 50 bp reads, and data were processed on CUTANA™ Cloud (cloud.epicypher.com) by alignment to the hg38 genome. Heatmaps were generated using ChAsE (Younesy et al., Bioinformatics 2016; PMID 27378294). Row-linked data are ranked by intensity relative to EHMT2, with red indicating high localized enrichment and blue denoting background.

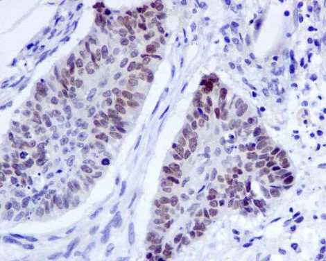
Immunohistochemistry (Formalin/PFA-fixed paraffin-embedded sections) - Anti-EHMT2/G9A antibody [EPR4019(2)] - ChIP Grade (AB133482)
  • IHC-P

Unknown

Immunohistochemistry (Formalin/PFA-fixed paraffin-embedded sections) - Anti-EHMT2/G9A antibody [EPR4019(2)] - ChIP Grade (AB133482)

Immunohistochemical analysis of paraffin-embedded gastric adenocarcinoma tissue labelled with ab133482 at 1/50 dilution.

Perform heat mediated antigen retrieval with citrate buffer pH 6 before commencing with IHC staining protocol.

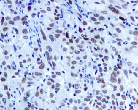
Immunohistochemistry (Formalin/PFA-fixed paraffin-embedded sections) - Anti-EHMT2/G9A antibody [EPR4019(2)] - ChIP Grade (AB133482)
  • IHC-P

Unknown

Immunohistochemistry (Formalin/PFA-fixed paraffin-embedded sections) - Anti-EHMT2/G9A antibody [EPR4019(2)] - ChIP Grade (AB133482)

Immunohistochemical analysis of paraffin-embedded lung squamous carcinoma tissue labelled with ab133482 at 1/50 dilution.

Perform heat mediated antigen retrieval with citrate buffer pH 6 before commencing with IHC staining protocol.

Western blot - Anti-EHMT2/G9A antibody [EPR4019(2)] - ChIP Grade (AB133482)
  • WB

Unknown

Western blot - Anti-EHMT2/G9A antibody [EPR4019(2)] - ChIP Grade (AB133482)

All lanes:

Western blot - Anti-EHMT2/G9A antibody [EPR4019(2)] - ChIP Grade (ab133482) at 1/1000 dilution

Lane 1:

HeLa cell lysate at 10 µg

Lane 2:

NCCIT cell lysate at 10 µg

Lane 3:

HepG2 cell lysate at 10 µg

Lane 4:

293T cell lysate at 10 µg

Secondary

All lanes:

HRP labelled goat-anti-rabbit at 1/2000 dilution

Predicted band size: 132 kDa

false

  • Carrier free

    Anti-EHMT2/G9A antibody [EPR4019(2)] - ChIP Grade - BSA and Azide free

Key facts

Host species

Rabbit

Clonality

Monoclonal

Clone number

EPR4019(2)

Isotype

IgG

Carrier free

No

Reacts with

Human

Applications

ChIC/CUT&RUN-seq, WB, IHC-P, ChIP-seq

applications

Immunogen

The exact immunogen used to generate this antibody is proprietary information.

Reactivity data

{ "title": "Reactivity Data", "filters": { "stats": ["", "Species", "Dilution Info", "Notes"], "tabs": { "all-applications": {"fullname" : "All Applications", "shortname": "All Applications"}, "IP" : {"fullname" : "Immunoprecipitation", "shortname":"IP"}, "FlowCyt" : {"fullname" : "Flow Cytometry", "shortname":"Flow Cyt"}, "WB" : {"fullname" : "Western blot", "shortname":"WB"}, "IHCP" : {"fullname" : "Immunohistochemistry (Formalin/PFA-fixed paraffin-embedded sections)", "shortname":"IHC-P"}, "ICCIF" : {"fullname" : "Immunocytochemistry/ Immunofluorescence", "shortname":"ICC/IF"}, "ChIPseq" : {"fullname" : "ChIP-sequencing", "shortname":"ChIP-seq"}, "ChICCUTRUNseq" : {"fullname" : "ChIC/CUT&RUN sequencing", "shortname":"ChIC/CUT&RUN-seq"} }, "product-promise": { "all": "all", "testedAndGuaranteed": "tested", "guaranteed": "expected", "predicted": "predicted", "notRecommended": "not-recommended" } }, "values": { "Human": { "IP-species-checked": "notRecommended", "IP-species-dilution-info": "", "IP-species-notes": "<p></p>", "FlowCyt-species-checked": "notRecommended", "FlowCyt-species-dilution-info": "", "FlowCyt-species-notes": "<p></p>", "WB-species-checked": "testedAndGuaranteed", "WB-species-dilution-info": "1/1000 - 1/10000", "WB-species-notes": "<p></p>", "IHCP-species-checked": "testedAndGuaranteed", "IHCP-species-dilution-info": "1/50 - 1/100", "IHCP-species-notes": "<p></p>", "ICCIF-species-checked": "notRecommended", "ICCIF-species-dilution-info": "", "ICCIF-species-notes": "<p></p>", "ChIPseq-species-checked": "testedAndGuaranteed", "ChIPseq-species-dilution-info": "8 µg for 10^7 Cells", "ChIPseq-species-notes": "<p></p>", "ChICCUTRUNseq-species-checked": "testedAndGuaranteed", "ChICCUTRUNseq-species-dilution-info": "", "ChICCUTRUNseq-species-notes": "<p></p>" } } }

Product details

Species reactivity
Mouse, Rat: We have preliminary internal testing data to indicate this antibody may not react with these species.
Please contact us for more information.

Patented technology
Our RabMAb® technology is a patented hybridoma-based technology for making rabbit monoclonal antibodies. For details on our patents, please refer to RabMAb® patents.

What are the advantages of a recombinant monoclonal antibody?
This product is a recombinant monoclonal antibody, which offers several advantages including:

  • - High batch-to-batch consistency and reproducibility
  • - Improved sensitivity and specificity
  • - Long-term security of supply
  • - Animal-free batch production

For more information, read more on recombinant antibodies.

Properties and storage information

Form
Liquid
Purification technique
Affinity purification Protein A
Storage buffer
pH: 7.2 - 7.4 Preservative: 0.05% Sodium azide Constituents: 50% Tissue culture supernatant, 40% Glycerol (glycerin, glycerine), 9.85% Tris glycine, 0.1% BSA
Shipped at conditions
Blue Ice
Appropriate short-term storage conditions
+4°C
Appropriate long-term storage conditions
-20°C
Storage information
Stable for 12 months at -20°C

Supplementary information

This supplementary information is collated from multiple sources and compiled automatically.

EHMT2 also known as G9a is a methyltransferase enzyme with a molecular mass of approximately 165 kDa. It modifies histones by adding methyl groups to lysine 9 on histone H3 which results in chromatin structure changes and influences gene expression. EHMT2/G9a expresses in various tissues including brain heart and liver showing its widespread role in different physiological processes. As a well-studied protein researchers often analyze EHMT2 activity using assays like ELISA and western blot.
Biological function summary

EHMT2/G9a regulates gene expression by altering chromatin accessibility. It is part of a chromatin remodeling complex interacting with proteins such as ANMTA02. Through its methyltransferase activity it maintains an epigenetic silence state important for embryonic development differentiation and cellular identity. EHMT2/G9a plays a significant role in the repression of transcriptional activity of tumor suppressor genes and developmental genes.

Pathways

G9a functions in epigenetic signaling pathways and influences processes like the cell cycle and DNA damage repair. It interacts with proteins in the Polycomb repressive complex such as EZH2 to regulate gene silencing. Additionally in the DNA damage response pathway G9a can associate with histone deacetylases to stabilize chromatin and prevent unwarranted gene expression.

Aberrant regulation of EHMT2/G9a associates with cancer and neurodevelopmental disorders. In various cancers such as leukemia G9a suppresses tumor suppressor genes aiding tumor progression. Connections between G9a and proteins like DNMT1 highlight its role in maintaining a hypermethylation state in cancerous cells. In neurodevelopmental disorders altered expression of G9a affects synaptic plasticity linking it with cognitive impairments and autism spectrum disorders.

Product protocols

For this product, it's our understanding that no specific protocols are required. You can visit:

Target data

Histone methyltransferase that specifically mono- and dimethylates 'Lys-9' of histone H3 (H3K9me1 and H3K9me2, respectively) in euchromatin. H3K9me represents a specific tag for epigenetic transcriptional repression by recruiting HP1 proteins to methylated histones. Also mediates monomethylation of 'Lys-56' of histone H3 (H3K56me1) in G1 phase, leading to promote interaction between histone H3 and PCNA and regulating DNA replication. Also weakly methylates 'Lys-27' of histone H3 (H3K27me). Also required for DNA methylation, the histone methyltransferase activity is not required for DNA methylation, suggesting that these 2 activities function independently. Probably targeted to histone H3 by different DNA-binding proteins like E2F6, MGA, MAX and/or DP1. May also methylate histone H1. In addition to the histone methyltransferase activity, also methylates non-histone proteins : mediates dimethylation of 'Lys-373' of p53/TP53. Also methylates CDYL, WIZ, ACIN1, DNMT1, HDAC1, ERCC6, KLF12 and itself.
See full target information EHMT2

Publications (11)

Recent publications for all applications. Explore the full list and refine your search

Genome biology 26:124 PubMed40346709

2025

Endometrial tumorigenesis involves epigenetic plasticity demarcating non-coding somatic mutations and 3D-genome alterations.

Applications

Unspecified application

Species

Unspecified reactive species

Sebastian Gregoricchio,Aleksandar Kojic,Marlous Hoogstraat,Karianne Schuurman,Suzan Stelloo,Tesa M Severson,Tracy A O'Mara,Marjolein Droog,Abhishek A Singh,Dylan M Glubb,Lodewyk F A Wessels,Michiel Vermeulen,Flora E van Leeuwen,Wilbert Zwart

The Kaohsiung journal of medical sciences 39:576-586 PubMed36825520

2023

Euchromatic histone lysine methyltransferase 2 facilitates radioresistance in prostate cancer by repressing endoplasmic reticulum protein 29 transcription.

Applications

Unspecified application

Species

Unspecified reactive species

Zhi-Chao Huang,Jun Huang,Chang-Kun Huang,Yi Hou,Bin Zhu

Cell death & disease 12:570 PubMed34108444

2021

SLC7A2 deficiency promotes hepatocellular carcinoma progression by enhancing recruitment of myeloid-derived suppressors cells.

Applications

Unspecified application

Species

Unspecified reactive species

Suhong Xia,Jingwen Wu,Wangdong Zhou,Mingyu Zhang,Kai Zhao,Jingmei Liu,Dean Tian,Jiazhi Liao

Medicine 100:e24449 PubMed33530253

2021

Prognostic value of lymphocyte-to-monocyte ratio and histone methyltransferase G9a histone methyltransferase in patients with double expression lymphoma: A retrospective observational study.

Applications

Unspecified application

Species

Unspecified reactive species

Pei Xu,Xiaolin Sun,Xuyan Song,Yaqian Peng,Bin He,Zhengdong Wu,Jianfeng Zhu

Frontiers in oncology 10:818 PubMed32537432

2020

Increased Efficacy of Histone Methyltransferase G9a Inhibitors Against -Amplified Neuroblastoma.

Applications

Unspecified application

Species

Unspecified reactive species

Jacob Bellamy,Marianna Szemes,Zsombor Melegh,Anthony Dallosso,Madhu Kollareddy,Daniel Catchpoole,Karim Malik

Oncology letters 15:8611-8619 PubMed29805595

2018

Clinicopathological significance of G9A expression in colorectal carcinoma.

Applications

Unspecified application

Species

Unspecified reactive species

Jian Qin,Zhi Zeng,Tao Luo,Qingyun Li,Yarong Hao,Lang Chen

The Journal of biological chemistry 293:5624-5635 PubMed29467226

2018

E4BP4/NFIL3 modulates the epigenetically repressed RAS effector RASSF8 function through histone methyltransferases.

Applications

Unspecified application

Species

Unspecified reactive species

Isai Pratha Karthik,Pavitra Desai,Sudarkodi Sukumar,Aleksandra Dimitrijevic,Krishnaraj Rajalingam,Sundarasamy Mahalingam

American journal of respiratory cell and molecular biology 58:449-460 PubMed29053336

2017

Interplay between EZH2 and G9a Regulates CXCL10 Gene Repression in Idiopathic Pulmonary Fibrosis.

Applications

Unspecified application

Species

Unspecified reactive species

William R Coward,Oliver J Brand,Alice Pasini,Gisli Jenkins,Alan J Knox,Linhua Pang

Molecular cell 66:517-532.e9 PubMed28525743

2017

Bromodomain Protein BRD4 Is a Transcriptional Repressor of Autophagy and Lysosomal Function.

Applications

Unspecified application

Species

Unspecified reactive species

Jun-Ichi Sakamaki,Simon Wilkinson,Marcel Hahn,Nilgun Tasdemir,Jim O'Prey,William Clark,Ann Hedley,Colin Nixon,Jaclyn S Long,Maria New,Tim Van Acker,Sharon A Tooze,Scott W Lowe,Ivan Dikic,Kevin M Ryan

Medicine 95:e2493 PubMed26765460

2016

Association of Histone Methyltransferase G9a and Overall Survival After Liver Resection of Patients With Hepatocellular Carcinoma With a Median Observation of 40 Months.

Applications

IHC

Species

Unspecified reactive species

Kai Bai,Yi Cao,Chao Huang,Jianwei Chen,Xiaojin Zhang,Yi Jiang
View all publications

Product promise

We are committed to supporting your work with high-quality reagents, and we're here for you every step of the way. In the unlikely event that one of our products does not perform as expected, you're protected by our Product Promise.
For full details, please see our Terms & Conditions

Please note: All products are 'FOR RESEARCH USE ONLY. NOT FOR USE IN DIAGNOSTIC OR THERAPEUTIC PROCEDURES'.

For licensing inquiries, please contact partnerships@abcam.com