JavaScript is disabled in your browser. Please enable JavaScript to view this website.
AB194299

Anti-EHMT2/G9A + EHMT1/GLP antibody [EPR18667]

5

(1 Review)

|

(2 Publications)

Rabbit Recombinant Monoclonal EHMT1/GLP antibody. Suitable for WB, ICC/IF, Flow Cyt (Intra), IHC-P and reacts with Mouse, Rat, Human samples. Cited in 2 publications.

View Alternative Names

EUHMTASE1, GLP, KIAA1876, KMT1D, EHMT1, Histone-lysine N-methyltransferase EHMT1, Euchromatic histone-lysine N-methyltransferase 1, G9a-like protein 1, Histone H3-K9 methyltransferase 5, Lysine N-methyltransferase 1D, Eu-HMTase1, GLP1, H3-K9-HMTase 5

10 Images
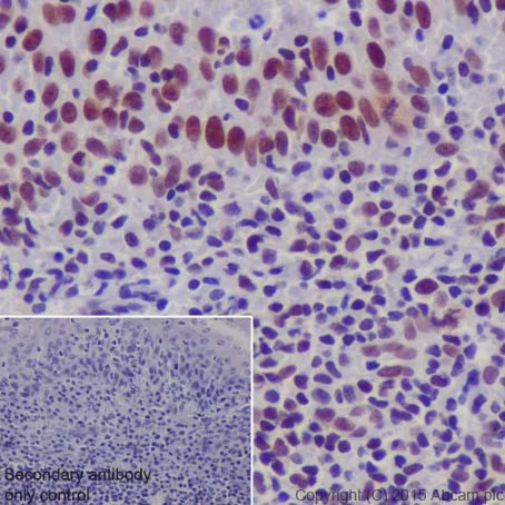
Immunohistochemistry (Formalin/PFA-fixed paraffin-embedded sections) - Anti-EHMT2/G9A + EHMT1/GLP antibody [EPR18667] (AB194299)
  • IHC-P

Supplier Data

Immunohistochemistry (Formalin/PFA-fixed paraffin-embedded sections) - Anti-EHMT2/G9A + EHMT1/GLP antibody [EPR18667] (AB194299)

Immunohistochemical analysis of paraffin-embedded human tonsil tissue labeling EHMT2/G9A + EHMT1/GLP with ab194299 at 1/1000 dilution, followed by Goat Anti-Rabbit IgG H&L (HRP) (ab97051) at 1/500 dilution. Nuclear staining on human tonsil is observed. Counter stained with Hematoxylin.

Secondary antibody only control : Used PBS instead of primary antibody, secondary antibody is Goat Anti-Rabbit IgG H&L (HRP) (ab97051) at 1/500 dilution.

Perform heat mediated antigen retrieval with Tris/EDTA buffer pH 9.0 before commencing with IHC staining protocol.

Flow Cytometry (Intracellular) - Anti-EHMT2/G9A + EHMT1/GLP antibody [EPR18667] (AB194299)
  • Flow Cyt (Intra)

Lab

Flow Cytometry (Intracellular) - Anti-EHMT2/G9A + EHMT1/GLP antibody [EPR18667] (AB194299)

Intracellular Flow Cytometry analysis of HeLa (human cervix adenocarcinoma) cells labelling EHMT2/G9A + EHMT1/GLP (red) with purifiedab194299at a dilution of 1/150. Goat anti rabbit IgG (Alexa Fluor® 488) was used as the secondary antibody at 1/2000. Cells were fixed with 4% paraformaldehyde and permeabilised with 90% methanol. Isotype control antibody was Rabbit monoclonal IgG (black). The blue line shows cells without incubation with primary antibody and secondary antibody.

Immunocytochemistry/ Immunofluorescence - Anti-EHMT2/G9A + EHMT1/GLP antibody [EPR18667] (AB194299)
  • ICC/IF

Supplier Data

Immunocytochemistry/ Immunofluorescence - Anti-EHMT2/G9A + EHMT1/GLP antibody [EPR18667] (AB194299)

Immunofluorescent analysis of 4% paraformaldehyde-fixed, 0.1% Triton X-100 permeabilized HeLa (Human epithelial cell line from cervix adenocarcinoma) cells labeling EHMT2/G9A + EHMT1/GLP with ab194299 at 1/1000 dilution, followed by Goat Anti-Rabbit IgG (Alexa Fluor® 488) (ab150077) secondary antibody at 1/1000 dilution (green). Confocal image showing nuclear staining on HeLa cell line. The nuclear counter stain is DAPI (blue).

Tubulin is detected with Anti-alpha Tubulin mouse MAb (ab7291) at 1/1000 dilution, followed by Goat Anti-Mouse IgG H&L (Alexa Fluor® 594) (ab150120) secondary antibody at 1/1000 dilution (red).

The negative controls are as follows :
-ve control 1 : ab194299 at 1/1000 dilution, followed by Goat Anti-Mouse IgG H&L (Alexa Fluor® 594) (ab150120) at 1/1000 dilution.
-ve control 2 : Anti-alpha Tubulin mouse MAb (ab7291) at 1/1000 dilution, followed by Goat Anti-Rabbit IgG (Alexa Fluor® 488) (ab150077) at 1/1000 dilution.

Immunocytochemistry/ Immunofluorescence - Anti-EHMT2/G9A + EHMT1/GLP antibody [EPR18667] (AB194299)
  • ICC/IF

Supplier Data

Immunocytochemistry/ Immunofluorescence - Anti-EHMT2/G9A + EHMT1/GLP antibody [EPR18667] (AB194299)

Immunofluorescent analysis of 4% Paraformaldehyde-fixed, 0.1% tritonX-100 permeabilized NIH/3T3 (Mouse embryonic fibroblast cell line) cells labeling EHMT1/GLP + EHMT2/G9A with ab194299 at 1/1000 dilution, followed by Goat Anti-Rabbit IgG (Alexa Fluor® 488) (ab150077) secondary antibody at 1/1000 dilution (green). Confocal image showing nuclear staining on NIH/3T3. The nuclear counter stain is DAPI (blue).

Tubulin is detected with Anti-alpha Tubulin mouse MAb (ab7291) at 1/1000 dilution, followed by Goat Anti-Mouse IgG H&L (Alexa Fluor® 594) (ab150120) secondary antibody at 1/1000 dilution (red).
The negative controls are as follows :
-ve control 1 : ab194299 at 1/1000 dilution, followed by Goat Anti-Mouse IgG H&L (Alexa Fluor® 594) (ab150120) secondary at 1/1000 dilution.
-ve control 2 : Anti-alpha Tubulin mouse MAb (ab7291) at 1/1000 dilution, followed by Goat Anti-Rabbit IgG H&L (Alexa Fluor® 488) (ab150077) secondary at 1/1000 dilution.

Western blot - Anti-EHMT2/G9A + EHMT1/GLP antibody [EPR18667] (AB194299)
  • WB

Lab

Western blot - Anti-EHMT2/G9A + EHMT1/GLP antibody [EPR18667] (AB194299)

Western blot : Anti-EHMT1 antibody [EPR18667] (ab194299) staining at 1/1000 dilution, shown in green; Mouse anti-CANX [CANX/1543] (ab238078) loading control staining at 1/20000 dilution, shown in magenta. In Western blot, ab194299 was shown to bind specifically to EHMT1. A band was observed at 165 kDa in wild-type HCT 116 cell lysates with no signal observed at this size in EHMT1 knockout cell line. To generate this image, wild-type and EHMT1 knockout HCT 116 cell lysates were analysed. First, samples were run on an SDS-PAGE gel then transferred onto a nitrocellulose membrane. Membranes were blocked in 3 % milk in TBS-0.1 % Tween® 20 (TBS-T) before incubation with primary antibodies overnight at 4 °C. Blots were washed four times in TBS-T, incubated with secondary antibodies for 1 h at room temperature, washed again four times then imaged. Secondary antibodies used were Goat anti-Rabbit IgG H&L 800CW and Goat anti-Mouse IgG H&L 680RD at 1/20000 dilution.

All lanes:

Western blot - Anti-EHMT2/G9A + EHMT1/GLP antibody [EPR18667] (ab194299) at 1/1000 dilution

Lane 1:

Wild-type HCT 116 cell lysate at 20 µg

Lane 2:

EHMT1 knockout HCT 116 cell lysate at 20 µg

Lane 2:

Western blot - Human EHMT1 knockout HCT116 cell line (<a href='/en-us/products/cell-lines/human-ehmt1-knockout-hct116-cell-line-ab287388'>ab287388</a>)

Secondary

All lanes:

Goat anti-Rabbit IgG H&L 800CW and Goat anti-Mouse IgG H&L 680RD at 1/20000 dilution

Observed band size: 165 kDa

false

Western blot - Anti-EHMT2/G9A + EHMT1/GLP antibody [EPR18667] (AB194299)
  • WB

Supplier Data

Western blot - Anti-EHMT2/G9A + EHMT1/GLP antibody [EPR18667] (AB194299)

Blocking/Dilution buffer : 5% NFDM/TBST.

All lanes:

Western blot - Anti-EHMT2/G9A + EHMT1/GLP antibody [EPR18667] (ab194299) at 1/1000 dilution

All lanes:

Human fetal kidney lysate at 10 µg

Secondary

All lanes:

Anti-Rabbit IgG (HRP), specific to the non-reduced form of IgG at 1/10000 dilution

Predicted band size: 132 kDa,141 kDa

Observed band size: 170 kDa

true

Exposure time: 3min

Western blot - Anti-EHMT2/G9A + EHMT1/GLP antibody [EPR18667] (AB194299)
  • WB

Supplier Data

Western blot - Anti-EHMT2/G9A + EHMT1/GLP antibody [EPR18667] (AB194299)

Blocking/Dilution buffer : 5% NFDM/TBST.

Exposure time : Lanes 1 & 2 : 20 seconds; Lane 3 : 30 seconds.

All lanes:

Western blot - Anti-EHMT2/G9A + EHMT1/GLP antibody [EPR18667] (ab194299) at 1/5000 dilution

Lane 1:

HEK-293 (Human epithelial cell line from embryonic kidney) whole cell lysate at 10 µg

Lane 2:

HeLa (Human epithelial cell line from cervix adenocarcinoma) whole cell lysate at 10 µg

Lane 3:

K562 (Human chronic myelogenous leukemia cell line from bone marrow) whole cell lysate at 10 µg

Secondary

All lanes:

Western blot - Goat Anti-Rabbit IgG H&L (HRP) (<a href='/en-us/products/secondary-antibodies/goat-rabbit-igg-h-l-hrp-ab97051'>ab97051</a>) at 1/100000 dilution

Predicted band size: 132 kDa,136 kDa,141 kDa

Observed band size: 136 kDa,170 kDa

false

Western blot - Anti-EHMT2/G9A + EHMT1/GLP antibody [EPR18667] (AB194299)
  • WB

Supplier Data

Western blot - Anti-EHMT2/G9A + EHMT1/GLP antibody [EPR18667] (AB194299)

Blocking buffer and concentration : 5% NFDM/TBST  Diluting buffer and concentration : 5% NFDM/TBST Exposure Time : Lane 1 : 15 seconds, Lane 2-4 : 37 seconds. Lysates were freshly made and used for Western blotting immediately to minimize protein degradation.

All lanes:

Western blot - Anti-EHMT2/G9A + EHMT1/GLP antibody [EPR18667] (ab194299) at 1/1000 dilution

Lane 1:

HeLa (human cervix adenocarcinoma epithelial cell) whole cell lysate at 20 µg

Lane 2:

NIH/3T3 (mouse embryonic fibroblast) whole cell lysate at 20 µg

Lane 3:

PC-12 (rat adrenal gland pheochromocytoma cell) whole cell lysate at 20 µg

Lane 4:

Raw 264.7 (mouse Abelson murine leukemia virus-induced tumor macrophage) whole cell lysate at 20 µg

Secondary

All lanes:

Western blot - Goat Anti-Rabbit IgG H&L (HRP) (<a href='/en-us/products/secondary-antibodies/goat-rabbit-igg-h-l-hrp-ab97051'>ab97051</a>) at 1/100000 dilution

Predicted band size: 141 kDa,132 kDa

Observed band size: 170 kDa

false

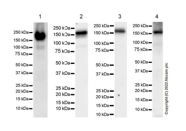
Western blot - Anti-EHMT2/G9A + EHMT1/GLP antibody [EPR18667] (AB194299)
  • WB

Lab

Western blot - Anti-EHMT2/G9A + EHMT1/GLP antibody [EPR18667] (AB194299)

False colour image of Western blot : Anti-EHMT2/G9A + EHMT1/GLP antibody [EPR18667] staining at 1/1000 dilution, shown in green; Mouse anti-Alpha Tubulin [DM1A] (ab7291) loading control staining at 1/20000 dilution, shown in red. In Western blot, ab194299 was shown to bind specifically to EHMT1/GLP and EHMT2/G9A. First, samples were run on an SDS-PAGE gel then transferred onto a nitrocellulose membrane. Membranes were blocked in 3 % milk in TBS-0.1 % Tween® 20 (TBS-T) before incubation with primary antibodies overnight at 4 °C. Blots were washed four times in TBS-T, incubated with secondary antibodies for 1 h at room temperature, washed again four times then imaged. Secondary antibodies used were Goat anti-Rabbit IgG H&L (IRDye® 800CW) preabsorbed (ab216773) and Goat anti-Mouse IgG H&L (IRDye® 680RD) preabsorbed (ab216776) at 1/20000 dilution.

All lanes:

Western blot - Anti-EHMT2/G9A + EHMT1/GLP antibody [EPR18667] (ab194299) at 1/1000 dilution

Lane 1:

Wild-type HAP1 cell lysate at 40 µg

Lane 2:

EHMT1 knockout HAP1 cell lysate at 40 µg

Lane 3:

Wild-type HAP1 Nuclear cell lysate at 40 µg

Lane 4:

HeLa cell lysate at 40 µg

Lane 5:

HeLa Nuclear cell lysate at 40 µg

Lane 6:

Wild-type HEK-293T cell lysate at 40 µg

Lane 7:

Wild-type HEK-293T nuclear cell lysate at 40 µg

Secondary

All lanes:

Goat anti-Rabbit IgG H&L (IRDye® 800CW) preabsorbed (<a href='/en-us/products/secondary-antibodies/goat-rabbit-igg-h-l-irdye-800cw-preadsorbed-ab216773'>ab216773</a>) and Goat anti-Mouse IgG H&L (IRDye®680RD) preabsorbed (<a href='/en-us/products/secondary-antibodies/goat-mouse-igg-h-l-irdye-680rd-preadsorbed-ab216776'>ab216776</a>) at 1/20000 dilution

Predicted band size: 132 kDa,141 kDa

Observed band size: 150-170 kDa

false

Western blot - Anti-EHMT2/G9A + EHMT1/GLP antibody [EPR18667] (AB194299)
  • WB

Supplier Data

Western blot - Anti-EHMT2/G9A + EHMT1/GLP antibody [EPR18667] (AB194299)

Blocking/Dilution buffer : 5% NFDM/TBST.

EHMT2 recombinant protein fragment with His-Tag®.

Lane 1:

Western blot - Anti-EHMT2/G9A + EHMT1/GLP antibody [EPR18667] (ab194299) at 1/5000 dilution

Lane 2:

Anti His-Tag®.

All lanes:

EHMT2 recombinant protein at 0.01 µg

Secondary

All lanes:

Western blot - Goat Anti-Rabbit IgG H&L (HRP) (<a href='/en-us/products/secondary-antibodies/goat-rabbit-igg-h-l-hrp-ab97051'>ab97051</a>) at 1/100000 dilution

Predicted band size: 132 kDa,141 kDa

Observed band size: 30 kDa,60 kDa

true

Exposure time: 5s

  • Carrier free

    Anti-EHMT2/G9A+EHMT1/GLP antibody [EPR18667] - BSA and Azide free

Key facts

Host species

Rabbit

Clonality

Monoclonal

Clone number

EPR18667

Isotype

IgG

Carrier free

No

Reacts with

Rat, Mouse, Human

Applications

Flow Cyt (Intra), IHC-P, WB, ICC/IF

applications

Immunogen

The exact immunogen used to generate this antibody is proprietary information.

Reactivity data

{ "title": "Reactivity Data", "filters": { "stats": ["", "Species", "Dilution Info", "Notes"], "tabs": { "all-applications": {"fullname" : "All Applications", "shortname": "All Applications"}, "WB" : {"fullname" : "Western blot", "shortname":"WB"}, "ICCIF" : {"fullname" : "Immunocytochemistry/ Immunofluorescence", "shortname":"ICC/IF"}, "FlowCytIntra" : {"fullname" : "Flow Cytometry (Intracellular)", "shortname":"Flow Cyt (Intra)"}, "IHCP" : {"fullname" : "Immunohistochemistry (Formalin/PFA-fixed paraffin-embedded sections)", "shortname":"IHC-P"}, "IP" : {"fullname" : "Immunoprecipitation", "shortname":"IP"} }, "product-promise": { "all": "all", "testedAndGuaranteed": "tested", "guaranteed": "expected", "predicted": "predicted", "notRecommended": "not-recommended" } }, "values": { "Human": { "WB-species-checked": "testedAndGuaranteed", "WB-species-dilution-info": "1/1000", "WB-species-notes": "<p></p>", "ICCIF-species-checked": "testedAndGuaranteed", "ICCIF-species-dilution-info": "1/1000", "ICCIF-species-notes": "<p></p>", "FlowCytIntra-species-checked": "testedAndGuaranteed", "FlowCytIntra-species-dilution-info": "", "FlowCytIntra-species-notes": "<p></p>", "IHCP-species-checked": "testedAndGuaranteed", "IHCP-species-dilution-info": "1/1000", "IHCP-species-notes": "<p></p>", "IP-species-checked": "notRecommended", "IP-species-dilution-info": "", "IP-species-notes": "<p></p>" }, "Mouse": { "WB-species-checked": "testedAndGuaranteed", "WB-species-dilution-info": "1/1000", "WB-species-notes": "<p></p>", "ICCIF-species-checked": "testedAndGuaranteed", "ICCIF-species-dilution-info": "1/1000", "ICCIF-species-notes": "<p></p>", "FlowCytIntra-species-checked": "guaranteed", "FlowCytIntra-species-dilution-info": "", "FlowCytIntra-species-notes": "", "IHCP-species-checked": "guaranteed", "IHCP-species-dilution-info": "", "IHCP-species-notes": "", "IP-species-checked": "notRecommended", "IP-species-dilution-info": "", "IP-species-notes": "<p></p>" }, "Rat": { "WB-species-checked": "testedAndGuaranteed", "WB-species-dilution-info": "1/1000", "WB-species-notes": "<p></p>", "ICCIF-species-checked": "guaranteed", "ICCIF-species-dilution-info": "", "ICCIF-species-notes": "", "FlowCytIntra-species-checked": "guaranteed", "FlowCytIntra-species-dilution-info": "", "FlowCytIntra-species-notes": "", "IHCP-species-checked": "guaranteed", "IHCP-species-dilution-info": "", "IHCP-species-notes": "", "IP-species-checked": "notRecommended", "IP-species-dilution-info": "", "IP-species-notes": "" } } }

Product details

Patented technology
Our RabMAb® technology is a patented hybridoma-based technology for making rabbit monoclonal antibodies. For details on our patents, please refer to RabMAb® patents.

What are the advantages of a recombinant monoclonal antibody?
This product is a recombinant monoclonal antibody, which offers several advantages including:

  • - High batch-to-batch consistency and reproducibility
  • - Improved sensitivity and specificity
  • - Long-term security of supply
  • - Animal-free batch production

For more information, read more on recombinant antibodies.

Properties and storage information

Form
Liquid
Purification technique
Affinity purification Protein A
Storage buffer
pH: 7.2 - 7.4 Preservative: 0.01% Sodium azide Constituents: PBS, 40% Glycerol (glycerin, glycerine), 0.05% BSA
Shipped at conditions
Blue Ice
Appropriate short-term storage duration
1-2 weeks
Appropriate short-term storage conditions
+4°C
Appropriate long-term storage conditions
-20°C
Aliquoting information
Upon delivery aliquot
Storage information
Avoid freeze / thaw cycle

Supplementary information

This supplementary information is collated from multiple sources and compiled automatically.

EHMT2 also known as G9A and EHMT1 also known as GLP are histone methyltransferases. These enzymes are responsible for catalyzing the methylation of histone H3 on lysine 9 (H3K9) leading to transcriptional repression. G9A has an approximate molecular mass of 126 kDa. Both G9A and GLP are expressed in various tissues with high levels in the brain heart and skeletal muscle indicating their important function in these areas.
Biological function summary

G9A and GLP play an important role in chromatin modification and gene silencing. They usually exist as part of a complex which includes other proteins such as WIZ and CDYL. They function together to establish and maintain the repressive chromatin state influencing cellular processes like differentiation and development. The presence of G9A/GLP in the transcriptional regulation impacts various cell-specific functions and contributes to the control of cellular proliferation.

Pathways

G9A and GLP are integral to the epigenetic regulatory pathways. They play a major role in the gene silencing pathway by cooperating with HP1 proteins to enhance chromatin compaction. One important pathway involves G9A contributing to the growth factor signaling pathway affecting the expression of genes fundamental to cell growth and survival. G9A and GLP interaction with DNA methylation pathways makes them associate with DNMT1 further enriching their regulatory potential.

G9A and GLP have associations with cancer and neurological disorders. In cancer G9A affects tumor growth and survival due to its role in gene silencing of tumor suppressor genes and it often connects with EZH2 in the disease context. In neurological disorders particularly neurodevelopmental conditions such as Kleefstra syndrome EHMT1 mutations impact GLP linking it to altered brain function and development. The dysregulation of these proteins underpins their significance in these pathological states making them potential targets for therapeutic intervention.

Product protocols

For this product, it's our understanding that no specific protocols are required. You can visit:

Target data

Histone methyltransferase that specifically mono- and dimethylates 'Lys-9' of histone H3 (H3K9me1 and H3K9me2, respectively) in euchromatin. H3K9me represents a specific tag for epigenetic transcriptional repression by recruiting HP1 proteins to methylated histones. Also weakly methylates 'Lys-27' of histone H3 (H3K27me). Also required for DNA methylation, the histone methyltransferase activity is not required for DNA methylation, suggesting that these 2 activities function independently. Probably targeted to histone H3 by different DNA-binding proteins like E2F6, MGA, MAX and/or DP1. During G0 phase, it probably contributes to silencing of MYC- and E2F-responsive genes, suggesting a role in G0/G1 transition in cell cycle. In addition to the histone methyltransferase activity, also methylates non-histone proteins : mediates dimethylation of 'Lys-373' of p53/TP53. Represses the expression of mitochondrial function-related genes, perhaps by occupying their promoter regions, working in concert with probable chromatin reader BAZ2B (By similarity).
See full target information EHMT1

Additional targets

EHMT2

Publications (2)

Recent publications for all applications. Explore the full list and refine your search

Hereditas 162:186 PubMed40999468

2025

The FOXD1/NAT10 positive feedback loop drives nasopharyngeal carcinoma progression.

Applications

Unspecified application

Species

Unspecified reactive species

Leifeng Liu,Qizhu Chen,Yiling Li,Weihao Wu,Feng Jiang,Haitao Qiu

Epigenetics & chromatin 18:2 PubMed39800758

2025

H3K9 post-translational modifications regulate epiblast/primitive endoderm specification in rabbit blastocysts.

Applications

Unspecified application

Species

Unspecified reactive species

Wilhelm Bouchereau,Hong-Thu Pham,Worawalan Samruan,Van-Hong Vu,Thierry Joly,Marielle Afanassieff,Pierre Savatier,Rangsun Parnpai,Nathalie Beaujean
View all publications

Product promise

We are committed to supporting your work with high-quality reagents, and we're here for you every step of the way. In the unlikely event that one of our products does not perform as expected, you're protected by our Product Promise.
For full details, please see our Terms & Conditions

Please note: All products are 'FOR RESEARCH USE ONLY. NOT FOR USE IN DIAGNOSTIC OR THERAPEUTIC PROCEDURES'.

For licensing inquiries, please contact partnerships@abcam.com