JavaScript is disabled in your browser. Please enable JavaScript to view this website.
AB180133

Anti-EID1 antibody [EPR13636]

Be the first to review this product! Submit a review

|

(1 Publication)

Rabbit Recombinant Monoclonal EID1 antibody. Suitable for IHC-P, WB and reacts with Human samples. Cited in 1 publication.

View Alternative Names

C15orf3, CRI1, RBP21, PNAS-22, PTD014, EID1, EP300-interacting inhibitor of differentiation 1, 21 kDa pRb-associated protein, CREBBP/EP300 inhibitory protein 1, E1A-like inhibitor of differentiation 1, EID-1

2 Images
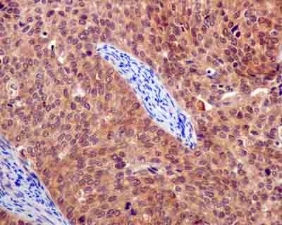
Immunohistochemistry (Formalin/PFA-fixed paraffin-embedded sections) - Anti-EID1 antibody [EPR13636] (AB180133)
  • IHC-P

Supplier Data

Immunohistochemistry (Formalin/PFA-fixed paraffin-embedded sections) - Anti-EID1 antibody [EPR13636] (AB180133)

Immunohistochemical analysis of paraffin-embedded human cervix carcinoma tissue labeling EID1 using ab180133 at 1/100 dilution. A Goat anti rabbit IgG (HRP) prediluted was used as secondary. Counterstain : Hematoxylin.

Perform heat mediated antigen retrieval with citrate buffer pH 6 before commencing with IHC staining protocol.

Western blot - Anti-EID1 antibody [EPR13636] (AB180133)
  • WB

Supplier Data

Western blot - Anti-EID1 antibody [EPR13636] (AB180133)

All lanes:

Western blot - Anti-EID1 antibody [EPR13636] (ab180133) at 1/1000 dilution

Lane 1:

HeLa cell lysate at 20 µg

Lane 2:

HepG2 cell lysate at 20 µg

Secondary

All lanes:

Goat Anti-Rabbit IgG, (H+L), Peroxidase conjugated at 1/1000 dilution

Predicted band size: 21 kDa

false

  • Carrier free

    Anti-EID1 antibody [EPR13636] - BSA and Azide free

Key facts

Host species

Rabbit

Clonality

Monoclonal

Clone number

EPR13636

Isotype

IgG

Carrier free

No

Reacts with

Human

Applications

IHC-P, WB

applications

Immunogen

The exact immunogen used to generate this antibody is proprietary information.

Reactivity data

{ "title": "Reactivity Data", "filters": { "stats": ["", "Species", "Dilution Info", "Notes"], "tabs": { "all-applications": {"fullname" : "All Applications", "shortname": "All Applications"}, "IHCP" : {"fullname" : "Immunohistochemistry (Formalin/PFA-fixed paraffin-embedded sections)", "shortname":"IHC-P"}, "WB" : {"fullname" : "Western blot", "shortname":"WB"} }, "product-promise": { "all": "all", "testedAndGuaranteed": "tested", "guaranteed": "expected", "predicted": "predicted", "notRecommended": "not-recommended" } }, "values": { "Human": { "IHCP-species-checked": "testedAndGuaranteed", "IHCP-species-dilution-info": "1/50 - 1/100", "IHCP-species-notes": "<p></p>", "WB-species-checked": "testedAndGuaranteed", "WB-species-dilution-info": "1/1000", "WB-species-notes": "<p></p>" }, "Mouse": { "IHCP-species-checked": "predicted", "IHCP-species-dilution-info": "", "IHCP-species-notes": "", "WB-species-checked": "predicted", "WB-species-dilution-info": "", "WB-species-notes": "" }, "Rat": { "IHCP-species-checked": "predicted", "IHCP-species-dilution-info": "", "IHCP-species-notes": "", "WB-species-checked": "predicted", "WB-species-dilution-info": "", "WB-species-notes": "" } } }

Product details

Patented technology
Our RabMAb® technology is a patented hybridoma-based technology for making rabbit monoclonal antibodies. For details on our patents, please refer to RabMAb® patents.

What are the advantages of a recombinant monoclonal antibody?
This product is a recombinant monoclonal antibody, which offers several advantages including:

  • - High batch-to-batch consistency and reproducibility
  • - Improved sensitivity and specificity
  • - Long-term security of supply
  • - Animal-free batch production

For more information, read more on recombinant antibodies.

Properties and storage information

Form
Liquid
Purification technique
Affinity purification Protein A
Storage buffer
Preservative: 0.01% Sodium azide Constituents: PBS, 40% Glycerol (glycerin, glycerine), 0.05% BSA
Shipped at conditions
Blue Ice
Appropriate short-term storage duration
1-2 weeks
Appropriate short-term storage conditions
+4°C
Appropriate long-term storage conditions
-20°C
Aliquoting information
Upon delivery aliquot
Storage information
Avoid freeze / thaw cycle

Supplementary information

This supplementary information is collated from multiple sources and compiled automatically.

EID1 also known as EP300 interacting inhibitor of differentiation 1 is a nuclear protein involved in transcriptional regulation. It has a molecular mass of approximately 22 kDa. EID1 primarily expresses in various tissues and acts as a co-regulator by interacting with transcription factors and modifying the transcription process. Its ability to bind with different cofactors allows it to play a role in multiple cellular functions.
Biological function summary

EID1 modulates transcriptional repression and differentiation processes. It participates in complexes with other proteins such as histone deacetylases and methyltransferases to alter chromatin structure and gene expression. EID1 can inhibit the activity of certain transcription factors influencing cell cycle progression and developmental pathways. In these roles EID1 exerts a substantial impact on cellular differentiation and proliferation.

Pathways

EID1 significantly impacts pathways like retinoblastoma (RB) and Wnt signaling. In the RB pathway EID1 modulates cell cycle control by interacting with proteins like p300/CBP. EID1's role in the Wnt signaling pathway involves influencing β-catenin activity which impacts cell fate determination and stem cell renewal. These interactions highlight EID1's role in signaling cascades that regulate proliferation and differentiation.

EID1 associates with cancer and neurodegenerative diseases. In cancer EID1 can alter tumor suppressor pathways by interacting with proteins such as p300 potentially affecting the tumor's growth and progression. In neurodegenerative diseases its role in gene expression modulation may result in atypical cellular functions that contribute to disease development. EID1's interactions with various co-regulators make it a target for research in diseased states.

Product protocols

For this product, it's our understanding that no specific protocols are required. You can visit:

Target data

Interacts with RB1 and EP300 and acts as a repressor of MYOD1 transactivation. Inhibits EP300 and CBP histone acetyltransferase activity. May be involved in coupling cell cycle exit to the transcriptional activation of genes required for cellular differentiation. May act as a candidate coinhibitory factor for NR0B2 that can be directly linked to transcription inhibitory mechanisms.
See full target information EID1

Publications (1)

Recent publications for all applications. Explore the full list and refine your search

Theranostics 11:5330-5345 PubMed33859750

2021

CD45ROCD8 T cell-derived exosomes restrict estrogen-driven endometrial cancer development via the ERβ/miR-765/PLP2/Notch axis.

Applications

Unspecified application

Species

Unspecified reactive species

Wen-Jie Zhou,Jie Zhang,Feng Xie,Jiang-Nan Wu,Jiang-Feng Ye,Jian Wang,Ke Wu,Ming-Qing Li
View all publications

Product promise

We are committed to supporting your work with high-quality reagents, and we're here for you every step of the way. In the unlikely event that one of our products does not perform as expected, you're protected by our Product Promise.
For full details, please see our Terms & Conditions

Please note: All products are 'FOR RESEARCH USE ONLY. NOT FOR USE IN DIAGNOSTIC OR THERAPEUTIC PROCEDURES'.

For licensing inquiries, please contact partnerships@abcam.com