JavaScript is disabled in your browser. Please enable JavaScript to view this website.
AB248029

Anti-eIF-6 antibody [EPR6512(B)] - BSA and Azide free

Be the first to review this product! Submit a review

|

(1 Publication)

Rabbit Recombinant Monoclonal eIF-6 antibody. Carrier free. Suitable for IHC-P, WB and reacts with Human, Mouse samples. Cited in 1 publication.

View Alternative Names

EIF3A, ITGB4BP, OK/SW-cl.27, EIF6, Eukaryotic translation initiation factor 6, eIF-6, B(2)GCN homolog, B4 integrin interactor, CAB, p27(BBP)

2 Images
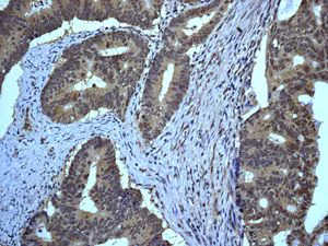
Immunohistochemistry (Formalin/PFA-fixed paraffin-embedded sections) - Anti-eIF-6 antibody [EPR6512(B)] - BSA and Azide free (AB248029)
  • IHC-P

Unknown

Immunohistochemistry (Formalin/PFA-fixed paraffin-embedded sections) - Anti-eIF-6 antibody [EPR6512(B)] - BSA and Azide free (AB248029)

This data was developed using ab124839, the same antibody clone in a different buffer formulation.

ab124839, at 1/100 to 1/250, staining eIF-6 in Human colonic adenocarcinoma by immunohistochemistry [Paraffin Embedded Tissues (IHC-P)].

Perform heat mediated antigen retrieval with citrate buffer pH 6 before commencing with IHC staining protocol.

Western blot - Anti-eIF-6 antibody [EPR6512(B)] - BSA and Azide free (AB248029)
  • WB

Unknown

Western blot - Anti-eIF-6 antibody [EPR6512(B)] - BSA and Azide free (AB248029)

This data was developed using ab124839, the same antibody clone in a different buffer formulation.

All lanes:

Western blot - Anti-eIF-6 antibody [EPR6512(B)] (<a href='/en-us/products/primary-antibodies/eif-6-antibody-epr6512b-ab124839'>ab124839</a>) at 1/1000 dilution

Lane 1:

HeLa cell lysate at 10 µg

Lane 2:

RAW 264.7 cell lysate at 10 µg

Lane 3:

K562 cell lysate at 10 µg

Lane 4:

293T cell lysate at 10 µg

Lane 5:

HepG2 cell lysate at 10 µg

Predicted band size: 27 kDa

false

Key facts

Host species

Rabbit

Clonality

Monoclonal

Clone number

EPR6512(B)

Isotype

IgG

Carrier free

Yes

Reacts with

Mouse, Human

Applications

IHC-P, WB

applications

Immunogen

The exact immunogen used to generate this antibody is proprietary information.

Reactivity data

{ "title": "Reactivity Data", "filters": { "stats": ["", "Species", "Dilution Info", "Notes"], "tabs": { "all-applications": {"fullname" : "All Applications", "shortname": "All Applications"}, "IHCP" : {"fullname" : "Immunohistochemistry (Formalin/PFA-fixed paraffin-embedded sections)", "shortname":"IHC-P"}, "ICCIF" : {"fullname" : "Immunocytochemistry/ Immunofluorescence", "shortname":"ICC/IF"}, "IP" : {"fullname" : "Immunoprecipitation", "shortname":"IP"}, "WB" : {"fullname" : "Western blot", "shortname":"WB"} }, "product-promise": { "all": "all", "testedAndGuaranteed": "tested", "guaranteed": "expected", "predicted": "predicted", "notRecommended": "not-recommended" } }, "values": { "Human": { "IHCP-species-checked": "testedAndGuaranteed", "IHCP-species-dilution-info": "", "IHCP-species-notes": "<p>Antigen retrieval is recommended.</p> Perform heat-mediated antigen retrieval with citrate buffer pH 6 before commencing with IHC staining protocol.", "ICCIF-species-checked": "notRecommended", "ICCIF-species-dilution-info": "", "ICCIF-species-notes": "<p></p>", "IP-species-checked": "notRecommended", "IP-species-dilution-info": "", "IP-species-notes": "<p></p>", "WB-species-checked": "testedAndGuaranteed", "WB-species-dilution-info": "", "WB-species-notes": "<p></p>" }, "Mouse": { "IHCP-species-checked": "guaranteed", "IHCP-species-dilution-info": "", "IHCP-species-notes": "", "ICCIF-species-checked": "notRecommended", "ICCIF-species-dilution-info": "", "ICCIF-species-notes": "<p></p>", "IP-species-checked": "notRecommended", "IP-species-dilution-info": "", "IP-species-notes": "<p></p>", "WB-species-checked": "testedAndGuaranteed", "WB-species-dilution-info": "", "WB-species-notes": "<p></p>" }, "Rat": { "IHCP-species-checked": "predicted", "IHCP-species-dilution-info": "", "IHCP-species-notes": "", "ICCIF-species-checked": "notRecommended", "ICCIF-species-dilution-info": "", "ICCIF-species-notes": "", "IP-species-checked": "notRecommended", "IP-species-dilution-info": "", "IP-species-notes": "", "WB-species-checked": "predicted", "WB-species-dilution-info": "", "WB-species-notes": "" } } }

Product details

ab248029 is the carrier-free version of ab124839.

Patented technology
Our RabMAb® technology is a patented hybridoma-based technology for making rabbit monoclonal antibodies. For details on our patents, please refer to RabMAb® patents.

What are the advantages of a recombinant monoclonal antibody?
This product is a recombinant monoclonal antibody, which offers several advantages including:

  • - High batch-to-batch consistency and reproducibility
  • - Improved sensitivity and specificity
  • - Long-term security of supply
  • - Animal-free batch production

For more information, read more on recombinant antibodies.

Conjugation ready
Our carrier-free antibodies are typically supplied in a PBS-only formulation, purified and free of BSA, sodium azide and glycerol. This conjugation-ready format is designed for use with fluorochromes, metal isotopes, oligonucleotides, and enzymes, which makes them ideal for antibody labelling, functional and cell-based assays, flow-based assays (e.g. mass cytometry) and Multiplex Imaging applications.

Use our conjugation kits for antibody conjugates that are ready-to-use in as little as 20 minutes with 1 minute hands-on-time and 100% antibody recovery: available for fluorescent dyes, HRP, biotin and gold.

Compatibility
This product is compatible with the Maxpar® Antibody Labeling Kit from Fluidigm, without the need for antibody preparation. Maxpar® is a trademark of Fluidigm Canada Inc.

Properties and storage information

Form
Liquid
Purification technique
Affinity purification Protein A
Storage buffer
pH: 7.2 - 7.4 Constituents: PBS
Shipped at conditions
Blue Ice
Appropriate short-term storage conditions
+4°C
Appropriate long-term storage conditions
+4°C
Storage information
Do Not Freeze

Supplementary information

This supplementary information is collated from multiple sources and compiled automatically.

EIF-6 also known as eukaryotic translation initiation factor 6 is a protein involved in the control of ribosomal function. The protein has a molecular mass of approximately 25 kDa and is expressed in the cytoplasm of eukaryotic cells. It acts by binding to the 60S ribosomal subunit and preventing premature association with the 40S subunit. This regulation ensures the proper assembly and function of the 80S ribosome essential for protein synthesis.
Biological function summary

Eukaryotic translation initiation factor 6 plays a significant role in ribosome biogenesis and translation initiation. It functions as a part of the ribosomal precursor complex facilitating the formation of functional 60S ribosomal units. Through its action eIF-6 modulates cellular protein synthesis rates impacting cell growth and proliferation. Additionally eIF-6 influences cellular responses to nutrient availability stressing its role in metabolic regulation.

Pathways

Eukaryotic translation initiation factor 6 is integral to the mTOR signaling pathway and ribosome biogenesis pathway. The mTOR pathway involves proteins like mTOR itself and S6 kinase which connect to eIF-6-mediated regulation of protein synthesis. eIF-6 maintains the balance between ribosome production and protein translation rates coordinating cellular growth with environmental cues.

Aberrations in eukaryotic translation initiation factor 6 levels link to cancer and metabolic diseases. Overexpression of eIF-6 can lead to excessive protein synthesis contributing to oncogenic processes by promoting unchecked cell proliferation. Additionally the dysregulation of eIF-6 can affect the mTOR pathway contributing to metabolic dysfunction. Connections between eIF-6 and other proteins like cyclin D1 highlight its impact on tumorigenesis and cell cycle control.

Product protocols

For this product, it's our understanding that no specific protocols are required. You can visit:

Target data

Binds to the 60S ribosomal subunit and prevents its association with the 40S ribosomal subunit to form the 80S initiation complex in the cytoplasm (PubMed : 10085284, PubMed : 14654845, PubMed : 21536732, PubMed : 32669547). Behaves as a stimulatory translation initiation factor downstream insulin/growth factors. Is also involved in ribosome biogenesis. Associates with pre-60S subunits in the nucleus and is involved in its nuclear export. Cytoplasmic release of TIF6 from 60S subunits and nuclear relocalization is promoted by a RACK1 (RACK1)-dependent protein kinase C activity (PubMed : 10085284, PubMed : 14654845, PubMed : 21536732). In tissues responsive to insulin, controls fatty acid synthesis and glycolysis by exerting translational control of adipogenic transcription factors such as CEBPB, CEBPD and ATF4 that have G/C rich or uORF in their 5'UTR. Required for ROS-dependent megakaryocyte maturation and platelets formation, controls the expression of mitochondrial respiratory chain genes involved in reactive oxygen species (ROS) synthesis (By similarity). Involved in miRNA-mediated gene silencing by the RNA-induced silencing complex (RISC). Required for both miRNA-mediated translational repression and miRNA-mediated cleavage of complementary mRNAs by RISC (PubMed : 17507929). Modulates cell cycle progression and global translation of pre-B cells, its activation seems to be rate-limiting in tumorigenesis and tumor growth (By similarity).
See full target information EIF6

Publications (1)

Recent publications for all applications. Explore the full list and refine your search

Journal of virology 97:e0190722 PubMed36946735

2023

Characterization of the Impact of Merkel Cell Polyomavirus-Induced Interferon Signaling on Viral Infection.

Applications

Unspecified application

Species

Unspecified reactive species

Ranran Wang,June F Yang,Taylor E Senay,Wei Liu,Jianxin You
View all publications

Product promise

We are committed to supporting your work with high-quality reagents, and we're here for you every step of the way. In the unlikely event that one of our products does not perform as expected, you're protected by our Product Promise.
For full details, please see our Terms & Conditions

Please note: All products are 'FOR RESEARCH USE ONLY. NOT FOR USE IN DIAGNOSTIC OR THERAPEUTIC PROCEDURES'.

For licensing inquiries, please contact partnerships@abcam.com