JavaScript is disabled in your browser. Please enable JavaScript to view this website.
AB177939

Anti-eIF1A antibody [EPR12466(B)]

Be the first to review this product! Submit a review

|

(8 Publications)

Rabbit Recombinant Monoclonal eIF1A antibody. Suitable for IHC-P, IP, WB, ICC/IF, Flow Cyt (Intra) and reacts with Human, Mouse, Rat samples. Cited in 8 publications.

View Alternative Names

EIF1A, EIF4C, EIF1AX, eIF-1A X isoform, eIF1A X isoform, Eukaryotic translation initiation factor 4C, eIF-4C

10 Images
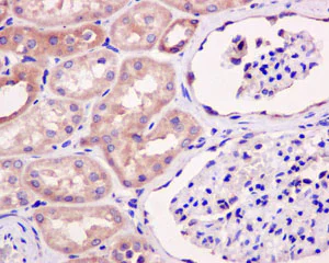
Immunohistochemistry (Formalin/PFA-fixed paraffin-embedded sections) - Anti-eIF1A antibody [EPR12466(B)] (AB177939)
  • IHC-P

Supplier Data

Immunohistochemistry (Formalin/PFA-fixed paraffin-embedded sections) - Anti-eIF1A antibody [EPR12466(B)] (AB177939)

Immunohistochemical analysis of paraffin-embedded Human kidney tissue labeling EIF1AX with ab177939 at 1/50 dilution.

This image was generated using the unpurified version of the product.

Heat mediated antigen retrieval was performed before commencing with IHC staining protocol.

Flow Cytometry (Intracellular) - Anti-eIF1A antibody [EPR12466(B)] (AB177939)
  • Flow Cyt (Intra)

Unknown

Flow Cytometry (Intracellular) - Anti-eIF1A antibody [EPR12466(B)] (AB177939)

Intracellular Flow Cytometry analysis of HeLa (Human cervix adenocarcinoma epithelial cell) cells labeling eIF1A with Purified ab177939 at 1/60 dilution (10μg/ml) (red). Cells were fixed with 4% Paraformaldehyde. A Goat anti rabbit IgG (Alexa Fluor® 488, ab150077) secondary antibody was used at 1/2000. Isotype control - Rabbit monoclonal IgG (Black). Unlabeled control - Cell without incubation with primary antibody and secondary antibody (Blue).

Immunocytochemistry/ Immunofluorescence - Anti-eIF1A antibody [EPR12466(B)] (AB177939)
  • ICC/IF

Supplier Data

Immunocytochemistry/ Immunofluorescence - Anti-eIF1A antibody [EPR12466(B)] (AB177939)

Immunofluorescent analysis of HeLa cells labeling EIF1AX with ab177939 at 1/50 dilution (red). DAPI nuclear staining (blue).

This image was generated using the unpurified version of the product.

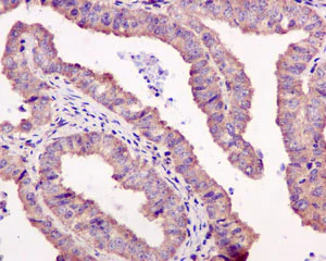
Immunohistochemistry (Formalin/PFA-fixed paraffin-embedded sections) - Anti-eIF1A antibody [EPR12466(B)] (AB177939)
  • IHC-P

Supplier Data

Immunohistochemistry (Formalin/PFA-fixed paraffin-embedded sections) - Anti-eIF1A antibody [EPR12466(B)] (AB177939)

Immunohistochemical analysis of paraffin-embedded Human endometrial carcinoma tissue labeling EIF1AX with ab177939 at 1/50 dilution.

This image was generated using the unpurified version of the product.

Heat mediated antigen retrieval was performed before commencing with IHC staining protocol.

Immunocytochemistry/ Immunofluorescence - Anti-eIF1A antibody [EPR12466(B)] (AB177939)
  • ICC/IF

Unknown

Immunocytochemistry/ Immunofluorescence - Anti-eIF1A antibody [EPR12466(B)] (AB177939)

Immunocytochemistry/ Immunofluorescence analysis of 293T (Human embryonic kidney epithelial cell) cells labeling eIF1A with Purified ab177939 at 1 : 100 dilution (5.7 μg/ml). Cells were fixed in 4% Paraformaldehyde and permeabilized with 0.1% tritonX-100. Cells were counterstained with ab195889 Anti-alpha Tubulin antibody [DM1A] - Microtubule Marker (Alexa Fluor® 594) 1 : 200 (2.5 μg/ml). Goat anti rabbit IgG (Alexa Fluor® 488, ab150077) was used as the secondary antibody at 1 : 1000 (2 μg/ml) dilution. DAPI nuclear counterstain. PBS instead of the primary antibody was used as the secondary antibody only control.

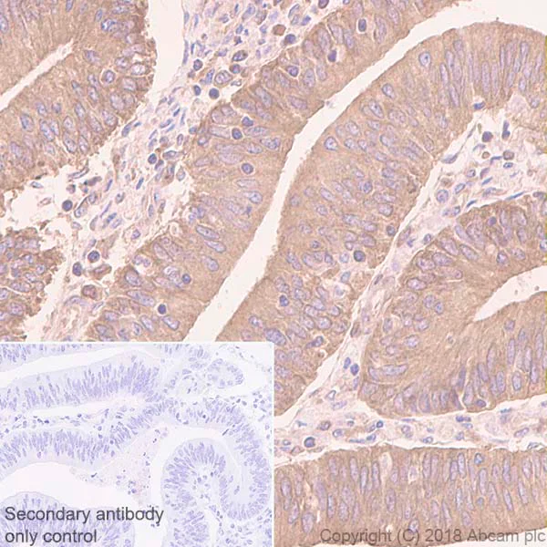
Immunohistochemistry (Formalin/PFA-fixed paraffin-embedded sections) - Anti-eIF1A antibody [EPR12466(B)] (AB177939)
  • IHC-P

Unknown

Immunohistochemistry (Formalin/PFA-fixed paraffin-embedded sections) - Anti-eIF1A antibody [EPR12466(B)] (AB177939)

Immunohistochemistry (Formalin/PFA-fixed paraffin-embedded sections) analysis of Human endometrium cancer tissue sections labeling eIF1A with Purified ab177939 at 1 : 350 dilution (1.61 μg/ml). Heat mediated antigen retrieval was performed using Citrate buffer, pH 6.0. ImmunoHistoProbe one step HRP Polymer (ready to use)was used as the secondary antibody. Negative control : PBS instead of the primary antibody. Hematoxylin was used as a counterstain.

Western blot - Anti-eIF1A antibody [EPR12466(B)] (AB177939)
  • WB

Supplier Data

Western blot - Anti-eIF1A antibody [EPR12466(B)] (AB177939)

This image was generated using the unpurified version of the product.

All lanes:

Western blot - Anti-eIF1A antibody [EPR12466(B)] (ab177939) at 1/10000 dilution

Lane 1:

HeLa cell lysate at 10 µg

Lane 2:

Jurkat cell lysate at 10 µg

Lane 3:

A375 cell lysate at 10 µg

Lane 4:

293T cell lysate at 10 µg

Predicted band size: 16 kDa

false

Immunoprecipitation - Anti-eIF1A antibody [EPR12466(B)] (AB177939)
  • IP

Supplier Data

Immunoprecipitation - Anti-eIF1A antibody [EPR12466(B)] (AB177939)

Western blot analysis on immunoprecipitation pellet from A375 cell lysate immunoprecipitated using ab177939 at 1/10 dilution.

This image was generated using the unpurified version of the product.

All lanes:

Immunoprecipitation - Anti-eIF1A antibody [EPR12466(B)] (ab177939)

Predicted band size: 16 kDa

false

Immunoprecipitation - Anti-eIF1A antibody [EPR12466(B)] (AB177939)
  • IP

Unknown

Immunoprecipitation - Anti-eIF1A antibody [EPR12466(B)] (AB177939)

ab177939 (purified) at 1 : 30 dilution (2μg) immunoprecipitating eIF1A in HeLa whole cell lysate.
Lane 1 (input) : HeLa (Human cervix adenocarcinoma epithelial cell) whole cell lysate 10μg
Lane 2 (+) : ab177939 & HeLa whole cell lysate
Lane 3 (-) : Rabbit monoclonal IgG (ab172730) instead of ab177939 in HeLa whole cell lysate
For western blotting, VeriBlot for IP Detection Reagent (HRP) (ab131366) was used for detection at 1 : 1000 dilution.
Blocking and diluting buffer : 5% NFDM/TBST.

All lanes:

Immunoprecipitation - Anti-eIF1A antibody [EPR12466(B)] (ab177939)

Predicted band size: 16 kDa

false

Western blot - Anti-eIF1A antibody [EPR12466(B)] (AB177939)
  • WB

Lab

Western blot - Anti-eIF1A antibody [EPR12466(B)] (AB177939)

All lanes:

Western blot - Anti-eIF1A antibody [EPR12466(B)] (ab177939) at 1/10000 dilution

Lane 1:

HeLa (Human cervix adenocarcinoma epithelial cell) whole cell lysates at 20 µg

Lane 2:

HEK-293 (Human epithelial cell line from embryonic kidney) whole cell lysates at 20 µg

Lane 3:

Jurkat (Human T cell leukemia T lymphocyte) whole cell lysates at 20 µg

Lane 4:

Mouse brain lysates at 20 µg

Lane 5:

Rat brain lysates at 20 µg

Secondary

All lanes:

Western blot - Goat Anti-Rabbit IgG H&L (HRP) (<a href='/en-us/products/secondary-antibodies/goat-rabbit-igg-h-l-hrp-ab97051'>ab97051</a>) at 1/20000 dilution

Predicted band size: 16 kDa

Observed band size: 16 kDa

false

Key facts

Host species

Rabbit

Clonality

Monoclonal

Clone number

EPR12466(B)

Isotype

IgG

Carrier free

No

Reacts with

Mouse, Rat, Human

Applications

Flow Cyt (Intra), ICC/IF, IHC-P, WB, IP

applications

Immunogen

The exact immunogen used to generate this antibody is proprietary information.

Specificity

The mouse and rat recommendation is based on the WB results. We do not guarantee IHC-P for mouse and rat.

Reactivity data

{ "title": "Reactivity Data", "filters": { "stats": ["", "Species", "Dilution Info", "Notes"], "tabs": { "all-applications": {"fullname" : "All Applications", "shortname": "All Applications"}, "IHCP" : {"fullname" : "Immunohistochemistry (Formalin/PFA-fixed paraffin-embedded sections)", "shortname":"IHC-P"}, "IP" : {"fullname" : "Immunoprecipitation", "shortname":"IP"}, "WB" : {"fullname" : "Western blot", "shortname":"WB"}, "ICCIF" : {"fullname" : "Immunocytochemistry/ Immunofluorescence", "shortname":"ICC/IF"}, "FlowCytIntra" : {"fullname" : "Flow Cytometry (Intracellular)", "shortname":"Flow Cyt (Intra)"} }, "product-promise": { "all": "all", "testedAndGuaranteed": "tested", "guaranteed": "expected", "predicted": "predicted", "notRecommended": "not-recommended" } }, "values": { "Human": { "IHCP-species-checked": "testedAndGuaranteed", "IHCP-species-dilution-info": "1/350", "IHCP-species-notes": "<p><strong>For unpurified use at 1/50 - 1/100.</strong></p> Perform heat-mediated antigen retrieval before commencing with IHC staining protocol.", "IP-species-checked": "testedAndGuaranteed", "IP-species-dilution-info": "1/10 - 1/100", "IP-species-notes": "<p></p>", "WB-species-checked": "testedAndGuaranteed", "WB-species-dilution-info": "1/10000 - 1/50000", "WB-species-notes": "<p>The mouse and rat recommendation is based on the WB results. We do not guarantee IHC-P for mouse and rat.</p>", "ICCIF-species-checked": "testedAndGuaranteed", "ICCIF-species-dilution-info": "1/50 - 1/100", "ICCIF-species-notes": "<p></p>", "FlowCytIntra-species-checked": "testedAndGuaranteed", "FlowCytIntra-species-dilution-info": "1/60", "FlowCytIntra-species-notes": "<p></p>" }, "Mouse": { "IHCP-species-checked": "guaranteed", "IHCP-species-dilution-info": "", "IHCP-species-notes": "", "IP-species-checked": "guaranteed", "IP-species-dilution-info": "", "IP-species-notes": "", "WB-species-checked": "testedAndGuaranteed", "WB-species-dilution-info": "1/10000 - 1/50000", "WB-species-notes": "<p>The mouse and rat recommendation is based on the WB results. We do not guarantee IHC-P for mouse and rat.</p>", "ICCIF-species-checked": "guaranteed", "ICCIF-species-dilution-info": "", "ICCIF-species-notes": "", "FlowCytIntra-species-checked": "guaranteed", "FlowCytIntra-species-dilution-info": "", "FlowCytIntra-species-notes": "" }, "Rat": { "IHCP-species-checked": "guaranteed", "IHCP-species-dilution-info": "", "IHCP-species-notes": "", "IP-species-checked": "guaranteed", "IP-species-dilution-info": "", "IP-species-notes": "", "WB-species-checked": "testedAndGuaranteed", "WB-species-dilution-info": "1/10000 - 1/50000", "WB-species-notes": "<p>The mouse and rat recommendation is based on the WB results. We do not guarantee IHC-P for mouse and rat.</p>", "ICCIF-species-checked": "guaranteed", "ICCIF-species-dilution-info": "", "ICCIF-species-notes": "", "FlowCytIntra-species-checked": "guaranteed", "FlowCytIntra-species-dilution-info": "", "FlowCytIntra-species-notes": "" } } }

Product details

Patented technology
Our RabMAb® technology is a patented hybridoma-based technology for making rabbit monoclonal antibodies. For details on our patents, please refer to RabMAb® patents.

What are the advantages of a recombinant monoclonal antibody?
This product is a recombinant monoclonal antibody, which offers several advantages including:

  • - High batch-to-batch consistency and reproducibility
  • - Improved sensitivity and specificity
  • - Long-term security of supply
  • - Animal-free batch production

For more information, read more on recombinant antibodies.

Properties and storage information

Form
Liquid
Purification technique
Affinity purification Protein A
Storage buffer
Preservative: 0.01% Sodium azide Constituents: PBS, 40% Glycerol (glycerin, glycerine), 0.05% BSA
Shipped at conditions
Blue Ice
Appropriate short-term storage duration
1-2 weeks
Appropriate short-term storage conditions
+4°C
Appropriate long-term storage conditions
-20°C
Aliquoting information
Upon delivery aliquot
Storage information
Avoid freeze / thaw cycle

Supplementary information

This supplementary information is collated from multiple sources and compiled automatically.

EIF1A also known as Eukaryotic Initiation Factor 1A plays an important role in the process of initiating translation. It has a mass of approximately 17.5 kDa. This factor is expressed in various tissues playing a role in forming the pre-initiation complex ensuring mRNA and ribosomal alignment. eIF1A's structure and binding capabilities make it an essential component for the fidelity and efficiency of translation initiation.
Biological function summary

EIF1A functions as part of the eukaryotic translation initiation complex. It stabilizes the binding of the small ribosomal subunit to mRNA. eIF1A works closely with other initiation factors including eIF1 eIF3 and eIF5 to facilitate the proper scanning of mRNA for the correct start codon. This precise role in translation initiation serves as a regulatory point for protein synthesis in cells.

Pathways

EIF1A engages in the mRNA translation pathway particularly in the initiation phase. It is critical in ensuring the mRNA translation accuracy by preventing premature joining of the large ribosomal subunit. eIF1A associates with proteins like eIF3 and eIF2 during the initial stages of translation. This involvement ensures cellular homeostasis and efficient cellular response to various stimuli.

EIF1A may influence cancer development and progression. Alterations in its expression levels or mutations can disrupt normal translation processes potentially leading to oncogenesis. Research indicates a connection between eIF1A and tumor suppressor proteins highlighting its impact on cellular proliferation. Additionally eIF1A may relate to neurodegenerative disorders by affecting proteins such as eIF2 impacting neuronal translation control and protein synthesis regulation.

Product protocols

For this product, it's our understanding that no specific protocols are required. You can visit:

Target data

Component of the 43S pre-initiation complex (43S PIC), which binds to the mRNA cap-proximal region, scans mRNA 5'-untranslated region, and locates the initiation codon (PubMed : 9732867). This protein enhances formation of the cap-proximal complex (PubMed : 9732867). Together with EIF1, facilitates scanning, start codon recognition, promotion of the assembly of 48S complex at the initiation codon (43S PIC becomes 48S PIC after the start codon is reached), and dissociation of aberrant complexes (PubMed : 9732867). After start codon location, together with EIF5B orients the initiator methionine-tRNA in a conformation that allows 60S ribosomal subunit joining to form the 80S initiation complex (PubMed : 35732735). Is released after 80S initiation complex formation, just after GTP hydrolysis by EIF5B, and before release of EIF5B (PubMed : 35732735). Its globular part is located in the A site of the 40S ribosomal subunit (PubMed : 35732735). Its interaction with EIF5 during scanning contribute to the maintenance of EIF1 within the open 43S PIC (PubMed : 24319994). In contrast to yeast orthologs, does not bind EIF1 (PubMed : 24319994).
See full target information EIF1AX

Publications (8)

Recent publications for all applications. Explore the full list and refine your search

The New phytologist 241:2075-2089 PubMed38095260

2023

Maize DDK1 encoding an Importin-4 β protein is essential for seed development and grain filling by mediating nuclear exporting of eIF1A.

Applications

Unspecified application

Species

Unspecified reactive species

Xing Huang,Yongcai Huang,Li Qin,Qiao Xiao,Qiong Wang,Jiechen Wang,Wenqin Wang,Xiaoduo Lu,Yongrui Wu

PloS one 18:e0292080 PubMed37768948

2023

The Helix-Loop-Helix motif of human EIF3A regulates translation of proliferative cellular mRNAs.

Applications

Unspecified application

Species

Unspecified reactive species

Marina P Volegova,Cynthia Hermosillo,Jamie H D Cate

Cell proliferation 53:e12903 PubMed32926483

2020

Transcriptional repression of p21 by EIF1AX promotes the proliferation of breast cancer cells.

Applications

Unspecified application

Species

Unspecified reactive species

Yuhuan Li,Lu Guo,Sunyang Ying,Gui-Hai Feng,Ying Zhang

Genome research 30:860-873 PubMed32461223

2020

Quantitative analysis of Y-Chromosome gene expression across 36 human tissues.

Applications

Unspecified application

Species

Unspecified reactive species

Alexander K Godfrey,Sahin Naqvi,Lukáš Chmátal,Joel M Chick,Richard N Mitchell,Steven P Gygi,Helen Skaletsky,David C Page

Molecular & cellular proteomics : MCP 17:1337-1353 PubMed29666159

2018

Extensive Identification and In-depth Validation of Importin 13 Cargoes.

Applications

Unspecified application

Species

Unspecified reactive species

Imke Baade,Christiane Spillner,Kerstin Schmitt,Oliver Valerius,Ralph H Kehlenbach

Cell reports 22:1913-1922 PubMed29444441

2018

Initiating Events in Direct Cardiomyocyte Reprogramming.

Applications

WB

Species

Mouse

Kimberly Sauls,Todd M Greco,Li Wang,Meng Zou,Michelle Villasmil,Li Qian,Ileana M Cristea,Frank L Conlon

RNA biology 14:553-567 PubMed26828225

2016

Cellular mRNA recruits the ribosome via eIF3-PABP bridge to initiate internal translation.

Applications

Unspecified application

Species

Unspecified reactive species

Nehal Thakor,M Duane Smith,Luc Roberts,Mame Daro Faye,Harshil Patel,Hans-Joachim Wieden,Jamie H D Cate,Martin Holcik

Journal of virology 88:4069-82 PubMed24478440

2014

Murine leukemia virus uses NXF1 for nuclear export of spliced and unspliced viral transcripts.

Applications

WB

Species

Human

Toshie Sakuma,Jaime I Davila,Jessica A Malcolm,Jean-Pierre A Kocher,Jason M Tonne,Yasuhiro Ikeda
View all publications

Product promise

We are committed to supporting your work with high-quality reagents, and we're here for you every step of the way. In the unlikely event that one of our products does not perform as expected, you're protected by our Product Promise.
For full details, please see our Terms & Conditions

Please note: All products are 'FOR RESEARCH USE ONLY. NOT FOR USE IN DIAGNOSTIC OR THERAPEUTIC PROCEDURES'.

For licensing inquiries, please contact partnerships@abcam.com