JavaScript is disabled in your browser. Please enable JavaScript to view this website.
AB243919

Anti-eIF1A antibody [EPR12466(B)] - BSA and Azide free

Be the first to review this product! Submit a review

|

(1 Publication)

Rabbit Recombinant Monoclonal eIF1A antibody. Carrier free. Suitable for IHC-P, IP, WB, ICC/IF, Flow Cyt (Intra) and reacts with Human, Mouse, Rat samples. Cited in 1 publication.

View Alternative Names

EIF1A, EIF4C, EIF1AX, eIF-1A X isoform, eIF1A X isoform, Eukaryotic translation initiation factor 4C, eIF-4C

8 Images
Immunohistochemistry (Formalin/PFA-fixed paraffin-embedded sections) - Anti-eIF1A antibody [EPR12466(B)] - BSA and Azide free (AB243919)
  • IHC-P

Supplier Data

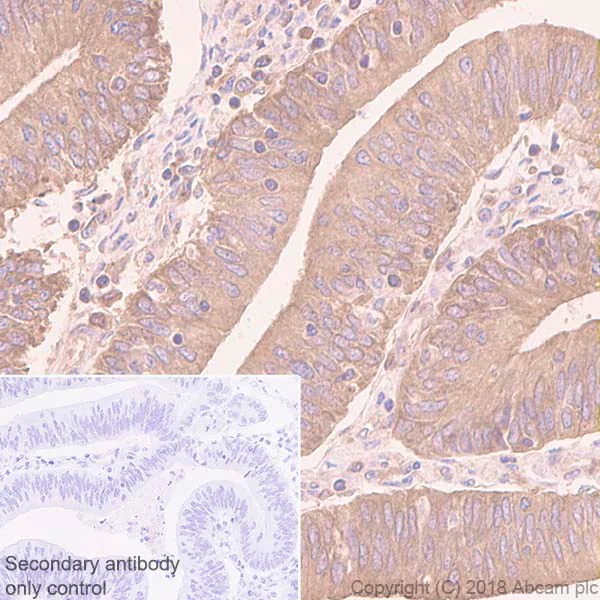
Immunohistochemistry (Formalin/PFA-fixed paraffin-embedded sections) - Anti-eIF1A antibody [EPR12466(B)] - BSA and Azide free (AB243919)

Immunohistochemical analysis of paraffin-embedded Human endometrial carcinoma tissue labeling EIF1AX with ab177939 at 1/50 dilution.

This data was developed using the same antibody clone in a different buffer formulation containing PBS, BSA, glycerol, and sodium azide (ab177939)

This image was generated using the unpurified version of the product.

Heat mediated antigen retrieval was performed before commencing with IHC staining protocol.

Immunohistochemistry (Formalin/PFA-fixed paraffin-embedded sections) - Anti-eIF1A antibody [EPR12466(B)] - BSA and Azide free (AB243919)
  • IHC-P

Unknown

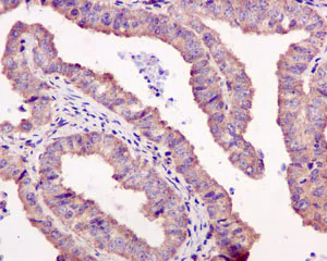
Immunohistochemistry (Formalin/PFA-fixed paraffin-embedded sections) - Anti-eIF1A antibody [EPR12466(B)] - BSA and Azide free (AB243919)

Immunohistochemistry (Formalin/PFA-fixed paraffin-embedded sections) analysis of Human endometrium cancer tissue sections labeling eIF1A with Purified ab177939 at 1 : 350 dilution (1.61 μg/ml). Heat mediated antigen retrieval was performed using Citrate buffer, pH 6.0. ImmunoHistoProbe one step HRP Polymer (ready to use)was used as the secondary antibody. Negative control : PBS instead of the primary antibody. Hematoxylin was used as a counterstain.

This data was developed using the same antibody clone in a different buffer formulation containing PBS, BSA, glycerol, and sodium azide (ab177939)

Flow Cytometry (Intracellular) - Anti-eIF1A antibody [EPR12466(B)] - BSA and Azide free (AB243919)
  • Flow Cyt (Intra)

Unknown

Flow Cytometry (Intracellular) - Anti-eIF1A antibody [EPR12466(B)] - BSA and Azide free (AB243919)

Intracellular Flow Cytometry analysis of HeLa (Human cervix adenocarcinoma epithelial cell) cells labeling eIF1A with Purified ab177939 at 1/60 dilution (10μg/ml) (red). Cells were fixed with 4% Paraformaldehyde. A Goat anti rabbit IgG (Alexa Fluor® 488, ab150077) secondary antibody was used at 1/2000. Isotype control - Rabbit monoclonal IgG (Black). Unlabeled control - Cell without incubation with primary antibody and secondary antibody (Blue).

This data was developed using the same antibody clone in a different buffer formulation containing PBS, BSA, glycerol, and sodium azide (ab177939)

Immunocytochemistry/ Immunofluorescence - Anti-eIF1A antibody [EPR12466(B)] - BSA and Azide free (AB243919)
  • ICC/IF

Supplier Data

Immunocytochemistry/ Immunofluorescence - Anti-eIF1A antibody [EPR12466(B)] - BSA and Azide free (AB243919)

Immunofluorescent analysis of HeLa cells labeling EIF1AX with ab177939 at 1/50 dilution (red). DAPI nuclear staining (blue).

This data was developed using the same antibody clone in a different buffer formulation containing PBS, BSA, glycerol, and sodium azide (ab177939)

This image was generated using the unpurified version of the product.

Immunohistochemistry (Formalin/PFA-fixed paraffin-embedded sections) - Anti-eIF1A antibody [EPR12466(B)] - BSA and Azide free (AB243919)
  • IHC-P

Supplier Data

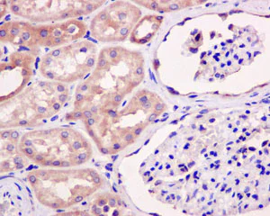
Immunohistochemistry (Formalin/PFA-fixed paraffin-embedded sections) - Anti-eIF1A antibody [EPR12466(B)] - BSA and Azide free (AB243919)

Immunohistochemical analysis of paraffin-embedded Human kidney tissue labeling EIF1AX with ab177939 at 1/50 dilution.

This data was developed using the same antibody clone in a different buffer formulation containing PBS, BSA, glycerol, and sodium azide (ab177939)

This image was generated using the unpurified version of the product.

Heat mediated antigen retrieval was performed before commencing with IHC staining protocol.

Immunocytochemistry/ Immunofluorescence - Anti-eIF1A antibody [EPR12466(B)] - BSA and Azide free (AB243919)
  • ICC/IF

Unknown

Immunocytochemistry/ Immunofluorescence - Anti-eIF1A antibody [EPR12466(B)] - BSA and Azide free (AB243919)

Immunocytochemistry/ Immunofluorescence analysis of 293T (Human embryonic kidney epithelial cell) cells labeling eIF1A with Purified ab177939 at 1 : 100 dilution (5.7 μg/ml). Cells were fixed in 4% Paraformaldehyde and permeabilized with 0.1% tritonX-100. Cells were counterstained with ab195889 Anti-alpha Tubulin antibody [DM1A] - Microtubule Marker (Alexa Fluor® 594) 1 : 200 (2.5 μg/ml). Goat anti rabbit IgG (Alexa Fluor® 488, ab150077) was used as the secondary antibody at 1 : 1000 (2 μg/ml) dilution. DAPI nuclear counterstain. PBS instead of the primary antibody was used as the secondary antibody only control.

This data was developed using the same antibody clone in a different buffer formulation containing PBS, BSA, glycerol, and sodium azide (ab177939)

Immunoprecipitation - Anti-eIF1A antibody [EPR12466(B)] - BSA and Azide free (AB243919)
  • IP

Supplier Data

Immunoprecipitation - Anti-eIF1A antibody [EPR12466(B)] - BSA and Azide free (AB243919)

Western blot analysis on immunoprecipitation pellet from A375 cell lysate immunoprecipitated using ab177939 at 1/10 dilution.

This data was developed using the same antibody clone in a different buffer formulation containing PBS, BSA, glycerol, and sodium azide (ab177939)

This image was generated using the unpurified version of the product.

All lanes:

Immunoprecipitation - Anti-eIF1A antibody [EPR12466(B)] (<a href='/en-us/products/primary-antibodies/eif1a-antibody-epr12466b-ab177939'>ab177939</a>)

Predicted band size: 16 kDa

false

Immunoprecipitation - Anti-eIF1A antibody [EPR12466(B)] - BSA and Azide free (AB243919)
  • IP

Unknown

Immunoprecipitation - Anti-eIF1A antibody [EPR12466(B)] - BSA and Azide free (AB243919)

ab177939 (purified) at 1 : 30 dilution (2μg) immunoprecipitating eIF1A in HeLa whole cell lysate.
Lane 1 (input) : HeLa (Human cervix adenocarcinoma epithelial cell) whole cell lysate 10μg
Lane 2 (+) : ab177939 & HeLa whole cell lysate
Lane 3 (-) : Rabbit monoclonal IgG (ab172730) instead of ab177939 in HeLa whole cell lysate
For western blotting, VeriBlot for IP Detection Reagent (HRP) (ab131366) was used for detection at 1 : 1000 dilution.
Blocking and diluting buffer : 5% NFDM/TBST.

This data was developed using the same antibody clone in a different buffer formulation containing PBS, BSA, glycerol, and sodium azide (ab177939)

All lanes:

Immunoprecipitation - Anti-eIF1A antibody [EPR12466(B)] (<a href='/en-us/products/primary-antibodies/eif1a-antibody-epr12466b-ab177939'>ab177939</a>)

Predicted band size: 16 kDa

false

Key facts

Host species

Rabbit

Clonality

Monoclonal

Clone number

EPR12466(B)

Isotype

IgG

Carrier free

Yes

Reacts with

Mouse, Rat, Human

Applications

IP, IHC-P, ICC/IF, WB, Flow Cyt (Intra)

applications

Immunogen

The exact immunogen used to generate this antibody is proprietary information.

Reactivity data

{ "title": "Reactivity Data", "filters": { "stats": ["", "Species", "Dilution Info", "Notes"], "tabs": { "all-applications": {"fullname" : "All Applications", "shortname": "All Applications"}, "IHCP" : {"fullname" : "Immunohistochemistry (Formalin/PFA-fixed paraffin-embedded sections)", "shortname":"IHC-P"}, "IP" : {"fullname" : "Immunoprecipitation", "shortname":"IP"}, "WB" : {"fullname" : "Western blot", "shortname":"WB"}, "ICCIF" : {"fullname" : "Immunocytochemistry/ Immunofluorescence", "shortname":"ICC/IF"}, "FlowCytIntra" : {"fullname" : "Flow Cytometry (Intracellular)", "shortname":"Flow Cyt (Intra)"} }, "product-promise": { "all": "all", "testedAndGuaranteed": "tested", "guaranteed": "expected", "predicted": "predicted", "notRecommended": "not-recommended" } }, "values": { "Human": { "IHCP-species-checked": "testedAndGuaranteed", "IHCP-species-dilution-info": "", "IHCP-species-notes": "<p></p>", "IP-species-checked": "testedAndGuaranteed", "IP-species-dilution-info": "", "IP-species-notes": "<p></p>", "WB-species-checked": "guaranteed", "WB-species-dilution-info": "", "WB-species-notes": "<p>The mouse and rat recommendation is based on the WB results. We do not guarantee IHC-P for mouse and rat.</p>", "ICCIF-species-checked": "testedAndGuaranteed", "ICCIF-species-dilution-info": "", "ICCIF-species-notes": "<p></p>", "FlowCytIntra-species-checked": "testedAndGuaranteed", "FlowCytIntra-species-dilution-info": "", "FlowCytIntra-species-notes": "<p></p>" }, "Mouse": { "IHCP-species-checked": "notRecommended", "IHCP-species-dilution-info": "", "IHCP-species-notes": "<p></p>", "IP-species-checked": "predicted", "IP-species-dilution-info": "", "IP-species-notes": "", "WB-species-checked": "guaranteed", "WB-species-dilution-info": "", "WB-species-notes": "<p>The mouse and rat recommendation is based on the WB results. We do not guarantee IHC-P for mouse and rat.</p>", "ICCIF-species-checked": "predicted", "ICCIF-species-dilution-info": "", "ICCIF-species-notes": "", "FlowCytIntra-species-checked": "predicted", "FlowCytIntra-species-dilution-info": "", "FlowCytIntra-species-notes": "" }, "Rat": { "IHCP-species-checked": "notRecommended", "IHCP-species-dilution-info": "", "IHCP-species-notes": "<p></p>", "IP-species-checked": "predicted", "IP-species-dilution-info": "", "IP-species-notes": "", "WB-species-checked": "guaranteed", "WB-species-dilution-info": "", "WB-species-notes": "<p>The mouse and rat recommendation is based on the WB results. We do not guarantee IHC-P for mouse and rat.</p>", "ICCIF-species-checked": "predicted", "ICCIF-species-dilution-info": "", "ICCIF-species-notes": "", "FlowCytIntra-species-checked": "predicted", "FlowCytIntra-species-dilution-info": "", "FlowCytIntra-species-notes": "" } } }

Product details

ab243919 is the carrier-free version of ab177939.

Patented technology
Our RabMAb® technology is a patented hybridoma-based technology for making rabbit monoclonal antibodies. For details on our patents, please refer to RabMAb® patents.

What are the advantages of a recombinant monoclonal antibody?
This product is a recombinant monoclonal antibody, which offers several advantages including:

  • - High batch-to-batch consistency and reproducibility
  • - Improved sensitivity and specificity
  • - Long-term security of supply
  • - Animal-free batch production

For more information, read more on recombinant antibodies.

Conjugation ready
Our carrier-free antibodies are typically supplied in a PBS-only formulation, purified and free of BSA, sodium azide and glycerol. This conjugation-ready format is designed for use with fluorochromes, metal isotopes, oligonucleotides, and enzymes, which makes them ideal for antibody labelling, functional and cell-based assays, flow-based assays (e.g. mass cytometry) and Multiplex Imaging applications.

Use our conjugation kits for antibody conjugates that are ready-to-use in as little as 20 minutes with 1 minute hands-on-time and 100% antibody recovery: available for fluorescent dyes, HRP, biotin and gold.

Compatibility
This product is compatible with the Maxpar® Antibody Labeling Kit from Fluidigm, without the need for antibody preparation. Maxpar® is a trademark of Fluidigm Canada Inc.

Properties and storage information

Form
Liquid
Purification technique
Affinity purification Protein A
Storage buffer
pH: 7.2 - 7.4 Constituents: PBS
Shipped at conditions
Blue Ice
Appropriate short-term storage conditions
+4°C
Appropriate long-term storage conditions
+4°C
Storage information
Do Not Freeze

Supplementary information

This supplementary information is collated from multiple sources and compiled automatically.

EIF1A also known as Eukaryotic Initiation Factor 1A plays an important role in the process of initiating translation. It has a mass of approximately 17.5 kDa. This factor is expressed in various tissues playing a role in forming the pre-initiation complex ensuring mRNA and ribosomal alignment. eIF1A's structure and binding capabilities make it an essential component for the fidelity and efficiency of translation initiation.
Biological function summary

EIF1A functions as part of the eukaryotic translation initiation complex. It stabilizes the binding of the small ribosomal subunit to mRNA. eIF1A works closely with other initiation factors including eIF1 eIF3 and eIF5 to facilitate the proper scanning of mRNA for the correct start codon. This precise role in translation initiation serves as a regulatory point for protein synthesis in cells.

Pathways

EIF1A engages in the mRNA translation pathway particularly in the initiation phase. It is critical in ensuring the mRNA translation accuracy by preventing premature joining of the large ribosomal subunit. eIF1A associates with proteins like eIF3 and eIF2 during the initial stages of translation. This involvement ensures cellular homeostasis and efficient cellular response to various stimuli.

EIF1A may influence cancer development and progression. Alterations in its expression levels or mutations can disrupt normal translation processes potentially leading to oncogenesis. Research indicates a connection between eIF1A and tumor suppressor proteins highlighting its impact on cellular proliferation. Additionally eIF1A may relate to neurodegenerative disorders by affecting proteins such as eIF2 impacting neuronal translation control and protein synthesis regulation.

Product protocols

For this product, it's our understanding that no specific protocols are required. You can visit:

Target data

Component of the 43S pre-initiation complex (43S PIC), which binds to the mRNA cap-proximal region, scans mRNA 5'-untranslated region, and locates the initiation codon (PubMed : 9732867). This protein enhances formation of the cap-proximal complex (PubMed : 9732867). Together with EIF1, facilitates scanning, start codon recognition, promotion of the assembly of 48S complex at the initiation codon (43S PIC becomes 48S PIC after the start codon is reached), and dissociation of aberrant complexes (PubMed : 9732867). After start codon location, together with EIF5B orients the initiator methionine-tRNA in a conformation that allows 60S ribosomal subunit joining to form the 80S initiation complex (PubMed : 35732735). Is released after 80S initiation complex formation, just after GTP hydrolysis by EIF5B, and before release of EIF5B (PubMed : 35732735). Its globular part is located in the A site of the 40S ribosomal subunit (PubMed : 35732735). Its interaction with EIF5 during scanning contribute to the maintenance of EIF1 within the open 43S PIC (PubMed : 24319994). In contrast to yeast orthologs, does not bind EIF1 (PubMed : 24319994).
See full target information EIF1AX

Publications (1)

Recent publications for all applications. Explore the full list and refine your search

Cell death and differentiation : PubMed40770563

2025

ABCC10-mediated cGAMP efflux drives cancer cell radiotherapy resistance.

Applications

Unspecified application

Species

Unspecified reactive species

Zhengyang Zhang,Jie Gao,Xiang Liao,Zining Zhang,Xiongfeng Cao,Yi Gong,Wenlong Chen,Lirong Zhang,Hsiang-I Tsai,Dongqing Wang,Haitao Zhu
View all publications

Product promise

We are committed to supporting your work with high-quality reagents, and we're here for you every step of the way. In the unlikely event that one of our products does not perform as expected, you're protected by our Product Promise.
For full details, please see our Terms & Conditions

Please note: All products are 'FOR RESEARCH USE ONLY. NOT FOR USE IN DIAGNOSTIC OR THERAPEUTIC PROCEDURES'.

For licensing inquiries, please contact partnerships@abcam.com