JavaScript is disabled in your browser. Please enable JavaScript to view this website.
AB264253

Anti-eIF2A antibody

Be the first to review this product! Submit a review

|

(0 Publication)

Rabbit Polyclonal EIF2A antibody. Suitable for IP, IHC-P and reacts with Human samples. Immunogen corresponding to Synthetic Peptide within Human EIF2A aa 450-500.

View Alternative Names

CDA02, MSTP004, MSTP089, EIF2A, Eukaryotic translation initiation factor 2A, eIF-2A, 65 kDa eukaryotic translation initiation factor 2A

2 Images
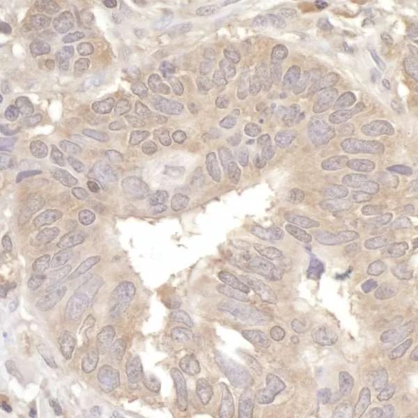
Immunohistochemistry (Formalin/PFA-fixed paraffin-embedded sections) - Anti-eIF2A antibody (AB264253)
  • IHC-P

Unknown

Immunohistochemistry (Formalin/PFA-fixed paraffin-embedded sections) - Anti-eIF2A antibody (AB264253)

Immunohistochemical analysis of FFPE human colon carcinoma tissue section labelling eIF2A with ab264233 at 1/500 dilution. DAB was used a counterstain.

Epitope retrieval with citrate buffer pH 6.0 is recommended for FFPE tissue sections.

Immunoprecipitation - Anti-eIF2A antibody (AB264253)
  • IP

Supplier Data

Immunoprecipitation - Anti-eIF2A antibody (AB264253)

eIF2A was immunoprecipitated from 1mg of HeLa whole cell lysates using eIF2A antibodies at 3μg/reaction. Western blot was performed on the immunprecipitates using ab264254 (lane 1), ab264253 (lane 2) and a control IgG (lane 3) at 1μg/ml.

Detected with chemilimuniscence with exposure time of 10 seconds.

All lanes:

Immunoprecipitation - Anti-eIF2A antibody (ab264253)

Predicted band size: 65 kDa

false

Key facts

Host species

Rabbit

Clonality

Polyclonal

Isotype

IgG

Carrier free

No

Reacts with

Human

Applications

IP, IHC-P

applications

Immunogen

Synthetic Peptide within Human EIF2A aa 450-500. The exact immunogen used to generate this antibody is proprietary information.

Q9BY44

Reactivity data

{ "title": "Reactivity Data", "filters": { "stats": ["", "Species", "Dilution Info", "Notes"], "tabs": { "all-applications": {"fullname" : "All Applications", "shortname": "All Applications"}, "IP" : {"fullname" : "Immunoprecipitation", "shortname":"IP"}, "IHCP" : {"fullname" : "Immunohistochemistry (Formalin/PFA-fixed paraffin-embedded sections)", "shortname":"IHC-P"} }, "product-promise": { "all": "all", "testedAndGuaranteed": "tested", "guaranteed": "expected", "predicted": "predicted", "notRecommended": "not-recommended" } }, "values": { "Human": { "IP-species-checked": "testedAndGuaranteed", "IP-species-dilution-info": "2-5 µg/mg of lysate", "IP-species-notes": "<p></p>", "IHCP-species-checked": "testedAndGuaranteed", "IHCP-species-dilution-info": "1/200 - 1/1000", "IHCP-species-notes": "<p>Epitope retrieval with citrate buffer pH 6.0 is recommended for FFPE tissue sections.</p>" } } }

Properties and storage information

Form
Liquid
Purification technique
Affinity purification Immunogen
Storage buffer
pH: 7 - 8 Preservative: 0.09% Sodium azide Constituents: Tris citrate/phosphate
Shipped at conditions
Blue Ice
Appropriate short-term storage duration
1-2 weeks
Appropriate short-term storage conditions
+4°C
Appropriate long-term storage conditions
+4°C
Aliquoting information
Upon delivery aliquot
Storage information
Avoid freeze / thaw cycle

Supplementary information

This supplementary information is collated from multiple sources and compiled automatically.

The eIF2A also referred to as eukaryotic translation initiation factor 2A is a protein involved in the initiation of mRNA translation. The eIF2A protein is distinct from eIF2α despite the similarity in their names. Its molecular weight is approximately 65 kDa. Expression of eIF2A occurs mainly in the cytoplasm of cells where it participates in the protein synthesis process. eIF2A functions as a mediator that targets the initiator methionylated-tRNA to the small ribosomal subunit in a manner independent from eIF2 complex.
Biological function summary

EIF2A impacts the translation mechanism by facilitating the binding of Met-tRNAi to the ribosome under particular conditions especially during stress responses where canonical eIF2 might be inhibited. It operates independently from the larger eIF2 complex which also includes eIF2β and eIF2γ subunits. This independent activity allows eIF2A to serve as a backup mechanism for translation initiation when the normal pathway is impaired.

Pathways

Translation regulation involves interaction with cellular stress pathways and the integrated stress response (ISR). eIF2A operates within pathways that respond to physiological stresses such as nutrient deprivation and oxidative stress which trigger alterations in protein synthesis rates. eIF2A is related to the eIF2 kinase which phosphorylates the α subunit of eIF2 leading to a general reduction in translation initiation under stress allowing selective translation of stress-response proteins.

Irregularities in eIF2A function link to neurodegenerative diseases such as Alzheimer's disease and metabolic disorders like diabetes. These conditions often involve disruptions in the stress response pathways where eIF2A participates. The protein participates with others like PERK a kinase that phosphorylates eIF2α under endoplasmic reticulum stress contributing to disease-related changes in protein synthesis. By modulating translation under stress eIF2A becomes significant in these pathological contexts.

Product protocols

For this product, it's our understanding that no specific protocols are required. You can visit:

Target data

Functions in the early steps of protein synthesis of a small number of specific mRNAs. Acts by directing the binding of methionyl-tRNAi to 40S ribosomal subunits. In contrast to the eIF-2 complex, it binds methionyl-tRNAi to 40S subunits in a codon-dependent manner, whereas the eIF-2 complex binds methionyl-tRNAi to 40S subunits in a GTP-dependent manner.
See full target information EIF2A

Product promise

We are committed to supporting your work with high-quality reagents, and we're here for you every step of the way. In the unlikely event that one of our products does not perform as expected, you're protected by our Product Promise.
For full details, please see our Terms & Conditions

Please note: All products are 'FOR RESEARCH USE ONLY. NOT FOR USE IN DIAGNOSTIC OR THERAPEUTIC PROCEDURES'.

For licensing inquiries, please contact partnerships@abcam.com