JavaScript is disabled in your browser. Please enable JavaScript to view this website.
AB171093

Anti-eIF2B3 antibody [1H3]

Be the first to review this product! Submit a review

|

(0 Publication)

Mouse Monoclonal eIF2B3 antibody. Suitable for IP, WB, IHC-P, ICC/IF and reacts with Human, Rat, African green monkey samples. Immunogen corresponding to Recombinant Full Length Protein corresponding to Human EIF2B3.

View Alternative Names

Translation initiation factor eIF2B subunit gamma, eIF2B GDP-GTP exchange factor subunit gamma, EIF2B3

6 Images
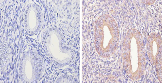
Immunohistochemistry (Formalin/PFA-fixed paraffin-embedded sections) - Anti-eIF2B3 antibody [1H3] (AB171093)
  • IHC-P

Supplier Data

Immunohistochemistry (Formalin/PFA-fixed paraffin-embedded sections) - Anti-eIF2B3 antibody [1H3] (AB171093)

ab171093 staining eIF2B3 in the cytoplasm of Human uterus tissue (right) compared with a negative control in the absence of primary antibody (left) by Immunohistochemistry (Formalin/PFA-fixed paraffin-embedded sections). To expose target proteins, antigen retrieval method was performed using 10mM sodium citrate (pH 6.0), microwaved for 8-15 min. Tissues were blocked in 3% H2O2-methanol for 15 min at room temperature, washed with ddH2O and PBS. Tissue sections were incubated with the primary antibody (1 : 100 in 3% BSA-PBS) overnight at 4°C. A HRP-conjugated anti-mouse was used as the secondary antibody, followed by colorimetric detection using a DAB kit. Tissues were counterstained with hematoxylin and dehydrated with ethanol and xylene to prep for mounting.

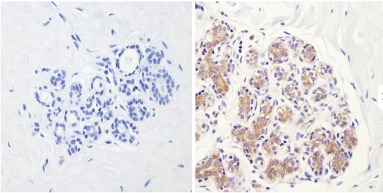
Immunohistochemistry (Formalin/PFA-fixed paraffin-embedded sections) - Anti-eIF2B3 antibody [1H3] (AB171093)
  • IHC-P

Supplier Data

Immunohistochemistry (Formalin/PFA-fixed paraffin-embedded sections) - Anti-eIF2B3 antibody [1H3] (AB171093)

ab171093 staining eIF2B3 in the cytoplasm of Human breast tissue (right) compared with a negative control in the absence of primary antibody (left) by Immunohistochemistry (Formalin/PFA-fixed paraffin-embedded sections). To expose target proteins, antigen retrieval method was performed using 10mM sodium citrate (pH 6.0), microwaved for 8-15 min. Tissues were blocked in 3% H2O2-methanol for 15 min at room temperature, washed with ddH2O and PBS. Tissue sections were incubated with the primary antibody (1 : 200 in 3% BSA-PBS) overnight at 4°C. A HRP-conjugated anti-mouse was used as the secondary antibody, followed by colorimetric detection using a DAB kit. Tissues were counterstained with hematoxylin and dehydrated with ethanol and xylene to prep for mounting.

Immunocytochemistry/ Immunofluorescence - Anti-eIF2B3 antibody [1H3] (AB171093)
  • ICC/IF

Supplier Data

Immunocytochemistry/ Immunofluorescence - Anti-eIF2B3 antibody [1H3] (AB171093)

Immunofluorescent analysis of eIF2B3 (green) showing staining in the cytoplasm of COS7 cells (right) compared to a negative control without primary antibody (left). Formalin-fixed cells were permeabilized with 0.1% Triton X-100 in TBS for 5-10 minutes and blocked with 3% BSA-PBS for 30 minutes at room temperature. Cells were probed with an eIF2B3 monoclonal antibody (ab171093) in 3% BSA-PBS at a dilution of 1 : 50 and incubated overnight at 4°C in a humidified chamber. Cells were washed with PBST and incubated with a DyLight-conjugated secondary antibody in PBS at room temperature in the dark. F-actin (red) was stained with a fluorescent red phalloidin and nuclei (blue) were stained with Hoechst or DAPI. Images were taken at a magnification of 60x.

Immunocytochemistry/ Immunofluorescence - Anti-eIF2B3 antibody [1H3] (AB171093)
  • ICC/IF

Supplier Data

Immunocytochemistry/ Immunofluorescence - Anti-eIF2B3 antibody [1H3] (AB171093)

Immunofluorescent analysis of eIF2B3 (green) showing staining in the cytoplasm of Hela cells (right) compared to a negative control without primary antibody (left). Formalin-fixed cells were permeabilized with 0.1% Triton X-100 in TBS for 5-10 minutes and blocked with 3% BSA-PBS for 30 minutes at room temperature. Cells were probed with an eIF2B3 monoclonal antibody (ab171093) in 3% BSA-PBS at a dilution of 1 : 50 and incubated overnight at 4°C in a humidified chamber. Cells were washed with PBST and incubated with a DyLight-conjugated secondary antibody in PBS at room temperature in the dark. F-actin (red) was stained with a fluorescent red phalloidin and nuclei (blue) were stained with Hoechst or DAPI. Images were taken at a magnification of 60x.

Immunoprecipitation - Anti-eIF2B3 antibody [1H3] (AB171093)
  • IP

Supplier Data

Immunoprecipitation - Anti-eIF2B3 antibody [1H3] (AB171093)

Immunoprecipitation of U2OS cells labeling eIF2B3 with ab171093 at 3μg per 500μg lysate.

All lanes:

Immunoprecipitation - Anti-eIF2B3 antibody [1H3] (ab171093)

Predicted band size: 50 kDa

false

Western blot - Anti-eIF2B3 antibody [1H3] (AB171093)
  • WB

Supplier Data

Western blot - Anti-eIF2B3 antibody [1H3] (AB171093)

All lanes:

Western blot - Anti-eIF2B3 antibody [1H3] (ab171093) at 1/1000 dilution

Lane 1:

MCF7 whole cell lysate at 80 µg

Lane 2:

HeLa whole cell lysate at 80 µg

Lane 3:

K562 whole cell lysate at 80 µg

Lane 4:

Jurkat whole cell lysate at 80 µg

Lane 5:

U2OS whole cell lysate at 80 µg

Lane 6:

HepG2 whole cell lysate at 80 µg

Lane 7:

C2C12 whole cell lysate at 80 µg

Lane 8:

NIH3T3 whole cell lysate at 80 µg

Lane 9:

NRK whole cell lysate at 80 µg

Secondary

All lanes:

goat anti-mouse-HRP at 1/20000 dilution

Predicted band size: 50 kDa

false

Key facts

Host species

Mouse

Clonality

Monoclonal

Clone number

1H3

Isotype

IgG1

Carrier free

No

Reacts with

Rat, Human, African green monkey

Applications

WB, ICC/IF, IP, IHC-P

applications

Immunogen

Recombinant Full Length Protein corresponding to Human EIF2B3.

Q9NR50

Reactivity data

{ "title": "Reactivity Data", "filters": { "stats": ["", "Species", "Dilution Info", "Notes"], "tabs": { "all-applications": {"fullname" : "All Applications", "shortname": "All Applications"}, "IP" : {"fullname" : "Immunoprecipitation", "shortname":"IP"}, "WB" : {"fullname" : "Western blot", "shortname":"WB"}, "IHCP" : {"fullname" : "Immunohistochemistry (Formalin/PFA-fixed paraffin-embedded sections)", "shortname":"IHC-P"}, "ICCIF" : {"fullname" : "Immunocytochemistry/ Immunofluorescence", "shortname":"ICC/IF"} }, "product-promise": { "all": "all", "testedAndGuaranteed": "tested", "guaranteed": "expected", "predicted": "predicted", "notRecommended": "not-recommended" } }, "values": { "Human": { "IP-species-checked": "testedAndGuaranteed", "IP-species-dilution-info": "", "IP-species-notes": "<p>3μg per 500μg lysate</p>", "WB-species-checked": "testedAndGuaranteed", "WB-species-dilution-info": "1/1000", "WB-species-notes": "<p></p>", "IHCP-species-checked": "testedAndGuaranteed", "IHCP-species-dilution-info": "1/100 - 1/200", "IHCP-species-notes": "<p></p>", "ICCIF-species-checked": "testedAndGuaranteed", "ICCIF-species-dilution-info": "1/10 - 1/100", "ICCIF-species-notes": "<p></p>" }, "Rat": { "IP-species-checked": "guaranteed", "IP-species-dilution-info": "", "IP-species-notes": "", "WB-species-checked": "testedAndGuaranteed", "WB-species-dilution-info": "1/1000", "WB-species-notes": "<p></p>", "IHCP-species-checked": "guaranteed", "IHCP-species-dilution-info": "", "IHCP-species-notes": "", "ICCIF-species-checked": "guaranteed", "ICCIF-species-dilution-info": "", "ICCIF-species-notes": "" }, "African green monkey": { "IP-species-checked": "guaranteed", "IP-species-dilution-info": "", "IP-species-notes": "", "WB-species-checked": "guaranteed", "WB-species-dilution-info": "", "WB-species-notes": "", "IHCP-species-checked": "guaranteed", "IHCP-species-dilution-info": "", "IHCP-species-notes": "", "ICCIF-species-checked": "testedAndGuaranteed", "ICCIF-species-dilution-info": "1/10 - 1/100", "ICCIF-species-notes": "<p></p>" } } }

Properties and storage information

Form
Liquid
Purification technique
Affinity purification Protein A
Storage buffer
Preservative: 0.05% Sodium azide Constituents: 69% PBS, 30% Glycerol (glycerin, glycerine), 0.1% BSA
Shipped at conditions
Blue Ice
Appropriate short-term storage duration
1-2 weeks
Appropriate short-term storage conditions
+4°C
Appropriate long-term storage conditions
-20°C
Aliquoting information
Upon delivery aliquot
Storage information
Avoid freeze / thaw cycle

Supplementary information

This supplementary information is collated from multiple sources and compiled automatically.

EIF2B3 also known as eukaryotic translation initiation factor 2B subunit gamma plays an important role in the regulation of protein synthesis. It is part of the eIF2B complex a guanine nucleotide exchange factor for eIF2 which is critical in the initiation phase of mRNA translation. The eIF2B3 subunit has a molecular mass of approximately 58 kDa. This protein is ubiquitously expressed in various tissues reflecting its essential role in maintaining cellular functions.
Biological function summary

The eIF2B complex that includes eIF2B3 operates as a critical regulator in the synthesis of proteins by mediating the exchange of GDP for GTP on eIF2. This regulation affects the initiation of mRNA translation during cellular stress responses. The eIF2B complex consisting of five subunits including eIF2B3 facilitates the recycling of eIF2 essential for continued protein translation under normal conditions. This subunit's interactions within the complex are pivotal for modulating translational control mechanisms in response to environmental signals.

Pathways

The activity of eIF2B3 appears central to the integrated stress response (ISR) pathway influencing the translational control under diverse stress conditions like nutrient deprivation or viral infections. It connects primarily with eIF2 which when phosphorylated binds strongly to eIF2B inhibiting the guanine nucleotide exchange activity essential for protein synthesis progression. The ISR pathway's regulation of protein synthesis is key for the cellular adaptation during metabolic stress highlighting eIF2B3's significance in maintaining homeostasis.

Altered eIF2B3 function is associated with Vanishing White Matter Disease (VWMD) a leukodystrophy affecting the central nervous system. Mutations in eIF2B3 and other subunits of the eIF2B complex can impair the guanine nucleotide exchange activity leading to reduced replenishment of functional eIF2 and compromised stress response adaptation. The consequential protein synthesis defects contribute to the pathogenesis of VWMD linking eIF2B3 malfunction to this disorder's progression.

Product protocols

For this product, it's our understanding that no specific protocols are required. You can visit:

Target data

Acts as a component of the translation initiation factor 2B (eIF2B) complex, which catalyzes the exchange of GDP for GTP on the eukaryotic initiation factor 2 (eIF2) complex gamma subunit (PubMed : 25858979, PubMed : 27023709, PubMed : 31048492). Its guanine nucleotide exchange factor activity is repressed when bound to eIF2 complex phosphorylated on the alpha subunit, thereby limiting the amount of methionyl-initiator methionine tRNA available to the ribosome and consequently global translation is repressed (PubMed : 25858979, PubMed : 31048492).
See full target information EIF2B3

Product promise

We are committed to supporting your work with high-quality reagents, and we're here for you every step of the way. In the unlikely event that one of our products does not perform as expected, you're protected by our Product Promise.
For full details, please see our Terms & Conditions

Please note: All products are 'FOR RESEARCH USE ONLY. NOT FOR USE IN DIAGNOSTIC OR THERAPEUTIC PROCEDURES'.

For licensing inquiries, please contact partnerships@abcam.com