JavaScript is disabled in your browser. Please enable JavaScript to view this website.
AB241573

Anti-eIF2B4 antibody

Be the first to review this product! Submit a review

|

(1 Publication)

Rabbit Polyclonal eIF2B4 antibody. Suitable for IHC-P, IP, WB and reacts with Human samples. Cited in 1 publication. Immunogen corresponding to Synthetic Peptide within Human EIF2B4 aa 50-100.

View Alternative Names

EIF2BD, EIF2B4, Translation initiation factor eIF2B subunit delta, eIF2B GDP-GTP exchange factor subunit delta

4 Images
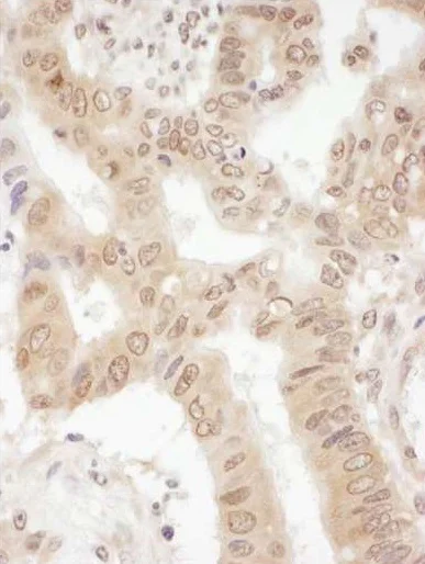
Immunohistochemistry (Formalin/PFA-fixed paraffin-embedded sections) - Anti-eIF2B4 antibody (AB241573)
  • IHC-P

Supplier Data

Immunohistochemistry (Formalin/PFA-fixed paraffin-embedded sections) - Anti-eIF2B4 antibody (AB241573)

Formalin-fixed, paraffin-embedded human colon carcinoma tissue stained for eIF2B4 using ab241573 at 1/200 dilution in immunohistochemical analysis.

Detection : DAB staining.

Immunohistochemistry (Formalin/PFA-fixed paraffin-embedded sections) - Anti-eIF2B4 antibody (AB241573)
  • IHC-P

Supplier Data

Immunohistochemistry (Formalin/PFA-fixed paraffin-embedded sections) - Anti-eIF2B4 antibody (AB241573)

Formalin-fixed, paraffin-embedded human breast carcinoma tissue stained for eIF2B4 using ab241573 at 1/200 dilution in immunohistochemical analysis.

Detection : DAB staining.

Immunoprecipitation - Anti-eIF2B4 antibody (AB241573)
  • IP

Supplier Data

Immunoprecipitation - Anti-eIF2B4 antibody (AB241573)

eIF2B4 was immunoprecipitated from HEK-293T (human epithelial cell line from embryonic kidney transformed with large T antigen) whole cell lysate (1 mg for IP, 20% of IP loaded) with ab241573 at 6 μg/mg lysate. Western blot was performed from the immunoprecipitate using ab241573 at 0.4 μg/ml.

Lane 1 : ab241573 IP in HEK-293T whole cell lysate.

Lane 2 : Control IgG IP in HEK-293T whole cell lysate.

Detection : Chemiluminescence with exposure time of 10 seconds.

All lanes:

Immunoprecipitation - Anti-eIF2B4 antibody (ab241573)

Predicted band size: 57 kDa

false

Western blot - Anti-eIF2B4 antibody (AB241573)
  • WB

Supplier Data

Western blot - Anti-eIF2B4 antibody (AB241573)

All lanes:

Western blot - Anti-eIF2B4 antibody (ab241573) at 0.04 µg/mL

Lane 1:

HeLa (human epithelial cell line from cervix adenocarcinoma) whole cell lysate at 50 µg

Lane 2:

HeLa whole cell lysate at 15 µg

Lane 3:

HeLa whole cell lysate at 5 µg

Lane 4:

HEK-293T (human epithelial cell line from embryonic kidney transformed with large T antigen) whole cell lysate at 50 µg

Predicted band size: 57 kDa

true

Exposure time: 30s

Key facts

Host species

Rabbit

Clonality

Polyclonal

Isotype

IgG

Carrier free

No

Reacts with

Human

Applications

WB, IP, IHC-P

applications

Immunogen

Synthetic Peptide within Human EIF2B4 aa 50-100. The exact immunogen used to generate this antibody is proprietary information.

Q9UI10

Reactivity data

{ "title": "Reactivity Data", "filters": { "stats": ["", "Species", "Dilution Info", "Notes"], "tabs": { "all-applications": {"fullname" : "All Applications", "shortname": "All Applications"}, "IHCP" : {"fullname" : "Immunohistochemistry (Formalin/PFA-fixed paraffin-embedded sections)", "shortname":"IHC-P"}, "IP" : {"fullname" : "Immunoprecipitation", "shortname":"IP"}, "WB" : {"fullname" : "Western blot", "shortname":"WB"} }, "product-promise": { "all": "all", "testedAndGuaranteed": "tested", "guaranteed": "expected", "predicted": "predicted", "notRecommended": "not-recommended" } }, "values": { "Human": { "IHCP-species-checked": "testedAndGuaranteed", "IHCP-species-dilution-info": "1/200 - 1/1000", "IHCP-species-notes": "<p></p> Perform heat-mediated antigen retrieval with citrate buffer pH 6 before commencing with IHC staining protocol.", "IP-species-checked": "testedAndGuaranteed", "IP-species-dilution-info": "2-5 µg/mg of lysate", "IP-species-notes": "<p></p>", "WB-species-checked": "testedAndGuaranteed", "WB-species-dilution-info": "1/2000 - 1/10000", "WB-species-notes": "<p></p>" } } }

Properties and storage information

Form
Liquid
Purification technique
Affinity purification Immunogen
Purification notes
ab241573 was affinity purified using an epitope specific to eIF2B delta/EIF2B4 immobilized on solid support.
Storage buffer
pH: 6.8 - 7.4 Preservative: 0.09% Sodium azide Constituents: Tris buffered saline, 0.1% BSA
Shipped at conditions
Blue Ice
Appropriate short-term storage duration
1-2 weeks
Appropriate short-term storage conditions
+4°C
Appropriate long-term storage conditions
-20°C
Aliquoting information
Upon delivery aliquot
Storage information
Avoid freeze / thaw cycle

Supplementary information

This supplementary information is collated from multiple sources and compiled automatically.

EIF2B4 also known as translation initiation factor eIF-2B subunit delta is an important component of the eIF2B complex. It plays a critical role in the regulation of protein synthesis by facilitating the exchange of GDP for GTP on eIF2. eIF2B4 has a molecular mass of approximately 67 kDa. This protein is ubiquitously expressed in various tissues indicating its importance in general cellular function.
Biological function summary

EIF2B4 functions within the eIF2B complex which is essential for the initiation of translation in eukaryotic cells. Its role in this complex involves the regulation of the eIF2 cycle which is important for controlling the rate of global protein synthesis. By mediating guanine nucleotide exchange on eIF2 eIF2B4 helps manage cellular responses to stress including the integrated stress response. This complex is vital in maintaining cellular homeostasis especially under conditions of amino acid deprivation or other stress factors.

Pathways

EIF2B4 plays a pivotal role in the integrated stress response (ISR) and is a part of the eukaryotic initiation factor 2 (eIF2) signaling pathway. These pathways adjust protein synthesis rates in response to varying environmental conditions and stress signals. eIF2B4 interacts with eIF2 and together they regulate translation by modulating the availability of eIF2-GTP. This interaction is essential for the precise control of protein synthesis during stress conditions which decides cell survival and adaptation.

EIF2B4 has a significant connection to Vanishing White Matter Disease (VWMD) and neurological disorders. Mutations in eIF2B4 can disrupt normal protein synthesis which leads to the onset of VWMD a progressive leukoencephalopathy. This pathology links eIF2B4 to disorders affecting the central nervous system. Additionally the protein relates to eIF2B5 within the context of these diseases since eIF2B5 mutations also contribute to similar pathologies suggesting their interaction is critical to neurological health.

Product protocols

For this product, it's our understanding that no specific protocols are required. You can visit:

Target data

Acts as a component of the translation initiation factor 2B (eIF2B) complex, which catalyzes the exchange of GDP for GTP on eukaryotic initiation factor 2 (eIF2) gamma subunit (PubMed : 25858979, PubMed : 27023709, PubMed : 31048492). Its guanine nucleotide exchange factor activity is repressed when bound to eIF2 complex phosphorylated on the alpha subunit, thereby limiting the amount of methionyl-initiator methionine tRNA available to the ribosome and consequently global translation is repressed (PubMed : 25858979, PubMed : 31048492).
See full target information EIF2B4

Publications (1)

Recent publications for all applications. Explore the full list and refine your search

Journal of biochemical and molecular toxicology 38:e23693 PubMed38622980

2024

IGSF10 inhibits the metastasis of lung adenocarcinoma via the Spi-B/Integrin-β1 signaling pathway.

Applications

Unspecified application

Species

Unspecified reactive species

Bo Ling,Guangbin Ye,Chunyan Qin,Xianjiu Liao,Ruirui Yang,Lili Su,Guangzi Qi
View all publications

Product promise

We are committed to supporting your work with high-quality reagents, and we're here for you every step of the way. In the unlikely event that one of our products does not perform as expected, you're protected by our Product Promise.
For full details, please see our Terms & Conditions

Please note: All products are 'FOR RESEARCH USE ONLY. NOT FOR USE IN DIAGNOSTIC OR THERAPEUTIC PROCEDURES'.

For licensing inquiries, please contact partnerships@abcam.com