JavaScript is disabled in your browser. Please enable JavaScript to view this website.
AB4775

Anti-EIF2B5 (phospho S539) antibody

Be the first to review this product! Submit a review

|

(8 Publications)

Rabbit Polyclonal EIF2B5 phospho S539 antibody. Suitable for WB and reacts with Recombinant full length protein - Rat, Mouse, Rat samples. Cited in 8 publications. Immunogen corresponding to Synthetic Peptide within Rat Eif2b5 phospho S539.

View Alternative Names

Eif2be, Eif2b5, Translation initiation factor eIF2B subunit epsilon, eIF2B GDP-GTP exchange factor subunit epsilon

2 Images
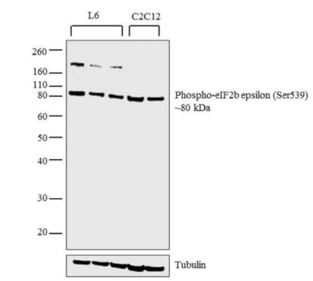
Western blot - Anti-EIF2B5 (phospho S539) antibody (AB4775)
  • WB

Supplier Data

Western blot - Anti-EIF2B5 (phospho S539) antibody (AB4775)

A 80 kDa band corresponding to Phospho-eIF2b epsilon was observed across the cell lines tested and reduced upon treatment and in differentiated cell line.

All lanes:

Western blot - Anti-EIF2B5 (phospho S539) antibody (ab4775) at 1/2000 dilution

Lane 1:

L6 whole cell extract at 30 µg

Lane 2:

L6 differentiated to myotubes at 30 µg

Lane 3:

L6 treated with Insulin (10nM for 10 min) at 30 µg

Lane 4:

C2C12 at 30 µg

Lane 5:

C2C12 treated with Insulin (10nM for 10 min) at 30 µg

Secondary

All lanes:

Goat anti-Rabbit IgG (H+L) Secondary Antibody, HRP conjugate at 1/4000 dilution

Predicted band size: 80 kDa

false

Western blot - Anti-EIF2B5 (phospho S539) antibody (AB4775)
  • WB

Unknown

Western blot - Anti-EIF2B5 (phospho S539) antibody (AB4775)

Peptide Competition : Recombinant eIF-2B episilon treated with lambda phosphatase (1) or treated with GSK-3 beta (lanes 2-5) and added to background extracts were resolved by SDS-PAGE on a 10% Tris-glycine gel and transferred to PVDF. Membranes were blocked with a 5% BSA-TBST buffer overnight at 4oC, then were incubated with 0.50 μg/mL ab4775 antibody, following prior incubation with : no peptide (1, 2), the nonphosphopeptide corresponding to the immunogen (3), a generic phophoserine containing peptide (4), or, the phosphopeptide immunogen (5). After washing, membranes were incubated with goat F(ab’)2 anti-rabbit IgG alkaline phosphatase and signals were detected using the Tropix WesternStar method. The data show that only the peptide corresponding to ab4775 blocks the antibody signal, thereby demonstrating the specificity of the antibody. The data also show the up-regulation of the ab4775 phospho signal upon stimulation with GSK-3 beta. Pep

All lanes:

Western blot - Anti-EIF2B5 (phospho S539) antibody (ab4775)

Predicted band size: 80 kDa

false

Key facts

Host species

Rabbit

Clonality

Polyclonal

Isotype

IgG

Carrier free

No

Reacts with

Mouse, Rat

Applications

WB

applications

Immunogen

Synthetic Peptide within Rat Eif2b5 phospho S539. The exact immunogen used to generate this antibody is proprietary information.

Q64350

Specificity

This ab reacts with both human and rat (see, for example, PMID 21165642, 20484009 and 21832246) but it is not very clear if this recognition happens only when S535 (rat) and S544 (human) are phosphorylated or when S535 (rat)/S540 (human) are phosphorylated.

Reactivity data

{ "title": "Reactivity Data", "filters": { "stats": ["", "Species", "Dilution Info", "Notes"], "tabs": { "all-applications": {"fullname" : "All Applications", "shortname": "All Applications"}, "WB" : {"fullname" : "Western blot", "shortname":"WB"} }, "product-promise": { "all": "all", "testedAndGuaranteed": "tested", "guaranteed": "expected", "predicted": "predicted", "notRecommended": "not-recommended" } }, "values": { "Mouse": { "WB-species-checked": "testedAndGuaranteed", "WB-species-dilution-info": "1/1000 - 1/2000", "WB-species-notes": "<p></p>" }, "Rat": { "WB-species-checked": "testedAndGuaranteed", "WB-species-dilution-info": "1/1000 - 1/2000", "WB-species-notes": "<p></p>" }, "Recombinant full length protein - Rat": { "WB-species-checked": "testedAndGuaranteed", "WB-species-dilution-info": "1/1000 - 1/2000", "WB-species-notes": "<p></p>" } } }

Properties and storage information

Form
Liquid
Purification technique
Affinity purification Immunogen
Purification notes
Purified from rabbit serum by sequential epitope-specific chromatography. The antibody has been negatively pre-adsorbed using (i) a non-phosphopeptide corresponding to the site of phosphorylation to remove antibody that is reactive with non-phosphorylated eukaryotic initiation factor 2B epsilon (eIF-2B epsilon), and (ii) a generic serine phosphorylated peptide to remove antibody that is reactive with phospho-serine, irrespective of the sequence. The final product is generated by affinity chromatography using an eIF-2B epsilon-derived peptide that is phosphorylated at serine 539.
Storage buffer
pH: 7.3 Preservative: 0.05% Sodium azide Constituents: PBS, 0.1% BSA
Shipped at conditions
Blue Ice
Appropriate short-term storage conditions
+4°C
Appropriate long-term storage conditions
-20°C
Aliquoting information
Upon delivery aliquot
Storage information
Avoid freeze / thaw cycle

Supplementary information

This supplementary information is collated from multiple sources and compiled automatically.

EIF2B5 also known as eukaryotic translation initiation factor 2B subunit epsilon plays an important role in the regulation of protein synthesis. It is a catalytic subunit of the larger eIF2B complex which is responsible for guanine nucleotide exchange on eIF2. This protein has a molecular mass of approximately 85 kDa. EIF2B5 is ubiquitously expressed indicating its importance in various tissues. Its role in translation initiation is fundamental in controlling cellular responses to stress and nutrient signaling.
Biological function summary

Protein synthesis control by eIF2B5 impacts cell growth and adaptation. As an important component of the eIF2B complex which consists of five different subunits EIF2B5 directly interacts with eIF2 to facilitate GDP-GTP exchange. This process is essential for recycling eIF2 for successive rounds of translation initiation. Proper function of the eIF2B complex ensures cellular capacity to manage stress conditions such as amino acid deprivation or viral infection by modulating protein synthesis rates to conserve resources and adapt.

Pathways

EIF2B5 plays a significant role in the integrated stress response (ISR) pathway. Through its involvement in ISR it links with proteins like eIF2 and integrates signaling from different stressors. This pathway helps in adjusting the translation of specific mRNAs by phosphorylating eIF2 making EIF2B5 essential for the regulation of global and gene-specific translation. Additionally dysfunctions in its regulation may impact the mTOR pathway an important regulator of cell growth in response to nutrient availability although EIF2B5 mainly functions in ISR.

Mutations in EIF2B5 are associated with leukoencephalopathy with vanishing white matter (VWM) a rare neurological disorder. This condition links EIF2B5 dysfunction to impaired oligodendrocyte maturation and myelination in the brain. Additionally altered functioning of EIF2B5 may relate to other stress-related disorders as its regulatory role in translation impacts cell survival under stress conditions. Connections between eIF2B5 and proteins like eIF2 underline its involvement in proper neuronal function and response to metabolic changes important to understanding disorders like VWM.

Product protocols

For this product, it's our understanding that no specific protocols are required. You can visit:

Target data

Acts as a component of the translation initiation factor 2B (eIF2B) complex, which catalyzes the exchange of GDP for GTP on eukaryotic initiation factor 2 (eIF2) gamma subunit. Its guanine nucleotide exchange factor activity is repressed when bound to eIF2 complex phosphorylated on the alpha subunit, thereby limiting the amount of methionyl-initiator methionine tRNA available to the ribosome and consequently global translation is repressed.
See full target information Eif2b5 phospho S539

Publications (8)

Recent publications for all applications. Explore the full list and refine your search

Molecular therapy : the journal of the American So 26:1783-1796 PubMed29804932

2018

Therapeutic Benefit of Autophagy Modulation in Pompe Disease.

Applications

Unspecified application

Species

Unspecified reactive species

Jeong-A Lim,Baodong Sun,Rosa Puertollano,Nina Raben

Journal of dairy science 100:6139-6150 PubMed28601462

2017

Addition of glycerol to lactating cow diets stimulates dry matter intake and milk protein yield to a greater extent than addition of corn grain.

Applications

Unspecified application

Species

Unspecified reactive species

D L Bajramaj,R V Curtis,J J M Kim,M Corredig,J Doelman,T C Wright,V R Osborne,J P Cant

Journal of dairy science 100:5909-5921 PubMed28478014

2017

Exogenous essential amino acids stimulate an adaptive unfolded protein response in the mammary glands of lactating cows.

Applications

Unspecified application

Species

Unspecified reactive species

K Nichols,J Doelman,J J M Kim,M Carson,J A Metcalf,J P Cant

The Journal of biological chemistry 291:27252-27264 PubMed27836976

2016

Stress Granule Induction after Brain Ischemia Is Independent of Eukaryotic Translation Initiation Factor (eIF) 2α Phosphorylation and Is Correlated with a Decrease in eIF4B and eIF4E Proteins.

Applications

Unspecified application

Species

Unspecified reactive species

María I Ayuso,Emma Martínez-Alonso,Ignacio Regidor,Alberto Alcázar

Journal of dairy science 98:7846-55 PubMed26342977

2015

Branched-chain amino acid and lysine deficiencies exert different effects on mammary translational regulation.

Applications

Unspecified application

Species

Unspecified reactive species

John Doelman,Julie J M Kim,Michelle Carson,John A Metcalf,John P Cant

Journal of dairy science 98:4499-508 PubMed25912861

2015

Essential amino acid infusions stimulate mammary expression of eukaryotic initiation factor 2Bε but milk protein yield is not increased during an imbalance.

Applications

Unspecified application

Species

Unspecified reactive species

J Doelman,R V Curtis,M Carson,J J M Kim,J A Metcalf,J P Cant

eLife 2:e00498 PubMed23741617

2013

Pharmacological brake-release of mRNA translation enhances cognitive memory.

Applications

WB

Species

Human

Carmela Sidrauski,Diego Acosta-Alvear,Arkady Khoutorsky,Punitha Vedantham,Brian R Hearn,Han Li,Karine Gamache,Ciara M Gallagher,Kenny K-H Ang,Chris Wilson,Voytek Okreglak,Avi Ashkenazi,Byron Hann,Karim Nader,Michelle R Arkin,Adam R Renslo,Nahum Sonenberg,Peter Walter

The American journal of pathology 173:451-62 PubMed18583310

2008

Evidence of placental translation inhibition and endoplasmic reticulum stress in the etiology of human intrauterine growth restriction.

Applications

WB

Species

Human

Hong-wa Yung,Stefania Calabrese,Debby Hynx,Brian A Hemmings,Irene Cetin,D Stephen Charnock-Jones,Graham J Burton
View all publications

Product promise

We are committed to supporting your work with high-quality reagents, and we're here for you every step of the way. In the unlikely event that one of our products does not perform as expected, you're protected by our Product Promise.
For full details, please see our Terms & Conditions

Please note: All products are 'FOR RESEARCH USE ONLY. NOT FOR USE IN DIAGNOSTIC OR THERAPEUTIC PROCEDURES'.

For licensing inquiries, please contact partnerships@abcam.com