JavaScript is disabled in your browser. Please enable JavaScript to view this website.
AB242148

Anti-EIF2S1 antibody [EPR23098-50]

  • BOND RX™ Validated
  • 20ul selling size
  • RabMAb
  • Recombinant
  • What is this?

Be the first to review this product! Submit a review

|

(5 Publications)

Rabbit Recombinant Monoclonal EIF2S1 antibody. Suitable for IHC-P, IP, WB and reacts with Mouse, Rat, Human samples. Cited in 5 publications.

View Alternative Names

EIF2A, EIF2S1, Eukaryotic translation initiation factor 2 subunit 1, Eukaryotic translation initiation factor 2 subunit alpha, eIF-2-alpha, eIF-2A, eIF-2alpha, eIF2-alpha

6 Images
Immunohistochemistry (Formalin/PFA-fixed paraffin-embedded sections) - Anti-EIF2S1 antibody [EPR23098-50] (AB242148)
  • IHC-P

Unknown

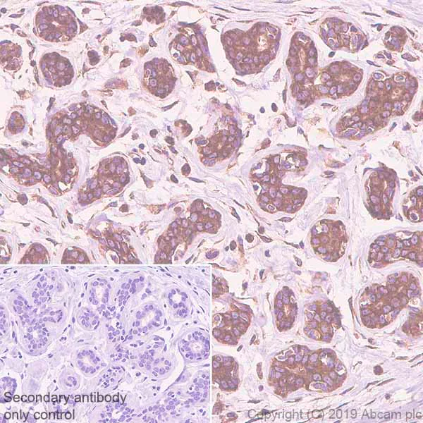
Immunohistochemistry (Formalin/PFA-fixed paraffin-embedded sections) - Anti-EIF2S1 antibody [EPR23098-50] (AB242148)

Immunohistochemical analysis of paraffin-embedded Human breast tissue labeling EIF2S1 with ab242148 at 1 : 4000 dilution (0.14 ug/ml) followed by a ready to use Rabbit specific IHC polymer detection kit HRP/DAB (ab209101). Positive staining on human breast. The section was incubated with ab242148 for 15 mins at room temperature. The immunostaining was performed on a Leica Biosystems BOND® RX instrument. Counterstained with Hematoxylin.

Secondary antibody only control : Secondary antibody is a ready to use Rabbit specific IHC polymer detection kit HRP/DAB (ab209101).

Heat mediated antigen retrieval with citrate buffer (pH 6.0, epitope retrieval solution 1) for 20mins

Immunoprecipitation - Anti-EIF2S1 antibody [EPR23098-50] (AB242148)
  • IP

Unknown

Immunoprecipitation - Anti-EIF2S1 antibody [EPR23098-50] (AB242148)

EIF2S1 was immunoprecipitated from 0.35 mg MCF7 (human breast adenocarcinoma epithelial cell) whole cell lysate 10ug with ab242148 at 1/30 dilution (2ug in 0.35mg lysates). Western blot was performed on the immunoprecipitate using ab242148 at 1/1000 dilution. VeriBlot for IP Detection Reagent (HRP) (ab131366) was used at 1/5000 dilution.

Lane 1 : MCF7 (human breast adenocarcinoma epithelial cell) whole cell lysate 10ug

Lane 2 : ab242148 IP in MCF7 whole cell lysate

Lane 3 : Rabbit monoclonal IgG (ab172730) instead of ab242148 in MCF7 whole cell lysate

Blocking and dilution buffer and concentration : 5% NFDM/TBST.

Exposure time : 50 seconds

This blot was developed using a higher sensitivity ECL substrate.

All lanes:

Immunoprecipitation - Anti-EIF2S1 antibody [EPR23098-50] (ab242148)

Predicted band size: 112 kDa,36 kDa

false

Immunohistochemistry (Formalin/PFA-fixed paraffin-embedded sections) - Anti-EIF2S1 antibody [EPR23098-50] (AB242148)
  • IHC-P

Unknown

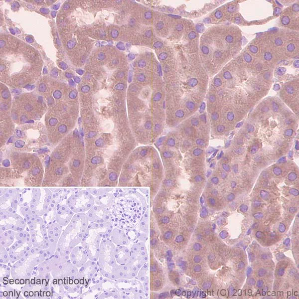
Immunohistochemistry (Formalin/PFA-fixed paraffin-embedded sections) - Anti-EIF2S1 antibody [EPR23098-50] (AB242148)

Immunohistochemical analysis of paraffin-embedded Mouse kidney tissue labeling EIF2S1 with ab242148 at 1 : 4000 dilution (0.14 ug/ml) followed by a ready to use Rabbit specific IHC polymer detection kit HRP/DAB (ab209101). Cytoplasmic staining mouse kidney. The section was incubated with ab242148 for 15 mins at room temperature. The immunostaining was performed on a Leica Biosystems BOND® RX instrument. Counterstained with Hematoxylin.

Secondary antibody only control : Secondary antibody is a ready to use Rabbit specific IHC polymer detection kit HRP/DAB (ab209101).

Heat mediated antigen retrieval with citrate buffer (pH 6.0, epitope retrieval solution 1) for 20mins

Immunohistochemistry (Formalin/PFA-fixed paraffin-embedded sections) - Anti-EIF2S1 antibody [EPR23098-50] (AB242148)
  • IHC-P

Unknown

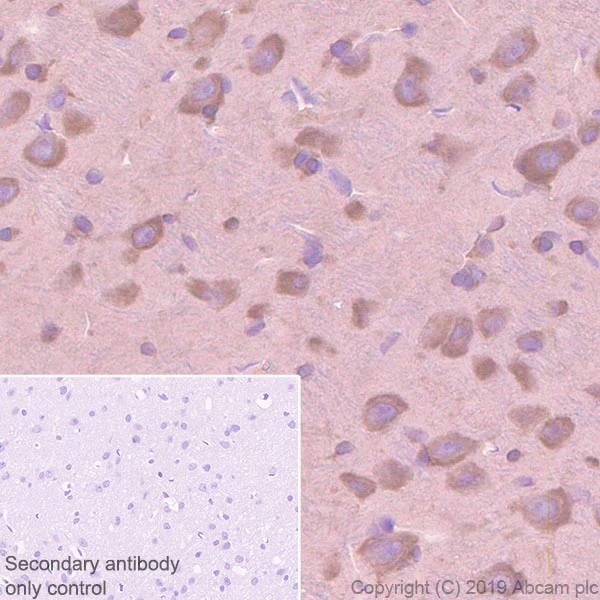
Immunohistochemistry (Formalin/PFA-fixed paraffin-embedded sections) - Anti-EIF2S1 antibody [EPR23098-50] (AB242148)

Immunohistochemical analysis of paraffin-embedded Rat cerebrum tissue labeling EIF2S1 with ab242148 at 1 : 4000 dilution (0.14 ug/ml) followed by a ready to use Rabbit specific IHC polymer detection kit HRP/DAB (ab209101). Cytoplasmic staining on rat cerebrum. The section was incubated with ab242148 for 15 mins at room temperature. The immunostaining was performed on a Leica Biosystems BOND® RX instrument. Counterstained with Hematoxylin.

Secondary antibody only control : Secondary antibody is a ready to use Rabbit specific IHC polymer detection kit HRP/DAB (ab209101).

Heat mediated antigen retrieval with citrate buffer (pH 6.0, epitope retrieval solution 1) for 20mins

Western blot - Anti-EIF2S1 antibody [EPR23098-50] (AB242148)
  • WB

Lab

Western blot - Anti-EIF2S1 antibody [EPR23098-50] (AB242148)

Blocking and diluting buffer and concentration : 5% NFDM/TBST.

Exposure time :
Lane 1 : 48 seconds
Lanes 2-3 : 15 seconds
Lane 4 : 59 seconds

All lanes:

Western blot - Anti-EIF2S1 antibody [EPR23098-50] (ab242148) at 1/1000 dilution

Lane 1:

Human spleen tissue lysate at 10 µg

Lane 2:

Rat kidney tissue lysate at 10 µg

Lane 3:

Rat spleen tissue lysate at 10 µg

Lane 4:

Mouse heart tissue lysate at 10 µg

Secondary

All lanes:

Western blot - Goat Anti-Rabbit IgG H&L (HRP) (<a href='/en-us/products/secondary-antibodies/goat-rabbit-igg-h-l-hrp-ab97051'>ab97051</a>) at 1/100000 dilution

Predicted band size: 36 kDa

Observed band size: 36 kDa

false

Western blot - Anti-EIF2S1 antibody [EPR23098-50] (AB242148)
  • WB

Lab

Western blot - Anti-EIF2S1 antibody [EPR23098-50] (AB242148)

Blocking and diluting buffer and concentration : 5% NFDM/TBST.

Exposure time :
Lanes 1/3-5 : 10 seconds
Lane 2 : 81 seconds

All lanes:

Western blot - Anti-EIF2S1 antibody [EPR23098-50] (ab242148) at 1/1000 dilution

Lane 1:

MCF7 (human breast adenocarcinoma epithelial cell), whole cell lysate at 20 µg

Lane 2:

HepG2 (human hepatocellular carcinoma epithelial cell), whole cell lysate at 20 µg

Lane 3:

HeLa (human cervix adenocarcinoma epithelial cell), whole cell lysate at 20 µg

Lane 4:

RAW264.7 (mouse Abelson murine leukemia virus-induced tumor macrophage), whole cell lysate at 20 µg

Lane 5:

C6 (rat glial tumor glial cell), whole cell lysate at 20 µg

Secondary

All lanes:

Western blot - Goat Anti-Rabbit IgG H&L (HRP) (<a href='/en-us/products/secondary-antibodies/goat-rabbit-igg-h-l-hrp-ab97051'>ab97051</a>) at 1/100000 dilution

Predicted band size: 36 kDa

Observed band size: 36 kDa

false

  • Carrier free

    Anti-EIF2S1 antibody [EPR23098-50] - BSA and Azide free

Key facts

Host species

Rabbit

Clonality

Monoclonal

Clone number

EPR23098-50

Isotype

IgG

Carrier free

No

Reacts with

Mouse, Rat, Human

Applications

IHC-P, WB, IP

applications

Immunogen

The exact immunogen used to generate this antibody is proprietary information.

Reactivity data

{ "title": "Reactivity Data", "filters": { "stats": ["", "Species", "Dilution Info", "Notes"], "tabs": { "all-applications": {"fullname" : "All Applications", "shortname": "All Applications"}, "IHCP" : {"fullname" : "Immunohistochemistry (Formalin/PFA-fixed paraffin-embedded sections)", "shortname":"IHC-P"}, "IP" : {"fullname" : "Immunoprecipitation", "shortname":"IP"}, "FlowCyt" : {"fullname" : "Flow Cytometry", "shortname":"Flow Cyt"}, "WB" : {"fullname" : "Western blot", "shortname":"WB"}, "ICCIF" : {"fullname" : "Immunocytochemistry/ Immunofluorescence", "shortname":"ICC/IF"} }, "product-promise": { "all": "all", "testedAndGuaranteed": "tested", "guaranteed": "expected", "predicted": "predicted", "notRecommended": "not-recommended" } }, "values": { "Human": { "IHCP-species-checked": "testedAndGuaranteed", "IHCP-species-dilution-info": "1/4000", "IHCP-species-notes": "<p></p>", "IP-species-checked": "testedAndGuaranteed", "IP-species-dilution-info": "1/30", "IP-species-notes": "<p></p>", "FlowCyt-species-checked": "notRecommended", "FlowCyt-species-dilution-info": "", "FlowCyt-species-notes": "<p></p>", "WB-species-checked": "testedAndGuaranteed", "WB-species-dilution-info": "1/1000", "WB-species-notes": "<p>In some samples, eIF2α may appear as a doublet. This observation is consistent with reports in the literature (e.g., PMID: 19017641, PMID: 21813702).</p>", "ICCIF-species-checked": "notRecommended", "ICCIF-species-dilution-info": "", "ICCIF-species-notes": "<p></p>" }, "Mouse": { "IHCP-species-checked": "testedAndGuaranteed", "IHCP-species-dilution-info": "1/4000", "IHCP-species-notes": "<p></p>", "IP-species-checked": "guaranteed", "IP-species-dilution-info": "", "IP-species-notes": "", "FlowCyt-species-checked": "notRecommended", "FlowCyt-species-dilution-info": "", "FlowCyt-species-notes": "<p></p>", "WB-species-checked": "testedAndGuaranteed", "WB-species-dilution-info": "1/1000", "WB-species-notes": "<p>In some samples, eIF2α may appear as a doublet. This observation is consistent with reports in the literature (e.g., PMID: 19017641, PMID: 21813702).</p>", "ICCIF-species-checked": "notRecommended", "ICCIF-species-dilution-info": "", "ICCIF-species-notes": "<p></p>" }, "Rat": { "IHCP-species-checked": "testedAndGuaranteed", "IHCP-species-dilution-info": "1/4000", "IHCP-species-notes": "<p></p>", "IP-species-checked": "guaranteed", "IP-species-dilution-info": "", "IP-species-notes": "", "FlowCyt-species-checked": "notRecommended", "FlowCyt-species-dilution-info": "", "FlowCyt-species-notes": "", "WB-species-checked": "testedAndGuaranteed", "WB-species-dilution-info": "1/1000", "WB-species-notes": "<p>In some samples, eIF2α may appear as a doublet. This observation is consistent with reports in the literature (e.g., PMID: 19017641, PMID: 21813702).</p>", "ICCIF-species-checked": "notRecommended", "ICCIF-species-dilution-info": "", "ICCIF-species-notes": "" } } }

Product details

Patented technology
Our RabMAb® technology is a patented hybridoma-based technology for making rabbit monoclonal antibodies. For details on our patents, please refer to RabMAb® patents.

What are the advantages of a recombinant monoclonal antibody?
This product is a recombinant monoclonal antibody, which offers several advantages including:

  • - High batch-to-batch consistency and reproducibility
  • - Improved sensitivity and specificity
  • - Long-term security of supply
  • - Animal-free batch production

For more information, read more on recombinant antibodies.

Properties and storage information

Form
Liquid
Purification technique
Affinity purification Protein A
Storage buffer
pH: 7.2 - 7.4 Preservative: 0.01% Sodium azide Constituents: PBS, 40% Glycerol (glycerin, glycerine), 0.05% BSA
Shipped at conditions
Blue Ice
Appropriate short-term storage duration
1-2 weeks
Appropriate short-term storage conditions
+4°C
Appropriate long-term storage conditions
-20°C
Aliquoting information
Upon delivery aliquot
Storage information
Avoid freeze / thaw cycle

Supplementary information

This supplementary information is collated from multiple sources and compiled automatically.

EIF2S1 also called eIF2α is a subunit of the eukaryotic translation initiation factor 2 (eIF2) complex. This protein plays an important role in the initiation of protein synthesis by regulating the binding of the initiator methionyl-tRNA to the 40S ribosomal subunit. Its molecular weight is approximately 36 kDa. EIF2S1 is widely expressed in various tissues providing a fundamental function in protein biosynthesis across different cell types.
Biological function summary

EIF2α acts as a regulatory component of the eIF2 complex which is central to initiating translation in eukaryotic cells. Phosphorylation of eIF2α leads to inhibition of the exchange of GDP to GTP on eIF2 effectively reducing global protein synthesis while allowing the translation of specific mRNAs involved in stress responses. The eIF2α forms part of the eIF2 complex working closely with other subunits to exert its regulatory functions.

Pathways

EIF2α is involved in the integrated stress response (ISR) and other protein synthesis pathways. The phosphorylation state of eIF2α is important in ISR linking it to proteins such as PERK and GCN2 which respond to various stress signals. Phospho-eIF2α plays a significant role in modulating the translation response to cellular stress ensuring cells can adapt or initiate apoptosis depending on the conditions.

EIF2α connects to diseases like Alzheimer's and diabetes. Alterations in phosphorylation of eIF2α are linked to endoplasmic reticulum stress in Alzheimer's affecting protein homeostasis. Connecting to diabetes dysregulated eIF2α signaling interferes with insulin synthesis and secretion. Proteins like ATF4 also intersect with eIF2α in these diseases highlighting eIF2α's involvement in critical pathological processes.

Product protocols

For this product, it's our understanding that no specific protocols are required. You can visit:

Target data

Member of the eIF2 complex that functions in the early steps of protein synthesis by forming a ternary complex with GTP and initiator tRNA (PubMed : 16289705, PubMed : 38340717). This complex binds to a 40S ribosomal subunit, followed by mRNA binding to form a 43S pre-initiation complex (43S PIC) (PubMed : 16289705). Junction of the 60S ribosomal subunit to form the 80S initiation complex is preceded by hydrolysis of the GTP bound to eIF2 and release of an eIF2-GDP binary complex (PubMed : 16289705). In order for eIF2 to recycle and catalyze another round of initiation, the GDP bound to eIF2 must exchange with GTP by way of a reaction catalyzed by eIF2B (PubMed : 16289705). EIF2S1/eIF2-alpha is a key component of the integrated stress response (ISR), required for adaptation to various stress : phosphorylation by metabolic-stress sensing protein kinases (EIF2AK1/HRI, EIF2AK2/PKR, EIF2AK3/PERK and EIF2AK4/GCN2) in response to stress converts EIF2S1/eIF2-alpha in a global protein synthesis inhibitor, leading to an attenuation of cap-dependent translation, while concomitantly initiating the preferential translation of ISR-specific mRNAs, such as the transcriptional activators ATF4 and QRICH1, and hence allowing ATF4- and QRICH1-mediated reprogramming (PubMed : 19131336, PubMed : 33384352, PubMed : 38340717). EIF2S1/eIF2-alpha also acts as an activator of mitophagy in response to mitochondrial damage : phosphorylation by EIF2AK1/HRI promotes relocalization to the mitochondrial surface, thereby triggering PRKN-independent mitophagy (PubMed : 38340717).
See full target information EIF2S1

Publications (5)

Recent publications for all applications. Explore the full list and refine your search

Materials today. Bio 33:102045 PubMed40688666

2025

Dendritic cell membrane-based DCsLipo@MnO@siCTLA4@PD-1α nanomedicine for the treatment of Lynch syndrome-related colorectal cancer.

Applications

Unspecified application

Species

Unspecified reactive species

Wenjin Zhong,Pengcheng Wang,Jintian Wang,Yuejia Zhu,Liquan Chen,Yilong Qian,Xiang Huang,Kai Ye

Frontiers in molecular biosciences 10:1178439 PubMed37426420

2023

Sequence- and structure-specific RNA oligonucleotide binding attenuates heterogeneous nuclear ribonucleoprotein A1 dysfunction.

Applications

Unspecified application

Species

Unspecified reactive species

Joseph P Clarke,Patricia A Thibault,Sakina Fatima,Hannah E Salapa,Subha Kalyaanamoorthy,Aravindhan Ganesan,Michael C Levin

Frontiers in pharmacology 14:1141669 PubMed37063262

2023

Amphipathic barbiturates as marine product mimics with cytolytic and immunogenic effects on head and neck squamous cell carcinoma cell lines.

Applications

Unspecified application

Species

Unspecified reactive species

Susannah von Hofsten,Manuel K Langer,Katja Korelin,Synnøve Magnussen,Dominik Ausbacher,Trude Anderssen,Tuula Salo,Morten B Strøm,Annette Bayer,Ahmed Al-Samadi,Gerd Berge

EMBO reports 22:e51954 PubMed34296790

2021

Mfn2 localization in the ER is necessary for its bioenergetic function and neuritic development.

Applications

Unspecified application

Species

Unspecified reactive species

Sergi Casellas-Díaz,Raquel Larramona-Arcas,Guillem Riqué-Pujol,Paula Tena-Morraja,Claudia Müller-Sánchez,Marc Segarra-Mondejar,Aleix Gavaldà-Navarro,Francesc Villarroya,Manuel Reina,Ofelia M Martínez-Estrada,Francesc X Soriano

International journal of molecular sciences 22: PubMed33809384

2021

Multiple Sclerosis-Associated hnRNPA1 Mutations Alter hnRNPA1 Dynamics and Influence Stress Granule Formation.

Applications

Unspecified application

Species

Unspecified reactive species

Joseph-Patrick W E Clarke,Patricia A Thibault,Hannah E Salapa,David E Kim,Catherine Hutchinson,Michael C Levin
View all publications

Product promise

We are committed to supporting your work with high-quality reagents, and we're here for you every step of the way. In the unlikely event that one of our products does not perform as expected, you're protected by our Product Promise.
For full details, please see our Terms & Conditions

Please note: All products are 'FOR RESEARCH USE ONLY. NOT FOR USE IN DIAGNOSTIC OR THERAPEUTIC PROCEDURES'.

For licensing inquiries, please contact partnerships@abcam.com