JavaScript is disabled in your browser. Please enable JavaScript to view this website.
AB131489

Anti-EIF2S1 (phospho S49) antibody

Be the first to review this product! Submit a review

|

(0 Publication)

Rabbit Polyclonal EIF2S1 phospho S49 antibody. Suitable for WB, IHC-P, ICC/IF and reacts with Human samples. Immunogen corresponding to Synthetic Peptide within Human EIF2S1 phospho S49 aa 1-100 conjugated to Keyhole Limpet Haemocyanin.

View Alternative Names

EIF2A, EIF2S1, Eukaryotic translation initiation factor 2 subunit 1, Eukaryotic translation initiation factor 2 subunit alpha, eIF-2-alpha, eIF-2A, eIF-2alpha, eIF2-alpha

3 Images
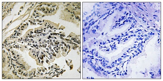
Immunohistochemistry (Formalin/PFA-fixed paraffin-embedded sections) - Anti-EIF2S1 (phospho S49) antibody (AB131489)
  • IHC-P

Unknown

Immunohistochemistry (Formalin/PFA-fixed paraffin-embedded sections) - Anti-EIF2S1 (phospho S49) antibody (AB131489)

Immunohistochemistry analysis of Human breast cancer labelling EIF2S1 using ab131489, at 1/100 dilution (Left) or preincubated with blocking peptide (right).

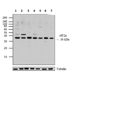
Western blot - Anti-EIF2S1 (phospho S49) antibody (AB131489)
  • WB

Unknown

Western blot - Anti-EIF2S1 (phospho S49) antibody (AB131489)

All lanes:

Western blot - Anti-EIF2S1 (phospho S49) antibody (ab131489) at 1/500 dilution

Lane 1:

Extracts of Hela cells untreated

Lane 2:

Extracts of Hela cells treated with starvation

Predicted band size: 36 kDa

false

Immunocytochemistry/ Immunofluorescence - Anti-EIF2S1 (phospho S49) antibody (AB131489)
  • ICC/IF

Unknown

Immunocytochemistry/ Immunofluorescence - Anti-EIF2S1 (phospho S49) antibody (AB131489)

Immunofluorescence analysis of methanol-fixed HeLa cells labelling EIF2S1 using ab131489, at 1/100 dilution.

Key facts

Host species

Rabbit

Clonality

Polyclonal

Isotype

IgG

Carrier free

No

Reacts with

Human

Applications

IHC-P, WB, ICC/IF

applications

Immunogen

Synthetic Peptide within Human EIF2S1 phospho S49 aa 1-100 conjugated to Keyhole Limpet Haemocyanin. The exact immunogen used to generate this antibody is proprietary information.

P05198

Reactivity data

{ "title": "Reactivity Data", "filters": { "stats": ["", "Species", "Dilution Info", "Notes"], "tabs": { "all-applications": {"fullname" : "All Applications", "shortname": "All Applications"}, "WB" : {"fullname" : "Western blot", "shortname":"WB"}, "IHCP" : {"fullname" : "Immunohistochemistry (Formalin/PFA-fixed paraffin-embedded sections)", "shortname":"IHC-P"}, "ICCIF" : {"fullname" : "Immunocytochemistry/ Immunofluorescence", "shortname":"ICC/IF"} }, "product-promise": { "all": "all", "testedAndGuaranteed": "tested", "guaranteed": "expected", "predicted": "predicted", "notRecommended": "not-recommended" } }, "values": { "Human": { "WB-species-checked": "testedAndGuaranteed", "WB-species-dilution-info": "1/500 - 1/1000", "WB-species-notes": "<p></p>", "IHCP-species-checked": "testedAndGuaranteed", "IHCP-species-dilution-info": "1/50 - 1/100", "IHCP-species-notes": "<p></p>", "ICCIF-species-checked": "testedAndGuaranteed", "ICCIF-species-dilution-info": "1/100 - 1/200", "ICCIF-species-notes": "<p>(methanol fixed)</p>" } } }

Properties and storage information

Form
Liquid
Purification technique
Affinity purification Immunogen
Purification notes
ab131489 was purified by affinity-chromatography using an-epitope specific phosphopeptide. Non-phosphopeptide specific antibodies were removed by chromatography using non-phosphopeptide.
Storage buffer
pH: 7.4 Preservative: 0.02% Sodium azide Constituents: 50% Glycerol (glycerin, glycerine), 49% PBS, 0.88% Sodium chloride
Shipped at conditions
Blue Ice
Appropriate short-term storage conditions
+4°C
Appropriate long-term storage conditions
-20°C
Storage information
Stable for 12 months at -20°C

Supplementary information

This supplementary information is collated from multiple sources and compiled automatically.

EIF2S1 also called eIF2α is a subunit of the eukaryotic translation initiation factor 2 (eIF2) complex. This protein plays an important role in the initiation of protein synthesis by regulating the binding of the initiator methionyl-tRNA to the 40S ribosomal subunit. Its molecular weight is approximately 36 kDa. EIF2S1 is widely expressed in various tissues providing a fundamental function in protein biosynthesis across different cell types.
Biological function summary

EIF2α acts as a regulatory component of the eIF2 complex which is central to initiating translation in eukaryotic cells. Phosphorylation of eIF2α leads to inhibition of the exchange of GDP to GTP on eIF2 effectively reducing global protein synthesis while allowing the translation of specific mRNAs involved in stress responses. The eIF2α forms part of the eIF2 complex working closely with other subunits to exert its regulatory functions.

Pathways

EIF2α is involved in the integrated stress response (ISR) and other protein synthesis pathways. The phosphorylation state of eIF2α is important in ISR linking it to proteins such as PERK and GCN2 which respond to various stress signals. Phospho-eIF2α plays a significant role in modulating the translation response to cellular stress ensuring cells can adapt or initiate apoptosis depending on the conditions.

EIF2α connects to diseases like Alzheimer's and diabetes. Alterations in phosphorylation of eIF2α are linked to endoplasmic reticulum stress in Alzheimer's affecting protein homeostasis. Connecting to diabetes dysregulated eIF2α signaling interferes with insulin synthesis and secretion. Proteins like ATF4 also intersect with eIF2α in these diseases highlighting eIF2α's involvement in critical pathological processes.

Product protocols

For this product, it's our understanding that no specific protocols are required. You can visit:

Target data

Member of the eIF2 complex that functions in the early steps of protein synthesis by forming a ternary complex with GTP and initiator tRNA (PubMed : 16289705, PubMed : 38340717). This complex binds to a 40S ribosomal subunit, followed by mRNA binding to form a 43S pre-initiation complex (43S PIC) (PubMed : 16289705). Junction of the 60S ribosomal subunit to form the 80S initiation complex is preceded by hydrolysis of the GTP bound to eIF2 and release of an eIF2-GDP binary complex (PubMed : 16289705). In order for eIF2 to recycle and catalyze another round of initiation, the GDP bound to eIF2 must exchange with GTP by way of a reaction catalyzed by eIF2B (PubMed : 16289705). EIF2S1/eIF2-alpha is a key component of the integrated stress response (ISR), required for adaptation to various stress : phosphorylation by metabolic-stress sensing protein kinases (EIF2AK1/HRI, EIF2AK2/PKR, EIF2AK3/PERK and EIF2AK4/GCN2) in response to stress converts EIF2S1/eIF2-alpha in a global protein synthesis inhibitor, leading to an attenuation of cap-dependent translation, while concomitantly initiating the preferential translation of ISR-specific mRNAs, such as the transcriptional activators ATF4 and QRICH1, and hence allowing ATF4- and QRICH1-mediated reprogramming (PubMed : 19131336, PubMed : 33384352, PubMed : 38340717). EIF2S1/eIF2-alpha also acts as an activator of mitophagy in response to mitochondrial damage : phosphorylation by EIF2AK1/HRI promotes relocalization to the mitochondrial surface, thereby triggering PRKN-independent mitophagy (PubMed : 38340717).
See full target information EIF2S1 phospho S49

Product promise

We are committed to supporting your work with high-quality reagents, and we're here for you every step of the way. In the unlikely event that one of our products does not perform as expected, you're protected by our Product Promise.
For full details, please see our Terms & Conditions

Please note: All products are 'FOR RESEARCH USE ONLY. NOT FOR USE IN DIAGNOSTIC OR THERAPEUTIC PROCEDURES'.

For licensing inquiries, please contact partnerships@abcam.com