JavaScript is disabled in your browser. Please enable JavaScript to view this website.
AB131505

Anti-EIF2S1 (phospho S51) antibody

Be the first to review this product! Submit a review

|

(7 Publications)

Rabbit Polyclonal EIF2S1 phospho S51 antibody. Suitable for WB, IHC-P, ICC/IF and reacts with Human samples. Cited in 7 publications. Immunogen corresponding to Synthetic Peptide within Human EIF2S1 phospho S51 aa 1-100.

View Alternative Names

EIF2A, EIF2S1, Eukaryotic translation initiation factor 2 subunit 1, Eukaryotic translation initiation factor 2 subunit alpha, eIF-2-alpha, eIF-2A, eIF-2alpha, eIF2-alpha

3 Images
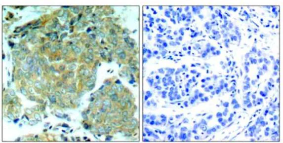
Immunohistochemistry (Formalin/PFA-fixed paraffin-embedded sections) - Anti-EIF2S1 (phospho S51) antibody (AB131505)
  • IHC-P

Unknown

Immunohistochemistry (Formalin/PFA-fixed paraffin-embedded sections) - Anti-EIF2S1 (phospho S51) antibody (AB131505)

Immunohistochemical analysis of paraffin-embedded Human breast carcinoma tissue labelled with ab131505 at 1/50 dilution (left) or ab131505 preincubated with blocking peptide (right).

Immunocytochemistry/ Immunofluorescence - Anti-EIF2S1 (phospho S51) antibody (AB131505)
  • ICC/IF

Unknown

Immunocytochemistry/ Immunofluorescence - Anti-EIF2S1 (phospho S51) antibody (AB131505)

Immunofluorescence analysis of methanol fixed HeLa cells labelled with ab131505 at 1/100 dilution.

Western blot - Anti-EIF2S1 (phospho S51) antibody (AB131505)
  • WB

Unknown

Western blot - Anti-EIF2S1 (phospho S51) antibody (AB131505)

All lanes:

Western blot - Anti-EIF2S1 (phospho S51) antibody (ab131505) at 1/500 dilution

Lane 1:

K562 cell extract

Lane 2:

K562 cell extract treated with IFN alpha

Predicted band size: 36 kDa

false

Key facts

Host species

Rabbit

Clonality

Polyclonal

Isotype

IgG

Carrier free

No

Reacts with

Human

Applications

WB, IHC-P, ICC/IF

applications

Immunogen

Synthetic Peptide within Human EIF2S1 phospho S51 aa 1-100. The exact immunogen used to generate this antibody is proprietary information.

P05198

Reactivity data

{ "title": "Reactivity Data", "filters": { "stats": ["", "Species", "Dilution Info", "Notes"], "tabs": { "all-applications": {"fullname" : "All Applications", "shortname": "All Applications"}, "WB" : {"fullname" : "Western blot", "shortname":"WB"}, "IHCP" : {"fullname" : "Immunohistochemistry (Formalin/PFA-fixed paraffin-embedded sections)", "shortname":"IHC-P"}, "ICCIF" : {"fullname" : "Immunocytochemistry/ Immunofluorescence", "shortname":"ICC/IF"} }, "product-promise": { "all": "all", "testedAndGuaranteed": "tested", "guaranteed": "expected", "predicted": "predicted", "notRecommended": "not-recommended" } }, "values": { "Human": { "WB-species-checked": "testedAndGuaranteed", "WB-species-dilution-info": "1/500 - 1/1000", "WB-species-notes": "<p></p>", "IHCP-species-checked": "testedAndGuaranteed", "IHCP-species-dilution-info": "1/50 - 1/100", "IHCP-species-notes": "<p></p>", "ICCIF-species-checked": "testedAndGuaranteed", "ICCIF-species-dilution-info": "1/100 - 1/200", "ICCIF-species-notes": "<p></p>" } } }

Properties and storage information

Form
Liquid
Purification technique
Affinity purification Immunogen
Purification notes
This antibody was purifed by affinity chromatography using epitope-specific phospho peptide. Non-phospho specific antibodies were removed using non-phospho peptide.
Storage buffer
pH: 7.4 Preservative: 0.02% Sodium azide Constituents: PBS, 50% Glycerol (glycerin, glycerine), 0.88% Sodium chloride
Shipped at conditions
Blue Ice
Appropriate short-term storage conditions
+4°C
Appropriate long-term storage conditions
-20°C
Storage information
Stable for 12 months at -20°C

Supplementary information

This supplementary information is collated from multiple sources and compiled automatically.

EIF2S1 also called eIF2α is a subunit of the eukaryotic translation initiation factor 2 (eIF2) complex. This protein plays an important role in the initiation of protein synthesis by regulating the binding of the initiator methionyl-tRNA to the 40S ribosomal subunit. Its molecular weight is approximately 36 kDa. EIF2S1 is widely expressed in various tissues providing a fundamental function in protein biosynthesis across different cell types.
Biological function summary

EIF2α acts as a regulatory component of the eIF2 complex which is central to initiating translation in eukaryotic cells. Phosphorylation of eIF2α leads to inhibition of the exchange of GDP to GTP on eIF2 effectively reducing global protein synthesis while allowing the translation of specific mRNAs involved in stress responses. The eIF2α forms part of the eIF2 complex working closely with other subunits to exert its regulatory functions.

Pathways

EIF2α is involved in the integrated stress response (ISR) and other protein synthesis pathways. The phosphorylation state of eIF2α is important in ISR linking it to proteins such as PERK and GCN2 which respond to various stress signals. Phospho-eIF2α plays a significant role in modulating the translation response to cellular stress ensuring cells can adapt or initiate apoptosis depending on the conditions.

EIF2α connects to diseases like Alzheimer's and diabetes. Alterations in phosphorylation of eIF2α are linked to endoplasmic reticulum stress in Alzheimer's affecting protein homeostasis. Connecting to diabetes dysregulated eIF2α signaling interferes with insulin synthesis and secretion. Proteins like ATF4 also intersect with eIF2α in these diseases highlighting eIF2α's involvement in critical pathological processes.

Product protocols

For this product, it's our understanding that no specific protocols are required. You can visit:

Target data

Member of the eIF2 complex that functions in the early steps of protein synthesis by forming a ternary complex with GTP and initiator tRNA (PubMed : 16289705, PubMed : 38340717). This complex binds to a 40S ribosomal subunit, followed by mRNA binding to form a 43S pre-initiation complex (43S PIC) (PubMed : 16289705). Junction of the 60S ribosomal subunit to form the 80S initiation complex is preceded by hydrolysis of the GTP bound to eIF2 and release of an eIF2-GDP binary complex (PubMed : 16289705). In order for eIF2 to recycle and catalyze another round of initiation, the GDP bound to eIF2 must exchange with GTP by way of a reaction catalyzed by eIF2B (PubMed : 16289705). EIF2S1/eIF2-alpha is a key component of the integrated stress response (ISR), required for adaptation to various stress : phosphorylation by metabolic-stress sensing protein kinases (EIF2AK1/HRI, EIF2AK2/PKR, EIF2AK3/PERK and EIF2AK4/GCN2) in response to stress converts EIF2S1/eIF2-alpha in a global protein synthesis inhibitor, leading to an attenuation of cap-dependent translation, while concomitantly initiating the preferential translation of ISR-specific mRNAs, such as the transcriptional activators ATF4 and QRICH1, and hence allowing ATF4- and QRICH1-mediated reprogramming (PubMed : 19131336, PubMed : 33384352, PubMed : 38340717). EIF2S1/eIF2-alpha also acts as an activator of mitophagy in response to mitochondrial damage : phosphorylation by EIF2AK1/HRI promotes relocalization to the mitochondrial surface, thereby triggering PRKN-independent mitophagy (PubMed : 38340717).
See full target information EIF2S1 phospho S51

Publications (7)

Recent publications for all applications. Explore the full list and refine your search

Nature aging 3:1237-1250 PubMed37667102

2023

The YAP-TEAD complex promotes senescent cell survival by lowering endoplasmic reticulum stress.

Applications

Unspecified application

Species

Unspecified reactive species

Carlos Anerillas,Krystyna Mazan-Mamczarz,Allison B Herman,Rachel Munk,Kwan-Wood Gabriel Lam,Miguel Calvo-Rubio,Amanda Garrido,Dimitrios Tsitsipatis,Jennifer L Martindale,Gisela Altés,Martina Rossi,Yulan Piao,Jinshui Fan,Chang-Yi Cui,Supriyo De,Kotb Abdelmohsen,Rafael de Cabo,Myriam Gorospe

The American journal of pathology 193:1528-1547 PubMed37422147

2023

Aberrations in Energetic Metabolism and Stress-Related Pathways Contribute to Pathophysiology in the Neb Conditional Knockout Mouse Model of Nemaline Myopathy.

Applications

Unspecified application

Species

Unspecified reactive species

Rebecca A Slick,Jennifer A Tinklenberg,Jessica Sutton,Liwen Zhang,Hui Meng,Margaret J Beatka,Mark Vanden Avond,Mariah J Prom,Emily Ott,Federica Montanaro,James Heisner,Rafael Toro,Henk Granzier,Aron M Geurts,David F Stowe,R Blake Hill,Michael W Lawlor

Research (Washington, D.C.) 6:0091 PubMed37223481

2023

SERBP1 Promotes Stress Granule Clearance by Regulating 26S Proteasome Activity and G3BP1 Ubiquitination and Protects Male Germ Cells from Thermostimuli Damage.

Applications

Unspecified application

Species

Unspecified reactive species

Fengli Wang,Lingjuan Wang,Shiming Gan,Shenglei Feng,Sijin Ouyang,Xiaoli Wang,Shuiqiao Yuan

Cells 11: PubMed35456008

2022

Calreticulin Shortage Results in Disturbance of Calcium Storage, Mitochondrial Disease, and Kidney Injury.

Applications

Unspecified application

Species

Unspecified reactive species

Asima Tayyeb,Gry H Dihazi,Björn Tampe,Michael Zeisberg,Desiree Tampe,Samy Hakroush,Charlotte Bührig,Jenny Frese,Nazli Serin,Marwa Eltoweissy,Gerhard A Müller,Hassan Dihazi

Frontiers in cell and developmental biology 9:722960 PubMed34646824

2021

Sestrin2-Mediated Autophagy Contributes to Drug Resistance Endoplasmic Reticulum Stress in Human Osteosarcoma.

Applications

Unspecified application

Species

Unspecified reactive species

Zhen Tang,Xinghui Wei,Tian Li,Wei Wang,Hao Wu,Hui Dong,Yichao Liu,Feilong Wei,Lei Shi,Xiaokang Li,Zheng Guo,Xin Xiao

Cellular microbiology 23:e13334 PubMed33792166

2021

Acrylamide inhibits vaccinia virus through vimentin-independent anti-viral granule formation.

Applications

Unspecified application

Species

Unspecified reactive species

Jennifer J Wood,Ian J White,Jerzy Samolej,Jason Mercer

Cell death & disease 9:1129 PubMed30425239

2018

Nitric oxide triggers the assembly of "type II" stress granules linked to decreased cell viability.

Applications

Unspecified application

Species

Unspecified reactive species

Anaïs Aulas,Shawn M Lyons,Marta M Fay,Paul Anderson,Pavel Ivanov
View all publications

Product promise

We are committed to supporting your work with high-quality reagents, and we're here for you every step of the way. In the unlikely event that one of our products does not perform as expected, you're protected by our Product Promise.
For full details, please see our Terms & Conditions

Please note: All products are 'FOR RESEARCH USE ONLY. NOT FOR USE IN DIAGNOSTIC OR THERAPEUTIC PROCEDURES'.

For licensing inquiries, please contact partnerships@abcam.com