JavaScript is disabled in your browser. Please enable JavaScript to view this website.
AB105113

Anti-eIF3A antibody

Be the first to review this product! Submit a review

|

(1 Publication)

Rabbit Polyclonal EIF3A antibody. Suitable for IHC-P and reacts with Mouse, Human samples. Cited in 1 publication. Immunogen corresponding to Synthetic Peptide within Human EIF3A aa 850-950.

View Alternative Names

EIF3S10, KIAA0139, EIF3A, Eukaryotic translation initiation factor 3 subunit A, eIF3a, Eukaryotic translation initiation factor 3 subunit 10, eIF-3-theta, eIF3 p167, eIF3 p180, eIF3 p185

2 Images
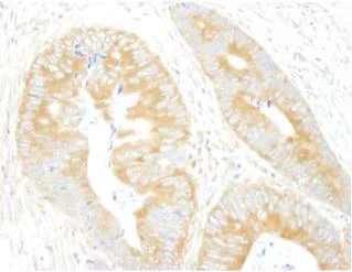
Immunohistochemistry (Formalin/PFA-fixed paraffin-embedded sections) - Anti-eIF3A antibody (AB105113)
  • IHC-P

Unknown

Immunohistochemistry (Formalin/PFA-fixed paraffin-embedded sections) - Anti-eIF3A antibody (AB105113)

Staining of eIF3A in formalin fixed, paraffin embedded Human Colon Carcinoma by Immunohistochemistry, using ab105113 at a 1/250 dilution.

Immunohistochemistry (Formalin/PFA-fixed paraffin-embedded sections) - Anti-eIF3A antibody (AB105113)
  • IHC-P

Unknown

Immunohistochemistry (Formalin/PFA-fixed paraffin-embedded sections) - Anti-eIF3A antibody (AB105113)

Staining of eIF3A in formalin fixed, paraffin embedded Mouse Renal Cell Carcinoma by Immunohistochemistry, using ab105113 at a 1/250 dilution.

Key facts

Host species

Rabbit

Clonality

Polyclonal

Isotype

IgG

Carrier free

No

Reacts with

Mouse, Human

Applications

IHC-P

applications

Immunogen

Synthetic Peptide within Human EIF3A aa 850-950. The exact immunogen used to generate this antibody is proprietary information.

Q14152

Reactivity data

{ "title": "Reactivity Data", "filters": { "stats": ["", "Species", "Dilution Info", "Notes"], "tabs": { "all-applications": {"fullname" : "All Applications", "shortname": "All Applications"}, "IHCP" : {"fullname" : "Immunohistochemistry (Formalin/PFA-fixed paraffin-embedded sections)", "shortname":"IHC-P"} }, "product-promise": { "all": "all", "testedAndGuaranteed": "tested", "guaranteed": "expected", "predicted": "predicted", "notRecommended": "not-recommended" } }, "values": { "Human": { "IHCP-species-checked": "testedAndGuaranteed", "IHCP-species-dilution-info": "1/100 - 1/500", "IHCP-species-notes": "<p>Epitope exposure with tris-EDTA pH9.0 buffer will enhance staining.</p>" }, "Mouse": { "IHCP-species-checked": "testedAndGuaranteed", "IHCP-species-dilution-info": "1/100 - 1/500", "IHCP-species-notes": "<p>Epitope exposure with tris-EDTA pH9.0 buffer will enhance staining.</p>" }, "Rat": { "IHCP-species-checked": "predicted", "IHCP-species-dilution-info": "", "IHCP-species-notes": "" }, "Chimpanzee": { "IHCP-species-checked": "predicted", "IHCP-species-dilution-info": "", "IHCP-species-notes": "" }, "Gorilla": { "IHCP-species-checked": "predicted", "IHCP-species-dilution-info": "", "IHCP-species-notes": "" }, "Guinea pig": { "IHCP-species-checked": "predicted", "IHCP-species-dilution-info": "", "IHCP-species-notes": "" }, "Orangutan": { "IHCP-species-checked": "predicted", "IHCP-species-dilution-info": "", "IHCP-species-notes": "" }, "Rabbit": { "IHCP-species-checked": "predicted", "IHCP-species-dilution-info": "", "IHCP-species-notes": "" }, "Rhesus monkey": { "IHCP-species-checked": "predicted", "IHCP-species-dilution-info": "", "IHCP-species-notes": "" } } }

Properties and storage information

Form
Liquid
Purification technique
Affinity purification Immunogen
Storage buffer
pH: 6.8 - 7.4 Preservative: 0.09% Sodium azide Constituents: Tris buffered saline, 0.1% BSA
Shipped at conditions
Blue Ice
Appropriate short-term storage conditions
+4°C
Appropriate long-term storage conditions
+4°C
Aliquoting information
Upon delivery aliquot
Storage information
Avoid freeze / thaw cycle

Supplementary information

This supplementary information is collated from multiple sources and compiled automatically.

The eukaryotic translation initiation factor 3 subunit A (eIF3A) sometimes known as eIF3 p170 is an important component in the initiation of protein synthesis. This protein with a molecular mass of approximately 170 kDa plays an important role in forming the eIF3 complex which is essential for the binding of mRNA to the ribosome. eIF3A is widely expressed in various tissues indicating its fundamental role in basic cellular functions.
Biological function summary

EIF3A is a central component of the eIF3 complex which consists of multiple subunits that interact to facilitate the beginning of translation. It supports the recruitment of mRNA to the small ribosomal subunit mediating the formation of the 43S pre-initiation complex. Its activity influences multiple downstream biological processes including cell growth and proliferation highlighting its essential role in maintaining normal cellular functions.

Pathways

EIF3A is integral to the mTOR signaling pathway which is important for regulating cell growth and protein synthesis. In this pathway eIF3A works closely with proteins like mTOR and Raptor interacting to control the translation initiation machinery. Additionally eIF3A contributes to the regulation of the Wnt signaling pathway which is important for cell proliferation and differentiation.

EIF3A has significant connections with various cancer types including lung cancer and breast cancer. Its overexpression often correlates with enhanced tumor growth and poor prognosis implicating its role in oncogenic pathways. In cancerous conditions eIF3A might interact with proteins such as EGFR and c-Myc which are also key players in tumor progression and cellular transformation further emphasizing its impact on disease development.

Product protocols

For this product, it's our understanding that no specific protocols are required. You can visit:

Target data

RNA-binding component of the eukaryotic translation initiation factor 3 (eIF-3) complex, which is required for several steps in the initiation of protein synthesis (PubMed : 17581632, PubMed : 25849773). The eIF-3 complex associates with the 40S ribosome and facilitates the recruitment of eIF-1, eIF-1A, eIF-2 : GTP : methionyl-tRNAi and eIF-5 to form the 43S pre-initiation complex (43S PIC). The eIF-3 complex stimulates mRNA recruitment to the 43S PIC and scanning of the mRNA for AUG recognition. The eIF-3 complex is also required for disassembly and recycling of post-termination ribosomal complexes and subsequently prevents premature joining of the 40S and 60S ribosomal subunits prior to initiation (PubMed : 11169732, PubMed : 17581632). The eIF-3 complex specifically targets and initiates translation of a subset of mRNAs involved in cell proliferation, including cell cycling, differentiation and apoptosis, and uses different modes of RNA stem-loop binding to exert either translational activation or repression (PubMed : 25849773, PubMed : 27462815).. (Microbial infection) Essential for the initiation of translation on type-1 viral ribosomal entry sites (IRESs), like for HCV, PV, EV71 or BEV translation (PubMed : 23766293, PubMed : 24357634).. (Microbial infection) In case of FCV infection, plays a role in the ribosomal termination-reinitiation event leading to the translation of VP2 (PubMed : 18056426).
See full target information EIF3A

Publications (1)

Recent publications for all applications. Explore the full list and refine your search

Journal of cell science 130:3975-3987 PubMed29025970

2017

The Arf GEF GBF1 and Arf4 synergize with the sensory receptor cargo, rhodopsin, to regulate ciliary membrane trafficking.

Applications

Unspecified application

Species

Unspecified reactive species

Jing Wang,Theresa Fresquez,Vasundhara Kandachar,Dusanka Deretic
View all publications

Product promise

We are committed to supporting your work with high-quality reagents, and we're here for you every step of the way. In the unlikely event that one of our products does not perform as expected, you're protected by our Product Promise.
For full details, please see our Terms & Conditions

Please note: All products are 'FOR RESEARCH USE ONLY. NOT FOR USE IN DIAGNOSTIC OR THERAPEUTIC PROCEDURES'.

For licensing inquiries, please contact partnerships@abcam.com