JavaScript is disabled in your browser. Please enable JavaScript to view this website.
AB128996

Anti-eIF3A antibody [EPR5819(2)]

Be the first to review this product! Submit a review

|

(9 Publications)

Rabbit Recombinant Monoclonal EIF3A antibody. Suitable for IHC-P, WB, ICC/IF and reacts with Human, Mouse, Rat samples. Cited in 9 publications.

View Alternative Names

EIF3S10, KIAA0139, EIF3A, Eukaryotic translation initiation factor 3 subunit A, eIF3a, Eukaryotic translation initiation factor 3 subunit 10, eIF-3-theta, eIF3 p167, eIF3 p180, eIF3 p185

4 Images
Immunocytochemistry/ Immunofluorescence - Anti-eIF3A antibody [EPR5819(2)] (AB128996)
  • ICC/IF

Unknown

Immunocytochemistry/ Immunofluorescence - Anti-eIF3A antibody [EPR5819(2)] (AB128996)

ab128996, at 1/250 dilution, staining eIF3A in BxPC3 cells by Immunofluorescence.

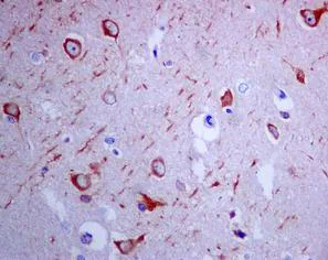
Immunohistochemistry (Formalin/PFA-fixed paraffin-embedded sections) - Anti-eIF3A antibody [EPR5819(2)] (AB128996)
  • IHC-P

Unknown

Immunohistochemistry (Formalin/PFA-fixed paraffin-embedded sections) - Anti-eIF3A antibody [EPR5819(2)] (AB128996)

ab128996 at 1/50 dilution staining eIF3A in paraffin-embedded Human brain tissue by Immunohistochemistry.

Perform heat mediated antigen retrieval before commencing with IHC staining protocol.

Western blot - Anti-eIF3A antibody [EPR5819(2)] (AB128996)
  • WB

Unknown

Western blot - Anti-eIF3A antibody [EPR5819(2)] (AB128996)

All lanes:

Western blot - Anti-eIF3A antibody [EPR5819(2)] (ab128996) at 1/1000 dilution

Lane 1:

BxPC-3 (Human pancreas adenocarcinoma cell line) whole cell lysate at 10 µg

Lane 2:

293T (Human embryonic kidney epithelial cell) cell lysate at 10 µg

Lane 3:

Jurkat (Human T cell leukemia cell line from peripheral blood) whole cell lysate at 10 µg

Lane 4:

C6 (Rat glial tumor cell line) whole cell lysate at 10 µg

Lane 5:

RAW 264.7 (Mouse macrophage cell line transformed with Abelson murine leukemia virus) whole cell lysate at 10 µg

Lane 6:

PC-12 (Rat adrenal gland pheochromocytoma cell line) whole cell lysate at 10 µg

Lane 7:

L6 (Rat skeletal muscle cell line) whole cell lysate at 10 µg

Secondary

All lanes:

Goat anti-Rabbit HRP at 1/2000 dilution

Predicted band size: 166 kDa

false

OI-RD Scanning - Anti-eIF3A antibody [EPR5819(2)] (AB128996)
  • OI-RD Scanning

Unknown

OI-RD Scanning - Anti-eIF3A antibody [EPR5819(2)] (AB128996)

We have systematically measured KD (the equilibrium dissociation constant between the antibody and its antigen), of more than 840 recombinant antibodies to assess not only their individual KD values but also to see the average affinity of antibody. Based on the comparison with published literature values for mouse monoclonal antibodies, Recombinant antibodies appear to be on average 1-2 order of magnitude higher affinity.

Key facts

Host species

Rabbit

Clonality

Monoclonal

Clone number

EPR5819(2)

Isotype

IgG

Carrier free

No

Reacts with

Mouse, Rat, Human

Applications

WB, IHC-P, ICC/IF

applications

Immunogen

The exact immunogen used to generate this antibody is proprietary information.

Reactivity data

{ "title": "Reactivity Data", "filters": { "stats": ["", "Species", "Dilution Info", "Notes"], "tabs": { "all-applications": {"fullname" : "All Applications", "shortname": "All Applications"}, "IHCP" : {"fullname" : "Immunohistochemistry (Formalin/PFA-fixed paraffin-embedded sections)", "shortname":"IHC-P"}, "IP" : {"fullname" : "Immunoprecipitation", "shortname":"IP"}, "WB" : {"fullname" : "Western blot", "shortname":"WB"}, "ICCIF" : {"fullname" : "Immunocytochemistry/ Immunofluorescence", "shortname":"ICC/IF"} }, "product-promise": { "all": "all", "testedAndGuaranteed": "tested", "guaranteed": "expected", "predicted": "predicted", "notRecommended": "not-recommended" } }, "values": { "Human": { "IHCP-species-checked": "testedAndGuaranteed", "IHCP-species-dilution-info": "1/50 - 1/100", "IHCP-species-notes": "<p></p>", "IP-species-checked": "notRecommended", "IP-species-dilution-info": "", "IP-species-notes": "<p></p>", "WB-species-checked": "testedAndGuaranteed", "WB-species-dilution-info": "1/1000 - 1/10000", "WB-species-notes": "<p></p>", "ICCIF-species-checked": "testedAndGuaranteed", "ICCIF-species-dilution-info": "1/250 - 1/500", "ICCIF-species-notes": "<p></p>" }, "Mouse": { "IHCP-species-checked": "guaranteed", "IHCP-species-dilution-info": "", "IHCP-species-notes": "", "IP-species-checked": "notRecommended", "IP-species-dilution-info": "", "IP-species-notes": "<p></p>", "WB-species-checked": "testedAndGuaranteed", "WB-species-dilution-info": "1/1000 - 1/10000", "WB-species-notes": "<p></p>", "ICCIF-species-checked": "guaranteed", "ICCIF-species-dilution-info": "", "ICCIF-species-notes": "" }, "Rat": { "IHCP-species-checked": "guaranteed", "IHCP-species-dilution-info": "", "IHCP-species-notes": "", "IP-species-checked": "notRecommended", "IP-species-dilution-info": "", "IP-species-notes": "<p></p>", "WB-species-checked": "testedAndGuaranteed", "WB-species-dilution-info": "1/1000 - 1/10000", "WB-species-notes": "<p></p>", "ICCIF-species-checked": "guaranteed", "ICCIF-species-dilution-info": "", "ICCIF-species-notes": "" } } }

Product details

Patented technology
Our RabMAb® technology is a patented hybridoma-based technology for making rabbit monoclonal antibodies. For details on our patents, please refer to RabMAb® patents.

What are the advantages of a recombinant monoclonal antibody?
This product is a recombinant monoclonal antibody, which offers several advantages including:

  • - High batch-to-batch consistency and reproducibility
  • - Improved sensitivity and specificity
  • - Long-term security of supply
  • - Animal-free batch production

For more information, read more on recombinant antibodies.

Properties and storage information

Form
Liquid
Purification technique
Affinity purification Protein A
Storage buffer
pH: 7.2 - 7.4 Preservative: 0.01% Sodium azide Constituents: PBS, 50% Tissue culture supernatant, 40% Glycerol (glycerin, glycerine), 0.05% BSA
Shipped at conditions
Blue Ice
Appropriate short-term storage conditions
+4°C
Appropriate long-term storage conditions
-20°C
Storage information
Stable for 12 months at -20°C

Supplementary information

This supplementary information is collated from multiple sources and compiled automatically.

The eukaryotic translation initiation factor 3 subunit A (eIF3A) sometimes known as eIF3 p170 is an important component in the initiation of protein synthesis. This protein with a molecular mass of approximately 170 kDa plays an important role in forming the eIF3 complex which is essential for the binding of mRNA to the ribosome. eIF3A is widely expressed in various tissues indicating its fundamental role in basic cellular functions.
Biological function summary

EIF3A is a central component of the eIF3 complex which consists of multiple subunits that interact to facilitate the beginning of translation. It supports the recruitment of mRNA to the small ribosomal subunit mediating the formation of the 43S pre-initiation complex. Its activity influences multiple downstream biological processes including cell growth and proliferation highlighting its essential role in maintaining normal cellular functions.

Pathways

EIF3A is integral to the mTOR signaling pathway which is important for regulating cell growth and protein synthesis. In this pathway eIF3A works closely with proteins like mTOR and Raptor interacting to control the translation initiation machinery. Additionally eIF3A contributes to the regulation of the Wnt signaling pathway which is important for cell proliferation and differentiation.

EIF3A has significant connections with various cancer types including lung cancer and breast cancer. Its overexpression often correlates with enhanced tumor growth and poor prognosis implicating its role in oncogenic pathways. In cancerous conditions eIF3A might interact with proteins such as EGFR and c-Myc which are also key players in tumor progression and cellular transformation further emphasizing its impact on disease development.

Product protocols

For this product, it's our understanding that no specific protocols are required. You can visit:

Target data

RNA-binding component of the eukaryotic translation initiation factor 3 (eIF-3) complex, which is required for several steps in the initiation of protein synthesis (PubMed : 17581632, PubMed : 25849773). The eIF-3 complex associates with the 40S ribosome and facilitates the recruitment of eIF-1, eIF-1A, eIF-2 : GTP : methionyl-tRNAi and eIF-5 to form the 43S pre-initiation complex (43S PIC). The eIF-3 complex stimulates mRNA recruitment to the 43S PIC and scanning of the mRNA for AUG recognition. The eIF-3 complex is also required for disassembly and recycling of post-termination ribosomal complexes and subsequently prevents premature joining of the 40S and 60S ribosomal subunits prior to initiation (PubMed : 11169732, PubMed : 17581632). The eIF-3 complex specifically targets and initiates translation of a subset of mRNAs involved in cell proliferation, including cell cycling, differentiation and apoptosis, and uses different modes of RNA stem-loop binding to exert either translational activation or repression (PubMed : 25849773, PubMed : 27462815).. (Microbial infection) Essential for the initiation of translation on type-1 viral ribosomal entry sites (IRESs), like for HCV, PV, EV71 or BEV translation (PubMed : 23766293, PubMed : 24357634).. (Microbial infection) In case of FCV infection, plays a role in the ribosomal termination-reinitiation event leading to the translation of VP2 (PubMed : 18056426).
See full target information EIF3A

Publications (9)

Recent publications for all applications. Explore the full list and refine your search

Journal of translational medicine 23:524 PubMed40346622

2025

Knockdown of eIF3a alleviates pulmonary arterial hypertension by inhibiting endothelial-to-mesenchymal transition via TGFβ1/SMAD pathway.

Applications

Unspecified application

Species

Unspecified reactive species

Qiuhong Jiao,Xiufeng Xu,Longwu Xu,Yuying Wang,Shulan Pang,Jie Hao,Xiaohong Liu,Yudan Zhao,Wanpeng Qi,Limin Qin,Tao Huang,Jingtian Li,Tao Wang

BMC cancer 24:432 PubMed38589831

2024

Eukaryotic initiation factor 3a promotes the development of diffuse large B-cell lymphoma through regulating cell proliferation.

Applications

Unspecified application

Species

Unspecified reactive species

Hongkun Sun,Juanjuan Shang,Xiao Liu,Shuai Ren,Shunfeng Hu,Xin Wang

Clinical and translational medicine 12:e1075 PubMed36324258

2022

N6-methyladenosine reader YTHDF3 regulates melanoma metastasis via its 'executor'LOXL3.

Applications

Unspecified application

Species

Unspecified reactive species

Hao-Ze Shi,Jing-Shu Xiong,Lu Gan,Ying Zhang,Cong-Cong Zhang,Ying-Qi Kong,Qiu-Ju Miao,Cui-Cui Tian,Rong Li,Jin-Quan Liu,Er-Jia Zhang,Wen-Bo Bu,Yan Wang,Xian-Feng Cheng,Jian-Fang Sun,Hao Chen

Frontiers in cell and developmental biology 10:794329 PubMed35300416

2022

eIF3a Regulates Colorectal Cancer Metastasis Translational Activation of RhoA and Cdc42.

Applications

Unspecified application

Species

Unspecified reactive species

Chao Mei,Chong Liu,Ying Gao,Wen-Ting Dai,Wei Zhang,Xi Li,Zhao-Qian Liu

Frontiers in pharmacology 12:720619 PubMed34512348

2021

The Downregulation of eIF3a Contributes to Vemurafenib Resistance in Melanoma by Activating ERK via PPP2R1B.

Applications

Unspecified application

Species

Unspecified reactive species

Shi-Long Jiang,Zhi-Bin Wang,Tao Zhu,Ting Jiang,Jiang-Feng Fei,Chong Liu,Chao Luo,Yan Cheng,Zhao-Qian Liu

Aging 13:11135-11149 PubMed33819187

2021

WTAP promotes myocardial ischemia/reperfusion injury by increasing endoplasmic reticulum stress via regulating mA modification of ATF4 mRNA.

Applications

Unspecified application

Species

Unspecified reactive species

Jiayi Wang,Jiehan Zhang,Yan Ma,Yuxiao Zeng,Cheng Lu,Fenghua Yang,Nianxin Jiang,Xuan Zhang,Yuhua Wang,Yinghui Xu,Hanjing Hou,Shengyang Jiang,Shaowei Zhuang

Oncology reports 44:2067-2079 PubMed33000235

2020

MicroRNA‑875‑5p inhibits tumor growth and metastasis of hepatocellular carcinoma by targeting eukaryotic translation initiation factor 3 subunit a.

Applications

Unspecified application

Species

Unspecified reactive species

Tianxiang Chen,Liankang Sun,Bowen Yao,Liang Wang,Yufeng Wang,Yongshen Niu,Runkun Liu,Huanye Mo,Zhikui Liu,Kangsheng Tu,Qingguang Liu

Journal of Cancer 9:2472-2479 PubMed30026845

2018

HE4 and eIF3a Expression Correlates with Surgical Outcome and Overall Survival in Ovarian Cancer Patients with Secondary Cytoreduction.

Applications

Unspecified application

Species

Unspecified reactive species

Chen-Hui Luo,Min Zhao,Xiao-Yan Chen,Shohreh Shahabi,Wenan Qiang,Liang Zeng,Jing Wang,Hong-Hao Zhou

Neurobiology of disease 116:155-165 PubMed29792928

2018

Translation of dipeptide repeat proteins from the C9ORF72 expanded repeat is associated with cellular stress.

Applications

Unspecified application

Species

Unspecified reactive species

Yoshifumi Sonobe,Ghanashyam Ghadge,Katsuhisa Masaki,Ataman Sendoel,Elaine Fuchs,Raymond P Roos
View all publications

Product promise

We are committed to supporting your work with high-quality reagents, and we're here for you every step of the way. In the unlikely event that one of our products does not perform as expected, you're protected by our Product Promise.
For full details, please see our Terms & Conditions

Please note: All products are 'FOR RESEARCH USE ONLY. NOT FOR USE IN DIAGNOSTIC OR THERAPEUTIC PROCEDURES'.

For licensing inquiries, please contact partnerships@abcam.com