JavaScript is disabled in your browser. Please enable JavaScript to view this website.
AB237757

Anti-EIF3C antibody

Be the first to review this product! Submit a review

|

(5 Publications)

Rabbit Polyclonal EIF3C antibody. Suitable for WB, IHC-P, ICC/IF and reacts with Human samples. Cited in 5 publications. Immunogen corresponding to Recombinant Fragment Protein within Human EIF3C aa 200-500.

View Alternative Names

EIF3S8, EIF3C, Eukaryotic translation initiation factor 3 subunit C, eIF3c, Eukaryotic translation initiation factor 3 subunit 8, eIF3 p110

3 Images
Immunocytochemistry/ Immunofluorescence - Anti-EIF3C antibody (AB237757)
  • ICC/IF

Supplier Data

Immunocytochemistry/ Immunofluorescence - Anti-EIF3C antibody (AB237757)

HepG2 (Human liver hepatocellular carcinoma cell line) cells stained for EIF3C using ab237757 at a dilution of 1/100 in ICC/IF, followed by an Alexa-Fluor®488 conjugated Goat Anti-Rabbit IgG (H+L).

Western blot - Anti-EIF3C antibody (AB237757)
  • WB

Supplier Data

Western blot - Anti-EIF3C antibody (AB237757)

All lanes:

Western blot - Anti-EIF3C antibody (ab237757) at 1/2000 dilution

Lane 1:

MCF7 (human breast adenocarcinoma cell line) whole cell lysate

Lane 2:

HeLa (human epithelial cell line from cervix adenocarcinoma) whole cell lysate

Lane 3:

A-375 (human malignant melanoma cell line) whole cell lysate

Secondary

All lanes:

Goat polyclonal to rabbit IgG at 1/50000 dilution

Predicted band size: 105 kDa

false

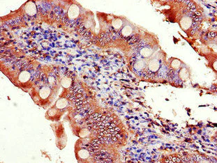
Immunohistochemistry (Formalin/PFA-fixed paraffin-embedded sections) - Anti-EIF3C antibody (AB237757)
  • IHC-P

Supplier Data

Immunohistochemistry (Formalin/PFA-fixed paraffin-embedded sections) - Anti-EIF3C antibody (AB237757)

Paraffin-embedded human small intestine tissue stained for EIF3C using ab237757 at 1/100 dilution in immunohistochemical analysis.

Key facts

Host species

Rabbit

Clonality

Polyclonal

Isotype

IgG

Carrier free

No

Reacts with

Human

Applications

ICC/IF, IHC-P, WB

applications

Immunogen

Recombinant Fragment Protein within Human EIF3C aa 200-500. The exact immunogen used to generate this antibody is proprietary information.

Q99613

Reactivity data

{ "title": "Reactivity Data", "filters": { "stats": ["", "Species", "Dilution Info", "Notes"], "tabs": { "all-applications": {"fullname" : "All Applications", "shortname": "All Applications"}, "WB" : {"fullname" : "Western blot", "shortname":"WB"}, "IHCP" : {"fullname" : "Immunohistochemistry (Formalin/PFA-fixed paraffin-embedded sections)", "shortname":"IHC-P"}, "ICCIF" : {"fullname" : "Immunocytochemistry/ Immunofluorescence", "shortname":"ICC/IF"} }, "product-promise": { "all": "all", "testedAndGuaranteed": "tested", "guaranteed": "expected", "predicted": "predicted", "notRecommended": "not-recommended" } }, "values": { "Human": { "WB-species-checked": "testedAndGuaranteed", "WB-species-dilution-info": "1/2000 - 1/5000", "WB-species-notes": "<p></p>", "IHCP-species-checked": "testedAndGuaranteed", "IHCP-species-dilution-info": "1/20 - 1/200", "IHCP-species-notes": "<p></p>", "ICCIF-species-checked": "testedAndGuaranteed", "ICCIF-species-dilution-info": "1/50 - 1/200", "ICCIF-species-notes": "<p></p>" } } }

Properties and storage information

Form
Liquid
Purification technique
Affinity purification Protein G
Purification notes
Purity greater than 95%.
Storage buffer
pH: 7.4 Preservative: 0.03% Proclin 300 Constituents: PBS, 50% Glycerol (glycerin, glycerine)
Shipped at conditions
Blue Ice
Appropriate short-term storage duration
1-2 weeks
Appropriate short-term storage conditions
+4°C
Appropriate long-term storage conditions
-20°C
Aliquoting information
Upon delivery aliquot
Storage information
Avoid freeze / thaw cycle

Supplementary information

This supplementary information is collated from multiple sources and compiled automatically.

EIF3C also known as eukaryotic translation initiation factor 3 subunit C is an important component within the eIF3 complex. It possesses a molecular weight of approximately 110 kDa. This protein is expressed in various tissues with significant levels observed in actively dividing cells such as those in the immune system and epithelial tissues. EIF3C functions as a part of the initiation factor that is involved in the binding of mRNA to the ribosome facilitating the formation of the competent 40S pre-initiation complex necessary for protein synthesis.
Biological function summary

Eukaryotic translation initiation factor 3 subunit C is integral to the multi-protein eIF3 complex. This protein complex plays a critical role in the initiation phase of eukaryotic translation. EIF3C assists in assembling the pre-initiation complex which then engages in scanning the mRNA to locate the start codon. The successful translation initiation process results from the efficient interaction of EIF3C with other components of the eIF3 complex contributing to proper cellular function and regulation.

Pathways

EIF3C is actively engaged in the translation initiation pathway and the mTOR signaling pathway. The mTOR pathway which is associated with cell growth proliferation and survival relies on EIF3C as part of the eIF3 complex to regulate protein synthesis by responding to extracellular signals such as nutrients and growth factors. EIF3C interacts closely with other translation initiation factors like eIF4E as part of these pathways reinforcing its involvement in regulating cellular metabolism and growth.

Eukaryotic translation initiation factor 3 subunit C holds significance in certain cancers and neurodegenerative disorders. EIF3C expression levels have been linked to tumorigenesis with elevated levels observed in various types of cancer including lung cancer and hepatocellular carcinoma. The altered regulation of EIF3C has connections with proteins such as p53 a well-known tumor suppressor implicating its role in cellular stress responses and oncogenesis. Additionally discrepancies in EIF3C expression may correlate with neurodegenerative disorders although the precise mechanisms remain under investigation.

Product protocols

For this product, it's our understanding that no specific protocols are required. You can visit:

Target data

Component of the eukaryotic translation initiation factor 3 (eIF-3) complex, which is required for several steps in the initiation of protein synthesis (PubMed : 17581632, PubMed : 25849773, PubMed : 27462815). The eIF-3 complex associates with the 40S ribosome and facilitates the recruitment of eIF-1, eIF-1A, eIF-2 : GTP : methionyl-tRNAi and eIF-5 to form the 43S pre-initiation complex (43S PIC). The eIF-3 complex stimulates mRNA recruitment to the 43S PIC and scanning of the mRNA for AUG recognition. The eIF-3 complex is also required for disassembly and recycling of post-termination ribosomal complexes and subsequently prevents premature joining of the 40S and 60S ribosomal subunits prior to initiation (PubMed : 17581632). The eIF-3 complex specifically targets and initiates translation of a subset of mRNAs involved in cell proliferation, including cell cycling, differentiation and apoptosis, and uses different modes of RNA stem-loop binding to exert either translational activation or repression (PubMed : 25849773).
See full target information EIF3C

Publications (5)

Recent publications for all applications. Explore the full list and refine your search

The Journal of international medical research 53:3000605251340320 PubMed40419440

2025

Expression and clinical value of EIF3CL in serous ovarian cancer.

Applications

Unspecified application

Species

Unspecified reactive species

Tingting Li,Longyang Liu,Qudi Qiao,Zhongqiu Lin,Jianhuan Yuan,Zhaoyang Zeng,Jilong Yao

Virus research 355:199570 PubMed40188851

2025

Common host factors for internal ribosomal entry site-mediated translation of viral genomic RNA: An investigation in foot-and-mouth disease and classical swine fever viruses.

Applications

Unspecified application

Species

Unspecified reactive species

Rupaly Akhter,Kazi Anowar Hossain,Bouchra Kitab,Yoshihiro Sakoda,Kyoko Tsukiyama-Kohara

World journal of gastroenterology 29:3770-3792 PubMed37426316

2023

Mechanism of ELL-associated factor 2 and vasohibin 1 regulating invasion, migration, and angiogenesis in colorectal cancer.

Applications

Unspecified application

Species

Unspecified reactive species

Ming-Liang Feng,Ming-Jun Sun,Bo-Yang Xu,Meng-Yuan Liu,Hui-Jing Zhang,Can Wu

Journal of experimental & clinical cancer research : CR 40:290 PubMed34526098

2021

circHMGCS1-016 reshapes immune environment by sponging miR-1236-3p to regulate CD73 and GAL-8 expression in intrahepatic cholangiocarcinoma.

Applications

Unspecified application

Species

Unspecified reactive species

Ya-Ping Xu,Ze-Ning Dong,Si-Wei Wang,Yi-Min Zheng,Chi Zhang,Ying-Qun Zhou,Yu-Jie Zhao,Yan Zhao,Feng Wang,Rui Peng,Mao-Chun Tang,Dou-Sheng Bai,Xiao-Yong Huang,Chuan-Yong Guo

Digestive diseases and sciences 67:559-568 PubMed33576946

2021

Role of eIF3C Overexpression in Predicting Prognosis of Intrahepatic Cholangiocarcinoma.

Applications

Unspecified application

Species

Unspecified reactive species

Ya-Ping Xu,Ze-Ning Dong,Ying-Qun Zhou,Yu-Jie Zhao,Yan Zhao,Feng Wang,Xiao-Yong Huang,Chuan-Yong Guo
View all publications

Product promise

We are committed to supporting your work with high-quality reagents, and we're here for you every step of the way. In the unlikely event that one of our products does not perform as expected, you're protected by our Product Promise.
For full details, please see our Terms & Conditions

Please note: All products are 'FOR RESEARCH USE ONLY. NOT FOR USE IN DIAGNOSTIC OR THERAPEUTIC PROCEDURES'.

For licensing inquiries, please contact partnerships@abcam.com