JavaScript is disabled in your browser. Please enable JavaScript to view this website.
AB36766

Anti-eIF3e antibody

5

(1 Review)

|

(14 Publications)

Rabbit Polyclonal EIF3E antibody. Suitable for ICC/IF, IP, WB, IHC-P and reacts with Human samples. Cited in 14 publications.

View Alternative Names

EIF3S6, INT6, EIF3E, Eukaryotic translation initiation factor 3 subunit E, eIF3e, Eukaryotic translation initiation factor 3 subunit 6, Viral integration site protein INT-6 homolog, eIF-3 p48

5 Images
Immunocytochemistry/ Immunofluorescence - Anti-eIF3e antibody (AB36766)
  • ICC/IF

Lab

Immunocytochemistry/ Immunofluorescence - Anti-eIF3e antibody (AB36766)

ab36766 staining eIF3e in MCF7 cells. The cells were fixed with 100% methanol (5 min), permeabilized with 0.1% PBS-Triton X-100 for 5 minutes and then blocked with 1% BSA/10% normal goat serum/0.3M glycine in 0.1%PBS-Tween for 1h. The cells were then incubated overnight at 4°C with ab36766 at 1µg/ml and ab7291, Mouse monoclonal [DM1A] to alpha Tubulin - Loading Control. Cells were then incubated with ab150081, Goat polyclonal Secondary Antibody to Rabbit IgG - H&L (Alexa Fluor® 488), pre-adsorbed at 1/1000 dilution (shown in green) and ab150120, Goat polyclonal Secondary Antibody to Mouse IgG - H&L (Alexa Fluor® 594), pre-adsorbed at 1/1000 dilution (shown in pseudocolour red). Nuclear DNA was labelled with DAPI (shown in blue).

Image was acquired with a confocal microscope (Leica-Microsystems TCS SP8) and a single confocal section is shown.

Immunoprecipitation - Anti-eIF3e antibody (AB36766)
  • IP

Unknown

Immunoprecipitation - Anti-eIF3e antibody (AB36766)

eIF3e was immunoprecipitated using 0.5mg Hela whole cell extract, 5µg of Rabbit polyclonal to eIF3e and 50µl of protein G magnetic beads (+). No antibody was added to the control (-).
The antibody was incubated under agitation with Protein G beads for 10min, Hela whole cell extract lysate diluted in RIPA buffer was added to each sample and incubated for a further 10min under agitation.
Proteins were eluted by addition of 40µl SDS loading buffer and incubated for 10min at 70oC; 10µl of each sample was separated on a SDS PAGE gel, transferred to a nitrocellulose membrane, blocked with 5% BSA and probed with ab36766.
Secondary : Mouse monoclonal [SB62a] Secondary Antibody to Rabbit IgG light chain (HRP) (ab99697).
Band : 48kDa : eIF3e.

All lanes:

Immunoprecipitation - Anti-eIF3e antibody (ab36766)

Predicted band size: 52 kDa

false

Immunohistochemistry (Formalin/PFA-fixed paraffin-embedded sections) - Anti-eIF3e antibody (AB36766)
  • IHC-P

Unknown

Immunohistochemistry (Formalin/PFA-fixed paraffin-embedded sections) - Anti-eIF3e antibody (AB36766)

IHC image of ab36766 staining in pancreas formalin fixed paraffin embedded tissue section, performed on a Leica BondTM system using the standard protocol F. The section was pre-treated using heat mediated antigen retrieval with sodium citrate buffer (pH6, epitope retrieval solution 1) for 20 mins. The section was then incubated with ab36766, 5µg/ml, for 15 mins at room temperature and detected using an HRP conjugated compact polymer system. DAB was used as the chromogen. The section was then counterstained with haematoxylin and mounted with DPX.

For other IHC staining systems (automated and non-automated) customers should optimize variable parameters such as antigen retrieval conditions, primary antibody concentration and antibody incubation times.

Western blot - Anti-eIF3e antibody (AB36766)
  • WB

AbReview33205****

Western blot - Anti-eIF3e antibody (AB36766)

All lanes:

Western blot - Anti-eIF3e antibody (ab36766) at 1/1000 dilution

Lane 1:

Chicken tectum lysate at 5 µg

Lane 2:

Zebrafish lysate at 5 µg

Secondary

All lanes:

HRP-conjugated goat anti-rabbit polyclonal IgG at 1/10000 dilution

Predicted band size: 52 kDa

Observed band size: 38 kDa,48 kDa

false

This image is courtesy of an anonymous Abreview

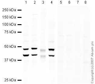
Western blot - Anti-eIF3e antibody (AB36766)
  • WB

Project

Western blot - Anti-eIF3e antibody (AB36766)

All lanes:

Western blot - Anti-eIF3e antibody (ab36766) at 1 µg/mL

Lane 1:

HeLa (Human epithelial carcinoma cell line) Whole Cell Lysate at 10 µg

Lane 2:

Western blot - Jurkat whole cell lysate (<a href='/en-us/products/cell-lysates/jurkat-whole-cell-lysate-ab7899'>ab7899</a>) at 10 µg

Lane 3:

Western blot - A-431 whole cell lysate (<a href='/en-us/products/cell-lysates/a-431-whole-cell-lysate-ab7909'>ab7909</a>) at 10 µg

Lane 4:

Western blot - HEK-293 whole cell lysate (<a href='/en-us/products/cell-lysates/hek-293-whole-cell-lysate-ab7902'>ab7902</a>) at 10 µg

Lane 5:

HeLa (Human epithelial carcinoma cell line) Whole Cell Lysate at 10 µg with Human eIF3e peptide (<a href='/en-us/products/unavailable/human-eif3e-peptide-ab36902'>ab36902</a>)

Lane 6:

Western blot - Jurkat whole cell lysate (<a href='/en-us/products/cell-lysates/jurkat-whole-cell-lysate-ab7899'>ab7899</a>) at 10 µg with Human eIF3e peptide (<a href='/en-us/products/unavailable/human-eif3e-peptide-ab36902'>ab36902</a>)

Lane 7:

Western blot - A-431 whole cell lysate (<a href='/en-us/products/cell-lysates/a-431-whole-cell-lysate-ab7909'>ab7909</a>) at 10 µg with Human eIF3e peptide (<a href='/en-us/products/unavailable/human-eif3e-peptide-ab36902'>ab36902</a>)

Lane 8:

Western blot - HEK-293 whole cell lysate (<a href='/en-us/products/cell-lysates/hek-293-whole-cell-lysate-ab7902'>ab7902</a>) at 10 µg with Human eIF3e peptide (<a href='/en-us/products/unavailable/human-eif3e-peptide-ab36902'>ab36902</a>)

Secondary

All lanes:

IRDye 680 Conjugated Goat Anti-Rabbit IgG (H+L) at 1/10000 dilution

Predicted band size: 52 kDa

Observed band size: 40 kDa,48 kDa

false

Key facts

Host species

Rabbit

Clonality

Polyclonal

Isotype

IgG

Carrier free

No

Reacts with

Human

Applications

IHC-P, IP, WB, ICC/IF

applications

Immunogen

The exact immunogen used to generate this antibody is proprietary information.

Reactivity data

{ "title": "Reactivity Data", "filters": { "stats": ["", "Species", "Dilution Info", "Notes"], "tabs": { "all-applications": {"fullname" : "All Applications", "shortname": "All Applications"}, "ICCIF" : {"fullname" : "Immunocytochemistry/ Immunofluorescence", "shortname":"ICC/IF"}, "IP" : {"fullname" : "Immunoprecipitation", "shortname":"IP"}, "WB" : {"fullname" : "Western blot", "shortname":"WB"}, "IHCP" : {"fullname" : "Immunohistochemistry (Formalin/PFA-fixed paraffin-embedded sections)", "shortname":"IHC-P"} }, "product-promise": { "all": "all", "testedAndGuaranteed": "tested", "guaranteed": "expected", "predicted": "predicted", "notRecommended": "not-recommended" } }, "values": { "Human": { "ICCIF-species-checked": "testedAndGuaranteed", "ICCIF-species-dilution-info": "1 µg/mL", "ICCIF-species-notes": "<p></p>", "IP-species-checked": "testedAndGuaranteed", "IP-species-dilution-info": "", "IP-species-notes": "<p></p>", "WB-species-checked": "testedAndGuaranteed", "WB-species-dilution-info": "1 µg/mL", "WB-species-notes": "<p></p>", "IHCP-species-checked": "testedAndGuaranteed", "IHCP-species-dilution-info": "", "IHCP-species-notes": "<p></p>" }, "Mouse": { "ICCIF-species-checked": "predicted", "ICCIF-species-dilution-info": "", "ICCIF-species-notes": "", "IP-species-checked": "predicted", "IP-species-dilution-info": "", "IP-species-notes": "", "WB-species-checked": "predicted", "WB-species-dilution-info": "", "WB-species-notes": "", "IHCP-species-checked": "predicted", "IHCP-species-dilution-info": "", "IHCP-species-notes": "" }, "Rat": { "ICCIF-species-checked": "predicted", "ICCIF-species-dilution-info": "", "ICCIF-species-notes": "", "IP-species-checked": "predicted", "IP-species-dilution-info": "", "IP-species-notes": "", "WB-species-checked": "predicted", "WB-species-dilution-info": "", "WB-species-notes": "", "IHCP-species-checked": "predicted", "IHCP-species-dilution-info": "", "IHCP-species-notes": "" }, "Chicken": { "ICCIF-species-checked": "predicted", "ICCIF-species-dilution-info": "", "ICCIF-species-notes": "", "IP-species-checked": "predicted", "IP-species-dilution-info": "", "IP-species-notes": "", "WB-species-checked": "predicted", "WB-species-dilution-info": "", "WB-species-notes": "", "IHCP-species-checked": "predicted", "IHCP-species-dilution-info": "", "IHCP-species-notes": "" }, "Cow": { "ICCIF-species-checked": "predicted", "ICCIF-species-dilution-info": "", "ICCIF-species-notes": "", "IP-species-checked": "predicted", "IP-species-dilution-info": "", "IP-species-notes": "", "WB-species-checked": "predicted", "WB-species-dilution-info": "", "WB-species-notes": "", "IHCP-species-checked": "predicted", "IHCP-species-dilution-info": "", "IHCP-species-notes": "" }, "Xenopus laevis": { "ICCIF-species-checked": "predicted", "ICCIF-species-dilution-info": "", "ICCIF-species-notes": "", "IP-species-checked": "predicted", "IP-species-dilution-info": "", "IP-species-notes": "", "WB-species-checked": "predicted", "WB-species-dilution-info": "", "WB-species-notes": "", "IHCP-species-checked": "predicted", "IHCP-species-dilution-info": "", "IHCP-species-notes": "" }, "Zebrafish": { "ICCIF-species-checked": "predicted", "ICCIF-species-dilution-info": "", "ICCIF-species-notes": "", "IP-species-checked": "predicted", "IP-species-dilution-info": "", "IP-species-notes": "", "WB-species-checked": "predicted", "WB-species-dilution-info": "", "WB-species-notes": "", "IHCP-species-checked": "predicted", "IHCP-species-dilution-info": "", "IHCP-species-notes": "" } } }

Properties and storage information

Form
Liquid
Purification technique
Affinity purification Immunogen
Storage buffer
pH: 7.4 Preservative: 0.02% Sodium azide Constituents: PBS, 1% BSA
Shipped at conditions
Blue Ice
Appropriate short-term storage duration
1-2 weeks
Appropriate short-term storage conditions
+4°C
Appropriate long-term storage conditions
-20°C
Aliquoting information
Upon delivery aliquot
Storage information
Avoid freeze / thaw cycle

Supplementary information

This supplementary information is collated from multiple sources and compiled automatically.

EIF3e also known as eukaryotic translation initiation factor 3 subunit E is a critical component of the eIF3 complex. This protein has a mass of approximately 60 kDa and is expressed in a wide range of tissues. eIF3e plays a mechanical role in the translation initiation process facilitating the assembly of the pre-initiation complex by binding to the 40S ribosomal subunit and mRNA. It is essential for the correct positioning of mRNA in the ribosome enabling efficient start codon recognition.
Biological function summary

EIF3e participates in translation as part of the eIF3 complex which includes other subunits like eIF3a eIF3b and eIF3c. The complex facilitates ribosomal scanning and joining of the 60S ribosomal subunit promoting efficient protein synthesis. eIF3e specifically stabilizes the interaction of the initiation complex with mRNA ensuring accurate translation initiation. It is abundantly expressed in highly proliferative tissues reflecting its role in cell growth and division regulation.

Pathways

EIF3e plays a significant role in the mTOR signaling pathway and the Wnt signaling pathway. Both pathways regulate cell growth and proliferation which are important for development and tumorigenesis. eIF3e interacts with proteins like mTOR and beta-catenin that are integral to these pathways. It influences translation efficiency and has implications for protein synthesis regulation aligned with cellular growth cues.

EIF3e has connections with cancer and viral infections. Aberrant expression and mutations of eIF3e occur in various cancers affecting normal translation control and promoting tumorigenesis. eIF3e also relates to viral pathogenesis as some viruses hijack the host's translation machinery involving eIF3e for viral protein synthesis. These interactions can involve proteins like p53 in cancer where eIF3e's dysregulation contributes to cell cycle alterations and oncogenesis.

Product protocols

For this product, it's our understanding that no specific protocols are required. You can visit:

Target data

Component of the eukaryotic translation initiation factor 3 (eIF-3) complex, which is required for several steps in the initiation of protein synthesis (PubMed : 17581632, PubMed : 25849773, PubMed : 27462815). The eIF-3 complex associates with the 40S ribosome and facilitates the recruitment of eIF-1, eIF-1A, eIF-2 : GTP : methionyl-tRNAi and eIF-5 to form the 43S pre-initiation complex (43S PIC). The eIF-3 complex stimulates mRNA recruitment to the 43S PIC and scanning of the mRNA for AUG recognition. The eIF-3 complex is also required for disassembly and recycling of post-termination ribosomal complexes and subsequently prevents premature joining of the 40S and 60S ribosomal subunits prior to initiation (PubMed : 17581632). The eIF-3 complex specifically targets and initiates translation of a subset of mRNAs involved in cell proliferation, including cell cycling, differentiation and apoptosis, and uses different modes of RNA stem-loop binding to exert either translational activation or repression (PubMed : 25849773). Required for nonsense-mediated mRNA decay (NMD); may act in conjunction with UPF2 to divert mRNAs from translation to the NMD pathway (PubMed : 17468741). May interact with MCM7 and EPAS1 and regulate the proteasome-mediated degradation of these proteins (PubMed : 17310990, PubMed : 17324924).
See full target information EIF3E

Publications (14)

Recent publications for all applications. Explore the full list and refine your search

Science advances 10:eadl5638 PubMed39018414

2024

Repression of mRNA translation initiation by GIGYF1 via disrupting the eIF3-eIF4G1 interaction.

Applications

Unspecified application

Species

Unspecified reactive species

Jung-Hyun Choi,Jun Luo,Geoffrey G Hesketh,Shuyue Guo,Angelos Pistofidis,Reese Jalal Ladak,Yuxin An,Parisa Naeli,Tommy Alain,T Martin Schmeing,Anne-Claude Gingras,Thomas Duchaine,Xu Zhang,Nahum Sonenberg,Seyed Mehdi Jafarnejad

Haematologica 109:1893-1908 PubMed38124661

2024

Epigenetic dysregulation of eukaryotic initiation factor 3 subunit E (eIF3E) by lysine methyltransferase REIIBP confers a pro-inflammatory phenotype in t(4;14) myeloma.

Applications

Unspecified application

Species

Unspecified reactive species

Phyllis S Y Chong,Jing Yuan Chooi,Sze Lynn Julia Lim,Tae-Hoon Chung,Reinhard Brunmeir,Aaron Chung Yong Leow,Sabrina Hui Min Toh,Kalpnaa Balan,Muhamad Irfan Bin Azaman,Zhengwei Wu,Nagavidya Subramaniam,Leah A Vardy,Wee-Joo Chng

Biology open 13: PubMed38299702

2024

Protein complexes from mouse and chick brain that interact with phospho-KXGS motif tau/microtubule associated protein antibody.

Applications

Unspecified application

Species

Unspecified reactive species

D S Davies,A T Arthur,H L Aitken,B Crossett,C S Goldsbury

Cell reports 42:112701 PubMed37384533

2023

ECPAS/Ecm29-mediated 26S proteasome disassembly is an adaptive response to glucose starvation.

Applications

Unspecified application

Species

Unspecified reactive species

Won Hoon Choi,Yejin Yun,Insuk Byun,Sumin Kim,Seho Lee,Jiho Sim,Shahar Levi,Seo Hyeong Park,Jeongmoo Jun,Oded Kleifeld,Kwang Pyo Kim,Dohyun Han,Tomoki Chiba,Chaok Seok,Yong Tae Kwon,Michael H Glickman,Min Jae Lee

Proceedings of the National Academy of Sciences of the United States of America 118: PubMed33568529

2021

Local translation in nuclear condensate amyloid bodies.

Applications

Unspecified application

Species

Unspecified reactive species

Phaedra R Theodoridis,Michael Bokros,Dane Marijan,Nathan C Balukoff,Dazhi Wang,Chloe C Kirk,Taylor D Budine,Harris D Goldsmith,Miling Wang,Timothy E Audas,Stephen Lee

Molecular cell 79:546-560.e7 PubMed32589964

2020

Selective Translation Complex Profiling Reveals Staged Initiation and Co-translational Assembly of Initiation Factor Complexes.

Applications

Unspecified application

Species

Unspecified reactive species

Susan Wagner,Anna Herrmannová,Vladislava Hronová,Stanislava Gunišová,Neelam D Sen,Ross D Hannan,Alan G Hinnebusch,Nikolay E Shirokikh,Thomas Preiss,Leoš Shivaya Valášek

Scientific reports 8:8944 PubMed29895936

2018

Int6/eIF3e Silencing Promotes Placenta Angiogenesis in a Rat Model of Pre-eclampsia.

Applications

IHC-P

Species

Rat

Qin Li,Baolin Yao,Alexander Endler,Li Chen,Futoshi Shibasaki,Haidong Cheng

Journal of Cancer 9:1135-1144 PubMed29675094

2018

Up-regulation Of EIF3e Is Associated with The Progression of Esophageal Squamous Cell Carcinoma and Poor Prognosis in Patients.

Applications

Unspecified application

Species

Unspecified reactive species

Fengkai Xu,Jie Gu,Lin Wang,Ronghua Liu,Yunfeng Yuan,Hao Wang,Jiahao Jiang,Wei Mao,Chunlai Lu,Di Ge

Acta neuropathologica 135:427-443 PubMed29302778

2018

A zebrafish model for C9orf72 ALS reveals RNA toxicity as a pathogenic mechanism.

Applications

Unspecified application

Species

Unspecified reactive species

Bart Swinnen,Andre Bento-Abreu,Tania F Gendron,Steven Boeynaems,Elke Bogaert,Rik Nuyts,Mieke Timmers,Wendy Scheveneels,Nicole Hersmus,Jiou Wang,Sarah Mizielinska,Adrian M Isaacs,Leonard Petrucelli,Robin Lemmens,Philip Van Damme,Ludo Van Den Bosch,Wim Robberecht

Nucleic acids research 44:10772-10788 PubMed27924037

2016

Human eIF3b and eIF3a serve as the nucleation core for the assembly of eIF3 into two interconnected modules: the yeast-like core and the octamer.

Applications

Unspecified application

Species

Unspecified reactive species

Susan Wagner,Anna Herrmannová,Darina Šikrová,Leoš Shivaya Valášek
View all publications

Product promise

We are committed to supporting your work with high-quality reagents, and we're here for you every step of the way. In the unlikely event that one of our products does not perform as expected, you're protected by our Product Promise.
For full details, please see our Terms & Conditions

Please note: All products are 'FOR RESEARCH USE ONLY. NOT FOR USE IN DIAGNOSTIC OR THERAPEUTIC PROCEDURES'.

For licensing inquiries, please contact partnerships@abcam.com