JavaScript is disabled in your browser. Please enable JavaScript to view this website.
AB248752

Anti-eIF3e antibody [EPR6878(2)] - BSA and Azide free

Be the first to review this product! Submit a review

|

(1 Publication)

Rabbit Recombinant Monoclonal EIF3E antibody. Carrier free. Suitable for IHC-P, ICC/IF, WB and reacts with Human samples. Cited in 1 publication.

View Alternative Names

EIF3S6, INT6, EIF3E, Eukaryotic translation initiation factor 3 subunit E, eIF3e, Eukaryotic translation initiation factor 3 subunit 6, Viral integration site protein INT-6 homolog, eIF-3 p48

3 Images
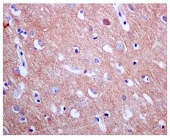
Immunohistochemistry (Formalin/PFA-fixed paraffin-embedded sections) - Anti-eIF3e antibody [EPR6878(2)] - BSA and Azide free (AB248752)
  • IHC-P

Unknown

Immunohistochemistry (Formalin/PFA-fixed paraffin-embedded sections) - Anti-eIF3e antibody [EPR6878(2)] - BSA and Azide free (AB248752)

This data was developed using ab134958, the same antibody clone in a different buffer formulation.

Immunohistochemical analysis of paraffin-embedded Human brain tissue labelling eIF3e with ab134958 at 1/50 dilution.

Perform heat mediated antigen retrieval with citrate buffer pH 6 before commencing with IHC staining protocol.

Immunocytochemistry/ Immunofluorescence - Anti-eIF3e antibody [EPR6878(2)] - BSA and Azide free (AB248752)
  • ICC/IF

Unknown

Immunocytochemistry/ Immunofluorescence - Anti-eIF3e antibody [EPR6878(2)] - BSA and Azide free (AB248752)

This data was developed using ab134958, the same antibody clone in a different buffer formulation.Immunofluorescent analysis of 293T cells labelling eIF3e with ab134958 at 1/250 dilution.

Western blot - Anti-eIF3e antibody [EPR6878(2)] - BSA and Azide free (AB248752)
  • WB

Unknown

Western blot - Anti-eIF3e antibody [EPR6878(2)] - BSA and Azide free (AB248752)

This data was developed using ab134958, the same antibody clone in a different buffer formulation.

All lanes:

Western blot - Anti-eIF3e antibody [EPR6878(2)] (<a href='/en-us/products/primary-antibodies/eif3e-antibody-epr68782-ab134958'>ab134958</a>) at 1/1000 dilution

Lane 1:

Jurkat cell lysate at 10 µg

Lane 2:

293T (Human embryonic kidney epithelial cell) cell lysate at 10 µg

Lane 3:

BxPC-3 cell lysate at 10 µg

Lane 4:

Saos 2 cell lysate at 10 µg

Secondary

All lanes:

HRP labelled goat anti rabbit at 1/2000 dilution

Predicted band size: 52 kDa

false

Key facts

Host species

Rabbit

Clonality

Monoclonal

Clone number

EPR6878(2)

Isotype

IgG

Carrier free

Yes

Reacts with

Human

Applications

WB, IHC-P, ICC/IF

applications

Immunogen

The exact immunogen used to generate this antibody is proprietary information.

Reactivity data

{ "title": "Reactivity Data", "filters": { "stats": ["", "Species", "Dilution Info", "Notes"], "tabs": { "all-applications": {"fullname" : "All Applications", "shortname": "All Applications"}, "IHCP" : {"fullname" : "Immunohistochemistry (Formalin/PFA-fixed paraffin-embedded sections)", "shortname":"IHC-P"}, "ICCIF" : {"fullname" : "Immunocytochemistry/ Immunofluorescence", "shortname":"ICC/IF"}, "FlowCyt" : {"fullname" : "Flow Cytometry", "shortname":"Flow Cyt"}, "WB" : {"fullname" : "Western blot", "shortname":"WB"} }, "product-promise": { "all": "all", "testedAndGuaranteed": "tested", "guaranteed": "expected", "predicted": "predicted", "notRecommended": "not-recommended" } }, "values": { "Human": { "IHCP-species-checked": "testedAndGuaranteed", "IHCP-species-dilution-info": "", "IHCP-species-notes": "<p></p>", "ICCIF-species-checked": "testedAndGuaranteed", "ICCIF-species-dilution-info": "", "ICCIF-species-notes": "<p></p>", "FlowCyt-species-checked": "notRecommended", "FlowCyt-species-dilution-info": "", "FlowCyt-species-notes": "<p></p>", "WB-species-checked": "testedAndGuaranteed", "WB-species-dilution-info": "", "WB-species-notes": "<p></p>" }, "Mouse": { "IHCP-species-checked": "predicted", "IHCP-species-dilution-info": "", "IHCP-species-notes": "", "ICCIF-species-checked": "predicted", "ICCIF-species-dilution-info": "", "ICCIF-species-notes": "", "FlowCyt-species-checked": "notRecommended", "FlowCyt-species-dilution-info": "", "FlowCyt-species-notes": "", "WB-species-checked": "predicted", "WB-species-dilution-info": "", "WB-species-notes": "" }, "Rat": { "IHCP-species-checked": "predicted", "IHCP-species-dilution-info": "", "IHCP-species-notes": "", "ICCIF-species-checked": "predicted", "ICCIF-species-dilution-info": "", "ICCIF-species-notes": "", "FlowCyt-species-checked": "notRecommended", "FlowCyt-species-dilution-info": "", "FlowCyt-species-notes": "", "WB-species-checked": "predicted", "WB-species-dilution-info": "", "WB-species-notes": "" } } }

Product details

ab248752 is the carrier-free version of ab134958.

Conjugation ready
Our carrier-free antibodies are typically supplied in a PBS-only formulation, purified and free of BSA, sodium azide and glycerol. This conjugation-ready format is designed for use with fluorochromes, metal isotopes, oligonucleotides, and enzymes, which makes them ideal for antibody labelling, functional and cell-based assays, flow-based assays (e.g. mass cytometry) and Multiplex Imaging applications.

Use our conjugation kits for antibody conjugates that are ready-to-use in as little as 20 minutes with 1 minute hands-on-time and 100% antibody recovery: available for fluorescent dyes, HRP, biotin and gold.

Compatibility
This product is compatible with the Maxpar® Antibody Labeling Kit from Fluidigm, without the need for antibody preparation. Maxpar® is a trademark of Fluidigm Canada Inc.

Properties and storage information

Form
Liquid
Purification technique
Affinity purification Protein A
Storage buffer
pH: 7.2 - 7.4 Constituents: PBS
Shipped at conditions
Blue Ice
Appropriate short-term storage conditions
+4°C
Appropriate long-term storage conditions
+4°C
Storage information
Do Not Freeze

Supplementary information

This supplementary information is collated from multiple sources and compiled automatically.

EIF3e also known as eukaryotic translation initiation factor 3 subunit E is a critical component of the eIF3 complex. This protein has a mass of approximately 60 kDa and is expressed in a wide range of tissues. eIF3e plays a mechanical role in the translation initiation process facilitating the assembly of the pre-initiation complex by binding to the 40S ribosomal subunit and mRNA. It is essential for the correct positioning of mRNA in the ribosome enabling efficient start codon recognition.
Biological function summary

EIF3e participates in translation as part of the eIF3 complex which includes other subunits like eIF3a eIF3b and eIF3c. The complex facilitates ribosomal scanning and joining of the 60S ribosomal subunit promoting efficient protein synthesis. eIF3e specifically stabilizes the interaction of the initiation complex with mRNA ensuring accurate translation initiation. It is abundantly expressed in highly proliferative tissues reflecting its role in cell growth and division regulation.

Pathways

EIF3e plays a significant role in the mTOR signaling pathway and the Wnt signaling pathway. Both pathways regulate cell growth and proliferation which are important for development and tumorigenesis. eIF3e interacts with proteins like mTOR and beta-catenin that are integral to these pathways. It influences translation efficiency and has implications for protein synthesis regulation aligned with cellular growth cues.

EIF3e has connections with cancer and viral infections. Aberrant expression and mutations of eIF3e occur in various cancers affecting normal translation control and promoting tumorigenesis. eIF3e also relates to viral pathogenesis as some viruses hijack the host's translation machinery involving eIF3e for viral protein synthesis. These interactions can involve proteins like p53 in cancer where eIF3e's dysregulation contributes to cell cycle alterations and oncogenesis.

Product protocols

For this product, it's our understanding that no specific protocols are required. You can visit:

Target data

Component of the eukaryotic translation initiation factor 3 (eIF-3) complex, which is required for several steps in the initiation of protein synthesis (PubMed : 17581632, PubMed : 25849773, PubMed : 27462815). The eIF-3 complex associates with the 40S ribosome and facilitates the recruitment of eIF-1, eIF-1A, eIF-2 : GTP : methionyl-tRNAi and eIF-5 to form the 43S pre-initiation complex (43S PIC). The eIF-3 complex stimulates mRNA recruitment to the 43S PIC and scanning of the mRNA for AUG recognition. The eIF-3 complex is also required for disassembly and recycling of post-termination ribosomal complexes and subsequently prevents premature joining of the 40S and 60S ribosomal subunits prior to initiation (PubMed : 17581632). The eIF-3 complex specifically targets and initiates translation of a subset of mRNAs involved in cell proliferation, including cell cycling, differentiation and apoptosis, and uses different modes of RNA stem-loop binding to exert either translational activation or repression (PubMed : 25849773). Required for nonsense-mediated mRNA decay (NMD); may act in conjunction with UPF2 to divert mRNAs from translation to the NMD pathway (PubMed : 17468741). May interact with MCM7 and EPAS1 and regulate the proteasome-mediated degradation of these proteins (PubMed : 17310990, PubMed : 17324924).
See full target information EIF3E

Publications (1)

Recent publications for all applications. Explore the full list and refine your search

NPJ precision oncology 7:95 PubMed37723227

2023

Targeted single-cell proteomic analysis identifies new liquid biopsy biomarkers associated with multiple myeloma.

Applications

Unspecified application

Species

Unspecified reactive species

Sonia M Setayesh,Libere J Ndacayisaba,Kate E Rappard,Valerie Hennes,Luz Yurany Moreno Rueda,Guilin Tang,Pei Lin,Robert Z Orlowski,David E Symer,Elisabet E Manasanch,Stephanie N Shishido,Peter Kuhn
View all publications

Product promise

We are committed to supporting your work with high-quality reagents, and we're here for you every step of the way. In the unlikely event that one of our products does not perform as expected, you're protected by our Product Promise.
For full details, please see our Terms & Conditions

Please note: All products are 'FOR RESEARCH USE ONLY. NOT FOR USE IN DIAGNOSTIC OR THERAPEUTIC PROCEDURES'.

For licensing inquiries, please contact partnerships@abcam.com