JavaScript is disabled in your browser. Please enable JavaScript to view this website.
AB176853

Anti-EIF3F antibody

Be the first to review this product! Submit a review

|

(2 Publications)

Rabbit Polyclonal EIF3F antibody. Suitable for IP, WB, IHC-P and reacts with Human, Mouse samples. Cited in 2 publications. Immunogen corresponding to Synthetic Peptide within Human EIF3F aa 300 to C-terminus.

View Alternative Names

EIF3S5, EIF3F, Eukaryotic translation initiation factor 3 subunit F, eIF3f, Deubiquitinating enzyme eIF3f, Eukaryotic translation initiation factor 3 subunit 5, eIF-3-epsilon, eIF3 p47

3 Images
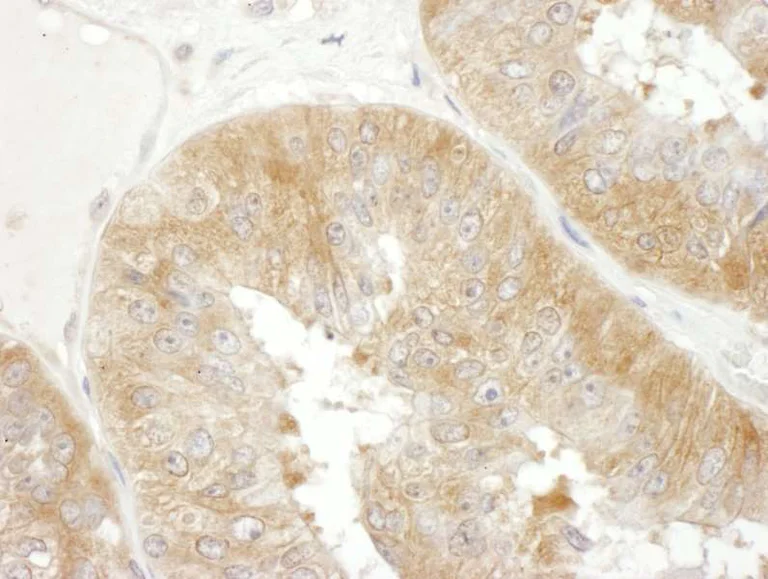
Immunohistochemistry (Formalin/PFA-fixed paraffin-embedded sections) - Anti-EIF3F antibody (AB176853)
  • IHC-P

Unknown

Immunohistochemistry (Formalin/PFA-fixed paraffin-embedded sections) - Anti-EIF3F antibody (AB176853)

Immunohistochemistry (Formalin/PFA-fixed paraffin-embedded sections) analysis of Human ovarian carcinoma tissue labelling eIF3F with ab176853 at 1 μg/mL.

Immunoprecipitation - Anti-EIF3F antibody (AB176853)
  • IP

Supplier Data

Immunoprecipitation - Anti-EIF3F antibody (AB176853)

Detection of EIF3F in Immunoprecipitates of HeLa whole cell lysates (1 mg for IP, 20% of IP loaded) using ab176853 at 6 μg/mg lysate for IP (Lane 1). For WB detection, ab176853 was used at 0.4 μg/ml. Lane 2 represents control IgG IP. Detection : Chemiluminescence with an exposure time of 30 seconds.

All lanes:

Immunoprecipitation - Anti-EIF3F antibody (ab176853)

Predicted band size: 38 kDa

false

Western blot - Anti-EIF3F antibody (AB176853)
  • WB

Supplier Data

Western blot - Anti-EIF3F antibody (AB176853)

All lanes:

Western blot - Anti-EIF3F antibody (ab176853) at 0.04 µg/mL

Lane 1:

HeLa whole cell lysate at 50 µg

Lane 2:

HeLa whole cell lysate at 15 µg

Lane 3:

HeLa whole cell lysate at 5 µg

Lane 4:

NIH 3T3 whole cell lysate at 50 µg

Predicted band size: 38 kDa

true

Exposure time: 3min

Key facts

Host species

Rabbit

Clonality

Polyclonal

Isotype

IgG

Carrier free

No

Reacts with

Mouse, Human

Applications

WB, IHC-P, IP

applications

Immunogen

Synthetic Peptide within Human EIF3F aa 300 to C-terminus. The exact immunogen used to generate this antibody is proprietary information.

O00303

Reactivity data

{ "title": "Reactivity Data", "filters": { "stats": ["", "Species", "Dilution Info", "Notes"], "tabs": { "all-applications": {"fullname" : "All Applications", "shortname": "All Applications"}, "IP" : {"fullname" : "Immunoprecipitation", "shortname":"IP"}, "WB" : {"fullname" : "Western blot", "shortname":"WB"}, "IHCP" : {"fullname" : "Immunohistochemistry (Formalin/PFA-fixed paraffin-embedded sections)", "shortname":"IHC-P"} }, "product-promise": { "all": "all", "testedAndGuaranteed": "tested", "guaranteed": "expected", "predicted": "predicted", "notRecommended": "not-recommended" } }, "values": { "Human": { "IP-species-checked": "testedAndGuaranteed", "IP-species-dilution-info": "2-5 µg/mg of lysate", "IP-species-notes": "<p></p>", "WB-species-checked": "testedAndGuaranteed", "WB-species-dilution-info": "1/2000 - 1/10000", "WB-species-notes": "<p></p>", "IHCP-species-checked": "testedAndGuaranteed", "IHCP-species-dilution-info": "1 µg/mL", "IHCP-species-notes": "<p></p>" }, "Mouse": { "IP-species-checked": "guaranteed", "IP-species-dilution-info": "", "IP-species-notes": "", "WB-species-checked": "testedAndGuaranteed", "WB-species-dilution-info": "1/2000 - 1/10000", "WB-species-notes": "<p></p>", "IHCP-species-checked": "guaranteed", "IHCP-species-dilution-info": "", "IHCP-species-notes": "" }, "Rat": { "IP-species-checked": "predicted", "IP-species-dilution-info": "", "IP-species-notes": "", "WB-species-checked": "predicted", "WB-species-dilution-info": "", "WB-species-notes": "", "IHCP-species-checked": "predicted", "IHCP-species-dilution-info": "", "IHCP-species-notes": "" }, "Chimpanzee": { "IP-species-checked": "predicted", "IP-species-dilution-info": "", "IP-species-notes": "", "WB-species-checked": "predicted", "WB-species-dilution-info": "", "WB-species-notes": "", "IHCP-species-checked": "predicted", "IHCP-species-dilution-info": "", "IHCP-species-notes": "" }, "Cow": { "IP-species-checked": "predicted", "IP-species-dilution-info": "", "IP-species-notes": "", "WB-species-checked": "predicted", "WB-species-dilution-info": "", "WB-species-notes": "", "IHCP-species-checked": "predicted", "IHCP-species-dilution-info": "", "IHCP-species-notes": "" }, "Cynomolgus monkey": { "IP-species-checked": "predicted", "IP-species-dilution-info": "", "IP-species-notes": "", "WB-species-checked": "predicted", "WB-species-dilution-info": "", "WB-species-notes": "", "IHCP-species-checked": "predicted", "IHCP-species-dilution-info": "", "IHCP-species-notes": "" }, "Dog": { "IP-species-checked": "predicted", "IP-species-dilution-info": "", "IP-species-notes": "", "WB-species-checked": "predicted", "WB-species-dilution-info": "", "WB-species-notes": "", "IHCP-species-checked": "predicted", "IHCP-species-dilution-info": "", "IHCP-species-notes": "" }, "Guinea pig": { "IP-species-checked": "predicted", "IP-species-dilution-info": "", "IP-species-notes": "", "WB-species-checked": "predicted", "WB-species-dilution-info": "", "WB-species-notes": "", "IHCP-species-checked": "predicted", "IHCP-species-dilution-info": "", "IHCP-species-notes": "" }, "Horse": { "IP-species-checked": "predicted", "IP-species-dilution-info": "", "IP-species-notes": "", "WB-species-checked": "predicted", "WB-species-dilution-info": "", "WB-species-notes": "", "IHCP-species-checked": "predicted", "IHCP-species-dilution-info": "", "IHCP-species-notes": "" }, "Orangutan": { "IP-species-checked": "predicted", "IP-species-dilution-info": "", "IP-species-notes": "", "WB-species-checked": "predicted", "WB-species-dilution-info": "", "WB-species-notes": "", "IHCP-species-checked": "predicted", "IHCP-species-dilution-info": "", "IHCP-species-notes": "" }, "Rabbit": { "IP-species-checked": "predicted", "IP-species-dilution-info": "", "IP-species-notes": "", "WB-species-checked": "predicted", "WB-species-dilution-info": "", "WB-species-notes": "", "IHCP-species-checked": "predicted", "IHCP-species-dilution-info": "", "IHCP-species-notes": "" }, "Rhesus monkey": { "IP-species-checked": "predicted", "IP-species-dilution-info": "", "IP-species-notes": "", "WB-species-checked": "predicted", "WB-species-dilution-info": "", "WB-species-notes": "", "IHCP-species-checked": "predicted", "IHCP-species-dilution-info": "", "IHCP-species-notes": "" } } }

Properties and storage information

Form
Liquid
Purification technique
Affinity purification Immunogen
Purification notes
ab176853 was affinity purified using an epitope specific to EIF3F immobilized on solid support.
Storage buffer
pH: 6.8 - 7.4 Preservative: 0.09% Sodium azide Constituents: 99% Tris buffered saline, 0.1% BSA
Shipped at conditions
Blue Ice
Appropriate short-term storage duration
1-2 weeks
Appropriate short-term storage conditions
+4°C
Appropriate long-term storage conditions
-20°C
Aliquoting information
Upon delivery aliquot
Storage information
Avoid freeze / thaw cycle

Supplementary information

This supplementary information is collated from multiple sources and compiled automatically.

EIF3F also known as eukaryotic translation initiation factor 3 subunit F is a critical component in the initiation of mRNA translation. The molecular weight of EIF3F is approximately 42 kDa. This protein is expressed in various tissues with a higher presence in rapidly dividing cells such as those in the liver and testes. EIF3F plays a mechanical role in the recruitment and assembly of other initiation factors and ribosomal units facilitating the proper positioning of the mRNA on the ribosome.
Biological function summary

EIF3F contributes to the regulation of protein synthesis by being part of the EIF3 complex which is essential for translation initiation. This complex interacts with several other initiation factors to ensure efficient ribosomal translation of mRNA into proteins. EIF3F is involved in maintaining the balance between global protein synthesis and selective translation thereby influencing cell growth and proliferation. Its interaction with ribosomal RNA and other initiation factors helps in stabilizing the pre-initiation complex.

Pathways

EIF3F is integral to the mTOR signaling pathway and the endoplasmic reticulum (ER) stress response pathway. These pathways are central to cellular responses to nutrient availability and misfolded proteins respectively. The mTOR pathway involves EIF3F in regulating cell growth and autophagy through its interaction with other proteins like TSC1/2. In the ER stress response EIF3F works alongside proteins such as ATF4 to control protein synthesis rates during stress conditions.

EIF3F shows associations with cancer and neurodegenerative diseases. In cancer aberrant EIF3F expression can lead to uncontrolled cell growth and tumor formation particularly noted in liver and prostate cancers. It interacts frequently with proteins like c-Myc which are key in oncogenic pathways. In neurodegenerative conditions disruptions in EIF3F and related proteins can affect neural cell survival with links observed in disorders such as amyotrophic lateral sclerosis (ALS). The disruption in EIF3F's role in protein synthesis pathways may contribute to neuronal damage and disease progression.

Product protocols

For this product, it's our understanding that no specific protocols are required. You can visit:

Target data

Component of the eukaryotic translation initiation factor 3 (eIF-3) complex, which is required for several steps in the initiation of protein synthesis (PubMed : 17581632, PubMed : 25849773, PubMed : 27462815). The eIF-3 complex associates with the 40S ribosome and facilitates the recruitment of eIF-1, eIF-1A, eIF-2 : GTP : methionyl-tRNAi and eIF-5 to form the 43S pre-initiation complex (43S PIC). The eIF-3 complex stimulates mRNA recruitment to the 43S PIC and scanning of the mRNA for AUG recognition. The eIF-3 complex is also required for disassembly and recycling of post-termination ribosomal complexes and subsequently prevents premature joining of the 40S and 60S ribosomal subunits prior to initiation (PubMed : 17581632). The eIF-3 complex specifically targets and initiates translation of a subset of mRNAs involved in cell proliferation, including cell cycling, differentiation and apoptosis, and uses different modes of RNA stem-loop binding to exert either translational activation or repression (PubMed : 25849773).. Deubiquitinates activated NOTCH1, promoting its nuclear import, thereby acting as a positive regulator of Notch signaling.
See full target information EIF3F

Publications (2)

Recent publications for all applications. Explore the full list and refine your search

eLife 8: PubMed30632963

2019

Determination of host proteins composing the microenvironment of coronavirus replicase complexes by proximity-labeling.

Applications

Unspecified application

Species

Unspecified reactive species

Philip V'kovski,Markus Gerber,Jenna Kelly,Stephanie Pfaender,Nadine Ebert,Sophie Braga Lagache,Cedric Simillion,Jasmine Portmann,Hanspeter Stalder,Véronique Gaschen,Rémy Bruggmann,Michael H Stoffel,Manfred Heller,Ronald Dijkman,Volker Thiel

The Journal of endocrinology 225:27-37 PubMed25688118

2015

Dexamethasone downregulates caveolin-1 causing muscle atrophy via inhibited insulin signaling.

Applications

WB

Species

Mouse

Young Hoon Son,Seok-Jin Lee,Ki-Baek Lee,Jin-Haeng Lee,Eui Man Jeong,Sun Gun Chung,Sang-Chul Park,In-Gyu Kim
View all publications

Product promise

We are committed to supporting your work with high-quality reagents, and we're here for you every step of the way. In the unlikely event that one of our products does not perform as expected, you're protected by our Product Promise.
For full details, please see our Terms & Conditions

Please note: All products are 'FOR RESEARCH USE ONLY. NOT FOR USE IN DIAGNOSTIC OR THERAPEUTIC PROCEDURES'.

For licensing inquiries, please contact partnerships@abcam.com