JavaScript is disabled in your browser. Please enable JavaScript to view this website.
AB64177

Anti-EIF3F antibody

Be the first to review this product! Submit a review

|

(4 Publications)

Rabbit Polyclonal EIF3F antibody. Suitable for IHC-P, ICC/IF and reacts with Human, Rat samples. Cited in 4 publications. Immunogen corresponding to Synthetic Peptide within Human EIF3F aa 100-150.

View Alternative Names

EIF3S5, EIF3F, Eukaryotic translation initiation factor 3 subunit F, eIF3f, Deubiquitinating enzyme eIF3f, Eukaryotic translation initiation factor 3 subunit 5, eIF-3-epsilon, eIF3 p47

2 Images
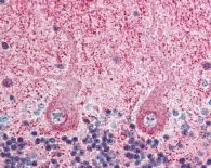
Immunohistochemistry (Formalin/PFA-fixed paraffin-embedded sections) - Anti-EIF3F antibody (AB64177)
  • IHC-P

Unknown

Immunohistochemistry (Formalin/PFA-fixed paraffin-embedded sections) - Anti-EIF3F antibody (AB64177)

ab64177 at 2.5μg/ml staining EIF3F in human brain cerebellum by Immunohistochemistry, Formalin-fixed, paraffin-embedded tissue.

Immunocytochemistry/ Immunofluorescence - Anti-EIF3F antibody (AB64177)
  • ICC/IF

Unknown

Immunocytochemistry/ Immunofluorescence - Anti-EIF3F antibody (AB64177)

ICC/IF image of ab64177 stained PC12 cells. The cells were 4% formaldehyde fixed (10 min) and then incubated in 1%BSA / 10% normal goat serum / 0.3M glycine in 0.1% PBS-Tween for 1h to permeabilise the cells and block non-specific protein-protein interactions. The cells were then incubated with the antibody (ab64177, 1µg/ml) overnight at +4°C. The secondary antibody (green) was Alexa Fluor® 488 goat anti-rabbit IgG (H+L) used at a 1/1000 dilution for 1h. Alexa Fluor® 594 WGA was used to label plasma membranes (red) at a 1/200 dilution for 1h. DAPI was used to stain the cell nuclei (blue) at a concentration of 1.43µM.

Key facts

Host species

Rabbit

Clonality

Polyclonal

Isotype

IgG

Carrier free

No

Reacts with

Rat, Human

Applications

IHC-P, ICC/IF

applications

Immunogen

Synthetic Peptide within Human EIF3F aa 100-150. The exact immunogen used to generate this antibody is proprietary information.

O00303

Reactivity data

{ "title": "Reactivity Data", "filters": { "stats": ["", "Species", "Dilution Info", "Notes"], "tabs": { "all-applications": {"fullname" : "All Applications", "shortname": "All Applications"}, "IHCP" : {"fullname" : "Immunohistochemistry (Formalin/PFA-fixed paraffin-embedded sections)", "shortname":"IHC-P"}, "ICCIF" : {"fullname" : "Immunocytochemistry/ Immunofluorescence", "shortname":"ICC/IF"} }, "product-promise": { "all": "all", "testedAndGuaranteed": "tested", "guaranteed": "expected", "predicted": "predicted", "notRecommended": "not-recommended" } }, "values": { "Human": { "IHCP-species-checked": "testedAndGuaranteed", "IHCP-species-dilution-info": "2.5 µg/mL", "IHCP-species-notes": "<p></p>", "ICCIF-species-checked": "guaranteed", "ICCIF-species-dilution-info": "", "ICCIF-species-notes": "" }, "Rat": { "IHCP-species-checked": "guaranteed", "IHCP-species-dilution-info": "", "IHCP-species-notes": "", "ICCIF-species-checked": "testedAndGuaranteed", "ICCIF-species-dilution-info": "", "ICCIF-species-notes": "<p></p>" }, "Cynomolgus monkey": { "IHCP-species-checked": "predicted", "IHCP-species-dilution-info": "", "IHCP-species-notes": "", "ICCIF-species-checked": "predicted", "ICCIF-species-dilution-info": "", "ICCIF-species-notes": "" } } }

Properties and storage information

Form
Liquid
Purification technique
Affinity purification Immunogen
Storage buffer
pH: 7.2 Preservative: 0.01% Sodium azide Constituents: 0.87% Sodium chloride, 0.42% Tripotassium orthophosphate
Shipped at conditions
Blue Ice
Appropriate short-term storage conditions
+4°C
Appropriate long-term storage conditions
-20°C
Aliquoting information
Upon delivery aliquot
Storage information
Avoid freeze / thaw cycle

Supplementary information

This supplementary information is collated from multiple sources and compiled automatically.

EIF3F also known as eukaryotic translation initiation factor 3 subunit F is a critical component in the initiation of mRNA translation. The molecular weight of EIF3F is approximately 42 kDa. This protein is expressed in various tissues with a higher presence in rapidly dividing cells such as those in the liver and testes. EIF3F plays a mechanical role in the recruitment and assembly of other initiation factors and ribosomal units facilitating the proper positioning of the mRNA on the ribosome.
Biological function summary

EIF3F contributes to the regulation of protein synthesis by being part of the EIF3 complex which is essential for translation initiation. This complex interacts with several other initiation factors to ensure efficient ribosomal translation of mRNA into proteins. EIF3F is involved in maintaining the balance between global protein synthesis and selective translation thereby influencing cell growth and proliferation. Its interaction with ribosomal RNA and other initiation factors helps in stabilizing the pre-initiation complex.

Pathways

EIF3F is integral to the mTOR signaling pathway and the endoplasmic reticulum (ER) stress response pathway. These pathways are central to cellular responses to nutrient availability and misfolded proteins respectively. The mTOR pathway involves EIF3F in regulating cell growth and autophagy through its interaction with other proteins like TSC1/2. In the ER stress response EIF3F works alongside proteins such as ATF4 to control protein synthesis rates during stress conditions.

EIF3F shows associations with cancer and neurodegenerative diseases. In cancer aberrant EIF3F expression can lead to uncontrolled cell growth and tumor formation particularly noted in liver and prostate cancers. It interacts frequently with proteins like c-Myc which are key in oncogenic pathways. In neurodegenerative conditions disruptions in EIF3F and related proteins can affect neural cell survival with links observed in disorders such as amyotrophic lateral sclerosis (ALS). The disruption in EIF3F's role in protein synthesis pathways may contribute to neuronal damage and disease progression.

Product protocols

For this product, it's our understanding that no specific protocols are required. You can visit:

Target data

Component of the eukaryotic translation initiation factor 3 (eIF-3) complex, which is required for several steps in the initiation of protein synthesis (PubMed : 17581632, PubMed : 25849773, PubMed : 27462815). The eIF-3 complex associates with the 40S ribosome and facilitates the recruitment of eIF-1, eIF-1A, eIF-2 : GTP : methionyl-tRNAi and eIF-5 to form the 43S pre-initiation complex (43S PIC). The eIF-3 complex stimulates mRNA recruitment to the 43S PIC and scanning of the mRNA for AUG recognition. The eIF-3 complex is also required for disassembly and recycling of post-termination ribosomal complexes and subsequently prevents premature joining of the 40S and 60S ribosomal subunits prior to initiation (PubMed : 17581632). The eIF-3 complex specifically targets and initiates translation of a subset of mRNAs involved in cell proliferation, including cell cycling, differentiation and apoptosis, and uses different modes of RNA stem-loop binding to exert either translational activation or repression (PubMed : 25849773).. Deubiquitinates activated NOTCH1, promoting its nuclear import, thereby acting as a positive regulator of Notch signaling.
See full target information EIF3F

Publications (4)

Recent publications for all applications. Explore the full list and refine your search

Proceedings of the National Academy of Sciences of the United States of America 118: PubMed33568529

2021

Local translation in nuclear condensate amyloid bodies.

Applications

Unspecified application

Species

Unspecified reactive species

Phaedra R Theodoridis,Michael Bokros,Dane Marijan,Nathan C Balukoff,Dazhi Wang,Chloe C Kirk,Taylor D Budine,Harris D Goldsmith,Miling Wang,Timothy E Audas,Stephen Lee

Oncogene 39:617-636 PubMed31527668

2019

Nuclear control of lung cancer cells migration, invasion and bioenergetics by eukaryotic translation initiation factor 3F.

Applications

Unspecified application

Species

Unspecified reactive species

Pauline Esteves,Laetitia Dard,Aurélia Brillac,Christophe Hubert,Saharnaz Sarlak,Benoît Rousseau,Elodie Dumon,Julien Izotte,Marc Bonneu,Didier Lacombe,Jean-William Dupuy,Nivea Amoedo,Rodrigue Rossignol

Developmental cell 45:712-725.e6 PubMed29920276

2018

Twist1 Activation in Muscle Progenitor Cells Causes Muscle Loss Akin to Cancer Cachexia.

Applications

Unspecified application

Species

Unspecified reactive species

Parash Parajuli,Santosh Kumar,Audrey Loumaye,Purba Singh,Sailaja Eragamreddy,Thien Ly Nguyen,Seval Ozkan,Mohammed S Razzaque,Céline Prunier,Jean-Paul Thissen,Azeddine Atfi

American journal of physiology. Regulatory, integr 299:R935-44 PubMed20554928

2010

BCATm deficiency ameliorates endotoxin-induced decrease in muscle protein synthesis and improves survival in septic mice.

Applications

Unspecified application

Species

Unspecified reactive species

Charles H Lang,Christopher J Lynch,Thomas C Vary
View all publications

Product promise

We are committed to supporting your work with high-quality reagents, and we're here for you every step of the way. In the unlikely event that one of our products does not perform as expected, you're protected by our Product Promise.
For full details, please see our Terms & Conditions

Please note: All products are 'FOR RESEARCH USE ONLY. NOT FOR USE IN DIAGNOSTIC OR THERAPEUTIC PROCEDURES'.

For licensing inquiries, please contact partnerships@abcam.com