JavaScript is disabled in your browser. Please enable JavaScript to view this website.
AB191422

Anti-eIF3g antibody [EPR16146] - N-terminal

Be the first to review this product! Submit a review

|

(0 Publication)

Rabbit Recombinant Monoclonal EIF3G antibody. N-terminal. Suitable for WB, ICC/IF, Flow Cyt (Intra), IHC-P and reacts with Rat, Mouse, Human samples.

View Alternative Names

EIF3S4, EIF3G, Eukaryotic translation initiation factor 3 subunit G, eIF3g, Eukaryotic translation initiation factor 3 RNA-binding subunit, Eukaryotic translation initiation factor 3 subunit 4, eIF-3-delta, eIF3 p42, eIF3 p44, eIF-3 RNA-binding subunit

6 Images
Western blot - Anti-eIF3g antibody [EPR16146] - N-terminal (AB191422)
  • WB

Supplier Data

Western blot - Anti-eIF3g antibody [EPR16146] - N-terminal (AB191422)

All lanes:

Western blot - Anti-eIF3g antibody [EPR16146] - N-terminal (ab191422) at 1/10000 dilution

Lane 1:

293T cell lysate at 20 µg

Lane 2:

Molt-4 cell lysate at 20 µg

Lane 3:

HepG2 cell lysate at 20 µg

Lane 4:

K562 cell lysate at 20 µg

Secondary

All lanes:

Goat Anti-Rabbit IgG, (H+L), Peroxidase conjugated at 1/1000 dilution

Predicted band size: 36 kDa

Observed band size: 40 kDa

false

Western blot - Anti-eIF3g antibody [EPR16146] - N-terminal (AB191422)
  • WB

Supplier Data

Western blot - Anti-eIF3g antibody [EPR16146] - N-terminal (AB191422)

All lanes:

Western blot - Anti-eIF3g antibody [EPR16146] - N-terminal (ab191422) at 1/1000 dilution

Lane 1:

PC-12 cell lysate at 10 µg

Lane 2:

NIH/3T3 cell lysate at 10 µg

Secondary

All lanes:

Goat Anti-Rabbit IgG, (H+L), Peroxidase conjugated at 1/1000 dilution

Predicted band size: 36 kDa

Observed band size: 40 kDa

false

Flow Cytometry (Intracellular) - Anti-eIF3g antibody [EPR16146] - N-terminal (AB191422)
  • Flow Cyt (Intra)

Supplier Data

Flow Cytometry (Intracellular) - Anti-eIF3g antibody [EPR16146] - N-terminal (AB191422)

Intracellular Flow Cytometry analysis of 2% paraformaldehyde fixed 293T cells labeling eIF3g using ab191422 at a 1/80 dilution (pink). Goat anti rabbit IgG (FITC) used as the secondary at a 1/150 dilution. Isotype control Rabbit monoclonal IgG (green).

Immunohistochemistry (Formalin/PFA-fixed paraffin-embedded sections) - Anti-eIF3g antibody [EPR16146] - N-terminal (AB191422)
  • IHC-P

Supplier Data

Immunohistochemistry (Formalin/PFA-fixed paraffin-embedded sections) - Anti-eIF3g antibody [EPR16146] - N-terminal (AB191422)

Immunohistochemical analysis of paraffin embedded rat skeletal muscle tissue sections labeling eIF3g using ab191422 at a 1/50 dilution. A ready to use HRP polymer for Rabbit IgG was used as the secondary. Hematoxylin counterstain. Negative control uses PBS instead of primary antibody.

Perform heat mediated antigen retrieval with Tris/EDTA buffer pH 9.0 before commencing with IHC staining protocol.

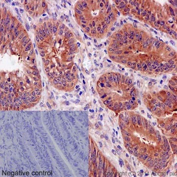
Immunohistochemistry (Formalin/PFA-fixed paraffin-embedded sections) - Anti-eIF3g antibody [EPR16146] - N-terminal (AB191422)
  • IHC-P

Supplier Data

Immunohistochemistry (Formalin/PFA-fixed paraffin-embedded sections) - Anti-eIF3g antibody [EPR16146] - N-terminal (AB191422)

Immunohistochemical analysis of paraffin-embedded human colonic carcinoma tissue sections labeling eIF3g using ab191422 at a 1/50 dilution. A ready to use HRP polymer for Rabbit IgG was used as the secondary. Hematoxylin counterstain. Negative control uses PBS instead of primary antibody.

Perform heat mediated antigen retrieval with Tris/EDTA buffer pH 9.0 before commencing with IHC staining protocol.

Immunocytochemistry/ Immunofluorescence - Anti-eIF3g antibody [EPR16146] - N-terminal (AB191422)
  • ICC/IF

Supplier Data

Immunocytochemistry/ Immunofluorescence - Anti-eIF3g antibody [EPR16146] - N-terminal (AB191422)

Immunofluorescent analysis of 4% paraformaldehyde fixed HepG2 cells labeling eIF3g using ab191422 at a 1/150 dilution. A Goat anti rabbit IgG (Alexa Fluor®488) (ab150077) was used as the secondary at a 1/200 dilution. Counterstain DAPI. Cells were permeabilized using 0.1% Triton X-100. The two negative controls : Primary ab concentration (anti-EIF3G) Secondary ab (Goat anti mouse IgG (Alexa Fluor®594)) is 1/400 dilution.

  • Carrier free

    Anti-eIF3g antibody [EPR16146] - BSA and Azide free

Key facts

Host species

Rabbit

Clonality

Monoclonal

Clone number

EPR16146

Isotype

IgG

Carrier free

No

Reacts with

Mouse, Rat, Human

Applications

Flow Cyt (Intra), ICC/IF, WB, IHC-P

applications

Immunogen

The exact immunogen used to generate this antibody is proprietary information.

Reactivity data

{ "title": "Reactivity Data", "filters": { "stats": ["", "Species", "Dilution Info", "Notes"], "tabs": { "all-applications": {"fullname" : "All Applications", "shortname": "All Applications"}, "WB" : {"fullname" : "Western blot", "shortname":"WB"}, "ICCIF" : {"fullname" : "Immunocytochemistry/ Immunofluorescence", "shortname":"ICC/IF"}, "FlowCytIntra" : {"fullname" : "Flow Cytometry (Intracellular)", "shortname":"Flow Cyt (Intra)"}, "IHCP" : {"fullname" : "Immunohistochemistry (Formalin/PFA-fixed paraffin-embedded sections)", "shortname":"IHC-P"} }, "product-promise": { "all": "all", "testedAndGuaranteed": "tested", "guaranteed": "expected", "predicted": "predicted", "notRecommended": "not-recommended" } }, "values": { "Human": { "WB-species-checked": "testedAndGuaranteed", "WB-species-dilution-info": "1/1000 - 1/10000", "WB-species-notes": "<p></p> Perform heat-mediated antigen retrieval with Tris/EDTA buffer pH 9.0 before commencing with IHC staining protocol.", "ICCIF-species-checked": "testedAndGuaranteed", "ICCIF-species-dilution-info": "1/150", "ICCIF-species-notes": "<p></p>", "FlowCytIntra-species-checked": "testedAndGuaranteed", "FlowCytIntra-species-dilution-info": "1/80", "FlowCytIntra-species-notes": "<p><a href='/en-us/products/primary-antibodies/rabbit-igg-monoclonal-epr25a-isotype-control-ab172730'>ab172730</a> - Rabbit monoclonal IgG, is suitable for use as an isotype control with this antibody.</p>", "IHCP-species-checked": "testedAndGuaranteed", "IHCP-species-dilution-info": "1/50", "IHCP-species-notes": "<p></p> Perform heat-mediated antigen retrieval with Tris/EDTA buffer pH 9.0 before commencing with IHC staining protocol." }, "Mouse": { "WB-species-checked": "testedAndGuaranteed", "WB-species-dilution-info": "1/1000 - 1/10000", "WB-species-notes": "<p></p>", "ICCIF-species-checked": "guaranteed", "ICCIF-species-dilution-info": "", "ICCIF-species-notes": "", "FlowCytIntra-species-checked": "guaranteed", "FlowCytIntra-species-dilution-info": "", "FlowCytIntra-species-notes": "", "IHCP-species-checked": "guaranteed", "IHCP-species-dilution-info": "", "IHCP-species-notes": "" }, "Rat": { "WB-species-checked": "testedAndGuaranteed", "WB-species-dilution-info": "1/1000 - 1/10000", "WB-species-notes": "<p></p> Perform heat-mediated antigen retrieval with Tris/EDTA buffer pH 9.0 before commencing with IHC staining protocol.", "ICCIF-species-checked": "guaranteed", "ICCIF-species-dilution-info": "", "ICCIF-species-notes": "", "FlowCytIntra-species-checked": "guaranteed", "FlowCytIntra-species-dilution-info": "", "FlowCytIntra-species-notes": "", "IHCP-species-checked": "testedAndGuaranteed", "IHCP-species-dilution-info": "1/50", "IHCP-species-notes": "<p></p> Perform heat-mediated antigen retrieval with Tris/EDTA buffer pH 9.0 before commencing with IHC staining protocol." } } }

Product details

Patented technology
Our RabMAb® technology is a patented hybridoma-based technology for making rabbit monoclonal antibodies. For details on our patents, please refer to RabMAb® patents.

What are the advantages of a recombinant monoclonal antibody?
This product is a recombinant monoclonal antibody, which offers several advantages including:

  • - High batch-to-batch consistency and reproducibility
  • - Improved sensitivity and specificity
  • - Long-term security of supply
  • - Animal-free batch production

For more information, read more on recombinant antibodies.

Properties and storage information

Form
Liquid
Purification technique
Affinity purification Protein A
Storage buffer
pH: 7.2 - 7.4 Preservative: 0.01% Sodium azide Constituents: 59% PBS, 40% Glycerol (glycerin, glycerine), 0.05% BSA
Shipped at conditions
Blue Ice
Appropriate short-term storage duration
1-2 weeks
Appropriate short-term storage conditions
+4°C
Appropriate long-term storage conditions
-20°C
Aliquoting information
Upon delivery aliquot
Storage information
Avoid freeze / thaw cycle

Supplementary information

This supplementary information is collated from multiple sources and compiled automatically.

The eIF3g also known as eukaryotic translation initiation factor 3 subunit G is a part of the eIF3 complex. It has a mass of approximately 39 kDa. This protein is expressed in various tissues throughout the body. Mechanically eIF3g participates in the process of initiation during protein synthesis by binding to the small ribosomal subunit and assisting in the recruitment of mRNA and initiator tRNA. This helps in the assembly of the functional ribosome making the translation process efficient.
Biological function summary

EIF3g plays an important role in gene expression by being part of the eIF3 complex which is important for starting translation. As a component of the eIF3 complex eIF3g influences cell growth differentiation and survival by regulating the protein synthesis rates. Researchers have identified that its presence in multiple tissues is essential for the proper functioning of cellular activities indicating its broad importance in maintaining cellular physiology.

Pathways

Experts recognize that eIF3g is integral to the mTOR signaling pathway which governs cell growth in response to nutrient availability. It also plays a significant role in the regulation of the EIF4E activity an important protein in initiating translation. eIF3g influences these pathways by acting together with other subunits of the eIF3 complex and interacting with translation-related proteins.

Disruptions in eIF3g function link to certain cancers such as breast cancer where increased expression levels of eIF3g have been associated with tumor progression. Additionally abnormalities in eIF3g may contribute to neurodegenerative diseases like Alzheimer's disease given its role in protein synthesis and cell survival. In these contexts eIF3g operates alongside proteins like eIF4E and the eIF3 complex to influence disease development and progression.

Product protocols

For this product, it's our understanding that no specific protocols are required. You can visit:

Target data

RNA-binding component of the eukaryotic translation initiation factor 3 (eIF-3) complex, which is required for several steps in the initiation of protein synthesis (PubMed : 17581632, PubMed : 25849773, PubMed : 27462815). The eIF-3 complex associates with the 40S ribosome and facilitates the recruitment of eIF-1, eIF-1A, eIF-2 : GTP : methionyl-tRNAi and eIF-5 to form the 43S pre-initiation complex (43S PIC). The eIF-3 complex stimulates mRNA recruitment to the 43S PIC and scanning of the mRNA for AUG recognition. The eIF-3 complex is also required for disassembly and recycling of post-termination ribosomal complexes and subsequently prevents premature joining of the 40S and 60S ribosomal subunits prior to initiation (PubMed : 17581632). The eIF-3 complex specifically targets and initiates translation of a subset of mRNAs involved in cell proliferation, including cell cycling, differentiation and apoptosis, and uses different modes of RNA stem-loop binding to exert either translational activation or repression (PubMed : 25849773). This subunit can bind 18S rRNA.. (Microbial infection) In case of FCV infection, plays a role in the ribosomal termination-reinitiation event leading to the translation of VP2 (PubMed : 18056426).
See full target information EIF3G

Product promise

We are committed to supporting your work with high-quality reagents, and we're here for you every step of the way. In the unlikely event that one of our products does not perform as expected, you're protected by our Product Promise.
For full details, please see our Terms & Conditions

Please note: All products are 'FOR RESEARCH USE ONLY. NOT FOR USE IN DIAGNOSTIC OR THERAPEUTIC PROCEDURES'.

For licensing inquiries, please contact partnerships@abcam.com