JavaScript is disabled in your browser. Please enable JavaScript to view this website.
AB236131

Anti-eIF4A3 antibody [EPR14301(B)] - BSA and Azide free

Be the first to review this product! Submit a review

|

(1 Publication)

Rabbit Recombinant Monoclonal eIF4A3 antibody. Carrier free. Suitable for IP, WB, ICC/IF, Flow Cyt (Intra), IHC-P and reacts with Human samples. Cited in 1 publication.

View Alternative Names

DDX48, KIAA0111, EIF4A3, Eukaryotic initiation factor 4A-III, eIF-4A-III, eIF4A-III, ATP-dependent RNA helicase DDX48, ATP-dependent RNA helicase eIF4A-3, DEAD box protein 48, Eukaryotic initiation factor 4A-like NUK-34, Eukaryotic translation initiation factor 4A isoform 3, Nuclear matrix protein 265, NMP 265, hNMP 265

8 Images
Immunohistochemistry (Formalin/PFA-fixed paraffin-embedded sections) - Anti-eIF4A3 antibody [EPR14301(B)] - BSA and Azide free (AB236131)
  • IHC-P

Lab

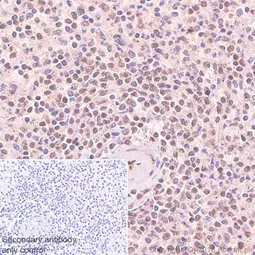
Immunohistochemistry (Formalin/PFA-fixed paraffin-embedded sections) - Anti-eIF4A3 antibody [EPR14301(B)] - BSA and Azide free (AB236131)

This data was developed using the same antibody clone in a different buffer formulation containing PBS, BSA, glycerol, and sodium azide (ab180573).

Immunohistochemical analysis of formalin fixed paraffin embedded Human spleen tissue labelling eIF4A3 with ab180573 at 1/2000 dilution followed by a ready to use Rabbit specific IHC polymer detection kit HRP/DAB (ab209101). Sections were counterstained with Hematoxylin.

Positive staining on human spleen.
The section was incubated with ab180573 at 4°C overnight.

Heat mediated antigen retrieval was performed using ab93684 (Tris/EDTA buffer, pH9.0)

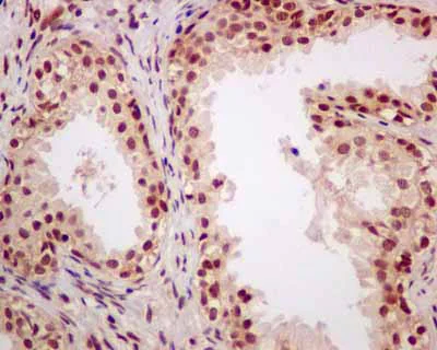
Immunohistochemistry (Formalin/PFA-fixed paraffin-embedded sections) - Anti-eIF4A3 antibody [EPR14301(B)] - BSA and Azide free (AB236131)
  • IHC-P

Supplier Data

Immunohistochemistry (Formalin/PFA-fixed paraffin-embedded sections) - Anti-eIF4A3 antibody [EPR14301(B)] - BSA and Azide free (AB236131)

Immunohistochemical analysis of paraffin-embedded Human prostate tissue labeling eIF4A3 with ab180573 at 1/100 dilution. Prediluted (ready to use) HRP Polymer for Rabbit IgG was used as a secondary antibody. Counter stain : Hematoxylin.

This data was developed using the same antibody clone in a different buffer formulation containing PBS, BSA, glycerol, and sodium azide (ab180573).

Perform heat mediated antigen retrieval with EDTA buffer pH 9 before commencing with IHC staining protocol.

Immunocytochemistry/ Immunofluorescence - Anti-eIF4A3 antibody [EPR14301(B)] - BSA and Azide free (AB236131)
  • ICC/IF

Lab

Immunocytochemistry/ Immunofluorescence - Anti-eIF4A3 antibody [EPR14301(B)] - BSA and Azide free (AB236131)

This data was developed using the same antibody clone in a different buffer formulation containing PBS, BSA, glycerol, and sodium azide (ab180573).

Immunofluorescent analysis of 4% Paraformaldehyde-fixed, 0.1% TritonX-100 permeabilized HeLa (human cervix adenocarcinoma epithelial cell) cells labelling eIF4A3 with ab180573 at 1/100 (9.39 ug/ml) dilution, followed by ab150081 Goat Anti-Rabbit IgG H&L (Alexa Fluor® 488) preadsorbed antibody at 1/1000 (2 ug/ml) dilution (Green).

Nuclear DNA was labelled with DAPI (shown in blue). ab195889 Anti-alpha Tubulin mouse monoclonal antibody - Microtubule Marker (Alexa Fluor® 594) was used to counterstain tubulin at 1/200 (2.5ug/ml) dilution (Red).

Confocal image showing nuclear staining in HeLa cells.

Image was taken with a confocal microscope (Leica-Microsystems, TCS SP8).

Secondary antibody only control : Secondary antibody is ab150081 Goat Anti-Rabbit IgG H&L (Alexa Fluor® 488) preadsorbed at 1/1000 dilution.

Flow Cytometry (Intracellular) - Anti-eIF4A3 antibody [EPR14301(B)] - BSA and Azide free (AB236131)
  • Flow Cyt (Intra)

Lab

Flow Cytometry (Intracellular) - Anti-eIF4A3 antibody [EPR14301(B)] - BSA and Azide free (AB236131)

This data was developed using the same antibody clone in a different buffer formulation containing PBS, BSA, glycerol, and sodium azide (ab180573).

Flow cytometric analysis of 4% paraformaldehyde fixed 90% methanol permeabilized MCF7 (human breast adenocarcinoma epithelial cell) cells labelling eIF4A3 with ab180573 at 1/90 dilution (1ug) (Red) compared with a Rabbit monoclonal IgG (ab172730) (Black) isotype control and an unlabelled control (cells without incubation with primary antibody and secondary antibody) (Blue).

Goat anti rabbit IgG (Alexa Fluor® 488, ab150097) at 1/5000 dilution was used as the secondary antibody.

Immunocytochemistry/ Immunofluorescence - Anti-eIF4A3 antibody [EPR14301(B)] - BSA and Azide free (AB236131)
  • ICC/IF

Supplier Data

Immunocytochemistry/ Immunofluorescence - Anti-eIF4A3 antibody [EPR14301(B)] - BSA and Azide free (AB236131)

Immunofluorescent analysis of 4% paraformaldehyde MCF7 cells labeling eIF4A3 with ab180573 at 1/500 dilution (green), or with Dapi counter stain (blue). Goat anti rabbit IgG (Dylight 488) was used as a secondary antibody, at a dilution of 1/200.

This data was developed using the same antibody clone in a different buffer formulation containing PBS, BSA, glycerol, and sodium azide (ab180573).

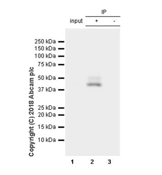
Immunoprecipitation - Anti-eIF4A3 antibody [EPR14301(B)] - BSA and Azide free (AB236131)
  • IP

Lab

Immunoprecipitation - Anti-eIF4A3 antibody [EPR14301(B)] - BSA and Azide free (AB236131)

This data was developed using the same antibody clone in a different buffer formulation containing PBS, BSA, glycerol, and sodium azide (ab180573).

eIF4A3 was immunoprecipitated from 0.35 mg HeLa (human cervical adenocarcinoma epithelial cell) whole cell lysate with ab180573 at 1/30 dilution (2µg in 0.35mg lysates). Western blot was performed on the immunoprecipitate using ab180573 at 1/500 dilution. VeriBlot for IP secondary antibody(HRP)(ab131366) was used at 1/5000 dilution.

Lane 1 : HeLa (human cervical adenocarcinoma epithelial cell) whole cell lysate, 10 µg
Lane 2 : HeLa (human cervical adenocarcinoma epithelial cell) whole cell lysate
Lane 3 : Rabbit monoclonal IgG (ab172730) instead of ab180573 in HeLa whole cell lysate

Blocking and dilution buffer and concentration : 5% NFDM/TBST

All lanes:

Immunoprecipitation - Anti-eIF4A3 antibody [EPR14301(B)] (<a href='/en-us/products/primary-antibodies/eif4a3-antibody-epr14301b-ab180573'>ab180573</a>) at 1/500 dilution

Lane 1:

HeLa (human cervical adenocarcinoma epithelial cell) whole cell lysate at 10 µg

Lane 2:

HeLa (human cervical adenocarcinoma epithelial cell) whole cell lysate

Lane 3:

Rabbit monoclonal IgG (<a href='/en-us/products/primary-antibodies/rabbit-igg-monoclonal-epr25a-isotype-control-ab172730'>ab172730</a>) instead of <a href='/en-us/products/primary-antibodies/eif4a3-antibody-epr14301b-ab180573'>ab180573</a> in HeLa whole cell lysate

Secondary

All lanes:

Immunoprecipitation - VeriBlot for IP Detection Reagent (HRP) (<a href='/en-us/products/reagents/veriblot-for-ip-detection-reagent-hrp-ab131366'>ab131366</a>) at 1/5000 dilution

Predicted band size: 47 kDa

false

Exposure time: 1s

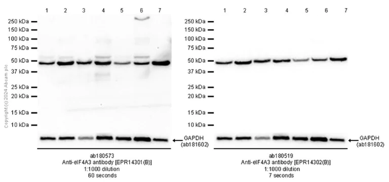
Western blot - Anti-eIF4A3 antibody [EPR14301(B)] - BSA and Azide free (AB236131)
  • WB

Lab

Western blot - Anti-eIF4A3 antibody [EPR14301(B)] - BSA and Azide free (AB236131)

This data was developed using the same antibody clone in a different buffer formulation containing PBS, BSA, glycerol, and sodium azide (ab180573).

Blocking and diluting buffer and concentration : 5% NFDM /TBST

ab181602 was used as a GAPDH loading control.

ab180573 has a faint band above the target band, we recommend using ab180519 to get desire result in western blot.

All lanes:

Western blot - Anti-eIF4A3 antibody [EPR14301(B)] (<a href='/en-us/products/primary-antibodies/eif4a3-antibody-epr14301b-ab180573'>ab180573</a>) at 1/1000 dilution

Lane 1:

SK-OV-3 (Human ovarian cancer epithelial cell) whole cell lysate at 20 µg

Lane 2:

HEK-293 (Human embryonic kidney epithelial cell) whole cell lysate at 20 µg

Lane 3:

A549 (Human lung carcinoma epithelial cell) whole cell lysate at 20 µg

Lane 4:

HeLa (Human cervix adenocarcinoma epithelial cell) whole cell lysate at 20 µg

Lane 5:

MCF7 (Human breast adenocarcinoma epithelial cell) whole cell lysate at 20 µg

Lane 6:

Raji (Human Burkitt's lymphoma B lymphocyte) whole cell lysate at 20 µg

Lane 7:

HepG2 (Human hepatocellular carcinoma epithelial cell) whole cell lysate at 20 µg

Secondary

All lanes:

Western blot - Goat Anti-Rabbit IgG H&L (HRP) (<a href='/en-us/products/secondary-antibodies/goat-rabbit-igg-h-l-hrp-ab97051'>ab97051</a>) at 1/20000 dilution

Predicted band size: 47 kDa

Observed band size: 46 kDa

false

Western blot - Anti-eIF4A3 antibody [EPR14301(B)] - BSA and Azide free (AB236131)
  • WB

Lab

Western blot - Anti-eIF4A3 antibody [EPR14301(B)] - BSA and Azide free (AB236131)

Blocking and dilution buffer : 5% NFDM/TBST.

Anti-DDDDK tag (Binds to FLAG® tag sequence) antibody (ab205606) used as loading control at 1/1000 dilution. The secondary antibody used is ab97051, a HRP goat anti-rabbit IgG (H+L), at a dilution of 1/20000.

This data was developed using the same antibody clone in a different buffer formulation containing PBS, BSA, glycerol, and sodium azide (ab180573).

All lanes:

Western blot - Anti-eIF4A3 antibody [EPR14301(B)] (<a href='/en-us/products/primary-antibodies/eif4a3-antibody-epr14301b-ab180573'>ab180573</a>) at 1/1000 dilution

Lane 1:

eIF4A1 Human Recombinant Protein at 10 ng

Lane 2:

eIF4A2 Human Recombinant Protein at 10 ng

Lane 3:

eIF4A3 Human Recombinant Protein at 10 ng

Secondary

All lanes:

Western blot - Goat Anti-Rabbit IgG H&L (HRP) (<a href='/en-us/products/secondary-antibodies/goat-rabbit-igg-h-l-hrp-ab97051'>ab97051</a>) at 1/20000 dilution

Predicted band size: 47 kDa

Observed band size: 46 kDa

false

Exposure time: 5s

  • Unconjugated

    Anti-eIF4A3 antibody [EPR14301(B)]

  • 519 Alexa Fluor® 488

    Alexa Fluor® 488 Anti-eIF4A3 antibody [EPR14301(B)]

  • 665 Alexa Fluor® 647

    Alexa Fluor® 647 Anti-eIF4A3 antibody [EPR14301(B)]

  • 578 PE

    PE Anti-eIF4A3 antibody [EPR14301(B)]

Key facts

Host species

Rabbit

Clonality

Monoclonal

Clone number

EPR14301(B)

Isotype

IgG

Carrier free

Yes

Reacts with

Human

Applications

ICC/IF, IP, IHC-P, Flow Cyt (Intra), WB

applications

Immunogen

The exact immunogen used to generate this antibody is proprietary information.

Reactivity data

{ "title": "Reactivity Data", "filters": { "stats": ["", "Species", "Dilution Info", "Notes"], "tabs": { "all-applications": {"fullname" : "All Applications", "shortname": "All Applications"}, "IP" : {"fullname" : "Immunoprecipitation", "shortname":"IP"}, "WB" : {"fullname" : "Western blot", "shortname":"WB"}, "ICCIF" : {"fullname" : "Immunocytochemistry/ Immunofluorescence", "shortname":"ICC/IF"}, "FlowCytIntra" : {"fullname" : "Flow Cytometry (Intracellular)", "shortname":"Flow Cyt (Intra)"}, "IHCP" : {"fullname" : "Immunohistochemistry (Formalin/PFA-fixed paraffin-embedded sections)", "shortname":"IHC-P"} }, "product-promise": { "all": "all", "testedAndGuaranteed": "tested", "guaranteed": "expected", "predicted": "predicted", "notRecommended": "not-recommended" } }, "values": { "Human": { "IP-species-checked": "testedAndGuaranteed", "IP-species-dilution-info": "", "IP-species-notes": "<p></p>", "WB-species-checked": "guaranteed", "WB-species-dilution-info": "", "WB-species-notes": "<p></p>", "ICCIF-species-checked": "testedAndGuaranteed", "ICCIF-species-dilution-info": "", "ICCIF-species-notes": "<p></p>", "FlowCytIntra-species-checked": "testedAndGuaranteed", "FlowCytIntra-species-dilution-info": "", "FlowCytIntra-species-notes": "<p><a href='/en-us/products/primary-antibodies/rabbit-igg-monoclonal-epr25a-isotype-control-ab172730'>ab172730</a> - Rabbit monoclonal IgG, is suitable for use as an isotype control with this antibody.</p>", "IHCP-species-checked": "testedAndGuaranteed", "IHCP-species-dilution-info": "", "IHCP-species-notes": "<p></p>" }, "Mouse": { "IP-species-checked": "predicted", "IP-species-dilution-info": "", "IP-species-notes": "", "WB-species-checked": "predicted", "WB-species-dilution-info": "", "WB-species-notes": "", "ICCIF-species-checked": "predicted", "ICCIF-species-dilution-info": "", "ICCIF-species-notes": "", "FlowCytIntra-species-checked": "predicted", "FlowCytIntra-species-dilution-info": "", "FlowCytIntra-species-notes": "", "IHCP-species-checked": "predicted", "IHCP-species-dilution-info": "", "IHCP-species-notes": "" }, "Rat": { "IP-species-checked": "predicted", "IP-species-dilution-info": "", "IP-species-notes": "", "WB-species-checked": "predicted", "WB-species-dilution-info": "", "WB-species-notes": "", "ICCIF-species-checked": "predicted", "ICCIF-species-dilution-info": "", "ICCIF-species-notes": "", "FlowCytIntra-species-checked": "predicted", "FlowCytIntra-species-dilution-info": "", "FlowCytIntra-species-notes": "", "IHCP-species-checked": "predicted", "IHCP-species-dilution-info": "", "IHCP-species-notes": "" }, "Chicken": { "IP-species-checked": "predicted", "IP-species-dilution-info": "", "IP-species-notes": "", "WB-species-checked": "predicted", "WB-species-dilution-info": "", "WB-species-notes": "", "ICCIF-species-checked": "predicted", "ICCIF-species-dilution-info": "", "ICCIF-species-notes": "", "FlowCytIntra-species-checked": "predicted", "FlowCytIntra-species-dilution-info": "", "FlowCytIntra-species-notes": "", "IHCP-species-checked": "predicted", "IHCP-species-dilution-info": "", "IHCP-species-notes": "" }, "Cow": { "IP-species-checked": "predicted", "IP-species-dilution-info": "", "IP-species-notes": "", "WB-species-checked": "predicted", "WB-species-dilution-info": "", "WB-species-notes": "", "ICCIF-species-checked": "predicted", "ICCIF-species-dilution-info": "", "ICCIF-species-notes": "", "FlowCytIntra-species-checked": "predicted", "FlowCytIntra-species-dilution-info": "", "FlowCytIntra-species-notes": "", "IHCP-species-checked": "predicted", "IHCP-species-dilution-info": "", "IHCP-species-notes": "" }, "Cynomolgus monkey": { "IP-species-checked": "predicted", "IP-species-dilution-info": "", "IP-species-notes": "", "WB-species-checked": "predicted", "WB-species-dilution-info": "", "WB-species-notes": "", "ICCIF-species-checked": "predicted", "ICCIF-species-dilution-info": "", "ICCIF-species-notes": "", "FlowCytIntra-species-checked": "predicted", "FlowCytIntra-species-dilution-info": "", "FlowCytIntra-species-notes": "", "IHCP-species-checked": "predicted", "IHCP-species-dilution-info": "", "IHCP-species-notes": "" }, "Pig": { "IP-species-checked": "predicted", "IP-species-dilution-info": "", "IP-species-notes": "", "WB-species-checked": "predicted", "WB-species-dilution-info": "", "WB-species-notes": "", "ICCIF-species-checked": "predicted", "ICCIF-species-dilution-info": "", "ICCIF-species-notes": "", "FlowCytIntra-species-checked": "predicted", "FlowCytIntra-species-dilution-info": "", "FlowCytIntra-species-notes": "", "IHCP-species-checked": "predicted", "IHCP-species-dilution-info": "", "IHCP-species-notes": "" }, "Xenopus laevis": { "IP-species-checked": "predicted", "IP-species-dilution-info": "", "IP-species-notes": "", "WB-species-checked": "predicted", "WB-species-dilution-info": "", "WB-species-notes": "", "ICCIF-species-checked": "predicted", "ICCIF-species-dilution-info": "", "ICCIF-species-notes": "", "FlowCytIntra-species-checked": "predicted", "FlowCytIntra-species-dilution-info": "", "FlowCytIntra-species-notes": "", "IHCP-species-checked": "predicted", "IHCP-species-dilution-info": "", "IHCP-species-notes": "" }, "Xenopus tropicalis": { "IP-species-checked": "predicted", "IP-species-dilution-info": "", "IP-species-notes": "", "WB-species-checked": "predicted", "WB-species-dilution-info": "", "WB-species-notes": "", "ICCIF-species-checked": "predicted", "ICCIF-species-dilution-info": "", "ICCIF-species-notes": "", "FlowCytIntra-species-checked": "predicted", "FlowCytIntra-species-dilution-info": "", "FlowCytIntra-species-notes": "", "IHCP-species-checked": "predicted", "IHCP-species-dilution-info": "", "IHCP-species-notes": "" }, "Zebrafish": { "IP-species-checked": "predicted", "IP-species-dilution-info": "", "IP-species-notes": "", "WB-species-checked": "predicted", "WB-species-dilution-info": "", "WB-species-notes": "", "ICCIF-species-checked": "predicted", "ICCIF-species-dilution-info": "", "ICCIF-species-notes": "", "FlowCytIntra-species-checked": "predicted", "FlowCytIntra-species-dilution-info": "", "FlowCytIntra-species-notes": "", "IHCP-species-checked": "predicted", "IHCP-species-dilution-info": "", "IHCP-species-notes": "" } } }

Product details

ab236131 is the carrier-free version of ab180573.

Patented technology
Our RabMAb® technology is a patented hybridoma-based technology for making rabbit monoclonal antibodies. For details on our patents, please refer to RabMAb® patents.

What are the advantages of a recombinant monoclonal antibody?
This product is a recombinant monoclonal antibody, which offers several advantages including:

  • - High batch-to-batch consistency and reproducibility
  • - Improved sensitivity and specificity
  • - Long-term security of supply
  • - Animal-free batch production

For more information, read more on recombinant antibodies.

Conjugation ready
Our carrier-free antibodies are typically supplied in a PBS-only formulation, purified and free of BSA, sodium azide and glycerol. This conjugation-ready format is designed for use with fluorochromes, metal isotopes, oligonucleotides, and enzymes, which makes them ideal for antibody labelling, functional and cell-based assays, flow-based assays (e.g. mass cytometry) and Multiplex Imaging applications.

Use our conjugation kits for antibody conjugates that are ready-to-use in as little as 20 minutes with 1 minute hands-on-time and 100% antibody recovery: available for fluorescent dyes, HRP, biotin and gold.

Compatibility
This product is compatible with the Maxpar® Antibody Labeling Kit from Fluidigm, without the need for antibody preparation. Maxpar® is a trademark of Fluidigm Canada Inc.

Properties and storage information

Form
Liquid
Purification technique
Affinity purification Protein A
Storage buffer
pH: 7.2 - 7.4 Constituents: PBS
Shipped at conditions
Blue Ice
Appropriate short-term storage conditions
+4°C
Appropriate long-term storage conditions
+4°C
Storage information
Do Not Freeze

Supplementary information

This supplementary information is collated from multiple sources and compiled automatically.

EIF4A3 also known as DDX48 is an ATP-dependent RNA helicase. It unwinds RNA secondary structures in an energy-dependent manner being an important part in RNA metabolic processes. eIF4A3 has a molecular mass of approximately 46 kDa and is ubiquitously expressed in various tissues and cell types. It localizes in both the cytoplasm and nucleus indicating its involvement in diverse cellular functions.
Biological function summary

EIF4A3 engages in nonsense-mediated mRNA decay and plays a role in mRNA splicing. It is an important component of the exon junction complex (EJC) which includes other proteins like MAGOH and Y14. This complex ensures proper mRNA surveillance by marking transcripts that need to be subject to degradation if errors are found.

Pathways

EIF4A3 interacts with cellular processes such as mRNA surveillance and splicing. It integrates within the nonsense-mediated decay (NMD) pathway and the spliceosome-associated pathways. eIF4A3's activity closely relates to proteins like UPF1 and RNPS1 which coordinate the removal of defective mRNA and support mRNA splicing.

EIF4A3 has connections with cancer and neurodegenerative diseases. Aberrant expression of eIF4A3 links to tumor progression where its role in RNA processing becomes dysregulated. Moreover in neurodegenerative disorders like spinal muscular atrophy eIF4A3 interacts with proteins such as SMN leading to deficits in mRNA processing which contributes to disease pathology.

Product protocols

For this product, it's our understanding that no specific protocols are required. You can visit:

Target data

ATP-dependent RNA helicase (PubMed : 16170325). Involved in pre-mRNA splicing as component of the spliceosome (PubMed : 11991638, PubMed : 22961380, PubMed : 28076346, PubMed : 28502770, PubMed : 29301961). Core component of the splicing-dependent multiprotein exon junction complex (EJC) deposited at splice junctions on mRNAs (PubMed : 16170325, PubMed : 16209946, PubMed : 16314458, PubMed : 16923391, PubMed : 16931718, PubMed : 19033377, PubMed : 20479275). The EJC is a dynamic structure consisting of core proteins and several peripheral nuclear and cytoplasmic associated factors that join the complex only transiently either during EJC assembly or during subsequent mRNA metabolism. The EJC marks the position of the exon-exon junction in the mature mRNA for the gene expression machinery and the core components remain bound to spliced mRNAs throughout all stages of mRNA metabolism thereby influencing downstream processes including nuclear mRNA export, subcellular mRNA localization, translation efficiency and nonsense-mediated mRNA decay (NMD). Its RNA-dependent ATPase and RNA-helicase activities are induced by CASC3, but abolished in presence of the MAGOH-RBM8A heterodimer, thereby trapping the ATP-bound EJC core onto spliced mRNA in a stable conformation. The inhibition of ATPase activity by the MAGOH-RBM8A heterodimer increases the RNA-binding affinity of the EJC. Involved in translational enhancement of spliced mRNAs after formation of the 80S ribosome complex. Binds spliced mRNA in sequence-independent manner, 20-24 nucleotides upstream of mRNA exon-exon junctions. Shows higher affinity for single-stranded RNA in an ATP-bound core EJC complex than after the ATP is hydrolyzed. Involved in the splicing modulation of BCL2L1/Bcl-X (and probably other apoptotic genes); specifically inhibits formation of proapoptotic isoforms such as Bcl-X(S); the function is different from the established EJC assembly (PubMed : 22203037). Involved in craniofacial development (PubMed : 24360810).
See full target information EIF4A3

Publications (1)

Recent publications for all applications. Explore the full list and refine your search

Molecular neurobiology 60:672-686 PubMed36357613

2022

Mito-TEMPO, a Mitochondria-Targeted Antioxidant, Improves Cognitive Dysfunction due to Hypoglycemia: an Association with Reduced Pericyte Loss and Blood-Brain Barrier Leakage.

Applications

Unspecified application

Species

Unspecified reactive species

Lu Lin,Zhou Chen,Cuihua Huang,Yubin Wu,Lishan Huang,Lijing Wang,Sujie Ke,Libin Liu
View all publications

Product promise

We are committed to supporting your work with high-quality reagents, and we're here for you every step of the way. In the unlikely event that one of our products does not perform as expected, you're protected by our Product Promise.
For full details, please see our Terms & Conditions

Please note: All products are 'FOR RESEARCH USE ONLY. NOT FOR USE IN DIAGNOSTIC OR THERAPEUTIC PROCEDURES'.

For licensing inquiries, please contact partnerships@abcam.com