JavaScript is disabled in your browser. Please enable JavaScript to view this website.
AB186856

Anti-eIF4B antibody

Be the first to review this product! Submit a review

|

(0 Publication)

Rabbit Polyclonal eIF4B antibody. Suitable for WB, IHC-P, ICC/IF and reacts with Human samples. Immunogen corresponding to Recombinant Fragment Protein within Human EIF4B aa 350 to C-terminus.

View Alternative Names

Eukaryotic translation initiation factor 4B, eIF-4B, EIF4B

3 Images
Western blot - Anti-eIF4B antibody (AB186856)
  • WB

Supplier Data

Western blot - Anti-eIF4B antibody (AB186856)

All lanes:

Western blot - Anti-eIF4B antibody (ab186856) at 1/500 dilution

Lane 1:

MCF7 cell extract

Lane 2:

22RV-1 cell extract

Lane 3:

HeLa cell extract

Lane 4:

293T cell extract

Lane 5:

M21 cell extract

Predicted band size: 69 kDa

false

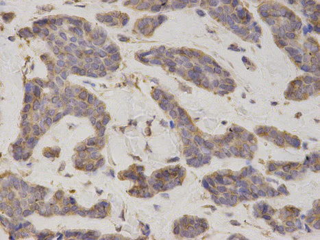
Immunohistochemistry (Formalin/PFA-fixed paraffin-embedded sections) - Anti-eIF4B antibody (AB186856)
  • IHC-P

Unknown

Immunohistochemistry (Formalin/PFA-fixed paraffin-embedded sections) - Anti-eIF4B antibody (AB186856)

Immunohistochemistry (Formalin/PFA-fixed paraffin-embedded sections) analysis of human breast cancer tissue labelling eIF4B with ab186856 at 1/200. Magnification : 400x.

Immunocytochemistry/ Immunofluorescence - Anti-eIF4B antibody (AB186856)
  • ICC/IF

Unknown

Immunocytochemistry/ Immunofluorescence - Anti-eIF4B antibody (AB186856)

Immunocytochemistry/Immunofluorescence analysis of U2OS cells using ab186856. Blue DAPI for nuclear staining.

Key facts

Host species

Rabbit

Clonality

Polyclonal

Isotype

IgG

Carrier free

No

Reacts with

Human

Applications

WB, IHC-P, ICC/IF

applications

Immunogen

Recombinant Fragment Protein within Human EIF4B aa 350 to C-terminus. The exact immunogen used to generate this antibody is proprietary information.

P23588

Reactivity data

{ "title": "Reactivity Data", "filters": { "stats": ["", "Species", "Dilution Info", "Notes"], "tabs": { "all-applications": {"fullname" : "All Applications", "shortname": "All Applications"}, "WB" : {"fullname" : "Western blot", "shortname":"WB"}, "IHCP" : {"fullname" : "Immunohistochemistry (Formalin/PFA-fixed paraffin-embedded sections)", "shortname":"IHC-P"}, "ICCIF" : {"fullname" : "Immunocytochemistry/ Immunofluorescence", "shortname":"ICC/IF"} }, "product-promise": { "all": "all", "testedAndGuaranteed": "tested", "guaranteed": "expected", "predicted": "predicted", "notRecommended": "not-recommended" } }, "values": { "Human": { "WB-species-checked": "testedAndGuaranteed", "WB-species-dilution-info": "1/500 - 1/2000", "WB-species-notes": "<p></p>", "IHCP-species-checked": "testedAndGuaranteed", "IHCP-species-dilution-info": "1/50 - 1/200", "IHCP-species-notes": "<p><a href='/en-us/products/primary-antibodies/rabbit-igg-polyclonal-isotype-control-chip-grade-ab171870'>ab171870</a> - Rabbit polyclonal IgG, is suitable for use as an isotype control with this antibody.</p>", "ICCIF-species-checked": "testedAndGuaranteed", "ICCIF-species-dilution-info": "", "ICCIF-species-notes": "<p></p>" } } }

Properties and storage information

Form
Liquid
Purification technique
Affinity purification Immunogen
Storage buffer
pH: 7.3 Preservative: 0.02% Sodium azide Constituents: 50% Glycerol (glycerin, glycerine), 49% PBS
Shipped at conditions
Blue Ice
Appropriate short-term storage duration
1-2 weeks
Appropriate short-term storage conditions
+4°C
Appropriate long-term storage conditions
-20°C
Aliquoting information
Upon delivery aliquot
Storage information
Avoid freeze / thaw cycle

Supplementary information

This supplementary information is collated from multiple sources and compiled automatically.

EIF4B also known as eukaryotic translation initiation factor 4B is a protein that enhances the RNA helicase activity of the eIF4A protein during the initiation of translation. It weighs approximately 80 kDa. eIF4B interacts directly with RNA stimulating the unwinding of mRNA secondary structures allowing the ribosome to access the mRNA strand for translation. It is expressed in most cell types playing an essential role in efficient protein synthesis.
Biological function summary

EIF4B supports the recruitment of ribosomal subunits to mRNA by interacting with eIF3 and the large ribosomal subunit. It forms part of the larger eIF4F complex which is important for the cap-dependent initiation of translation. By working with eIF4A and eIF4G eIF4B facilitates the scanning process of the ribosome to the start codon on mRNA leading to proper protein translation.

Pathways

EIF4B participates in the mTOR signaling pathway a central regulator of cellular growth and metabolism. It also contributes to the PI3K/AKT/mTOR pathway affecting cell proliferation and survival. Additionally eIF4B interacts with other proteins like eIF4E and eIF5 linking its function to these pathways and ensuring effective coordination of translation initiation as well as regulation under various conditions.

Aberrant eIF4B activity has connections to cancer and neurodegenerative diseases. Overexpression or dysregulation of eIF4B is often observed in various cancers due to its role in promoting protein synthesis necessary for tumor growth. It also indirectly interacts with oncogenic proteins such as mTOR highlighting its importance in cancer. In neurodegenerative disorders eIF4B’s role in protein homeostasis is disrupted contributing to disease progression alongside pathways involving proteins like eIF4A.

Product protocols

For this product, it's our understanding that no specific protocols are required. You can visit:

Target data

Required for the binding of mRNA to ribosomes. Functions in close association with EIF4-F and EIF4-A. Binds near the 5'-terminal cap of mRNA in presence of EIF-4F and ATP. Promotes the ATPase activity and the ATP-dependent RNA unwinding activity of both EIF4-A and EIF4-F.
See full target information EIF4B

Product promise

We are committed to supporting your work with high-quality reagents, and we're here for you every step of the way. In the unlikely event that one of our products does not perform as expected, you're protected by our Product Promise.
For full details, please see our Terms & Conditions

Associated Products

Select an associated product type
Alternative Product
Primary Antibodies

AB228800

Anti-eIF4B antibody - N-terminal

primary-antibodies

eif4b-antibody-n-terminal-ab228800

0

(0 reviews)

Alternative Product
Primary Antibodies

AB59300

Anti-eIF4B (phospho S422) antibody

primary-antibodies

eif4b-phospho-s422-antibody-ab59300

0

(0 reviews)

Alternative Product
Primary Antibodies

AB129369

Anti-eIF4B antibody [1F5]

primary-antibodies

eif4b-antibody-1f5-ab129369

0

(0 reviews)

Alternative Product
Primary Antibodies

AB75823

Anti-eIF4B (phospho S504) antibody [EP2261Y]

primary-antibodies

eif4b-phospho-s504-antibody-ep2261y-ab75823

0

(0 reviews)

Alternative Product
Primary Antibodies

AB245618

Anti-eIF4B antibody

primary-antibodies

eif4b-antibody-ab245618

0

(0 reviews)

Alternative Product
Primary Antibodies

AB68474

Anti-eIF4B antibody [EP2299Y]

primary-antibodies

eif4b-antibody-ep2299y-ab68474

5

(1 reviews)

Alternative Product
Primary Antibodies

AB134138

Anti-eIF4B (phospho S406) antibody [EPR7683]

primary-antibodies

eif4b-phospho-s406-antibody-epr7683-ab134138

0

(0 reviews)

Please note: All products are 'FOR RESEARCH USE ONLY. NOT FOR USE IN DIAGNOSTIC OR THERAPEUTIC PROCEDURES'.

For licensing inquiries, please contact partnerships@abcam.com