JavaScript is disabled in your browser. Please enable JavaScript to view this website.
AB240923

Anti-eIF4E antibody [Y448] - BSA and Azide free

Be the first to review this product! Submit a review

|

(1 Publication)

Rabbit Recombinant Monoclonal eIF4E antibody. Carrier free. Suitable for IP, WB, ICC/IF, Flow Cyt (Intra), IHC-P and reacts with Human, Mouse, Rat samples. Cited in 1 publication.

View Alternative Names

EIF4EL1, EIF4F, EIF4E, Eukaryotic translation initiation factor 4E, eIF-4E, eIF4E, eIF-4F 25 kDa subunit, mRNA cap-binding protein

9 Images
Immunocytochemistry/ Immunofluorescence - Anti-eIF4E antibody [Y448] - BSA and Azide free (AB240923)
  • ICC/IF

Unknown

Immunocytochemistry/ Immunofluorescence - Anti-eIF4E antibody [Y448] - BSA and Azide free (AB240923)

ICC/IF image of ab33766 stained MCF7 cells. The cells were 4% formaldehyde (10 min) and then incubated in 1%BSA / 10% normal goat serum / 0.3M glycine in 0.1% PBS-Tween for 1h to permeabilise the cells and block non-specific protein-protein interactions. The cells were then incubated with the antibody (ab33766, 10μg/ml) overnight at +4°C. The secondary antibody (green) was ab96899 Dylight 488 goat anti-rabbit IgG (H+L) used at a 1/250 dilution for 1h. Alexa Fluor® 594 WGA was used to label plasma membranes (red) at a 1/200 dilution for 1h. DAPI was used to stain the cell nuclei (blue) at a concentration of 1.43μM.

This data was developed using the same antibody clone in a different buffer formulation containing PBS, BSA, glycerol, and sodium azide (ab33766).

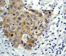
Immunohistochemistry (Formalin/PFA-fixed paraffin-embedded sections) - Anti-eIF4E antibody [Y448] - BSA and Azide free (AB240923)
  • IHC-P

Unknown

Immunohistochemistry (Formalin/PFA-fixed paraffin-embedded sections) - Anti-eIF4E antibody [Y448] - BSA and Azide free (AB240923)

Immunohistochemistry (Formalin/PFA-fixed paraffin-embedded sections) analysis of Human cervical carcinoma tissue sections labeling eIF4E with Purified ab33766 at 1 : 100 dilution (1.33 μg/ml). Heat mediated antigen retrieval was performed with Tris-EDTA buffer (pH 9.0, epitope retrieval solution 2) for 10mins. Rabbit specific IHC polymer detection kit HRP/DAB (ab209101)was used as the secondary antibody. Negative control : PBS instead of the primary antibody. Hematoxylin was used as a counterstain.
This data was developed using the same antibody clone in a different buffer formulation containing PBS, BSA, glycerol, and sodium azide (ab33766)

Flow Cytometry (Intracellular) - Anti-eIF4E antibody [Y448] - BSA and Azide free (AB240923)
  • Flow Cyt (Intra)

Unknown

Flow Cytometry (Intracellular) - Anti-eIF4E antibody [Y448] - BSA and Azide free (AB240923)

Intracellular Flow Cytometry analysis of HEK-293 (Human embryonic kidney epithelial cell) cells labeling eIF4E with Purified ab33766 at 1/200 dilution (1μg/ml) (red). Cells were fixed with 80% Methanol. A Goat anti rabbit IgG (Alexa Fluor® 488, ab150077) secondary antibody was used at 1/2000. Isotype control - Rabbit monoclonal IgG (Black). Unlabeled control - Cell without incubation with primary antibody and secondary antibody (Blue). This data was developed using the same antibody clone in a different buffer formulation containing PBS, BSA, glycerol, and sodium azide (ab33766)

Flow Cytometry (Intracellular) - Anti-eIF4E antibody [Y448] - BSA and Azide free (AB240923)
  • Flow Cyt (Intra)

Unknown

Flow Cytometry (Intracellular) - Anti-eIF4E antibody [Y448] - BSA and Azide free (AB240923)

Overlay histogram showing HEK293 cells stained with ab33766 (red line). The cells were fixed with 80% methanol (5 min) and then permeabilized with 0.1% PBS-Tween for 20 min. The cells were then incubated in 1x PBS / 10% normal goat serum / 0.3M glycine to block non-specific protein-protein interactions. The cells were then incubated with the antibody (ab33766, 1μg/1x106 cells) for 30 min at 22°C. The secondary antibody used was DyLight® 488 goat anti-rabbit IgG (H+L) (ab96899) at 1/500 dilution for 30 min at 22°C. Isotype control antibody (black line) was rabbit IgG (1μg/1x106 cells) used under the same conditions. Acquisition of >5,000 events was performed.

This data was developed using the same antibody clone in a different buffer formulation containing PBS, BSA, glycerol, and sodium azide (ab33766).

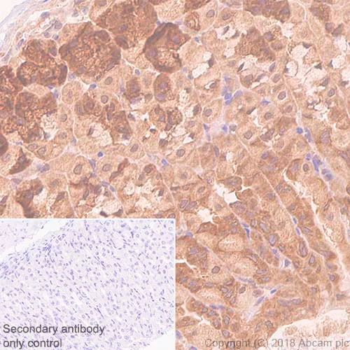
Immunohistochemistry (Formalin/PFA-fixed paraffin-embedded sections) - Anti-eIF4E antibody [Y448] - BSA and Azide free (AB240923)
  • IHC-P

Unknown

Immunohistochemistry (Formalin/PFA-fixed paraffin-embedded sections) - Anti-eIF4E antibody [Y448] - BSA and Azide free (AB240923)

Immunohistochemistry (Formalin/PFA-fixed paraffin-embedded sections) analysis of Rat kidney tissue sections labeling eIF4E with Purified ab33766 at 1 : 100 dilution (1.33 μg/ml). Heat mediated antigen retrieval was performed with Tris-EDTA buffer (pH 9.0, epitope retrieval solution 2) for 10mins. Rabbit specific IHC polymer detection kit HRP/DAB (ab209101)was used as the secondary antibody. Negative control : PBS instead of the primary antibody. Hematoxylin was used as a counterstain.
This data was developed using the same antibody clone in a different buffer formulation containing PBS, BSA, glycerol, and sodium azide (ab33766)

Immunocytochemistry/ Immunofluorescence - Anti-eIF4E antibody [Y448] - BSA and Azide free (AB240923)
  • ICC/IF

Unknown

Immunocytochemistry/ Immunofluorescence - Anti-eIF4E antibody [Y448] - BSA and Azide free (AB240923)

Immunocytochemistry/ Immunofluorescence analysis of RAW 264.7 (Mouse Abelson murine leukemia virus-induced tumor macrophage) cells labeling eIF4E with Purified ab33766 at 1 : 500 dilution (0.3 μg/ml). Cells were fixed in 100% Methanol and permeabilized with None. Cells were counterstained with ab195889 Anti-alpha Tubulin antibody [DM1A] - Microtubule Marker (Alexa Fluor® 594) 1 : 200 (2.5 μg/ml). Goat anti rabbit IgG (Alexa Fluor® 488, ab150077) was used as the secondary antibody at 1 : 1000 (2 μg/ml) dilution. DAPI nuclear counterstain. PBS instead of the primary antibody was used as the secondary antibody only control.
This data was developed using the same antibody clone in a different buffer formulation containing PBS, BSA, glycerol, and sodium azide (ab33766)

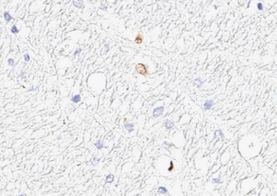
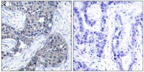
Immunohistochemistry (Formalin/PFA-fixed paraffin-embedded sections) - Anti-eIF4E antibody [Y448] - BSA and Azide free (AB240923)
  • IHC-P

Unknown

Immunohistochemistry (Formalin/PFA-fixed paraffin-embedded sections) - Anti-eIF4E antibody [Y448] - BSA and Azide free (AB240923)

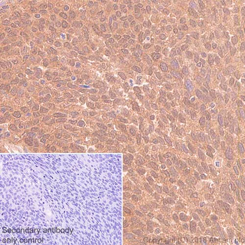
This image shows human breast carcinoma stained with ab33766.

This data was developed using the same antibody clone in a different buffer formulation containing PBS, BSA, glycerol, and sodium azide (ab33766).

Immunohistochemistry (Formalin/PFA-fixed paraffin-embedded sections) - Anti-eIF4E antibody [Y448] - BSA and Azide free (AB240923)
  • IHC-P

Unknown

Immunohistochemistry (Formalin/PFA-fixed paraffin-embedded sections) - Anti-eIF4E antibody [Y448] - BSA and Azide free (AB240923)

Immunohistochemistry (Formalin/PFA-fixed paraffin-embedded sections) analysis of Mouse stomach tissue sections labeling eIF4E with Purified ab33766 at 1 : 100 dilution (1.33 μg/ml). Heat mediated antigen retrieval was performed with Tris-EDTA buffer (pH 9.0, epitope retrieval solution 2) for 10mins. Rabbit specific IHC polymer detection kit HRP/DAB (ab209101)was used as the secondary antibody. Negative control : PBS instead of the primary antibody. Hematoxylin was used as a counterstain.
This data was developed using the same antibody clone in a different buffer formulation containing PBS, BSA, glycerol, and sodium azide (ab33766)

Immunoprecipitation - Anti-eIF4E antibody [Y448] - BSA and Azide free (AB240923)
  • IP

Unknown

Immunoprecipitation - Anti-eIF4E antibody [Y448] - BSA and Azide free (AB240923)

ab33766 (purified) at 1 : 20 dilution (0.6μg) immunoprecipitating eIF4E in HEK-293 whole cell lysate.
Lane 1 (input) : HEK-293 (Human embryonic kidney epithelial cell) whole cell lysate 10μg
Lane 2 (+) : ab33766 & HEK-293 whole cell lysate
Lane 3 (-) : Rabbit monoclonal IgG (ab172730) instead of ab33766 in HEK-293 whole cell lysate
For western blotting, VeriBlot for IP Detection Reagent (HRP) (ab131366) was used for detection at 1 : 10,000 dilution.
Blocking and diluting buffer : 5% NFDM/TBST.
This data was developed using the same antibody clone in a different buffer formulation containing PBS, BSA, glycerol, and sodium azide (ab33766)

All lanes:

Immunoprecipitation - Anti-eIF4E antibody [Y448] (<a href='/en-us/products/primary-antibodies/eif4e-antibody-y448-ab33766'>ab33766</a>)

Predicted band size: 25 kDa

false

Key facts

Host species

Rabbit

Clonality

Monoclonal

Clone number

Y448

Isotype

IgG

Carrier free

Yes

Reacts with

Mouse, Rat, Human

Applications

Flow Cyt (Intra), ICC/IF, WB, IP, IHC-P

applications

Immunogen

The exact immunogen used to generate this antibody is proprietary information.

Specificity

The antibody detects a band on western blot of approximately 28 kDa.

Reactivity data

{ "title": "Reactivity Data", "filters": { "stats": ["", "Species", "Dilution Info", "Notes"], "tabs": { "all-applications": {"fullname" : "All Applications", "shortname": "All Applications"}, "IP" : {"fullname" : "Immunoprecipitation", "shortname":"IP"}, "WB" : {"fullname" : "Western blot", "shortname":"WB"}, "ICCIF" : {"fullname" : "Immunocytochemistry/ Immunofluorescence", "shortname":"ICC/IF"}, "FlowCytIntra" : {"fullname" : "Flow Cytometry (Intracellular)", "shortname":"Flow Cyt (Intra)"}, "IHCP" : {"fullname" : "Immunohistochemistry (Formalin/PFA-fixed paraffin-embedded sections)", "shortname":"IHC-P"} }, "product-promise": { "all": "all", "testedAndGuaranteed": "tested", "guaranteed": "expected", "predicted": "predicted", "notRecommended": "not-recommended" } }, "values": { "Human": { "IP-species-checked": "testedAndGuaranteed", "IP-species-dilution-info": "", "IP-species-notes": "<p></p>", "WB-species-checked": "guaranteed", "WB-species-dilution-info": "", "WB-species-notes": "<p></p>", "ICCIF-species-checked": "guaranteed", "ICCIF-species-dilution-info": "", "ICCIF-species-notes": "", "FlowCytIntra-species-checked": "testedAndGuaranteed", "FlowCytIntra-species-dilution-info": "", "FlowCytIntra-species-notes": "<p><a href='/en-us/products/primary-antibodies/rabbit-igg-monoclonal-epr25a-isotype-control-low-endotoxin-azide-free-ab199376'>ab199376</a> - Rabbit monoclonal IgG, is suitable for use as an isotype control with this antibody.</p>", "IHCP-species-checked": "guaranteed", "IHCP-species-dilution-info": "", "IHCP-species-notes": "" }, "Mouse": { "IP-species-checked": "guaranteed", "IP-species-dilution-info": "", "IP-species-notes": "", "WB-species-checked": "guaranteed", "WB-species-dilution-info": "", "WB-species-notes": "<p></p>", "ICCIF-species-checked": "testedAndGuaranteed", "ICCIF-species-dilution-info": "", "ICCIF-species-notes": "<p></p>", "FlowCytIntra-species-checked": "guaranteed", "FlowCytIntra-species-dilution-info": "", "FlowCytIntra-species-notes": "", "IHCP-species-checked": "guaranteed", "IHCP-species-dilution-info": "", "IHCP-species-notes": "" }, "Rat": { "IP-species-checked": "guaranteed", "IP-species-dilution-info": "", "IP-species-notes": "", "WB-species-checked": "guaranteed", "WB-species-dilution-info": "", "WB-species-notes": "<p></p>", "ICCIF-species-checked": "guaranteed", "ICCIF-species-dilution-info": "", "ICCIF-species-notes": "", "FlowCytIntra-species-checked": "guaranteed", "FlowCytIntra-species-dilution-info": "", "FlowCytIntra-species-notes": "", "IHCP-species-checked": "testedAndGuaranteed", "IHCP-species-dilution-info": "", "IHCP-species-notes": "<p></p>" } } }

Product details

ab240923 is the carrier-free version of ab33766.

Patented technology
Our RabMAb® technology is a patented hybridoma-based technology for making rabbit monoclonal antibodies. For details on our patents, please refer to RabMAb® patents.

What are the advantages of a recombinant monoclonal antibody?
This product is a recombinant monoclonal antibody, which offers several advantages including:

  • - High batch-to-batch consistency and reproducibility
  • - Improved sensitivity and specificity
  • - Long-term security of supply
  • - Animal-free batch production

For more information, read more on recombinant antibodies.

Conjugation ready
Our carrier-free antibodies are typically supplied in a PBS-only formulation, purified and free of BSA, sodium azide and glycerol. This conjugation-ready format is designed for use with fluorochromes, metal isotopes, oligonucleotides, and enzymes, which makes them ideal for antibody labelling, functional and cell-based assays, flow-based assays (e.g. mass cytometry) and Multiplex Imaging applications.

Use our conjugation kits for antibody conjugates that are ready-to-use in as little as 20 minutes with 1 minute hands-on-time and 100% antibody recovery: available for fluorescent dyes, HRP, biotin and gold.

Compatibility
This product is compatible with the Maxpar® Antibody Labeling Kit from Fluidigm, without the need for antibody preparation. Maxpar® is a trademark of Fluidigm Canada Inc.

Properties and storage information

Form
Liquid
Purification technique
Affinity purification Protein A
Storage buffer
pH: 7.2 - 7.4 Constituents: PBS
Shipped at conditions
Blue Ice
Appropriate short-term storage conditions
+4°C
Appropriate long-term storage conditions
+4°C
Storage information
Do Not Freeze

Supplementary information

This supplementary information is collated from multiple sources and compiled automatically.

The eIF4E protein also known as the eukaryotic translation initiation factor 4E functions mainly in the initiation phase of mRNA translation. It plays a role by binding to the 7-methylguanylate cap structure at the 5’ end of mRNA facilitating ribosome assembly on mRNA. The molecular weight of eIF4E is approximately 25 kDa and it is ubiquitously expressed in various tissues across eukaryotic organisms. Additionally phosphorylation of eIF4E affects its activity and is an important post-translational modification.
Biological function summary

EIF4E regulates gene expression at the translational level and is a part of the eIF4F complex which also includes eIF4A and eIF4G. This complex is essential for the recruitment of ribosomes to the mRNA impacting the rate of protein synthesis. Changes in eIF4E levels can alter the translational efficiency of specific mRNAs thereby influencing cellular growth and proliferation.

Pathways

EIF4E directly involves in the mTOR signaling pathway which regulates cell growth proliferation and survival. Within this pathway eIF4E interacts with proteins such as 4EBP1 which binds to eIF4E and inhibits its function in the absence of phosphorylation by mTOR. This interaction illustrates the control mechanism of protein synthesis under different cellular conditions connecting it to various signaling cascades.

EIF4E has been linked to cancer and neurodegenerative conditions. In cancer overexpression of eIF4E leads to increased translation of oncogenes facilitating tumorigenesis. The mTOR pathway proteins like mTOR and 4EBP1 are often dysregulated in these cases. Conversely its role in neurological disorders involves the aberrant regulation of synaptic proteins like PSD95 impacting neuronal communication and function.

Product protocols

For this product, it's our understanding that no specific protocols are required. You can visit:

Target data

Acts in the cytoplasm to initiate and regulate protein synthesis and is required in the nucleus for export of a subset of mRNAs from the nucleus to the cytoplasm which promotes processes such as RNA capping, processing and splicing (PubMed : 11606200, PubMed : 22578813, PubMed : 22684010, PubMed : 24335285, PubMed : 29987188). Component of the protein complex eIF4F, which is involved in the recognition of the mRNA cap, ATP-dependent unwinding of 5'-terminal secondary structure and recruitment of mRNA to the ribosome (By similarity). This protein recognizes and binds the 7-methylguanosine (m7G)-containing mRNA cap during an early step in the initiation of protein synthesis and facilitates ribosome binding by inducing the unwinding of the mRNAs secondary structures (PubMed : 16271312, PubMed : 22578813). Together with EIF4G1, antagonizes the scanning promoted by EIF1-EIF4G1 and is required for TISU translation, a process where the TISU element recognition makes scanning unnecessary (PubMed : 29987188). In addition to its role in translation initiation, also acts as a regulator of translation and stability in the cytoplasm (PubMed : 24335285). Component of the CYFIP1-EIF4E-FMR1 complex which binds to the mRNA cap and mediates translational repression : in the complex, EIF4E mediates the binding to the mRNA cap (By similarity). Component of a multiprotein complex that sequesters and represses translation of proneurogenic factors during neurogenesis (By similarity). In P-bodies, component of a complex that mediates the storage of translationally inactive mRNAs in the cytoplasm and prevents their degradation (PubMed : 24335285). May play an important role in spermatogenesis through translational regulation of stage-specific mRNAs during germ cell development (By similarity). As well as its roles in translation, also involved in mRNA nucleocytoplasmic transport (By similarity). Its role in mRNA export from the nucleus to the cytoplasm relies on its ability to bind the m7G cap of RNAs and on the presence of the 50-nucleotide EIF4E sensitivity element (4ESE) in the 3'UTR of sensitive transcripts (By similarity). Interaction with the 4ESE is mediated by LRPPRC which binds simultaneously to both EIF4E and the 4ESE, thereby acting as a platform for assembly for the RNA export complex (By similarity). EIF4E-dependent mRNA export is independent of ongoing protein or RNA synthesis and is also NFX1-independent but is XPO1-dependent with LRPPRC interacting with XPO1 to form an EIF4E-dependent mRNA export complex (By similarity). Alters the composition of the cytoplasmic face of the nuclear pore to promote RNA export by reducing RANBP2 expression, relocalizing nucleoporin NUP214 and increasing expression of RANBP1 and RNA export factors DDX19 and GLE1 (By similarity). Promotes the nuclear export of cyclin CCND1 mRNA (By similarity). Promotes the nuclear export of NOS2/iNOS mRNA (PubMed : 23471078). Promotes the nuclear export of MDM2 mRNA (PubMed : 22684010). Promotes the export of additional mRNAs, including others involved in the cell cycle (By similarity). In the nucleus, binds to capped splice factor-encoding mRNAs and stimulates their nuclear export to enhance splice factor production by increasing their cytoplasmic availability to the translation machinery (By similarity). May also regulate splicing through interaction with the spliceosome in an RNA and m7G cap-dependent manner (By similarity). Also binds to some pre-mRNAs and may play a role in their recruitment to the spliceosome (By similarity). Promotes steady-state capping of a subset of coding and non-coding RNAs by mediating nuclear export of capping machinery mRNAs including RNMT, RNGTT and RAMAC to enhance their translation (By similarity). Stimulates mRNA 3'-end processing by promoting the expression of several core cleavage complex factors required for mRNA cleavage and polyadenylation, and may also have a direct effect through its interaction with the CPSF3 cleavage enzyme (By similarity). Rescues cells from apoptosis by promoting activation of serine/threonine-protein kinase AKT1 through mRNA export of NBS1 which potentiates AKT1 phosphorylation and also through mRNA export of AKT1 effectors, allowing for increased production of these proteins (By similarity).
See full target information EIF4E

Publications (1)

Recent publications for all applications. Explore the full list and refine your search

Journal of cellular and molecular medicine 29:e70693 PubMed40703032

2025

A PEDF-Derived Short Peptide Prevents Sodium Iodate-Induced Retinal Degeneration in Rats by Activating the SLC7A11/GSH/GPX4 Pathway in the RPE Cells.

Applications

Unspecified application

Species

Unspecified reactive species

Tsung-Chuan Ho,Shawn-H Tsai,Shu-I Yeh,Ming-Hui Sun,Yeou-Ping Tsao
View all publications

Product promise

We are committed to supporting your work with high-quality reagents, and we're here for you every step of the way. In the unlikely event that one of our products does not perform as expected, you're protected by our Product Promise.
For full details, please see our Terms & Conditions

Please note: All products are 'FOR RESEARCH USE ONLY. NOT FOR USE IN DIAGNOSTIC OR THERAPEUTIC PROCEDURES'.

For licensing inquiries, please contact partnerships@abcam.com