JavaScript is disabled in your browser. Please enable JavaScript to view this website.
AB32130

Anti-eIF4EBP1 antibody [Y330]

  • 20ul selling size
  • RabMAb
  • Recombinant
  • KO Validated
  • What is this?

Be the first to review this product! Submit a review

|

(10 Publications)

Rabbit Recombinant Monoclonal eIF4EBP1 antibody. Suitable for IHC-P, WB, Flow Cyt (Intra) and reacts with Human samples. Cited in 10 publications.

View Alternative Names

Eukaryotic translation initiation factor 4E-binding protein 1, 4E-BP1, eIF4E-binding protein 1, Phosphorylated heat- and acid-stable protein regulated by insulin 1, PHAS-I, EIF4EBP1

5 Images
Flow Cytometry (Intracellular) - Anti-eIF4EBP1 antibody [Y330] (AB32130)
  • Flow Cyt (Intra)

Lab

Flow Cytometry (Intracellular) - Anti-eIF4EBP1 antibody [Y330] (AB32130)

Flow Cytometry analysis of HeLa (Human cervix adenocarcinoma epithelial cell) cells labeling eIF4EBP1 with purified ab32130 at 1/1000 dilution (1 μg/mL) (Red). Cells were fixed with 4% Paraformaldehyde and permeabilised with 90% Methanol. A Goat anti rabbit IgG (Alexa Fluor® 488, ab150077) secondary antibody was used at 1/2000. Isotype control - Rabbit monoclonal IgG (Left).
Low expression in mitotic phase was consistent with literature. (PMID : 11553333)

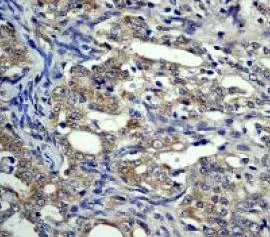
Immunohistochemistry (Formalin/PFA-fixed paraffin-embedded sections) - Anti-eIF4EBP1 antibody [Y330] (AB32130)
  • IHC-P

Unknown

Immunohistochemistry (Formalin/PFA-fixed paraffin-embedded sections) - Anti-eIF4EBP1 antibody [Y330] (AB32130)

ab32130, staining human prostate carcinoma by immunohistochemistry, Paraffin embedded tissue

Perform heat mediated antigen retrieval with citrate buffer pH 6 before commencing with IHC staining protocol.

Western blot - Anti-eIF4EBP1 antibody [Y330] (AB32130)
  • WB

Lab

Western blot - Anti-eIF4EBP1 antibody [Y330] (AB32130)

Lanes 1 - 4 : Merged signal (red and green). Green - ab32130 observed at 20 kDa. Red - loading control, ab8245, observed at 37 kDa.

ab32130 was shown to specifically react with eIF4EBP1 when eIF4EBP1 knockout samples were used. Wild-type and eIF4EBP1 knockout samples were subjected to SDS-PAGE. ab32130 and ab8245 (loading control to GAPDH) were diluted 1/1000 and 1/2000 respectively and incubated overnight at 4°C. Blots were developed with Goat anti-Rabbit IgG H&L (IRDye® 800CW) preadsorbed (ab216773) and Goat anti-Mouse IgG H&L (IRDye® 680RD) preadsorbed (ab216776) secondary antibodies at 1/10000 dilution for 1 h at room temperature before imaging.

All lanes:

Western blot - Anti-eIF4EBP1 antibody [Y330] (ab32130) at 1/1000 dilution

Lane 1:

Wild-type HAP1 cell lysate at 20 µg

Lane 2:

eIF4EBP1 knockout HAP1 cell lysate at 20 µg

Lane 3:

Hek293 cell lysate at 20 µg

Lane 4:

K562 cell lysate at 20 µg

Predicted band size: 13 kDa

false

Western blot - Anti-eIF4EBP1 antibody [Y330] (AB32130)
  • WB

Unknown

Western blot - Anti-eIF4EBP1 antibody [Y330] (AB32130)

All lanes:

Western blot - Anti-eIF4EBP1 antibody [Y330] (ab32130) at 1/1000 dilution

All lanes:

K562 cell lysate

Predicted band size: 13 kDa

Observed band size: 18 kDa

false

Western blot - Anti-eIF4EBP1 antibody [Y330] (AB32130)
  • WB

Lab

Western blot - Anti-eIF4EBP1 antibody [Y330] (AB32130)

Lanes 1-2 : Merged signal (red and green). Green - ab32130 observed at 13 kDa. Red - loading control ab8245 observed at 37 kDa.

ab32130 Anti-eIF4EBP1 antibody [Y330] was shown to specifically react with eIF4EBP1 in wild-type HeLa cells. Loss of signal was observed when knockout cell line ab264784 (knockout cell lysate ab257146) was used. Wild-type and eIF4EBP1 knockout samples were subjected to SDS-PAGE. ab32130 and Anti-GAPDH antibody [6C5] - Loading Control (ab8245) were incubated overnight at 4°C at 1 in 1000 Dilution and 1 in 20000 dilution respectively. Blots were developed with Goat anti-Rabbit IgG H&L (IRDye® 800CW) preadsorbed (ab216773) and Goat anti-Mouse IgG H&L (IRDye® 680RD) preadsorbed (ab216776) secondary antibodies at 1 in 20000 dilution for 1 hour at room temperature before imaging.

All lanes:

Western blot - Anti-eIF4EBP1 antibody [Y330] (ab32130) at 1/1000 dilution

Lane 1:

Wild-type HeLa cell lysate at 20 µg

Lane 2:

EIF4EBP1 knockout HeLa cell lysate at 20 µg

Lane 2:

Western blot - Human EIF4EBP1 knockout HeLa cell line (<a href='/en-us/products/cell-lines/human-eif4ebp1-knockout-hela-cell-line-ab264784'>ab264784</a>)

Predicted band size: 13 kDa,36 kDa

Observed band size: 13 kDa

false

  • Carrier free

    Anti-eIF4EBP1 antibody [Y330] - BSA and Azide free

Key facts

Host species

Rabbit

Clonality

Monoclonal

Clone number

Y330

Isotype

IgG

Carrier free

No

Reacts with

Human

Applications

Flow Cyt (Intra), WB, IHC-P

applications

Immunogen

The exact immunogen used to generate this antibody is proprietary information.

Specificity

ab32130 recognises 4E-BP1 (eIF4E-binding protein) also known as PHAS.

Reactivity data

{ "title": "Reactivity Data", "filters": { "stats": ["", "Species", "Dilution Info", "Notes"], "tabs": { "all-applications": {"fullname" : "All Applications", "shortname": "All Applications"}, "IHCP" : {"fullname" : "Immunohistochemistry (Formalin/PFA-fixed paraffin-embedded sections)", "shortname":"IHC-P"}, "ICCIF" : {"fullname" : "Immunocytochemistry/ Immunofluorescence", "shortname":"ICC/IF"}, "WB" : {"fullname" : "Western blot", "shortname":"WB"}, "FlowCytIntra" : {"fullname" : "Flow Cytometry (Intracellular)", "shortname":"Flow Cyt (Intra)"} }, "product-promise": { "all": "all", "testedAndGuaranteed": "tested", "guaranteed": "expected", "predicted": "predicted", "notRecommended": "not-recommended" } }, "values": { "Human": { "IHCP-species-checked": "testedAndGuaranteed", "IHCP-species-dilution-info": "", "IHCP-species-notes": "<p></p>", "ICCIF-species-checked": "notRecommended", "ICCIF-species-dilution-info": "", "ICCIF-species-notes": "<p></p>", "WB-species-checked": "testedAndGuaranteed", "WB-species-dilution-info": "1/1000", "WB-species-notes": "<p></p>", "FlowCytIntra-species-checked": "testedAndGuaranteed", "FlowCytIntra-species-dilution-info": "1/1000", "FlowCytIntra-species-notes": "<p></p>" } } }

Product details

Species reactivity
Mouse, Rat: We have preliminary internal testing data to indicate this antibody may not react with these species.
Please contact us for more information.

Patented technology
Our RabMAb® technology is a patented hybridoma-based technology for making rabbit monoclonal antibodies. For details on our patents, please refer to RabMAb® patents.

What are the advantages of a recombinant monoclonal antibody?
This product is a recombinant monoclonal antibody, which offers several advantages including:

  • - High batch-to-batch consistency and reproducibility
  • - Improved sensitivity and specificity
  • - Long-term security of supply
  • - Animal-free batch production

For more information, read more on recombinant antibodies.

Properties and storage information

Form
Liquid
Purification technique
Affinity purification Protein A
Storage buffer
pH: 7.2 - 7.4 Preservative: 0.01% Sodium azide Constituents: PBS, 50% Glycerol (glycerin, glycerine), 0.05% BSA
Shipped at conditions
Blue Ice
Appropriate short-term storage conditions
+4°C
Appropriate long-term storage conditions
-20°C
Aliquoting information
Upon delivery aliquot
Storage information
Avoid freeze / thaw cycle

Supplementary information

This supplementary information is collated from multiple sources and compiled automatically.

EIF4EBP1 also known as 4EBP1 or p4EBP1 is an important protein that acts as a translational repressor by binding to eIF4E therefore inhibiting cap-dependent translation. The molecular weight of 4EBP1 is approximately 12 kDa. This protein is ubiquitously expressed in various tissues indicating its widespread involvement in cellular functions. eIF4EBP1 can be detected and quantified using techniques like the eIF4EBP1 ELISA making it a common target in research for its role in translation regulation.
Biological function summary

EIF4EBP1 plays an important role in regulating cell growth and proliferation by modulating protein synthesis. It is a part of the eIF4F complex which is responsible for the initiation of mRNA translation. When hypophosphorylated eIF4EBP1 binds tightly to eIF4E and prevents the assembly of the active eIF4F complex leading to reduced translation initiation of mRNAs involved in growth and survival. This regulation is important in conditions where cells need to adapt to metabolic stress or external signals.

Pathways

The mammalian target of rapamycin (mTOR) pathway regulates eIF4EBP1 through phosphorylation. In response to growth signals mTOR phosphorylates eIF4EBP1 causing the release of eIF4E and allowing mRNA translation to proceed. This interaction links eIF4EBP1 to the PI3K/AKT/mTOR signaling pathway which influences cell cycle progression and survival. Related proteins in this pathway include ribosomal protein S6 kinase (S6K1) which is also phosphorylated by mTOR to promote protein synthesis.

Deregulation of eIF4EBP1 has been implicated in cancer and neurological disorders. In cancer hyperactive mTOR signaling can lead to excessive phosphorylation of 4EBP1 decreasing its ability to inhibit eIF4E and enhancing translation of oncogenic proteins. In neurological disorders imbalanced eIF4EBP1 activity can disrupt synaptic plasticity and memory formation. Proteins such as p70S6K which are also part of the mTOR pathway share connections with eIF4EBP1 in these pathological conditions.

Product protocols

For this product, it's our understanding that no specific protocols are required. You can visit:

Target data

Repressor of translation initiation that regulates EIF4E activity by preventing its assembly into the eIF4F complex : hypophosphorylated form competes with EIF4G1/EIF4G3 and strongly binds to EIF4E, leading to repress translation. In contrast, hyperphosphorylated form dissociates from EIF4E, allowing interaction between EIF4G1/EIF4G3 and EIF4E, leading to initiation of translation. Mediates the regulation of protein translation by hormones, growth factors and other stimuli that signal through the MAP kinase and mTORC1 pathways.
See full target information EIF4EBP1

Publications (10)

Recent publications for all applications. Explore the full list and refine your search

Scientific reports 11:24005 PubMed34907287

2021

Spontaneous formation of neutrophil extracellular traps is associated with autophagy.

Applications

Unspecified application

Species

Unspecified reactive species

Yun Guo,Fei Gao,Xin Wang,Zhenzhen Pan,Qian Wang,Shiyao Xu,Shanshan Pan,Ling Li,Deyu Zhao,Jun Qian

Animal cells and systems 25:283-295 PubMed34745435

2021

Se improves GPX4 expression and SOD activity to alleviate heat-stress-induced ferroptosis-like death in goat mammary epithelial cells.

Applications

Unspecified application

Species

Unspecified reactive species

Lu Liu,Manjiang Wang,Ning Gong,Peng Tian,Hongxia Deng

International journal of biological sciences 17:2970-2983 PubMed34345220

2021

MicroRNA-216b targets to potentiate autophagy and apoptosis of breast cancer cells the mTOR signaling pathway.

Applications

Unspecified application

Species

Unspecified reactive species

Ting Liu,Ping Ye,Yuanyuan Ye,Baosan Han

Biochemical and biophysical research communication 527:489-495 PubMed32336547

2020

Eukaryotic Initiation Factor 4E phosphorylation acts a switch for its binding to 4E-BP1 and mRNA cap assembly.

Applications

Unspecified application

Species

Unspecified reactive species

Asiya Batool,Sheikh Tahir Majeed,Sabreena Aashaq,Rabiya Majeed,Khurshid Iqbal Andrabi

Pathology international 70:323-329 PubMed32067331

2020

Analysis of mTOR pathway expression in lymphatic malformation and related diseases.

Applications

Unspecified application

Species

Unspecified reactive species

Yumiko Hori,Michio Ozeki,Katsutoshi Hirose,Kentaro Matsuoka,Takahiro Matsui,Masaharu Kohara,Shinichiro Tahara,Satoru Toyosawa,Toshiyuki Fukao,Eiichi Morii

Cancer biology & therapy 19:584-589 PubMed29708815

2018

PI3K/AKT/mTOR pathway inhibitors inhibit the growth of melanoma cells with mTOR H2189Y mutations in vitro.

Applications

Unspecified application

Species

Unspecified reactive species

Xiaowen Wu,Jiayi Yu,Junya Yan,Jie Dai,Lu Si,Zhihong Chi,Xinan Sheng,Chuanliang Cui,Meng Ma,Huan Tang,Tianxiao Xu,Huan Yu,Yan Kong,Jun Guo

Mycology 7:64-73 PubMed30123617

2016

Rasfonin promotes autophagy and apoptosis via upregulation of reactive oxygen species (ROS)/JNK pathway.

Applications

Unspecified application

Species

Unspecified reactive species

Weijun Wang,Hui Sun,Yongsheng Che,Xuejun Jiang

Cell death & disease 6:e2005 PubMed26633711

2015

Akt inhibition attenuates rasfonin-induced autophagy and apoptosis through the glycolytic pathway in renal cancer cells.

Applications

Unspecified application

Species

Human

Q Lu,S Yan,H Sun,W Wang,Y Li,X Yang,X Jiang,Y Che,Z Xi

PloS one 9:e92099 PubMed24637915

2014

MiR-99a antitumor activity in human breast cancer cells through targeting of mTOR expression.

Applications

WB

Species

Human

Yu Hu,Qin Zhu,Lili Tang

Journal of the American Society of Nephrology : JA 23:1351-63 PubMed22773827

2012

Growth-dependent podocyte failure causes glomerulosclerosis.

Applications

Unspecified application

Species

Unspecified reactive species

Akihiro Fukuda,Mahboob A Chowdhury,Madhusudan P Venkatareddy,Su Q Wang,Ryuzoh Nishizono,Tsukasa Suzuki,Larysa T Wickman,Jocelyn E Wiggins,Timothy Muchayi,Diane Fingar,Kerby A Shedden,Ken Inoki,Roger C Wiggins
View all publications

Product promise

We are committed to supporting your work with high-quality reagents, and we're here for you every step of the way. In the unlikely event that one of our products does not perform as expected, you're protected by our Product Promise.
For full details, please see our Terms & Conditions

Please note: All products are 'FOR RESEARCH USE ONLY. NOT FOR USE IN DIAGNOSTIC OR THERAPEUTIC PROCEDURES'.

For licensing inquiries, please contact partnerships@abcam.com