JavaScript is disabled in your browser. Please enable JavaScript to view this website.
AB247374

Anti-eIF4EBP1 + eIF4EBP2 + eIF4EBP3 (phospho T45) antibody [EPR2169Y] - BSA and Azide free

Be the first to review this product! Submit a review

|

(1 Publication)

Rabbit Recombinant Monoclonal eIF4EBP1 phospho T45 antibody. Carrier free. Suitable for IHC-P, WB and reacts with Human samples. Cited in 1 publication.

View Alternative Names

Eukaryotic translation initiation factor 4E-binding protein 1, 4E-BP1, eIF4E-binding protein 1, Phosphorylated heat- and acid-stable protein regulated by insulin 1, PHAS-I, EIF4EBP1, Eukaryotic translation initiation factor 4E-binding protein 2, 4E-BP2, eIF4E-binding protein 2, EIF4EBP2, Eukaryotic translation initiation factor 4E-binding protein 3, 4E-BP3, eIF4E-binding protein 3, EIF4EBP3

2 Images
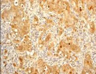
Immunohistochemistry (Formalin/PFA-fixed paraffin-embedded sections) - Anti-eIF4EBP1 + eIF4EBP2 + eIF4EBP3 (phospho T45) antibody [EPR2169Y] - BSA and Azide free (AB247374)
  • IHC-P

Unknown

Immunohistochemistry (Formalin/PFA-fixed paraffin-embedded sections) - Anti-eIF4EBP1 + eIF4EBP2 + eIF4EBP3 (phospho T45) antibody [EPR2169Y] - BSA and Azide free (AB247374)

This data was developed using ab68187, the same antibody clone in a different buffer formulation.

Human breast carcinoma tissue stained with ab68187 at 1/50 dilution.

Perform heat mediated antigen retrieval before commencing with IHC staining protocol.

Western blot - Anti-eIF4EBP1 + eIF4EBP2 + eIF4EBP3 (phospho T45) antibody [EPR2169Y] - BSA and Azide free (AB247374)
  • WB

Unknown

Western blot - Anti-eIF4EBP1 + eIF4EBP2 + eIF4EBP3 (phospho T45) antibody [EPR2169Y] - BSA and Azide free (AB247374)

This data was developed using ab68187, the same antibody clone in a different buffer formulation.

All lanes:

Western blot - Anti-eIF4EBP1 + eIF4EBP2 + eIF4EBP3 (phospho T45) antibody [EPR2169Y] (<a href='/en-us/products/primary-antibodies/eif4ebp1-eif4ebp2-eif4ebp3-phospho-t45-antibody-epr2169y-ab68187'>ab68187</a>)

Lane 1:

293T cell lysate, untreated at 10 µg

Lane 2:

293T cell lysate, treated with FBS at 10 µg

Secondary

All lanes:

HRP conjugated Goat anti-rabbit at 1/2000 dilution

Predicted band size: 13 kDa

Observed band size: 14-19 kDa

false

  • Unconjugated

    Anti-eIF4EBP1 + eIF4EBP2 + eIF4EBP3 (phospho T45) antibody [EPR2169Y]

Key facts

Host species

Rabbit

Clonality

Monoclonal

Clone number

EPR2169Y

Isotype

IgG

Carrier free

Yes

Reacts with

Human

Applications

IHC-P, WB

applications

Immunogen

The exact immunogen used to generate this antibody is proprietary information.

Reactivity data

{ "title": "Reactivity Data", "filters": { "stats": ["", "Species", "Dilution Info", "Notes"], "tabs": { "all-applications": {"fullname" : "All Applications", "shortname": "All Applications"}, "IHCP" : {"fullname" : "Immunohistochemistry (Formalin/PFA-fixed paraffin-embedded sections)", "shortname":"IHC-P"}, "FlowCyt" : {"fullname" : "Flow Cytometry", "shortname":"Flow Cyt"}, "WB" : {"fullname" : "Western blot", "shortname":"WB"} }, "product-promise": { "all": "all", "testedAndGuaranteed": "tested", "guaranteed": "expected", "predicted": "predicted", "notRecommended": "not-recommended" } }, "values": { "Human": { "IHCP-species-checked": "testedAndGuaranteed", "IHCP-species-dilution-info": "", "IHCP-species-notes": "<p></p>", "FlowCyt-species-checked": "notRecommended", "FlowCyt-species-dilution-info": "", "FlowCyt-species-notes": "<p></p>", "WB-species-checked": "testedAndGuaranteed", "WB-species-dilution-info": "", "WB-species-notes": "<p></p>" }, "Mouse": { "IHCP-species-checked": "predicted", "IHCP-species-dilution-info": "", "IHCP-species-notes": "", "FlowCyt-species-checked": "notRecommended", "FlowCyt-species-dilution-info": "", "FlowCyt-species-notes": "", "WB-species-checked": "predicted", "WB-species-dilution-info": "", "WB-species-notes": "" } } }

Product details

ab247374 is the carrier-free version of ab68187.

Patented technology
Our RabMAb® technology is a patented hybridoma-based technology for making rabbit monoclonal antibodies. For details on our patents, please refer to RabMAb® patents.

What are the advantages of a recombinant monoclonal antibody?
This product is a recombinant monoclonal antibody, which offers several advantages including:

  • - High batch-to-batch consistency and reproducibility
  • - Improved sensitivity and specificity
  • - Long-term security of supply
  • - Animal-free batch production

For more information, read more on recombinant antibodies.

Species reactivity
Rat: We have preliminary internal testing data to indicate this antibody may not react with this species.
Please contact us for more information.

Conjugation ready
Our carrier-free antibodies are typically supplied in a PBS-only formulation, purified and free of BSA, sodium azide and glycerol. This conjugation-ready format is designed for use with fluorochromes, metal isotopes, oligonucleotides, and enzymes, which makes them ideal for antibody labelling, functional and cell-based assays, flow-based assays (e.g. mass cytometry) and Multiplex Imaging applications.

Use our conjugation kits for antibody conjugates that are ready-to-use in as little as 20 minutes with 1 minute hands-on-time and 100% antibody recovery: available for fluorescent dyes, HRP, biotin and gold.

Compatibility
This product is compatible with the Maxpar® Antibody Labeling Kit from Fluidigm, without the need for antibody preparation. Maxpar® is a trademark of Fluidigm Canada Inc.

Properties and storage information

Form
Liquid
Purification technique
Affinity purification Protein A
Storage buffer
pH: 7.2 - 7.4 Constituents: PBS
Shipped at conditions
Blue Ice
Appropriate short-term storage conditions
+4°C
Appropriate long-term storage conditions
+4°C
Storage information
Do Not Freeze

Supplementary information

This supplementary information is collated from multiple sources and compiled automatically.

EIF4EBP1 eIF4EBP2 and eIF4EBP3 are also known as the eukaryotic translation initiation factor 4E-binding proteins. These proteins regulate translation by binding to eukaryotic translation initiation factor 4E (eIF4E) inhibiting its role in the assembly of the eIF4F complex which is important for cap-dependent translation. eIF4EBP1 weighs approximately 12 kDa eIF4EBP2 around 13 kDa and eIF4EBP3 approximately 13 kDa. These proteins are widely expressed in various tissues with expression levels varying depending on cellular conditions and signaling factors.
Biological function summary

These proteins act as repressors of mRNA translation controlling the initiation phase of protein synthesis. They do so by modulating the availability of eIF4E to form the eIF4F complex when bound preventing the initiation of cap-dependent translation. eIF4EBP proteins are phosphorylated in response to growth factors mitogens and other stimuli which leads to their release from eIF4E allowing translation initiation to proceed. This phosphorylation places eIF4EBP proteins within a complex signaling network that involves mTOR (mechanistic target of rapamycin) signaling.

Pathways

These proteins play an important regulatory role in the mTOR pathway known to control cell growth proliferation and survival. mTOR regulates eIF4EBP phosphorylation status and consequently eIF4E availability impacting protein synthesis rates. In these pathways eIF4EBP proteins interact with proteins like eIF4G which also engage in the translational control machinery. The interplay between these proteins enables cells to respond to nutrient availability and growth signals effectively.

EIF4EBP proteins have links to cancer and metabolic diseases like diabetes. Aberrant mTOR signaling where eIF4EBP proteins are involved can contribute to excessive cell growth and cancer progression as eIF4EBPs regulate translation control. Hyperactive mTOR signaling is also connected to insulin resistance linking eIF4EBP proteins to diabetes. These proteins interact with enzymes like AKT which play roles in these disease processes by further influencing signaling pathways that govern cell metabolism and survival.

Product protocols

For this product, it's our understanding that no specific protocols are required. You can visit:

Target data

Repressor of translation initiation that regulates EIF4E activity by preventing its assembly into the eIF4F complex : hypophosphorylated form competes with EIF4G1/EIF4G3 and strongly binds to EIF4E, leading to repress translation. In contrast, hyperphosphorylated form dissociates from EIF4E, allowing interaction between EIF4G1/EIF4G3 and EIF4E, leading to initiation of translation. Mediates the regulation of protein translation by hormones, growth factors and other stimuli that signal through the MAP kinase and mTORC1 pathways.
See full target information Eukaryotic translation initiation factor 4E-binding protein 1 phospho T45

Additional targets

Eukaryotic translation initiation factor 4E-binding protein 2,Eukaryotic translation initiation factor 4E-binding protein 3

Publications (1)

Recent publications for all applications. Explore the full list and refine your search

Journal of orthopaedic surgery and research 18:477 PubMed37393232

2023

CircTBX5 knockdown modulates the miR-558/MyD88 axis to alleviate IL-1β-induced inflammation, apoptosis and extracellular matrix degradation in chondrocytes via inactivating the NF-κB signaling.

Applications

Unspecified application

Species

Unspecified reactive species

Wei Wei,Hongjie Mu,Qiaoyi Cui,Peng Yu,Tong Liu,Tao Wang,Lin Sheng
View all publications

Product promise

We are committed to supporting your work with high-quality reagents, and we're here for you every step of the way. In the unlikely event that one of our products does not perform as expected, you're protected by our Product Promise.
For full details, please see our Terms & Conditions

Please note: All products are 'FOR RESEARCH USE ONLY. NOT FOR USE IN DIAGNOSTIC OR THERAPEUTIC PROCEDURES'.

For licensing inquiries, please contact partnerships@abcam.com