JavaScript is disabled in your browser. Please enable JavaScript to view this website.
AB324948

Anti-eIF4G1 antibody [EPR30302-554]

Be the first to review this product! Submit a review

|

(0 Publication)

Rabbit Recombinant Monoclonal eIF4G1 antibody. Suitable for WB and reacts with Human, Mouse, Rat samples.

View Alternative Names

EIF4F, EIF4G, EIF4GI, EIF4G1, Eukaryotic translation initiation factor 4 gamma 1, eIF-4-gamma 1, eIF-4G 1, eIF-4G1, p220

3 Images
Western blot - Anti-eIF4G1 antibody [EPR30302-554] (AB324948)
  • WB

Supplier Data

Western blot - Anti-eIF4G1 antibody [EPR30302-554] (AB324948)

Blocking and diluting buffer and concentration : 5% NFDM/TBST.

Low expression : kidney.

The expression profile/ molecular weight observed is consistent with what has been described in the literature (PMID : 9819442; PMID : 36897548).

The bands beneath the target band (260 kDa) are likely to be degradation products.

In Western blot, Anti-Vinculin antibody [EPR8185] (ab129002) staining at 1/10000 dilution.

All lanes:

Western blot - Anti-eIF4G1 antibody [EPR30302-554] (ab324948) at 1/1000 dilution

Lane 1:

Mouse liver tissue lysate at 20 µg

Lane 2:

Mouse kidney tissue lysate at 20 µg

Lane 3:

Rat skeletal muscle tissue lysate at 20 µg

Lane 4:

Rat liver tissue lysate at 20 µg

Lane 5:

Rat kidney tissue lysate at 20 µg

Secondary

All lanes:

Western blot - Goat Anti-Rabbit IgG H&L (HRP) (<a href='/en-us/products/secondary-antibodies/goat-rabbit-igg-h-l-hrp-ab97051'>ab97051</a>) at 1/20000 dilution

false

Exposure time: 15s

Western blot - Anti-eIF4G1 antibody [EPR30302-554] (AB324948)
  • WB

Supplier Data

Western blot - Anti-eIF4G1 antibody [EPR30302-554] (AB324948)

Blocking and diluting buffer and concentration : 5% NFDM/TBST.

The expression profile/ molecular weight observed is consistent with what has been described in the literature (PMID : 9819442; PMID : 36897548).

To minimize protein degradation, cells were lysed immediately after harvest and then applied to a gel and transfer membrane for Western blotting as soon as possible.

The bands beneath the target band (260 kDa) are likely to be degradation products.

In Western blot, Anti-Vinculin antibody [EPR8185] (ab129002) staining at 1/10000 dilution.

All lanes:

Western blot - Anti-eIF4G1 antibody [EPR30302-554] (ab324948) at 1/1000 dilution

Lane 1:

HeLa (human cervical adenocarcinoma epithelial cell) fresh whole cell lysate at 20 µg

Lane 2:

293T (human embryonic kidney epithelial cell) fresh whole cell lysate at 20 µg

Lane 3:

NIH/3T3 (mouse embryonic fibroblast) fresh whole cell lysate at 20 µg

Lane 4:

PC-12 (rat adrenal gland pheochromocytoma cell) fresh whole cell lysate at 20 µg

Secondary

All lanes:

Western blot - Goat Anti-Rabbit IgG H&L (HRP) (<a href='/en-us/products/secondary-antibodies/goat-rabbit-igg-h-l-hrp-ab97051'>ab97051</a>) at 1/20000 dilution

false

Exposure time: 15s

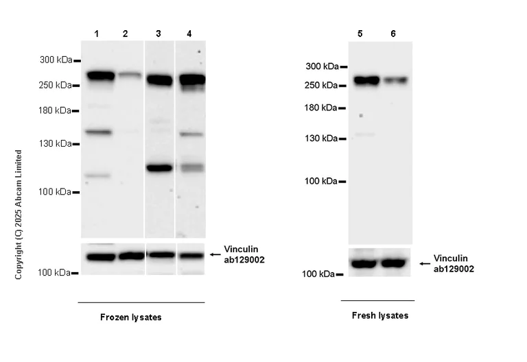
Western blot - Anti-eIF4G1 antibody [EPR30302-554] (AB324948)
  • WB

Supplier Data

Western blot - Anti-eIF4G1 antibody [EPR30302-554] (AB324948)

Blocking and diluting buffer and concentration : 5% NFDM/TBST.

The expression profile/ molecular weight observed is consistent with what has been described in the literature (PMID : 9819442; PMID : 36897548).

In lanes 1-4, the lysates were stored at -80? prior to Western Blotting. The bands beneath the target band (260 kDa) are likely to be degradation products. In lanes 5-6, To minimize protein degradation, cells were lysed immediately after harvest and then applied to a gel and transfer membrane for Western blotting as soon as possible.

In Western blot, Anti-Vinculin antibody [EPR8185] (ab129002) staining at 1/10000 dilution.

Exposure time : Lanes 1-2 : 48 seconds; Lanes 3-4 : 180 seconds; Lanes 5-6 : 15 seconds

All lanes:

Western blot - Anti-eIF4G1 antibody [EPR30302-554] (ab324948) at 1/1000 dilution

Lane 1:

HEK-293 (human embryonic kidney epithelial cell) transfected with scrambled siRNA control whole cell lysate at 20 µg

Lane 2:

HEK-293 transfected with siRNA specifically targeting eIF4G1 whole cell lysate at 20 µg

Lane 3:

L-929 (mouse connective tissue fibroblast) whole cell lysate at 20 µg

Lane 4:

293T (human embryonic kidney epithelial cell) whole cell lysate at 20 µg

Lane 5:

HEK-293 (human embryonic kidney epithelial cell) transfected with scrambled siRNA control fresh whole cell lysate at 20 µg

Lane 6:

HEK-293 transfected with siRNA specifically targeting eIF4G1 fresh whole cell lysate at 20 µg

Secondary

All lanes:

Western blot - Goat Anti-Rabbit IgG H&L (HRP) (<a href='/en-us/products/secondary-antibodies/goat-rabbit-igg-h-l-hrp-ab97051'>ab97051</a>) at 1/20000 dilution

false

Key facts

Host species

Rabbit

Clonality

Monoclonal

Clone number

EPR30302-554

Isotype

IgG

Carrier free

No

Reacts with

Human, Mouse, Rat

Applications

WB

applications

Immunogen

The exact immunogen used to generate this antibody is proprietary information.

Reactivity data

{ "title": "Reactivity Data", "filters": { "stats": ["", "Species", "Dilution Info", "Notes"], "tabs": { "all-applications": {"fullname" : "All Applications", "shortname": "All Applications"}, "WB" : {"fullname" : "Western blot", "shortname":"WB"}, "ICCIF" : {"fullname" : "Immunocytochemistry/ Immunofluorescence", "shortname":"ICC/IF"} }, "product-promise": { "all": "all", "testedAndGuaranteed": "tested", "guaranteed": "expected", "predicted": "predicted", "notRecommended": "not-recommended" } }, "values": { "Human": { "WB-species-checked": "testedAndGuaranteed", "WB-species-dilution-info": "1/1000", "WB-species-notes": "<p></p>", "ICCIF-species-checked": "notRecommended", "ICCIF-species-dilution-info": "", "ICCIF-species-notes": "<p></p>" }, "Mouse": { "WB-species-checked": "testedAndGuaranteed", "WB-species-dilution-info": "1/1000", "WB-species-notes": "<p></p>", "ICCIF-species-checked": "notRecommended", "ICCIF-species-dilution-info": "", "ICCIF-species-notes": "<p></p>" }, "Rat": { "WB-species-checked": "testedAndGuaranteed", "WB-species-dilution-info": "1/1000", "WB-species-notes": "<p></p>", "ICCIF-species-checked": "notRecommended", "ICCIF-species-dilution-info": "", "ICCIF-species-notes": "" } } }

Product details

Patented technology
Our RabMAb® technology is a patented hybridoma-based technology for making rabbit monoclonal antibodies. For details on our patents, please refer to RabMAb® patents.

What are the advantages of a recombinant monoclonal antibody?
This product is a recombinant monoclonal antibody, which offers several advantages including:

  • - High batch-to-batch consistency and reproducibility
  • - Improved sensitivity and specificity
  • - Long-term security of supply
  • - Animal-free batch production

For more information, read more on recombinant antibodies.

Properties and storage information

Form
Liquid
Purification technique
Affinity purification Protein A
Storage buffer
pH: 7.2 - 7.4 Preservative: 0.01% Sodium azide Constituents: PBS, 40% Glycerol (glycerin, glycerine), 0.05% BSA
Shipped at conditions
Blue Ice
Appropriate short-term storage duration
1-2 weeks
Appropriate short-term storage conditions
+4°C
Appropriate long-term storage conditions
-20°C
Aliquoting information
Upon delivery aliquot
Storage information
Avoid freeze / thaw cycle

Product protocols

For this product, it's our understanding that no specific protocols are required. You can visit:

Target data

Component of the protein complex eIF4F, which is involved in the recognition of the mRNA cap, ATP-dependent unwinding of 5'-terminal secondary structure and recruitment of mRNA to the ribosome (PubMed : 29987188). Exists in two complexes, either with EIF1 or with EIF4E (mutually exclusive) (PubMed : 29987188). Together with EIF1, is required for leaky scanning, in particular for avoiding cap-proximal start codon (PubMed : 29987188). Together with EIF4E, antagonizes the scanning promoted by EIF1-EIF4G1 and locates the start codon (through a TISU element) without scanning (PubMed : 29987188). As a member of the eIF4F complex, required for endoplasmic reticulum stress-induced ATF4 mRNA translation (PubMed : 29062139).
See full target information EIF4G1

Additional targets

,

Product promise

We are committed to supporting your work with high-quality reagents, and we're here for you every step of the way. In the unlikely event that one of our products does not perform as expected, you're protected by our Product Promise.
For full details, please see our Terms & Conditions

Please note: All products are 'FOR RESEARCH USE ONLY. NOT FOR USE IN DIAGNOSTIC OR THERAPEUTIC PROCEDURES'.

For licensing inquiries, please contact partnerships@abcam.com