JavaScript is disabled in your browser. Please enable JavaScript to view this website.
AB223502

Anti-eIF4G1 (phospho S1108) antibody [SP351]

Be the first to review this product! Submit a review

|

(1 Publication)

Rabbit Recombinant Monoclonal eIF4G1 phospho S1108 antibody. Suitable for IHC-P and reacts with Human samples. Cited in 1 publication.

View Alternative Names

EIF4F, EIF4G, EIF4GI, EIF4G1, Eukaryotic translation initiation factor 4 gamma 1, eIF-4-gamma 1, eIF-4G 1, eIF-4G1, p220

5 Images
Immunohistochemistry (Formalin/PFA-fixed paraffin-embedded sections) - Anti-eIF4G1 (phospho S1108) antibody [SP351] (AB223502)
  • IHC-P

Unknown

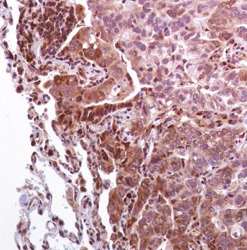
Immunohistochemistry (Formalin/PFA-fixed paraffin-embedded sections) - Anti-eIF4G1 (phospho S1108) antibody [SP351] (AB223502)

Immunohistochemistry (Formalin/PFA-fixed paraffin-embedded sections) analysis of Human ovarian carcinoma tissue sections labeling eIF4G1 with Purified ab223502 at 1/100 dilution (1.20 µg/ml). Heat mediated antigen retrieval was performed Heat mediated antigen retrieval with sodium citrate buffer (pH 6.0, epitope retrieval solution 1) for 10mins. Rabbit specific IHC polymer detection kit HRP/DAB (ab209101) was used as the secondary antibody. Negative control : PBS instead of the primary antibody. Hematoxylin was used as a counterstain.

Immunohistochemistry (Formalin/PFA-fixed paraffin-embedded sections) - Anti-eIF4G1 (phospho S1108) antibody [SP351] (AB223502)
  • IHC-P

Supplier Data

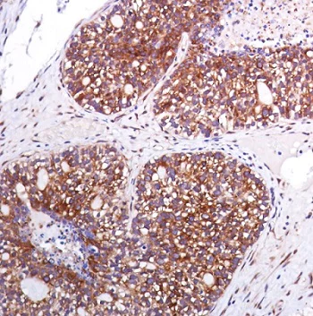
Immunohistochemistry (Formalin/PFA-fixed paraffin-embedded sections) - Anti-eIF4G1 (phospho S1108) antibody [SP351] (AB223502)

Formalin-fixed, paraffin-embedded human lung adenocarcinoma tissue stained for eIF4G1 (phospho S1108) with ab223502 at 1/100 dilution in immunohistochemical analysis.

Immunohistochemistry (Formalin/PFA-fixed paraffin-embedded sections) - Anti-eIF4G1 (phospho S1108) antibody [SP351] (AB223502)
  • IHC-P

Unknown

Immunohistochemistry (Formalin/PFA-fixed paraffin-embedded sections) - Anti-eIF4G1 (phospho S1108) antibody [SP351] (AB223502)

Immunohistochemistry (Formalin/PFA-fixed paraffin-embedded sections) analysis of Human lung carcinoma tissue sections labeling eIF4G1 with Purified ab223502 at 1/100 dilution (1.20 µg/ml). Heat mediated antigen retrieval was performed Heat mediated antigen retrieval with sodium citrate buffer (pH 6.0, epitope retrieval solution 1) for 10mins. Rabbit specific IHC polymer detection kit HRP/DAB (ab209101) was used as the secondary antibody. Negative control : PBS instead of the primary antibody. Hematoxylin was used as a counterstain.

Immunohistochemistry (Formalin/PFA-fixed paraffin-embedded sections) - Anti-eIF4G1 (phospho S1108) antibody [SP351] (AB223502)
  • IHC-P

Supplier Data

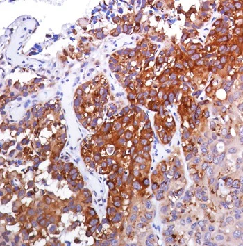
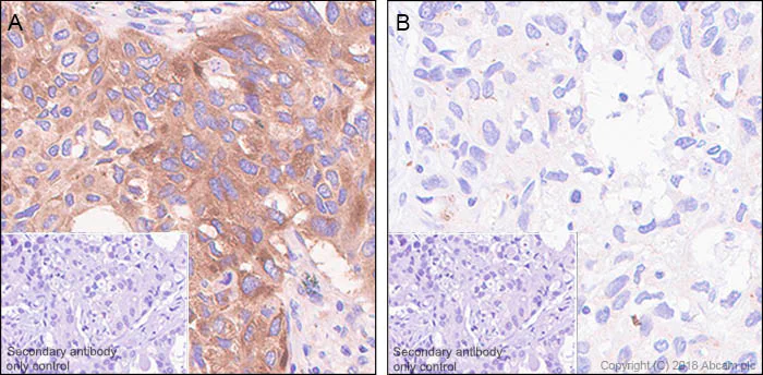
Immunohistochemistry (Formalin/PFA-fixed paraffin-embedded sections) - Anti-eIF4G1 (phospho S1108) antibody [SP351] (AB223502)

Formalin-fixed, paraffin-embedded human bladder transitional cell carcinoma tissue stained for eIF4G1 (phospho S1108) with ab223502 at 1/100 dilution in immunohistochemical analysis.

Immunohistochemistry (Formalin/PFA-fixed paraffin-embedded sections) - Anti-eIF4G1 (phospho S1108) antibody [SP351] (AB223502)
  • IHC-P

Supplier Data

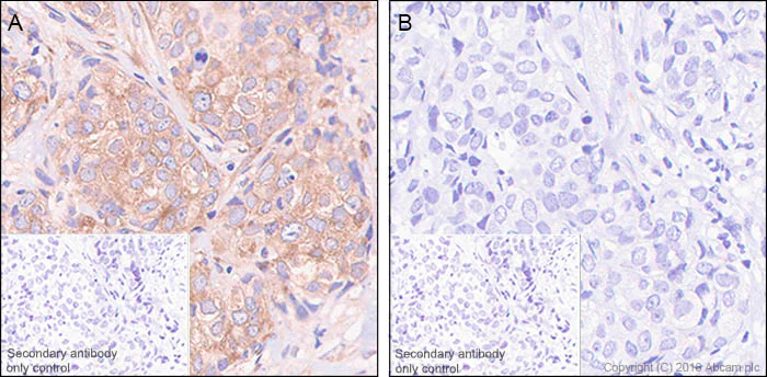
Immunohistochemistry (Formalin/PFA-fixed paraffin-embedded sections) - Anti-eIF4G1 (phospho S1108) antibody [SP351] (AB223502)

Formalin-fixed, paraffin-embedded human ovarian adenocarcinoma tissue stained for eIF4G1 (phospho S1108) with ab223502 at 1/100 dilution in immunohistochemical analysis.

Key facts

Host species

Rabbit

Clonality

Monoclonal

Clone number

SP351

Isotype

IgG

Carrier free

No

Reacts with

Human

Applications

IHC-P

applications

Immunogen

The exact immunogen used to generate this antibody is proprietary information.

Reactivity data

{ "title": "Reactivity Data", "filters": { "stats": ["", "Species", "Dilution Info", "Notes"], "tabs": { "all-applications": {"fullname" : "All Applications", "shortname": "All Applications"}, "IHCP" : {"fullname" : "Immunohistochemistry (Formalin/PFA-fixed paraffin-embedded sections)", "shortname":"IHC-P"} }, "product-promise": { "all": "all", "testedAndGuaranteed": "tested", "guaranteed": "expected", "predicted": "predicted", "notRecommended": "not-recommended" } }, "values": { "Human": { "IHCP-species-checked": "testedAndGuaranteed", "IHCP-species-dilution-info": "1/100", "IHCP-species-notes": "<p>Primary Antibody Incubation: 10 minutes at room temperature.</p> Perform heat-mediated antigen retrieval with citrate buffer pH 6 before commencing with IHC staining protocol." } } }

Properties and storage information

Form
Liquid
Purification technique
Affinity purification Protein A/G
Storage buffer
pH: 7.6 Preservative: 0.099% Sodium azide Constituents: PBS, 1% BSA
Shipped at conditions
Blue Ice
Appropriate short-term storage duration
1-2 weeks
Appropriate short-term storage conditions
+4°C
Appropriate long-term storage conditions
-20°C
Aliquoting information
Upon delivery aliquot
Storage information
Avoid freeze / thaw cycle

Supplementary information

This supplementary information is collated from multiple sources and compiled automatically.

EIF4G1 also known as eukaryotic translation initiation factor 4 gamma 1 plays an important role in protein synthesis by acting as a scaffold for various other components of the initiation complex. This protein physically binds with eIF4E eIF4A and the poly(A)-binding protein aiding in the recruitment of ribosomes to the mRNA. eIF4G1 has a molecular weight of approximately 180 kDa and is expressed in various tissues including brain heart and skeletal muscle.
Biological function summary

EIF4G1 functions as part of the eIF4F complex facilitating the initiation of cap-dependent translation. This process directly affects the synthesis of proteins that are important for growth and cell cycle progression. As an important component in translation eIF4G1 coordinates interactions between mRNA and ribosomes ensuring efficient translation initiation and progression.

Pathways

EIF4G1 is significant in the mTOR and MAPK signaling pathways. These pathways regulate various cellular processes such as cell growth proliferation and survival. eIF4G1 interacts with related proteins like eIF4E which binds the 5' cap of mRNA and eIF4A an RNA helicase both critical in these signaling cascades.

EIF4G1 has been associated with neurodegenerative diseases like Parkinson's disease and certain types of cancer. Mutations or dysregulation can alter protein synthesis rates and lead to the development of disease phenotypes. In Parkinson's disease the interplay between eIF4G1 and other proteins like alpha-synuclein provides insight into the cellular mechanisms underlying disease progression highlighting eIF4G1 as a potential therapeutic target.

Product protocols

For this product, it's our understanding that no specific protocols are required. You can visit:

Target data

Component of the protein complex eIF4F, which is involved in the recognition of the mRNA cap, ATP-dependent unwinding of 5'-terminal secondary structure and recruitment of mRNA to the ribosome (PubMed : 29987188). Exists in two complexes, either with EIF1 or with EIF4E (mutually exclusive) (PubMed : 29987188). Together with EIF1, is required for leaky scanning, in particular for avoiding cap-proximal start codon (PubMed : 29987188). Together with EIF4E, antagonizes the scanning promoted by EIF1-EIF4G1 and locates the start codon (through a TISU element) without scanning (PubMed : 29987188). As a member of the eIF4F complex, required for endoplasmic reticulum stress-induced ATF4 mRNA translation (PubMed : 29062139).
See full target information EIF4G1 phospho S1108

Publications (1)

Recent publications for all applications. Explore the full list and refine your search

Cancer cell international 24:424 PubMed39709453

2024

Epidermal growth factor receptor ligands enriched in follicular fluid exosomes promote oncogenesis of fallopian tube epithelial cells.

Applications

Unspecified application

Species

Unspecified reactive species

Aye Aye Khine,Pao-Chu Chen,Ying-Hsi Chen,Sung-Chao Chu,Hsuan-Shun Huang,Tang-Yuan Chu
View all publications

Product promise

We are committed to supporting your work with high-quality reagents, and we're here for you every step of the way. In the unlikely event that one of our products does not perform as expected, you're protected by our Product Promise.
For full details, please see our Terms & Conditions

Please note: All products are 'FOR RESEARCH USE ONLY. NOT FOR USE IN DIAGNOSTIC OR THERAPEUTIC PROCEDURES'.

For licensing inquiries, please contact partnerships@abcam.com