JavaScript is disabled in your browser. Please enable JavaScript to view this website.
AB242419

Anti-eIF4G1 (phospho S1108) antibody [SP351] - BSA and Azide free

Be the first to review this product! Submit a review

|

(1 Publication)

Rabbit Monoclonal eIF4G1 phospho S1108 antibody. Carrier free. Suitable for IHC-P and reacts with Human samples. Cited in 1 publication.

View Alternative Names

EIF4F, EIF4G, EIF4GI, EIF4G1, Eukaryotic translation initiation factor 4 gamma 1, eIF-4-gamma 1, eIF-4G 1, eIF-4G1, p220

5 Images
Immunohistochemistry (Formalin/PFA-fixed paraffin-embedded sections) - Anti-eIF4G1 (phospho S1108) antibody [SP351] - BSA and Azide free (AB242419)
  • IHC-P

Unknown

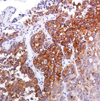
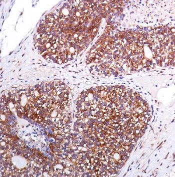
Immunohistochemistry (Formalin/PFA-fixed paraffin-embedded sections) - Anti-eIF4G1 (phospho S1108) antibody [SP351] - BSA and Azide free (AB242419)

Immunohistochemistry (Formalin/PFA-fixed paraffin-embedded sections) analysis of Human ovarian carcinoma tissue sections labeling eIF4G1 with Purified ab223502 at 1/100 dilution (1.20 µg/ml). Heat mediated antigen retrieval was performed Heat mediated antigen retrieval with sodium citrate buffer (pH 6.0, epitope retrieval solution 1) for 10mins. Rabbit specific IHC polymer detection kit HRP/DAB (ab209101) was used as the secondary antibody. Negative control : PBS instead of the primary antibody. Hematoxylin was used as a counterstain.
This data was developed using the same antibody clone in a different buffer formulation containing PBS, BSA, glycerol, and sodium azide (ab223502)

Immunohistochemistry (Formalin/PFA-fixed paraffin-embedded sections) - Anti-eIF4G1 (phospho S1108) antibody [SP351] - BSA and Azide free (AB242419)
  • IHC-P

Supplier Data

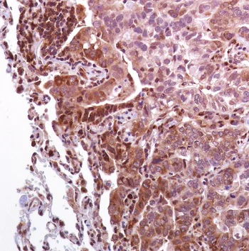
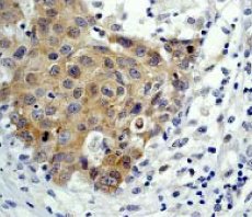
Immunohistochemistry (Formalin/PFA-fixed paraffin-embedded sections) - Anti-eIF4G1 (phospho S1108) antibody [SP351] - BSA and Azide free (AB242419)

Formalin-fixed, paraffin-embedded human lung adenocarcinoma tissue stained for eIF4G1 (phospho S1108) with ab223502 at 1/100 dilution in immunohistochemical analysis.

This data was developed using the same antibody clone in a different buffer formulation containing PBS, BSA, and sodium azide (ab223502).

Immunohistochemistry (Formalin/PFA-fixed paraffin-embedded sections) - Anti-eIF4G1 (phospho S1108) antibody [SP351] - BSA and Azide free (AB242419)
  • IHC-P

Unknown

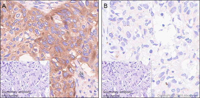
Immunohistochemistry (Formalin/PFA-fixed paraffin-embedded sections) - Anti-eIF4G1 (phospho S1108) antibody [SP351] - BSA and Azide free (AB242419)

Immunohistochemistry (Formalin/PFA-fixed paraffin-embedded sections) analysis of Human lung carcinoma tissue sections labeling eIF4G1 with Purified ab223502 at 1/100 dilution (1.20 µg/ml). Heat mediated antigen retrieval was performed Heat mediated antigen retrieval with sodium citrate buffer (pH 6.0, epitope retrieval solution 1) for 10mins. Rabbit specific IHC polymer detection kit HRP/DAB (ab209101) was used as the secondary antibody. Negative control : PBS instead of the primary antibody. Hematoxylin was used as a counterstain.
This data was developed using the same antibody clone in a different buffer formulation containing PBS, BSA, glycerol, and sodium azide (ab223502)

Immunohistochemistry (Formalin/PFA-fixed paraffin-embedded sections) - Anti-eIF4G1 (phospho S1108) antibody [SP351] - BSA and Azide free (AB242419)
  • IHC-P

Supplier Data

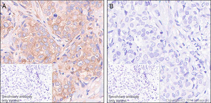
Immunohistochemistry (Formalin/PFA-fixed paraffin-embedded sections) - Anti-eIF4G1 (phospho S1108) antibody [SP351] - BSA and Azide free (AB242419)

Formalin-fixed, paraffin-embedded human bladder transitional cell carcinoma tissue stained for eIF4G1 (phospho S1108) with ab223502 at 1/100 dilution in immunohistochemical analysis.

This data was developed using the same antibody clone in a different buffer formulation containing PBS, BSA, and sodium azide (ab223502).

Immunohistochemistry (Formalin/PFA-fixed paraffin-embedded sections) - Anti-eIF4G1 (phospho S1108) antibody [SP351] - BSA and Azide free (AB242419)
  • IHC-P

Supplier Data

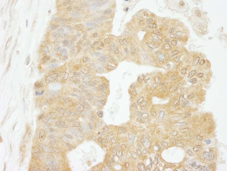
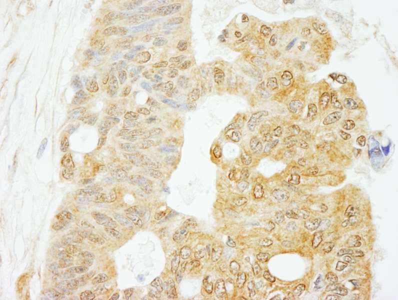
Immunohistochemistry (Formalin/PFA-fixed paraffin-embedded sections) - Anti-eIF4G1 (phospho S1108) antibody [SP351] - BSA and Azide free (AB242419)

Formalin-fixed, paraffin-embedded human ovarian adenocarcinoma tissue stained for eIF4G1 (phospho S1108) with ab223502 at 1/100 dilution in immunohistochemical analysis.

This data was developed using the same antibody clone in a different buffer formulation containing PBS, BSA, and sodium azide (ab223502).

Key facts

Host species

Rabbit

Clonality

Monoclonal

Clone number

SP351

Isotype

IgG

Carrier free

Yes

Reacts with

Human

Applications

IHC-P

applications

Immunogen

The exact immunogen used to generate this antibody is proprietary information.

Reactivity data

{ "title": "Reactivity Data", "filters": { "stats": ["", "Species", "Dilution Info", "Notes"], "tabs": { "all-applications": {"fullname" : "All Applications", "shortname": "All Applications"}, "IHCP" : {"fullname" : "Immunohistochemistry (Formalin/PFA-fixed paraffin-embedded sections)", "shortname":"IHC-P"} }, "product-promise": { "all": "all", "testedAndGuaranteed": "tested", "guaranteed": "expected", "predicted": "predicted", "notRecommended": "not-recommended" } }, "values": { "Human": { "IHCP-species-checked": "testedAndGuaranteed", "IHCP-species-dilution-info": "", "IHCP-species-notes": "<p>Primary Antibody Incubation: 10 minutes at room temperature.</p>" } } }

Product details

ab242419 is the carrier-free version of ab223502.

What are the advantages of a recombinant monoclonal antibody?
This product is a recombinant monoclonal antibody, which offers several advantages including:

  • - High batch-to-batch consistency and reproducibility
  • - Improved sensitivity and specificity
  • - Long-term security of supply
  • - Animal-free batch production

For more information, read more on recombinant antibodies.

Conjugation ready
Our carrier-free antibodies are typically supplied in a PBS-only formulation, purified and free of BSA, sodium azide and glycerol. This conjugation-ready format is designed for use with fluorochromes, metal isotopes, oligonucleotides, and enzymes, which makes them ideal for antibody labelling, functional and cell-based assays, flow-based assays (e.g. mass cytometry) and Multiplex Imaging applications.

Use our conjugation kits for antibody conjugates that are ready-to-use in as little as 20 minutes with 1 minute hands-on-time and 100% antibody recovery: available for fluorescent dyes, HRP, biotin and gold.

Compatibility
This product is compatible with the Maxpar® Antibody Labeling Kit from Fluidigm, without the need for antibody preparation. Maxpar® is a trademark of Fluidigm Canada Inc.

Properties and storage information

Form
Liquid
Purification technique
Affinity purification Protein A/G
Storage buffer
pH: 7.2 - 7.4 Constituents: PBS
Shipped at conditions
Blue Ice
Appropriate short-term storage conditions
+4°C
Appropriate long-term storage conditions
+4°C
Storage information
Do Not Freeze

Supplementary information

This supplementary information is collated from multiple sources and compiled automatically.

EIF4G1 also known as eukaryotic translation initiation factor 4 gamma 1 plays an important role in protein synthesis by acting as a scaffold for various other components of the initiation complex. This protein physically binds with eIF4E eIF4A and the poly(A)-binding protein aiding in the recruitment of ribosomes to the mRNA. eIF4G1 has a molecular weight of approximately 180 kDa and is expressed in various tissues including brain heart and skeletal muscle.
Biological function summary

EIF4G1 functions as part of the eIF4F complex facilitating the initiation of cap-dependent translation. This process directly affects the synthesis of proteins that are important for growth and cell cycle progression. As an important component in translation eIF4G1 coordinates interactions between mRNA and ribosomes ensuring efficient translation initiation and progression.

Pathways

EIF4G1 is significant in the mTOR and MAPK signaling pathways. These pathways regulate various cellular processes such as cell growth proliferation and survival. eIF4G1 interacts with related proteins like eIF4E which binds the 5' cap of mRNA and eIF4A an RNA helicase both critical in these signaling cascades.

EIF4G1 has been associated with neurodegenerative diseases like Parkinson's disease and certain types of cancer. Mutations or dysregulation can alter protein synthesis rates and lead to the development of disease phenotypes. In Parkinson's disease the interplay between eIF4G1 and other proteins like alpha-synuclein provides insight into the cellular mechanisms underlying disease progression highlighting eIF4G1 as a potential therapeutic target.

Product protocols

For this product, it's our understanding that no specific protocols are required. You can visit:

Target data

Component of the protein complex eIF4F, which is involved in the recognition of the mRNA cap, ATP-dependent unwinding of 5'-terminal secondary structure and recruitment of mRNA to the ribosome (PubMed : 29987188). Exists in two complexes, either with EIF1 or with EIF4E (mutually exclusive) (PubMed : 29987188). Together with EIF1, is required for leaky scanning, in particular for avoiding cap-proximal start codon (PubMed : 29987188). Together with EIF4E, antagonizes the scanning promoted by EIF1-EIF4G1 and locates the start codon (through a TISU element) without scanning (PubMed : 29987188). As a member of the eIF4F complex, required for endoplasmic reticulum stress-induced ATF4 mRNA translation (PubMed : 29062139).
See full target information EIF4G1 phospho S1108

Publications (1)

Recent publications for all applications. Explore the full list and refine your search

BMC pharmacology & toxicology 22:62 PubMed34686215

2021

Famotidine promotes inflammation by triggering cell pyroptosis in gastric cancer cells.

Applications

Unspecified application

Species

Unspecified reactive species

Jin Huang,Pingsheng Fan,Miao Liu,Chengtao Weng,Gaofei Fan,Tengyue Zhang,Xiaohong Duan,Yang Wu,Lili Tang,Guohong Yang,Yabei Liu
View all publications

Product promise

We are committed to supporting your work with high-quality reagents, and we're here for you every step of the way. In the unlikely event that one of our products does not perform as expected, you're protected by our Product Promise.
For full details, please see our Terms & Conditions

Please note: All products are 'FOR RESEARCH USE ONLY. NOT FOR USE IN DIAGNOSTIC OR THERAPEUTIC PROCEDURES'.

For licensing inquiries, please contact partnerships@abcam.com