JavaScript is disabled in your browser. Please enable JavaScript to view this website.
AB170915

Anti-EIF5 antibody [EPR12140(B)]

Be the first to review this product! Submit a review

|

(3 Publications)

Rabbit Recombinant Monoclonal EIF5 antibody. Suitable for IHC-P, WB, ICC/IF, Flow Cyt (Intra) and reacts with Human, Mouse, Rat samples. Cited in 3 publications.

View Alternative Names

Eukaryotic translation initiation factor 5, eIF-5, EIF5

4 Images
Immunocytochemistry/ Immunofluorescence - Anti-EIF5 antibody [EPR12140(B)] (AB170915)
  • ICC/IF

Supplier Data

Immunocytochemistry/ Immunofluorescence - Anti-EIF5 antibody [EPR12140(B)] (AB170915)

Immunofluorescence analysis of HepG2 cells labeling EIF5 with ab170915 at 1/100 dilution (green). DAPI nuclear staining (blue).

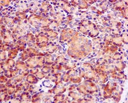
Immunohistochemistry (Formalin/PFA-fixed paraffin-embedded sections) - Anti-EIF5 antibody [EPR12140(B)] (AB170915)
  • IHC-P

Supplier Data

Immunohistochemistry (Formalin/PFA-fixed paraffin-embedded sections) - Anti-EIF5 antibody [EPR12140(B)] (AB170915)

Immunohistochemical analysis of paraffin-embedded Human pancreas tissue labeling EIF5 with ab170915 at 1/50 dilution.

Perform heat mediated antigen retrieval with citrate buffer pH 6 before commencing with IHC staining protocol.

Flow Cytometry (Intracellular) - Anti-EIF5 antibody [EPR12140(B)] (AB170915)
  • Flow Cyt (Intra)

Supplier Data

Flow Cytometry (Intracellular) - Anti-EIF5 antibody [EPR12140(B)] (AB170915)

Intracellular flow cytometric analysis of permeabilized K562 cells labeling EIF5 with ab170915 at 1/100 dilution (red) compared toa rabbit IgG negative control (green).

Western blot - Anti-EIF5 antibody [EPR12140(B)] (AB170915)
  • WB

Supplier Data

Western blot - Anti-EIF5 antibody [EPR12140(B)] (AB170915)

All lanes:

Western blot - Anti-EIF5 antibody [EPR12140(B)] (ab170915) at 1/1000 dilution

Lane 1:

K562 cell lysate at 10 µg

Lane 2:

HeLa cell lysate at 10 µg

Lane 3:

HepG2 cell lysate at 10 µg

Secondary

All lanes:

Goat anti-rabbit HRP-conjugated at 1/2000 dilution

Predicted band size: 49 kDa

false

  • Carrier free

    Anti-EIF5 antibody [EPR12140(B)] - BSA and Azide free

Key facts

Host species

Rabbit

Clonality

Monoclonal

Clone number

EPR12140(B)

Isotype

IgG

Carrier free

No

Reacts with

Human

Applications

ICC/IF, WB, Flow Cyt (Intra), IHC-P

applications

Immunogen

The exact immunogen used to generate this antibody is proprietary information.

Reactivity data

{ "title": "Reactivity Data", "filters": { "stats": ["", "Species", "Dilution Info", "Notes"], "tabs": { "all-applications": {"fullname" : "All Applications", "shortname": "All Applications"}, "IHCP" : {"fullname" : "Immunohistochemistry (Formalin/PFA-fixed paraffin-embedded sections)", "shortname":"IHC-P"}, "IP" : {"fullname" : "Immunoprecipitation", "shortname":"IP"}, "WB" : {"fullname" : "Western blot", "shortname":"WB"}, "ICCIF" : {"fullname" : "Immunocytochemistry/ Immunofluorescence", "shortname":"ICC/IF"}, "FlowCytIntra" : {"fullname" : "Flow Cytometry (Intracellular)", "shortname":"Flow Cyt (Intra)"} }, "product-promise": { "all": "all", "testedAndGuaranteed": "tested", "guaranteed": "expected", "predicted": "predicted", "notRecommended": "not-recommended" } }, "values": { "Human": { "IHCP-species-checked": "testedAndGuaranteed", "IHCP-species-dilution-info": "1/50 - 1/100", "IHCP-species-notes": "<p></p>", "IP-species-checked": "notRecommended", "IP-species-dilution-info": "", "IP-species-notes": "<p></p>", "WB-species-checked": "testedAndGuaranteed", "WB-species-dilution-info": "1/1000 - 1/10000", "WB-species-notes": "<p></p>", "ICCIF-species-checked": "testedAndGuaranteed", "ICCIF-species-dilution-info": "1/100 - 1/250", "ICCIF-species-notes": "<p></p>", "FlowCytIntra-species-checked": "testedAndGuaranteed", "FlowCytIntra-species-dilution-info": "1/100 - 1/500", "FlowCytIntra-species-notes": "<p><a href='/en-us/products/primary-antibodies/rabbit-igg-monoclonal-epr25a-isotype-control-ab172730'>ab172730</a> - Rabbit monoclonal IgG, is suitable for use as an isotype control with this antibody.</p>" }, "Mouse": { "IHCP-species-checked": "predicted", "IHCP-species-dilution-info": "", "IHCP-species-notes": "", "IP-species-checked": "notRecommended", "IP-species-dilution-info": "", "IP-species-notes": "", "WB-species-checked": "guaranteed", "WB-species-dilution-info": "", "WB-species-notes": "<p></p>", "ICCIF-species-checked": "predicted", "ICCIF-species-dilution-info": "", "ICCIF-species-notes": "", "FlowCytIntra-species-checked": "predicted", "FlowCytIntra-species-dilution-info": "", "FlowCytIntra-species-notes": "" }, "Rat": { "IHCP-species-checked": "predicted", "IHCP-species-dilution-info": "", "IHCP-species-notes": "", "IP-species-checked": "notRecommended", "IP-species-dilution-info": "", "IP-species-notes": "", "WB-species-checked": "guaranteed", "WB-species-dilution-info": "", "WB-species-notes": "<p></p>", "ICCIF-species-checked": "predicted", "ICCIF-species-dilution-info": "", "ICCIF-species-notes": "", "FlowCytIntra-species-checked": "predicted", "FlowCytIntra-species-dilution-info": "", "FlowCytIntra-species-notes": "" } } }

Product details

Patented technology
Our RabMAb® technology is a patented hybridoma-based technology for making rabbit monoclonal antibodies. For details on our patents, please refer to RabMAb® patents.

What are the advantages of a recombinant monoclonal antibody?
This product is a recombinant monoclonal antibody, which offers several advantages including:

  • - High batch-to-batch consistency and reproducibility
  • - Improved sensitivity and specificity
  • - Long-term security of supply
  • - Animal-free batch production

For more information, read more on recombinant antibodies.

Properties and storage information

Form
Liquid
Purity
Tissue culture supernatant
Storage buffer
pH: 7.2 - 7.4 Preservative: 0.01% Sodium azide Constituents: PBS, 50% Tissue culture supernatant, 40% Glycerol (glycerin, glycerine), 0.05% BSA
Shipped at conditions
Blue Ice
Appropriate short-term storage duration
1-2 weeks
Appropriate short-term storage conditions
+4°C
Appropriate long-term storage conditions
-20°C
Aliquoting information
Upon delivery aliquot
Storage information
Avoid freeze / thaw cycle

Supplementary information

This supplementary information is collated from multiple sources and compiled automatically.

The eukaryotic translation initiation factor 5 (EIF5) plays an important role in the initiation phase of protein synthesis. EIF5 also known as eIF-5 is a protein that exhibits a molecular weight of approximately 49 kDa. It functions as a GTPase-activating protein that triggers the hydrolysis of GTP bound to the eukaryotic initiation factor 2 (eIF2) an essential step for the formation of the 80S ribosome complex during translation. EIF5 expression occurs widely across various tissues indicating its necessity for basic cellular functions.
Biological function summary

EIF5 facilitates the translation initiation process which is critical for protein synthesis. It is an integral component of the multifactor eIF2 complex that ensures the accuracy of start codon recognition in mRNA. This complex assembly involves the association with other initiation factors like eIF1 and eIF3 orchestrating mRNA scanning and the selection of the start site for protein synthesis. EIF5's role in regulating protein biosynthesis links it to the maintenance of cellular homeostasis.

Pathways

EIF5 serves a critical part in the translation initiation pathway. This pathway is essential for general protein biosynthesis directly impacting cellular growth and proliferation. It closely collaborates with related factors like eIF2 and eIF2B within this pathway to modulate translation in response to cellular stress and nutrient availability. Additionally EIF5 intersects the mTOR signaling pathway where it interacts with proteins that coordinate cell growth and metabolism under various physiological conditions.

EIF5 alterations can lead to disruptions in protein synthesis connecting it to certain human diseases like cancer. Some studies indicate a link between EIF5 dysregulation and tumorigenesis as faults in translation regulation can drive abnormal cell proliferation. Beyond cancer EIF5 may also intersect with neurodegenerative diseases given the translation regulation's importance in neuronal function. It can associate with other factors such as eIF2α wherein heightened EIF5 activity influences stress responses pivotal in disease contexts.

Product protocols

For this product, it's our understanding that no specific protocols are required. You can visit:

Target data

Component of the 43S pre-initiation complex (43S PIC), which binds to the mRNA cap-proximal region, scans mRNA 5'-untranslated region, and locates the initiation codon (PubMed : 11166181, PubMed : 22813744, PubMed : 24319994). In this complex, acts as a GTPase-activating protein, by promoting GTP hydrolysis by eIF2G (EIF2S3) (PubMed : 11166181). During scanning, interacts with both EIF1 (via its C-terminal domain (CTD)) and EIF1A (via its NTD) (PubMed : 22813744). This interaction with EIF1A contributes to the maintenance of EIF1 within the open 43S PIC (PubMed : 24319994). When start codon is recognized, EIF5, via its NTD, induces eIF2G (EIF2S3) to hydrolyze the GTP (PubMed : 11166181). Start codon recognition also induces a conformational change of the PIC to a closed state (PubMed : 22813744). This change increases the affinity of EIF5-CTD for EIF2-beta (EIF2S2), which allows the release, by an indirect mechanism, of EIF1 from the PIC (PubMed : 22813744). Finally, EIF5 stabilizes the PIC in its closed conformation (PubMed : 22813744).
See full target information Eukaryotic translation initiation factor 5

Publications (3)

Recent publications for all applications. Explore the full list and refine your search

The international journal of neuropsychopharmacology 27: PubMed39099166

2024

Identification of Phosphodiesterase-7A (PDE7A) as a Novel Target for Reducing Ethanol Consumption in Mice.

Applications

Unspecified application

Species

Unspecified reactive species

Ran Wei,Fangjiao Zong,Jiahao Dong,Wei Zhao,Fangfang Zhang,Wei Wang,Shuang Zhao,Ziqi Wang,Fang Zhang,Han-Ting Zhang

Neurochemical research 49:2910-2925 PubMed39060766

2024

LINC00894 Regulates Cerebral Ischemia/Reperfusion Injury by Stabilizing EIF5 and Facilitating ATF4-Mediated Induction of FGF21 and ACOD1 Expression.

Applications

Unspecified application

Species

Unspecified reactive species

Yifei Chen,Hengxiang Cui,Zhuanzhuan Han,Lei Xu,Lin Wang,Yuefei Zhang,Lijun Liu

Life science alliance 4: PubMed33257475

2020

Identification and characterization of distinct brown adipocyte subtypes in C57BL/6J mice.

Applications

Unspecified application

Species

Unspecified reactive species

Ruth Karlina,Dominik Lutter,Viktorian Miok,David Fischer,Irem Altun,Theresa Schöttl,Kenji Schorpp,Andreas Israel,Cheryl Cero,James W Johnson,Ingrid Kapser-Fischer,Anika Böttcher,Susanne Keipert,Annette Feuchtinger,Elisabeth Graf,Tim Strom,Axel Walch,Heiko Lickert,Thomas Walzthoeni,Matthias Heinig,Fabian J Theis,Cristina García-Cáceres,Aaron M Cypess,Siegfried Ussar
View all publications

Product promise

We are committed to supporting your work with high-quality reagents, and we're here for you every step of the way. In the unlikely event that one of our products does not perform as expected, you're protected by our Product Promise.
For full details, please see our Terms & Conditions

Please note: All products are 'FOR RESEARCH USE ONLY. NOT FOR USE IN DIAGNOSTIC OR THERAPEUTIC PROCEDURES'.

For licensing inquiries, please contact partnerships@abcam.com