JavaScript is disabled in your browser. Please enable JavaScript to view this website.
AB204939

Anti-eIF5A antibody [4E10F6]

Be the first to review this product! Submit a review

|

(1 Publication)

Mouse Monoclonal eIF5A antibody. Suitable for Flow Cyt, WB, IHC-P and reacts with Human samples. Cited in 1 publication. Immunogen corresponding to Recombinant Full Length Protein corresponding to Human EIF5A.

View Alternative Names

Eukaryotic translation initiation factor 5A-1, eIF-5A-1, eIF-5A1, Eukaryotic initiation factor 5A isoform 1, Rev-binding factor, eIF-4D, eIF-5A, EIF5A

4 Images
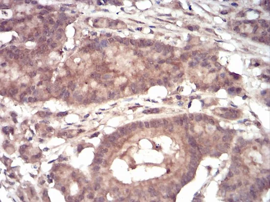
Immunohistochemistry (Formalin/PFA-fixed paraffin-embedded sections) - Anti-eIF5A antibody [4E10F6] (AB204939)
  • IHC-P

Supplier Data

Immunohistochemistry (Formalin/PFA-fixed paraffin-embedded sections) - Anti-eIF5A antibody [4E10F6] (AB204939)

Immunohistochemical analysis of paraffin-embedded Human colon cancer tissue labeling eIF5A with ab204939 at 1/200 dilution with DAB staining.

Flow Cytometry - Anti-eIF5A antibody [4E10F6] (AB204939)
  • Flow Cyt

Supplier Data

Flow Cytometry - Anti-eIF5A antibody [4E10F6] (AB204939)

Flow cytometric analysis of HeLa cells labeling eIF5A with ab204939 at 1/200 dilution (green), compared to a negative control (red).

Western blot - Anti-eIF5A antibody [4E10F6] (AB204939)
  • WB

Supplier Data

Western blot - Anti-eIF5A antibody [4E10F6] (AB204939)

Expected MWt is 42.8 kDa.

All lanes:

Western blot - Anti-eIF5A antibody [4E10F6] (ab204939) at 1/500 dilution

All lanes:

Recombinant Human eIF5A protein

Predicted band size: 16 kDa

false

Western blot - Anti-eIF5A antibody [4E10F6] (AB204939)
  • WB

Supplier Data

Western blot - Anti-eIF5A antibody [4E10F6] (AB204939)

All lanes:

Western blot - Anti-eIF5A antibody [4E10F6] (ab204939) at 1/500 dilution

Lane 1:

HEK293 cell lysate

Lane 2:

eIF5A (aa1-154)-hIgGFc transfected HEK293 cell lysate

Predicted band size: 16 kDa

false

Key facts

Host species

Mouse

Clonality

Monoclonal

Clone number

4E10F6

Isotype

IgG1

Carrier free

No

Reacts with

Human

Applications

IHC-P, WB, Flow Cyt

applications

Immunogen

Recombinant Full Length Protein corresponding to Human EIF5A.

P63241

Reactivity data

{ "title": "Reactivity Data", "filters": { "stats": ["", "Species", "Dilution Info", "Notes"], "tabs": { "all-applications": {"fullname" : "All Applications", "shortname": "All Applications"}, "FlowCyt" : {"fullname" : "Flow Cytometry", "shortname":"Flow Cyt"}, "WB" : {"fullname" : "Western blot", "shortname":"WB"}, "IHCP" : {"fullname" : "Immunohistochemistry (Formalin/PFA-fixed paraffin-embedded sections)", "shortname":"IHC-P"} }, "product-promise": { "all": "all", "testedAndGuaranteed": "tested", "guaranteed": "expected", "predicted": "predicted", "notRecommended": "not-recommended" } }, "values": { "Human": { "FlowCyt-species-checked": "testedAndGuaranteed", "FlowCyt-species-dilution-info": "1/200 - 1/400", "FlowCyt-species-notes": "<p></p>", "WB-species-checked": "testedAndGuaranteed", "WB-species-dilution-info": "1/500 - 1/2000", "WB-species-notes": "<p></p>", "IHCP-species-checked": "testedAndGuaranteed", "IHCP-species-dilution-info": "1/200 - 1/1000", "IHCP-species-notes": "<p></p>" }, "Mouse": { "FlowCyt-species-checked": "predicted", "FlowCyt-species-dilution-info": "", "FlowCyt-species-notes": "", "WB-species-checked": "predicted", "WB-species-dilution-info": "", "WB-species-notes": "", "IHCP-species-checked": "predicted", "IHCP-species-dilution-info": "", "IHCP-species-notes": "" }, "Rat": { "FlowCyt-species-checked": "predicted", "FlowCyt-species-dilution-info": "", "FlowCyt-species-notes": "", "WB-species-checked": "predicted", "WB-species-dilution-info": "", "WB-species-notes": "", "IHCP-species-checked": "predicted", "IHCP-species-dilution-info": "", "IHCP-species-notes": "" }, "Chicken": { "FlowCyt-species-checked": "predicted", "FlowCyt-species-dilution-info": "", "FlowCyt-species-notes": "", "WB-species-checked": "predicted", "WB-species-dilution-info": "", "WB-species-notes": "", "IHCP-species-checked": "predicted", "IHCP-species-dilution-info": "", "IHCP-species-notes": "" }, "Cow": { "FlowCyt-species-checked": "predicted", "FlowCyt-species-dilution-info": "", "FlowCyt-species-notes": "", "WB-species-checked": "predicted", "WB-species-dilution-info": "", "WB-species-notes": "", "IHCP-species-checked": "predicted", "IHCP-species-dilution-info": "", "IHCP-species-notes": "" }, "Rabbit": { "FlowCyt-species-checked": "predicted", "FlowCyt-species-dilution-info": "", "FlowCyt-species-notes": "", "WB-species-checked": "predicted", "WB-species-dilution-info": "", "WB-species-notes": "", "IHCP-species-checked": "predicted", "IHCP-species-dilution-info": "", "IHCP-species-notes": "" } } }

Properties and storage information

Form
Liquid
Purification technique
Affinity purification Protein G
Purification notes
Purified from tissue culture supernatant.
Storage buffer
Preservative: 0.05% Sodium azide Constituents: PBS
Shipped at conditions
Blue Ice
Appropriate short-term storage duration
1-2 weeks
Appropriate short-term storage conditions
+4°C
Appropriate long-term storage conditions
-20°C
Aliquoting information
Upon delivery aliquot
Storage information
Avoid freeze / thaw cycle

Supplementary information

This supplementary information is collated from multiple sources and compiled automatically.

EIF5A also known as eukaryotic translation initiation factor 5A is a small protein with a molecular mass of approximately 18 kDa. It plays a significant mechanical role in the translation process by facilitating the formation of the first peptide bond in protein synthesis. eIF5A is expressed ubiquitously across various tissues and is noted for being the only protein known to undergo the unique post-translational modification called hypusination which is necessary for its function.
Biological function summary

EIF5A participates in regulating translation cell proliferation and apoptosis. eIF5A functions as part of a complex involved in ribosome-associated protein synthesis supporting the elongation of polyproline-containing peptides. It helps in maintaining cellular homeostasis by modulating the translation of specific sets of mRNAs that are critical for various cellular responses.

Pathways

EIF5A's role is particularly relevant in translation elongation and mRNA turnover pathways. It interacts closely with the elongation factors eEF2 and eEF1A to promote efficient protein synthesis. In the mRNA turnover pathway eIF5A has connections with proteins such as Dcp2 and Xrn1 which play a role in the degradation of mRNA thereby influencing mRNA stability and turnover.

EIF5A is linked to cancer and neurodegenerative diseases. Alterations in its function and expression levels have been observed in several cancer types highlighting its role in tumor progression. The protein's connection to apoptosis pathways suggests its involvement in neurodegenerative disorders such as Alzheimer's disease where cell death and tissue degeneration are prevalent. eIF5A associates with proteins like Bcl-2 in cancer and Tau in neurodegeneration indicating its varied impact on disease processes.

Product protocols

For this product, it's our understanding that no specific protocols are required. You can visit:

Target data

Translation factor that promotes translation elongation and termination, particularly upon ribosome stalling at specific amino acid sequence contexts (PubMed : 33547280). Binds between the exit (E) and peptidyl (P) site of the ribosome and promotes rescue of stalled ribosome : specifically required for efficient translation of polyproline-containing peptides as well as other motifs that stall the ribosome (By similarity). Acts as a ribosome quality control (RQC) cofactor by joining the RQC complex to facilitate peptidyl transfer during CAT tailing step (By similarity). Also involved in actin dynamics and cell cycle progression, mRNA decay and probably in a pathway involved in stress response and maintenance of cell wall integrity (PubMed : 16987817). With syntenin SDCBP, functions as a regulator of p53/TP53 and p53/TP53-dependent apoptosis (PubMed : 15371445). Regulates also TNF-alpha-mediated apoptosis (PubMed : 15452064, PubMed : 17187778). Mediates effects of polyamines on neuronal process extension and survival (PubMed : 17360499). Is required for autophagy by assisting the ribosome in translating the ATG3 protein at a specific amino acid sequence, the 'ASP-ASP-Gly' motif, leading to the increase of the efficiency of ATG3 translation and facilitation of LC3B lipidation and autophagosome formation (PubMed : 29712776).. (Microbial infection) Cellular cofactor of human T-cell leukemia virus type I (HTLV-1) Rex protein and of human immunodeficiency virus type 1 (HIV-1) Rev protein, essential for mRNA export of retroviral transcripts.
See full target information EIF5A

Publications (1)

Recent publications for all applications. Explore the full list and refine your search

Science advances 11:eado7660 PubMed40238889

2025

Nuclear accumulation of YTHDF1 regulates mRNA splicing in the DNA damage response.

Applications

Unspecified application

Species

Unspecified reactive species

Jingyu Hou,Yunyi Gao,Bing Han,Sujun Yan,Saisai Wei,Xiangwei Gao
View all publications

Product promise

We are committed to supporting your work with high-quality reagents, and we're here for you every step of the way. In the unlikely event that one of our products does not perform as expected, you're protected by our Product Promise.
For full details, please see our Terms & Conditions

Please note: All products are 'FOR RESEARCH USE ONLY. NOT FOR USE IN DIAGNOSTIC OR THERAPEUTIC PROCEDURES'.

For licensing inquiries, please contact partnerships@abcam.com