JavaScript is disabled in your browser. Please enable JavaScript to view this website.
AB32407

Anti-eIF5A antibody [EP527Y]

Be the first to review this product! Submit a review

|

(7 Publications)

Rabbit Recombinant Monoclonal eIF5A antibody. Suitable for IHC-P, WB, Flow Cyt (Intra) and reacts with Human, Mouse, Rat samples. Cited in 7 publications.

View Alternative Names

Eukaryotic translation initiation factor 5A-1, eIF-5A-1, eIF-5A1, Eukaryotic initiation factor 5A isoform 1, Rev-binding factor, eIF-4D, eIF-5A, EIF5A

4 Images
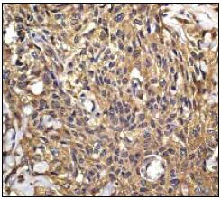
Immunohistochemistry (Formalin/PFA-fixed paraffin-embedded sections) - Anti-eIF5A antibody [EP527Y] (AB32407)
  • IHC-P

Unknown

Immunohistochemistry (Formalin/PFA-fixed paraffin-embedded sections) - Anti-eIF5A antibody [EP527Y] (AB32407)

ab32407, at a dilution of 1/250, staining eIF5A in paraffin embedded human urinary bladder carcinoma tissue sections by Immunohistochemistry.

Perform heat mediated antigen retrieval with citrate buffer pH 6 before commencing with IHC staining protocol.

Flow Cytometry (Intracellular) - Anti-eIF5A antibody [EP527Y] (AB32407)
  • Flow Cyt (Intra)

Unknown

Flow Cytometry (Intracellular) - Anti-eIF5A antibody [EP527Y] (AB32407)

Overlay histogram showing Jurkat cells stained with ab32407 (red line). The cells were fixed with 80% methanol (5 min) and then permeabilized with 0.1% PBS-Tween for 20 min. The cells were then incubated in 1x PBS / 10% normal goat serum / 0.3M glycine to block non-specific protein-protein interactions followed by the antibody (ab32407, 1/100 dilution) for 30 min at 22°C. The secondary antibody used was DyLight® 488 goat anti-rabbit IgG (H+L) (ab96899) at 1/500 dilution for 30 min at 22°C. Isotype control antibody (black line) was rabbit IgG (monclonal) (1μg/1x106 cells) used under the same conditions. Acquisition of >5,000 events was performed. This antibody gave a positive signal in Jurkat cells fixed with 4% paraformaldehyde (10 min)/permeabilized with 0.1% PBS-Tween for 20 min used under the same conditions.

Western blot - Anti-eIF5A antibody [EP527Y] (AB32407)
  • WB

Unknown

Western blot - Anti-eIF5A antibody [EP527Y] (AB32407)

All lanes:

Western blot - Anti-eIF5A antibody [EP527Y] (ab32407) at 1/1000 dilution

All lanes:

Jurkat cell lysate

Predicted band size: 16 kDa

Observed band size: 18 kDa

false

Western blot - Anti-eIF5A antibody [EP527Y] (AB32407)
  • WB

Supplier Data

Western blot - Anti-eIF5A antibody [EP527Y] (AB32407)

Blocking buffer : 5% NFDM/TBST

All lanes:

Western blot - Anti-eIF5A antibody [EP527Y] (ab32407) at 1/1000 dilution

Lane 1:

Western blot - Recombinant Human eIF5A protein (<a href='/en-us/products/proteins-peptides/recombinant-human-eif5a-protein-ab87457'>ab87457</a>) at 0.01 µg

Lane 2:

Western blot - Recombinant Human eIF5A2 protein (<a href='/en-us/products/proteins-peptides/recombinant-human-eif5a2-protein-ab99140'>ab99140</a>) at 0.01 µg

Secondary

All lanes:

Western blot - Goat Anti-Rabbit IgG H&L (HRP) (<a href='/en-us/products/secondary-antibodies/goat-rabbit-igg-h-l-hrp-ab97051'>ab97051</a>) at 1/20000 dilution

Predicted band size: 16 kDa

Observed band size: 16 kDa

true

Exposure time: 20s

  • Carrier free

    Anti-eIF5A antibody [EP527Y] - BSA and Azide free

Key facts

Host species

Rabbit

Clonality

Monoclonal

Clone number

EP527Y

Isotype

IgG

Carrier free

No

Reacts with

Human

Applications

WB, IHC-P, Flow Cyt (Intra)

applications

Immunogen

The exact immunogen used to generate this antibody is proprietary information.

Reactivity data

{ "title": "Reactivity Data", "filters": { "stats": ["", "Species", "Dilution Info", "Notes"], "tabs": { "all-applications": {"fullname" : "All Applications", "shortname": "All Applications"}, "IHCP" : {"fullname" : "Immunohistochemistry (Formalin/PFA-fixed paraffin-embedded sections)", "shortname":"IHC-P"}, "ICCIF" : {"fullname" : "Immunocytochemistry/ Immunofluorescence", "shortname":"ICC/IF"}, "IP" : {"fullname" : "Immunoprecipitation", "shortname":"IP"}, "WB" : {"fullname" : "Western blot", "shortname":"WB"}, "FlowCytIntra" : {"fullname" : "Flow Cytometry (Intracellular)", "shortname":"Flow Cyt (Intra)"} }, "product-promise": { "all": "all", "testedAndGuaranteed": "tested", "guaranteed": "expected", "predicted": "predicted", "notRecommended": "not-recommended" } }, "values": { "Human": { "IHCP-species-checked": "testedAndGuaranteed", "IHCP-species-dilution-info": "", "IHCP-species-notes": "<p></p> Perform heat-mediated antigen retrieval with citrate buffer pH 6 before commencing with IHC staining protocol.", "ICCIF-species-checked": "notRecommended", "ICCIF-species-dilution-info": "", "ICCIF-species-notes": "<p></p>", "IP-species-checked": "notRecommended", "IP-species-dilution-info": "", "IP-species-notes": "<p></p>", "WB-species-checked": "testedAndGuaranteed", "WB-species-dilution-info": "1/1000", "WB-species-notes": "<p></p>", "FlowCytIntra-species-checked": "testedAndGuaranteed", "FlowCytIntra-species-dilution-info": "1/80", "FlowCytIntra-species-notes": "<p><a href='/en-us/products/primary-antibodies/rabbit-igg-monoclonal-epr25a-isotype-control-ab172730'>ab172730</a> - Rabbit monoclonal IgG, is suitable for use as an isotype control with this antibody.</p>" }, "Mouse": { "IHCP-species-checked": "predicted", "IHCP-species-dilution-info": "", "IHCP-species-notes": "", "ICCIF-species-checked": "notRecommended", "ICCIF-species-dilution-info": "", "ICCIF-species-notes": "", "IP-species-checked": "notRecommended", "IP-species-dilution-info": "", "IP-species-notes": "", "WB-species-checked": "guaranteed", "WB-species-dilution-info": "", "WB-species-notes": "<p></p>", "FlowCytIntra-species-checked": "predicted", "FlowCytIntra-species-dilution-info": "", "FlowCytIntra-species-notes": "" }, "Rat": { "IHCP-species-checked": "predicted", "IHCP-species-dilution-info": "", "IHCP-species-notes": "", "ICCIF-species-checked": "notRecommended", "ICCIF-species-dilution-info": "", "ICCIF-species-notes": "", "IP-species-checked": "notRecommended", "IP-species-dilution-info": "", "IP-species-notes": "", "WB-species-checked": "guaranteed", "WB-species-dilution-info": "", "WB-species-notes": "<p></p>", "FlowCytIntra-species-checked": "predicted", "FlowCytIntra-species-dilution-info": "", "FlowCytIntra-species-notes": "" } } }

Product details

Patented technology
Our RabMAb® technology is a patented hybridoma-based technology for making rabbit monoclonal antibodies. For details on our patents, please refer to RabMAb® patents.

What are the advantages of a recombinant monoclonal antibody?
This product is a recombinant monoclonal antibody, which offers several advantages including:

  • - High batch-to-batch consistency and reproducibility
  • - Improved sensitivity and specificity
  • - Long-term security of supply
  • - Animal-free batch production

For more information, read more on recombinant antibodies.

Properties and storage information

Form
Liquid
Purification technique
Affinity purification Protein A
Storage buffer
pH: 7.2 - 7.4 Preservative: 0.01% Sodium azide Constituents: PBS, 50% Glycerol (glycerin, glycerine), 0.05% BSA
Shipped at conditions
Blue Ice
Appropriate short-term storage conditions
+4°C
Appropriate long-term storage conditions
-20°C
Aliquoting information
Upon delivery aliquot
Storage information
Avoid freeze / thaw cycle

Supplementary information

This supplementary information is collated from multiple sources and compiled automatically.

EIF5A also known as eukaryotic translation initiation factor 5A is a small protein with a molecular mass of approximately 18 kDa. It plays a significant mechanical role in the translation process by facilitating the formation of the first peptide bond in protein synthesis. eIF5A is expressed ubiquitously across various tissues and is noted for being the only protein known to undergo the unique post-translational modification called hypusination which is necessary for its function.
Biological function summary

EIF5A participates in regulating translation cell proliferation and apoptosis. eIF5A functions as part of a complex involved in ribosome-associated protein synthesis supporting the elongation of polyproline-containing peptides. It helps in maintaining cellular homeostasis by modulating the translation of specific sets of mRNAs that are critical for various cellular responses.

Pathways

EIF5A's role is particularly relevant in translation elongation and mRNA turnover pathways. It interacts closely with the elongation factors eEF2 and eEF1A to promote efficient protein synthesis. In the mRNA turnover pathway eIF5A has connections with proteins such as Dcp2 and Xrn1 which play a role in the degradation of mRNA thereby influencing mRNA stability and turnover.

EIF5A is linked to cancer and neurodegenerative diseases. Alterations in its function and expression levels have been observed in several cancer types highlighting its role in tumor progression. The protein's connection to apoptosis pathways suggests its involvement in neurodegenerative disorders such as Alzheimer's disease where cell death and tissue degeneration are prevalent. eIF5A associates with proteins like Bcl-2 in cancer and Tau in neurodegeneration indicating its varied impact on disease processes.

Product protocols

For this product, it's our understanding that no specific protocols are required. You can visit:

Target data

Translation factor that promotes translation elongation and termination, particularly upon ribosome stalling at specific amino acid sequence contexts (PubMed : 33547280). Binds between the exit (E) and peptidyl (P) site of the ribosome and promotes rescue of stalled ribosome : specifically required for efficient translation of polyproline-containing peptides as well as other motifs that stall the ribosome (By similarity). Acts as a ribosome quality control (RQC) cofactor by joining the RQC complex to facilitate peptidyl transfer during CAT tailing step (By similarity). Also involved in actin dynamics and cell cycle progression, mRNA decay and probably in a pathway involved in stress response and maintenance of cell wall integrity (PubMed : 16987817). With syntenin SDCBP, functions as a regulator of p53/TP53 and p53/TP53-dependent apoptosis (PubMed : 15371445). Regulates also TNF-alpha-mediated apoptosis (PubMed : 15452064, PubMed : 17187778). Mediates effects of polyamines on neuronal process extension and survival (PubMed : 17360499). Is required for autophagy by assisting the ribosome in translating the ATG3 protein at a specific amino acid sequence, the 'ASP-ASP-Gly' motif, leading to the increase of the efficiency of ATG3 translation and facilitation of LC3B lipidation and autophagosome formation (PubMed : 29712776).. (Microbial infection) Cellular cofactor of human T-cell leukemia virus type I (HTLV-1) Rex protein and of human immunodeficiency virus type 1 (HIV-1) Rev protein, essential for mRNA export of retroviral transcripts.
See full target information EIF5A

Publications (7)

Recent publications for all applications. Explore the full list and refine your search

Journal of orthopaedic surgery and research 20:412 PubMed40270004

2025

Transcription factor FOS promotes ferroptosis and inflammation in S. aureus- infected osteomyelitis via EIF5A.

Applications

Unspecified application

Species

Unspecified reactive species

Lei Gao,Zhipeng Tang,Zhijin Zhang,Dehua Wei,Jiangning Wang

Cell discovery 10:94 PubMed39251577

2024

Spermidine-eIF5A axis is essential for muscle stem cell activation via translational control.

Applications

Unspecified application

Species

Unspecified reactive species

Qianying Zhang,Wanhong Han,Rimao Wu,Shixian Deng,Jiemiao Meng,Yuanping Yang,Lili Li,Mingwei Sun,Heng Ai,Yingxi Chen,Qinyao Liu,Tian Gao,Xingchen Niu,Haixia Liu,Li Zhang,Dan Zhang,Meihong Chen,Pengbin Yin,Licheng Zhang,Peifu Tang,Dahai Zhu,Yong Zhang,Hu Li

Nature communications 13:7796 PubMed36528626

2022

Translation factor eIF5a is essential for IFNγ production and cell cycle regulation in primary CD8 T lymphocytes.

Applications

Unspecified application

Species

Unspecified reactive species

Thomas C J Tan,Van Kelly,Xiaoyan Zou,David Wright,Tony Ly,Rose Zamoyska

Nature cell biology 24:373-383 PubMed35177822

2022

YAP/TAZ drives cell proliferation and tumour growth via a polyamine-eIF5A hypusination-LSD1 axis.

Applications

Unspecified application

Species

Unspecified reactive species

Hongde Li,Bo-Kuan Wu,Mohammed Kanchwala,Jing Cai,Li Wang,Chao Xing,Yonggang Zheng,Duojia Pan

Cell reports 29:3134-3146.e6 PubMed31801078

2019

Suppression of Ribosomal Pausing by eIF5A Is Necessary to Maintain the Fidelity of Start Codon Selection.

Applications

Unspecified application

Species

Unspecified reactive species

Hema Manjunath,He Zhang,Frederick Rehfeld,Jaeil Han,Tsung-Cheng Chang,Joshua T Mendell

PloS one 10:e0122994 PubMed25874870

2015

Proteomic profiling of SupT1 cells reveal modulation of host proteins by HIV-1 Nef variants.

Applications

WB

Species

Unspecified reactive species

Reshu Saxena,Sudipti Gupta,Kavita Singh,Kalyan Mitra,Anil Kumar Tripathi,Raj Kamal Tripathi

Nature 487:244-8 PubMed22722845

2012

A tumour suppressor network relying on the polyamine-hypusine axis.

Applications

IHC, WB

Species

Unspecified reactive species, Unspecified reactive species

Claudio Scuoppo,Cornelius Miething,Lisa Lindqvist,José Reyes,Cristian Ruse,Iris Appelmann,Seungtai Yoon,Alexander Krasnitz,Julie Teruya-Feldstein,Darryl Pappin,Jerry Pelletier,Scott W Lowe
View all publications

Product promise

We are committed to supporting your work with high-quality reagents, and we're here for you every step of the way. In the unlikely event that one of our products does not perform as expected, you're protected by our Product Promise.
For full details, please see our Terms & Conditions

Please note: All products are 'FOR RESEARCH USE ONLY. NOT FOR USE IN DIAGNOSTIC OR THERAPEUTIC PROCEDURES'.

For licensing inquiries, please contact partnerships@abcam.com