JavaScript is disabled in your browser. Please enable JavaScript to view this website.
AB247255

Anti-eIF5A antibody [EP527Y] - BSA and Azide free

Be the first to review this product! Submit a review

|

(1 Publication)

Rabbit Recombinant Monoclonal eIF5A antibody. Carrier free. Suitable for IHC-P, WB, Flow Cyt (Intra) and reacts with Human, Mouse, Rat samples. Cited in 1 publication.

View Alternative Names

Eukaryotic translation initiation factor 5A-1, eIF-5A-1, eIF-5A1, Eukaryotic initiation factor 5A isoform 1, Rev-binding factor, eIF-4D, eIF-5A, EIF5A

4 Images
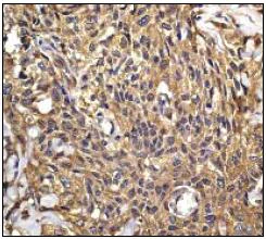
Immunohistochemistry (Formalin/PFA-fixed paraffin-embedded sections) - Anti-eIF5A antibody [EP527Y] - BSA and Azide free (AB247255)
  • IHC-P

Unknown

Immunohistochemistry (Formalin/PFA-fixed paraffin-embedded sections) - Anti-eIF5A antibody [EP527Y] - BSA and Azide free (AB247255)

This data was developed using ab32407, the same antibody clone in a different buffer formulation.

ab32407, at a dilution of 1/250, staining eIF5A in paraffin embedded human urinary bladder carcinoma tissue sections by Immunohistochemistry. Perform heat mediated antigen retrieval with citrate buffer pH 6 before commencing with IHC staining protocol.

Flow Cytometry (Intracellular) - Anti-eIF5A antibody [EP527Y] - BSA and Azide free (AB247255)
  • Flow Cyt (Intra)

Unknown

Flow Cytometry (Intracellular) - Anti-eIF5A antibody [EP527Y] - BSA and Azide free (AB247255)

This data was developed using ab32407, the same antibody clone in a different buffer formulation.

Overlay histogram showing Jurkat cells stained with ab32407 (red line). The cells were fixed with 80% methanol (5 min) and then permeabilized with 0.1% PBS-Tween for 20 min. The cells were then incubated in 1x PBS / 10% normal goat serum / 0.3M glycine to block non-specific protein-protein interactions followed by the antibody (ab32407, 1/100 dilution) for 30 min at 22°C. The secondary antibody used was DyLight® 488 goat anti-rabbit IgG (H+L) (ab96899) at 1/500 dilution for 30 min at 22°C. Isotype control antibody (black line) was rabbit IgG (monclonal) (1μg/1x106 cells) used under the same conditions. Acquisition of >5,000 events was performed. This antibody gave a positive signal in Jurkat cells fixed with 4% paraformaldehyde (10 min)/permeabilized with 0.1% PBS-Tween for 20 min used under the same conditions.

Western blot - Anti-eIF5A antibody [EP527Y] - BSA and Azide free (AB247255)
  • WB

Unknown

Western blot - Anti-eIF5A antibody [EP527Y] - BSA and Azide free (AB247255)

This data was developed using ab32407, the same antibody clone in a different buffer formulation.

All lanes:

Western blot - Anti-eIF5A antibody [EP527Y] (<a href='/en-us/products/primary-antibodies/eif5a-antibody-ep527y-ab32407'>ab32407</a>) at 1/1000 dilution

All lanes:

Jurkat cell lysate

Predicted band size: 16 kDa

Observed band size: 18 kDa

false

Western blot - Anti-eIF5A antibody [EP527Y] - BSA and Azide free (AB247255)
  • WB

Supplier Data

Western blot - Anti-eIF5A antibody [EP527Y] - BSA and Azide free (AB247255)

Blocking buffer : 5% NFDM/TBST

This data was developed using ab32407, the same antibody clone in a different buffer formulation.

All lanes:

Western blot - Anti-eIF5A antibody [EP527Y] (<a href='/en-us/products/primary-antibodies/eif5a-antibody-ep527y-ab32407'>ab32407</a>) at 1/1000 dilution

Lane 1:

Western blot - Recombinant Human eIF5A protein (<a href='/en-us/products/proteins-peptides/recombinant-human-eif5a-protein-ab87457'>ab87457</a>) at 0.01 µg

Lane 2:

Western blot - Recombinant Human eIF5A2 protein (<a href='/en-us/products/proteins-peptides/recombinant-human-eif5a2-protein-ab99140'>ab99140</a>) at 0.01 µg

Secondary

All lanes:

Western blot - Goat Anti-Rabbit IgG H&L (HRP) (<a href='/en-us/products/secondary-antibodies/goat-rabbit-igg-h-l-hrp-ab97051'>ab97051</a>) at 1/20000 dilution

Predicted band size: 16 kDa

Observed band size: 16 kDa

true

Exposure time: 20s

Key facts

Host species

Rabbit

Clonality

Monoclonal

Clone number

EP527Y

Isotype

IgG

Carrier free

Yes

Reacts with

Human

Applications

Flow Cyt (Intra), IHC-P, WB

applications

Immunogen

The exact immunogen used to generate this antibody is proprietary information.

Reactivity data

{ "title": "Reactivity Data", "filters": { "stats": ["", "Species", "Dilution Info", "Notes"], "tabs": { "all-applications": {"fullname" : "All Applications", "shortname": "All Applications"}, "IHCP" : {"fullname" : "Immunohistochemistry (Formalin/PFA-fixed paraffin-embedded sections)", "shortname":"IHC-P"}, "ICCIF" : {"fullname" : "Immunocytochemistry/ Immunofluorescence", "shortname":"ICC/IF"}, "IP" : {"fullname" : "Immunoprecipitation", "shortname":"IP"}, "WB" : {"fullname" : "Western blot", "shortname":"WB"}, "FlowCytIntra" : {"fullname" : "Flow Cytometry (Intracellular)", "shortname":"Flow Cyt (Intra)"} }, "product-promise": { "all": "all", "testedAndGuaranteed": "tested", "guaranteed": "expected", "predicted": "predicted", "notRecommended": "not-recommended" } }, "values": { "Human": { "IHCP-species-checked": "testedAndGuaranteed", "IHCP-species-dilution-info": "", "IHCP-species-notes": "<p></p> Perform heat-mediated antigen retrieval with citrate buffer pH 6 before commencing with IHC staining protocol.", "ICCIF-species-checked": "notRecommended", "ICCIF-species-dilution-info": "", "ICCIF-species-notes": "<p></p>", "IP-species-checked": "notRecommended", "IP-species-dilution-info": "", "IP-species-notes": "<p></p>", "WB-species-checked": "testedAndGuaranteed", "WB-species-dilution-info": "", "WB-species-notes": "<p></p>", "FlowCytIntra-species-checked": "testedAndGuaranteed", "FlowCytIntra-species-dilution-info": "", "FlowCytIntra-species-notes": "<p></p>" }, "Mouse": { "IHCP-species-checked": "predicted", "IHCP-species-dilution-info": "", "IHCP-species-notes": "", "ICCIF-species-checked": "notRecommended", "ICCIF-species-dilution-info": "", "ICCIF-species-notes": "", "IP-species-checked": "notRecommended", "IP-species-dilution-info": "", "IP-species-notes": "", "WB-species-checked": "guaranteed", "WB-species-dilution-info": "", "WB-species-notes": "<p></p>", "FlowCytIntra-species-checked": "predicted", "FlowCytIntra-species-dilution-info": "", "FlowCytIntra-species-notes": "" }, "Rat": { "IHCP-species-checked": "predicted", "IHCP-species-dilution-info": "", "IHCP-species-notes": "", "ICCIF-species-checked": "notRecommended", "ICCIF-species-dilution-info": "", "ICCIF-species-notes": "", "IP-species-checked": "notRecommended", "IP-species-dilution-info": "", "IP-species-notes": "", "WB-species-checked": "guaranteed", "WB-species-dilution-info": "", "WB-species-notes": "<p></p>", "FlowCytIntra-species-checked": "predicted", "FlowCytIntra-species-dilution-info": "", "FlowCytIntra-species-notes": "" } } }

Product details

ab247255 is the carrier-free version of ab32407.

Patented technology
Our RabMAb® technology is a patented hybridoma-based technology for making rabbit monoclonal antibodies. For details on our patents, please refer to RabMAb® patents.

What are the advantages of a recombinant monoclonal antibody?
This product is a recombinant monoclonal antibody, which offers several advantages including:

  • - High batch-to-batch consistency and reproducibility
  • - Improved sensitivity and specificity
  • - Long-term security of supply
  • - Animal-free batch production

For more information, read more on recombinant antibodies.

Conjugation ready
Our carrier-free antibodies are typically supplied in a PBS-only formulation, purified and free of BSA, sodium azide and glycerol. This conjugation-ready format is designed for use with fluorochromes, metal isotopes, oligonucleotides, and enzymes, which makes them ideal for antibody labelling, functional and cell-based assays, flow-based assays (e.g. mass cytometry) and Multiplex Imaging applications.

Use our conjugation kits for antibody conjugates that are ready-to-use in as little as 20 minutes with 1 minute hands-on-time and 100% antibody recovery: available for fluorescent dyes, HRP, biotin and gold.

Compatibility
This product is compatible with the Maxpar® Antibody Labeling Kit from Fluidigm, without the need for antibody preparation. Maxpar® is a trademark of Fluidigm Canada Inc.

Properties and storage information

Form
Liquid
Purification technique
Affinity purification Protein A
Storage buffer
pH: 7.2 - 7.4 Constituents: PBS
Shipped at conditions
Blue Ice
Appropriate short-term storage conditions
+4°C
Appropriate long-term storage conditions
+4°C
Storage information
Do Not Freeze

Supplementary information

This supplementary information is collated from multiple sources and compiled automatically.

EIF5A also known as eukaryotic translation initiation factor 5A is a small protein with a molecular mass of approximately 18 kDa. It plays a significant mechanical role in the translation process by facilitating the formation of the first peptide bond in protein synthesis. eIF5A is expressed ubiquitously across various tissues and is noted for being the only protein known to undergo the unique post-translational modification called hypusination which is necessary for its function.
Biological function summary

EIF5A participates in regulating translation cell proliferation and apoptosis. eIF5A functions as part of a complex involved in ribosome-associated protein synthesis supporting the elongation of polyproline-containing peptides. It helps in maintaining cellular homeostasis by modulating the translation of specific sets of mRNAs that are critical for various cellular responses.

Pathways

EIF5A's role is particularly relevant in translation elongation and mRNA turnover pathways. It interacts closely with the elongation factors eEF2 and eEF1A to promote efficient protein synthesis. In the mRNA turnover pathway eIF5A has connections with proteins such as Dcp2 and Xrn1 which play a role in the degradation of mRNA thereby influencing mRNA stability and turnover.

EIF5A is linked to cancer and neurodegenerative diseases. Alterations in its function and expression levels have been observed in several cancer types highlighting its role in tumor progression. The protein's connection to apoptosis pathways suggests its involvement in neurodegenerative disorders such as Alzheimer's disease where cell death and tissue degeneration are prevalent. eIF5A associates with proteins like Bcl-2 in cancer and Tau in neurodegeneration indicating its varied impact on disease processes.

Product protocols

For this product, it's our understanding that no specific protocols are required. You can visit:

Target data

Translation factor that promotes translation elongation and termination, particularly upon ribosome stalling at specific amino acid sequence contexts (PubMed : 33547280). Binds between the exit (E) and peptidyl (P) site of the ribosome and promotes rescue of stalled ribosome : specifically required for efficient translation of polyproline-containing peptides as well as other motifs that stall the ribosome (By similarity). Acts as a ribosome quality control (RQC) cofactor by joining the RQC complex to facilitate peptidyl transfer during CAT tailing step (By similarity). Also involved in actin dynamics and cell cycle progression, mRNA decay and probably in a pathway involved in stress response and maintenance of cell wall integrity (PubMed : 16987817). With syntenin SDCBP, functions as a regulator of p53/TP53 and p53/TP53-dependent apoptosis (PubMed : 15371445). Regulates also TNF-alpha-mediated apoptosis (PubMed : 15452064, PubMed : 17187778). Mediates effects of polyamines on neuronal process extension and survival (PubMed : 17360499). Is required for autophagy by assisting the ribosome in translating the ATG3 protein at a specific amino acid sequence, the 'ASP-ASP-Gly' motif, leading to the increase of the efficiency of ATG3 translation and facilitation of LC3B lipidation and autophagosome formation (PubMed : 29712776).. (Microbial infection) Cellular cofactor of human T-cell leukemia virus type I (HTLV-1) Rex protein and of human immunodeficiency virus type 1 (HIV-1) Rev protein, essential for mRNA export of retroviral transcripts.
See full target information EIF5A

Publications (1)

Recent publications for all applications. Explore the full list and refine your search

OncoTargets and therapy 18:1093-1105 PubMed41019790

2025

Ebp1 p48 Promotes Oncogenic Properties in Non-Small Cell Lung Cancer Through PI3K/Akt Signaling Pathways.

Applications

Unspecified application

Species

Unspecified reactive species

Lina Ma,Shuyuan Wang,Jia Zhang,Mengyuan Xin,Dongyuan Xu,Lan Liu,Xiangdan Li
View all publications

Product promise

We are committed to supporting your work with high-quality reagents, and we're here for you every step of the way. In the unlikely event that one of our products does not perform as expected, you're protected by our Product Promise.
For full details, please see our Terms & Conditions

Please note: All products are 'FOR RESEARCH USE ONLY. NOT FOR USE IN DIAGNOSTIC OR THERAPEUTIC PROCEDURES'.

For licensing inquiries, please contact partnerships@abcam.com