JavaScript is disabled in your browser. Please enable JavaScript to view this website.
AB150439

Anti-eIF5A2 + eIF5A antibody [EPR7412-50]

Be the first to review this product! Submit a review

|

(13 Publications)

Rabbit Recombinant Monoclonal eIF5A antibody. Suitable for IHC-P, WB and reacts with Human samples. Cited in 13 publications.

View Alternative Names

Eukaryotic translation initiation factor 5A-1, eIF-5A-1, eIF-5A1, Eukaryotic initiation factor 5A isoform 1, Rev-binding factor, eIF-4D, eIF-5A, EIF5A

7 Images
Immunohistochemistry (Formalin/PFA-fixed paraffin-embedded sections) - Anti-eIF5A2 + eIF5A antibody [EPR7412-50] (AB150439)
  • IHC-P

Unknown

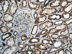
Immunohistochemistry (Formalin/PFA-fixed paraffin-embedded sections) - Anti-eIF5A2 + eIF5A antibody [EPR7412-50] (AB150439)

Immunohistochemical analysis of paraffin embedded normal Human kidney tissue using ab150439 showing +ve staining.

Perform heat mediated antigen retrieval with citrate buffer pH 6 before commencing with IHC staining protocol.

Immunohistochemistry (Formalin/PFA-fixed paraffin-embedded sections) - Anti-eIF5A2 + eIF5A antibody [EPR7412-50] (AB150439)
  • IHC-P

Unknown

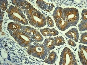
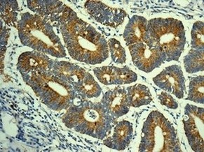
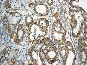
Immunohistochemistry (Formalin/PFA-fixed paraffin-embedded sections) - Anti-eIF5A2 + eIF5A antibody [EPR7412-50] (AB150439)

Immunohistochemical analysis of paraffin-embedded Human colon adenocarcinoma tissue labelling eIF5A2 + eIF5A with ab150439 at 1/100 dilution.

Perform heat mediated antigen retrieval with citrate buffer pH 6 before commencing with IHC staining protocol.

Immunohistochemistry (Formalin/PFA-fixed paraffin-embedded sections) - Anti-eIF5A2 + eIF5A antibody [EPR7412-50] (AB150439)
  • IHC-P

Unknown

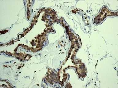
Immunohistochemistry (Formalin/PFA-fixed paraffin-embedded sections) - Anti-eIF5A2 + eIF5A antibody [EPR7412-50] (AB150439)

Immunohistochemical analysis of paraffin embedded Human Ovarian carcinoma tissue using ab150439 showing +ve staining.

Perform heat mediated antigen retrieval with citrate buffer pH 6 before commencing with IHC staining protocol.

Immunohistochemistry (Formalin/PFA-fixed paraffin-embedded sections) - Anti-eIF5A2 + eIF5A antibody [EPR7412-50] (AB150439)
  • IHC-P

Unknown

Immunohistochemistry (Formalin/PFA-fixed paraffin-embedded sections) - Anti-eIF5A2 + eIF5A antibody [EPR7412-50] (AB150439)

Immunohistochemical analysis of paraffin-embedded Human testis tissue labelling eIF5A2 + eIF5A with ab150439 at 1/100 dilution.

Perform heat mediated antigen retrieval with citrate buffer pH 6 before commencing with IHC staining protocol.

Immunohistochemistry (Formalin/PFA-fixed paraffin-embedded sections) - Anti-eIF5A2 + eIF5A antibody [EPR7412-50] (AB150439)
  • IHC-P

Unknown

Immunohistochemistry (Formalin/PFA-fixed paraffin-embedded sections) - Anti-eIF5A2 + eIF5A antibody [EPR7412-50] (AB150439)

Immunohistochemical analysis of paraffin embedded Human Breast carcinoma tissue using ab150439 showing +ve staining.

Perform heat mediated antigen retrieval with citrate buffer pH 6 before commencing with IHC staining protocol.

Western blot - Anti-eIF5A2 + eIF5A antibody [EPR7412-50] (AB150439)
  • WB

Unknown

Western blot - Anti-eIF5A2 + eIF5A antibody [EPR7412-50] (AB150439)

All lanes:

Western blot - Anti-eIF5A2 + eIF5A antibody [EPR7412-50] (ab150439) at 1/1000 dilution

Lane 1:

HepG2 cell lysate at 10 µg

Lane 2:

HeLa cell lysate at 10 µg

Lane 3:

293T cell lysate at 10 µg

Lane 4:

Raji cell lysate at 10 µg

Secondary

All lanes:

Goat anti-rabbit HRP labelled antibody at 1/2000 dilution

Predicted band size: 17 kDa

false

Western blot - Anti-eIF5A2 + eIF5A antibody [EPR7412-50] (AB150439)
  • WB

Lab

Western blot - Anti-eIF5A2 + eIF5A antibody [EPR7412-50] (AB150439)

Blocking buffer : 5% NFDM/TBST

All lanes:

Western blot - Anti-eIF5A2 + eIF5A antibody [EPR7412-50] (ab150439) at 1/1000 dilution

Lane 1:

Western blot - Recombinant Human eIF5A protein (<a href='/en-us/products/proteins-peptides/recombinant-human-eif5a-protein-ab87457'>ab87457</a>) at 0.01 µg

Lane 2:

Western blot - Recombinant Human eIF5A2 protein (<a href='/en-us/products/proteins-peptides/recombinant-human-eif5a2-protein-ab99140'>ab99140</a>) at 0.01 µg

Secondary

All lanes:

Western blot - Goat Anti-Rabbit IgG H&L (HRP) (<a href='/en-us/products/secondary-antibodies/goat-rabbit-igg-h-l-hrp-ab97051'>ab97051</a>) at 1/20000 dilution

Predicted band size: 17 kDa

Observed band size: 15 kDa,20 kDa

true

Exposure time: 7s

Key facts

Host species

Rabbit

Clonality

Monoclonal

Clone number

EPR7412-50

Isotype

IgG

Carrier free

No

Reacts with

Human

Applications

IHC-P, WB

applications

Immunogen

The exact immunogen used to generate this antibody is proprietary information.

Reactivity data

{ "title": "Reactivity Data", "filters": { "stats": ["", "Species", "Dilution Info", "Notes"], "tabs": { "all-applications": {"fullname" : "All Applications", "shortname": "All Applications"}, "IHCP" : {"fullname" : "Immunohistochemistry (Formalin/PFA-fixed paraffin-embedded sections)", "shortname":"IHC-P"}, "IP" : {"fullname" : "Immunoprecipitation", "shortname":"IP"}, "WB" : {"fullname" : "Western blot", "shortname":"WB"} }, "product-promise": { "all": "all", "testedAndGuaranteed": "tested", "guaranteed": "expected", "predicted": "predicted", "notRecommended": "not-recommended" } }, "values": { "Human": { "IHCP-species-checked": "testedAndGuaranteed", "IHCP-species-dilution-info": "1/100 - 1/250", "IHCP-species-notes": "<p></p> Perform heat-mediated antigen retrieval with citrate buffer pH 6 before commencing with IHC staining protocol.", "IP-species-checked": "notRecommended", "IP-species-dilution-info": "", "IP-species-notes": "<p></p>", "WB-species-checked": "testedAndGuaranteed", "WB-species-dilution-info": "1/1000 - 1/10000", "WB-species-notes": "<p></p>" }, "Mouse": { "IHCP-species-checked": "predicted", "IHCP-species-dilution-info": "", "IHCP-species-notes": "", "IP-species-checked": "notRecommended", "IP-species-dilution-info": "", "IP-species-notes": "", "WB-species-checked": "predicted", "WB-species-dilution-info": "", "WB-species-notes": "" }, "Rat": { "IHCP-species-checked": "predicted", "IHCP-species-dilution-info": "", "IHCP-species-notes": "", "IP-species-checked": "notRecommended", "IP-species-dilution-info": "", "IP-species-notes": "", "WB-species-checked": "predicted", "WB-species-dilution-info": "", "WB-species-notes": "" } } }

Product details

Patented technology
Our RabMAb® technology is a patented hybridoma-based technology for making rabbit monoclonal antibodies. For details on our patents, please refer to RabMAb® patents.

What are the advantages of a recombinant monoclonal antibody?
This product is a recombinant monoclonal antibody, which offers several advantages including:

  • - High batch-to-batch consistency and reproducibility
  • - Improved sensitivity and specificity
  • - Long-term security of supply
  • - Animal-free batch production

For more information, read more on recombinant antibodies.

Properties and storage information

Form
Liquid
Purification technique
Affinity purification Protein A
Storage buffer
pH: 7.2 - 7.4 Preservative: 0.01% Sodium azide Constituents: PBS, 50% Tissue culture supernatant, 40% Glycerol (glycerin, glycerine), 0.05% BSA
Shipped at conditions
Blue Ice
Appropriate short-term storage conditions
+4°C
Appropriate long-term storage conditions
-20°C

Supplementary information

This supplementary information is collated from multiple sources and compiled automatically.

EIF5A2 also known as EIF5A isoform 2 and eIF5A or EIF5A isoform 1 play important mechanical roles in protein synthesis. eIF5A2 has a molecular mass of approximately 17 kDa while eIF5A shares a similar molecular weight. Both proteins are expressed throughout different tissues with higher levels observed in certain cancers and rapidly proliferating cells. eIF5A2 is particularly expressed in various tumor tissues and cell lines whereas eIF5A is expressed more ubiquitously.
Biological function summary

These proteins facilitate the translation elongation process during protein synthesis. As part of the translation machinery they interact with ribosomes to promote the efficient synthesis of proteins. eIF5A and eIF5A2 are implicated in the hypusination pathway which activates them through a unique covalent modification. This modification is essential for their activity suggesting their critical involvement in cell growth and proliferation.

Pathways

The hypusination pathway involves these proteins undergoing a post-translational modification that activates them. eIF5A and eIF5A2 are part of the eukaryotic translational elongation pathway which enhances their functional relevance in translational regulation. Their activity links closely with other translation-related proteins such as the eukaryotic initiation factor eIF2 which controls the overall rate of protein synthesis.

EIF5A2 and eIF5A have marked associations with cancer particularly colorectal and ovarian cancers. In these conditions overexpression and dysregulation of these proteins contribute to cancer progression and metastasis. Their connection with other proteins like the tumor suppressor p53 further highlights their role in tumor biology. Changes in eIF5A activity have also been linked to neurodegenerative diseases offering potential targets for therapeutic intervention.

Product protocols

For this product, it's our understanding that no specific protocols are required. You can visit:

Target data

Translation factor that promotes translation elongation and termination, particularly upon ribosome stalling at specific amino acid sequence contexts (PubMed : 33547280). Binds between the exit (E) and peptidyl (P) site of the ribosome and promotes rescue of stalled ribosome : specifically required for efficient translation of polyproline-containing peptides as well as other motifs that stall the ribosome (By similarity). Acts as a ribosome quality control (RQC) cofactor by joining the RQC complex to facilitate peptidyl transfer during CAT tailing step (By similarity). Also involved in actin dynamics and cell cycle progression, mRNA decay and probably in a pathway involved in stress response and maintenance of cell wall integrity (PubMed : 16987817). With syntenin SDCBP, functions as a regulator of p53/TP53 and p53/TP53-dependent apoptosis (PubMed : 15371445). Regulates also TNF-alpha-mediated apoptosis (PubMed : 15452064, PubMed : 17187778). Mediates effects of polyamines on neuronal process extension and survival (PubMed : 17360499). Is required for autophagy by assisting the ribosome in translating the ATG3 protein at a specific amino acid sequence, the 'ASP-ASP-Gly' motif, leading to the increase of the efficiency of ATG3 translation and facilitation of LC3B lipidation and autophagosome formation (PubMed : 29712776).. (Microbial infection) Cellular cofactor of human T-cell leukemia virus type I (HTLV-1) Rex protein and of human immunodeficiency virus type 1 (HIV-1) Rev protein, essential for mRNA export of retroviral transcripts.
See full target information EIF5A

Additional targets

Eukaryotic translation initiation factor 5A-2

Publications (13)

Recent publications for all applications. Explore the full list and refine your search

3 Biotech 15:349 PubMed40964657

2025

EIF5A2 acts as a potential marker for prognosis and immunity in human cancers.

Applications

Unspecified application

Species

Unspecified reactive species

Xuan Zhou,Yifei Sun,Qian Yang,Hong Li,Yanxia Jiang,Fenggang Xiang,Ting Liu

Acta biochimica Polonica 69:101-111 PubMed35189053

2022

LINC00518 affects the proliferation, invasion and migration of cutaneous malignant melanoma cells via miR-526b-3p/EIF5A2 axis.

Applications

Unspecified application

Species

Unspecified reactive species

Jie Xu,Fan Zhang,Manman Lin,Yun Tong

Stem cell research & therapy 12:186 PubMed33726845

2021

EIF5A2 enhances stemness of epithelial ovarian cancer cells via a E2F1/KLF4 axis.

Applications

Unspecified application

Species

Unspecified reactive species

Kun Wang,Yiyang Wang,Yuanjian Wang,Shujie Liu,Chunyan Wang,Shuo Zhang,Tianli Zhang,Xingsheng Yang

OncoTargets and therapy 13:13159-13170 PubMed33380806

2020

Interactions Between and Modulate the Resistance of Breast Cancer Cells to Doxorubicin by Regulating .

Applications

Unspecified application

Species

Unspecified reactive species

Shuqian Wang,Mengjing Cheng,Xiaoxiao Zheng,Li Zheng,Hao Liu,Jianju Lu,Yu Liu,Wei Chen

Diagnostic pathology 15:141 PubMed33308276

2020

Circ_0003998 enhances doxorubicin resistance in hepatocellular carcinoma by regulating miR-218-5p/EIF5A2 pathway.

Applications

Unspecified application

Species

Unspecified reactive species

Xiaomin Li,Jiefeng He,Xiaojing Ren,Haichao Zhao,Haoliang Zhao

Cell cycle (Georgetown, Tex.) 19:742-757 PubMed32089066

2020

Long non-coding RNA GAS6-AS1 acts as a ceRNA for microRNA-585, thereby increasing expression and facilitating hepatocellular carcinoma oncogenicity.

Applications

Unspecified application

Species

Unspecified reactive species

Jing Ai,Junhui Sun,Guanhui Zhou,Tongyin Zhu,Li Jing

Biotechnology letters 42:927-936 PubMed32078082

2020

Altered gene expression in CHO cells following polyamine starvation.

Applications

Unspecified application

Species

Unspecified reactive species

Berta Capella Roca,Padraig Doolan,Niall Barron,Fiona O'Neill,Martin Clynes

International journal of biological sciences 16:827-837 PubMed32071552

2020

Overexpression of microRNA-9 enhances cisplatin sensitivity in hepatocellular carcinoma by regulating EIF5A2-mediated epithelial-mesenchymal transition.

Applications

Unspecified application

Species

Unspecified reactive species

Ying Bao,Yibo Zhang,Yongliang Lu,Huihui Guo,Zhaohuo Dong,Qiuqiang Chen,Xilin Zhang,Weiyun Shen,Wei Chen,Xiang Wang

Oncology letters 18:5986-5994 PubMed31788073

2019

MicroRNA-33a-5p overexpression sensitizes triple-negative breast cancer to doxorubicin by inhibiting eIF5A2 and epithelial-mesenchymal transition.

Applications

Unspecified application

Species

Unspecified reactive species

Xiaoqing Guan,Shucheng Gu,Mu Yuan,Xiangxin Zheng,Ji Wu

Experimental and therapeutic medicine 17:3741-3747 PubMed30988760

2019

Eukaryotic translation initiation factor 5A2 is highly expressed in prostate cancer and predicts poor prognosis.

Applications

Unspecified application

Species

Unspecified reactive species

Jian Lu,Hong-Wei Zhao,Yu Chen,Jin-Huan Wei,Zhen-Hua Chen,Zi-Hao Feng,Yong Huang,Wei Chen,Jun-Hang Luo,Yong Fang
View all publications

Product promise

We are committed to supporting your work with high-quality reagents, and we're here for you every step of the way. In the unlikely event that one of our products does not perform as expected, you're protected by our Product Promise.
For full details, please see our Terms & Conditions

Please note: All products are 'FOR RESEARCH USE ONLY. NOT FOR USE IN DIAGNOSTIC OR THERAPEUTIC PROCEDURES'.

For licensing inquiries, please contact partnerships@abcam.com