JavaScript is disabled in your browser. Please enable JavaScript to view this website.
AB271915

Anti-eIF5A2 + eIF5A antibody [EPR7412-50] - BSA and Azide free

Be the first to review this product! Submit a review

|

(0 Publication)

Rabbit Recombinant Monoclonal eIF5A antibody. Carrier free. Suitable for WB, IHC-P and reacts with Human samples.

View Alternative Names

Eukaryotic translation initiation factor 5A-1, eIF-5A-1, eIF-5A1, Eukaryotic initiation factor 5A isoform 1, Rev-binding factor, eIF-4D, eIF-5A, EIF5A

6 Images
Immunohistochemistry (Formalin/PFA-fixed paraffin-embedded sections) - Anti-eIF5A2 + eIF5A antibody [EPR7412-50] - BSA and Azide free (AB271915)
  • IHC-P

Unknown

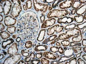
Immunohistochemistry (Formalin/PFA-fixed paraffin-embedded sections) - Anti-eIF5A2 + eIF5A antibody [EPR7412-50] - BSA and Azide free (AB271915)

Immunohistochemical analysis of paraffin embedded normal Human kidney tissue using ab150439 showing +ve staining.

Perform heat mediated antigen retrieval with citrate buffer pH 6 before commencing with IHC staining protocol.

This data was developed using the same antibody clone in a different buffer formulation (ab150439).

Immunohistochemistry (Formalin/PFA-fixed paraffin-embedded sections) - Anti-eIF5A2 + eIF5A antibody [EPR7412-50] - BSA and Azide free (AB271915)
  • IHC-P

Unknown

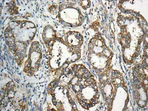
Immunohistochemistry (Formalin/PFA-fixed paraffin-embedded sections) - Anti-eIF5A2 + eIF5A antibody [EPR7412-50] - BSA and Azide free (AB271915)

Immunohistochemical analysis of paraffin-embedded Human colon adenocarcinoma tissue labelling eIF5A2 + eIF5A with ab150439 at 1/100 dilution.

Perform heat mediated antigen retrieval with citrate buffer pH 6 before commencing with IHC staining protocol.

This data was developed using the same antibody clone in a different buffer formulation (ab150439).

Immunohistochemistry (Formalin/PFA-fixed paraffin-embedded sections) - Anti-eIF5A2 + eIF5A antibody [EPR7412-50] - BSA and Azide free (AB271915)
  • IHC-P

Unknown

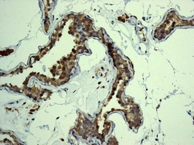
Immunohistochemistry (Formalin/PFA-fixed paraffin-embedded sections) - Anti-eIF5A2 + eIF5A antibody [EPR7412-50] - BSA and Azide free (AB271915)

Immunohistochemical analysis of paraffin embedded Human Ovarian carcinoma tissue using ab150439 showing +ve staining.

Perform heat mediated antigen retrieval with citrate buffer pH 6 before commencing with IHC staining protocol.

This data was developed using the same antibody clone in a different buffer formulation (ab150439).

Immunohistochemistry (Formalin/PFA-fixed paraffin-embedded sections) - Anti-eIF5A2 + eIF5A antibody [EPR7412-50] - BSA and Azide free (AB271915)
  • IHC-P

Unknown

Immunohistochemistry (Formalin/PFA-fixed paraffin-embedded sections) - Anti-eIF5A2 + eIF5A antibody [EPR7412-50] - BSA and Azide free (AB271915)

Immunohistochemical analysis of paraffin-embedded Human testis tissue labelling eIF5A2 + eIF5A with ab150439 at 1/100 dilution.

Perform heat mediated antigen retrieval with citrate buffer pH 6 before commencing with IHC staining protocol.

This data was developed using the same antibody clone in a different buffer formulation (ab150439).

Immunohistochemistry (Formalin/PFA-fixed paraffin-embedded sections) - Anti-eIF5A2 + eIF5A antibody [EPR7412-50] - BSA and Azide free (AB271915)
  • IHC-P

Unknown

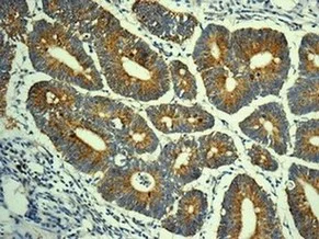
Immunohistochemistry (Formalin/PFA-fixed paraffin-embedded sections) - Anti-eIF5A2 + eIF5A antibody [EPR7412-50] - BSA and Azide free (AB271915)

Immunohistochemical analysis of paraffin embedded Human Breast carcinoma tissue using ab150439 showing +ve staining.

Perform heat mediated antigen retrieval with citrate buffer pH 6 before commencing with IHC staining protocol.

This data was developed using the same antibody clone in a different buffer formulation (ab150439).

Western blot - Anti-eIF5A2 + eIF5A antibody [EPR7412-50] - BSA and Azide free (AB271915)
  • WB

Lab

Western blot - Anti-eIF5A2 + eIF5A antibody [EPR7412-50] - BSA and Azide free (AB271915)

Blocking buffer : 5% NFDM/TBST

This data was developed using ab150439, the same antibody clone in a different buffer formulation.

All lanes:

Western blot - Anti-eIF5A2 + eIF5A antibody [EPR7412-50] (<a href='/en-us/products/primary-antibodies/eif5a2-eif5a-antibody-epr7412-50-ab150439'>ab150439</a>) at 1/1000 dilution

Lane 1:

Western blot - Recombinant Human eIF5A protein (<a href='/en-us/products/proteins-peptides/recombinant-human-eif5a-protein-ab87457'>ab87457</a>) at 0.01 µg

Lane 2:

Western blot - Recombinant Human eIF5A2 protein (<a href='/en-us/products/proteins-peptides/recombinant-human-eif5a2-protein-ab99140'>ab99140</a>) at 0.01 µg

Secondary

All lanes:

Western blot - Goat Anti-Rabbit IgG H&L (HRP) (<a href='/en-us/products/secondary-antibodies/goat-rabbit-igg-h-l-hrp-ab97051'>ab97051</a>) at 1/20000 dilution

Predicted band size: 17 kDa

Observed band size: 15 kDa,20 kDa

true

Exposure time: 7s

Key facts

Host species

Rabbit

Clonality

Monoclonal

Clone number

EPR7412-50

Isotype

IgG

Carrier free

Yes

Reacts with

Human

Applications

IHC-P, WB

applications

Immunogen

The exact immunogen used to generate this antibody is proprietary information.

Reactivity data

{ "title": "Reactivity Data", "filters": { "stats": ["", "Species", "Dilution Info", "Notes"], "tabs": { "all-applications": {"fullname" : "All Applications", "shortname": "All Applications"}, "IP" : {"fullname" : "Immunoprecipitation", "shortname":"IP"}, "WB" : {"fullname" : "Western blot", "shortname":"WB"}, "IHCP" : {"fullname" : "Immunohistochemistry (Formalin/PFA-fixed paraffin-embedded sections)", "shortname":"IHC-P"} }, "product-promise": { "all": "all", "testedAndGuaranteed": "tested", "guaranteed": "expected", "predicted": "predicted", "notRecommended": "not-recommended" } }, "values": { "Human": { "IP-species-checked": "notRecommended", "IP-species-dilution-info": "", "IP-species-notes": "<p></p>", "WB-species-checked": "testedAndGuaranteed", "WB-species-dilution-info": "", "WB-species-notes": "<p></p>", "IHCP-species-checked": "testedAndGuaranteed", "IHCP-species-dilution-info": "", "IHCP-species-notes": "<p></p>" }, "Mouse": { "IP-species-checked": "notRecommended", "IP-species-dilution-info": "", "IP-species-notes": "", "WB-species-checked": "predicted", "WB-species-dilution-info": "", "WB-species-notes": "", "IHCP-species-checked": "predicted", "IHCP-species-dilution-info": "", "IHCP-species-notes": "" }, "Rat": { "IP-species-checked": "notRecommended", "IP-species-dilution-info": "", "IP-species-notes": "", "WB-species-checked": "predicted", "WB-species-dilution-info": "", "WB-species-notes": "", "IHCP-species-checked": "predicted", "IHCP-species-dilution-info": "", "IHCP-species-notes": "" } } }

Product details

ab271915 is the carrier-free version of ab150439.

Patented technology
Our RabMAb® technology is a patented hybridoma-based technology for making rabbit monoclonal antibodies. For details on our patents, please refer to RabMAb® patents.

What are the advantages of a recombinant monoclonal antibody?
This product is a recombinant monoclonal antibody, which offers several advantages including:

  • - High batch-to-batch consistency and reproducibility
  • - Improved sensitivity and specificity
  • - Long-term security of supply
  • - Animal-free batch production

For more information, read more on recombinant antibodies.

Conjugation ready
Our carrier-free antibodies are typically supplied in a PBS-only formulation, purified and free of BSA, sodium azide and glycerol. This conjugation-ready format is designed for use with fluorochromes, metal isotopes, oligonucleotides, and enzymes, which makes them ideal for antibody labelling, functional and cell-based assays, flow-based assays (e.g. mass cytometry) and Multiplex Imaging applications.

Use our conjugation kits for antibody conjugates that are ready-to-use in as little as 20 minutes with 1 minute hands-on-time and 100% antibody recovery: available for fluorescent dyes, HRP, biotin and gold.

Compatibility
This product is compatible with the Maxpar® Antibody Labeling Kit from Fluidigm, without the need for antibody preparation. Maxpar® is a trademark of Fluidigm Canada Inc.

Properties and storage information

Form
Liquid
Purification technique
Affinity purification Protein A
Storage buffer
pH: 7.2 - 7.4 Constituents: PBS
Shipped at conditions
Blue Ice
Appropriate short-term storage conditions
+4°C
Appropriate long-term storage conditions
+4°C
Storage information
Do Not Freeze

Supplementary information

This supplementary information is collated from multiple sources and compiled automatically.

EIF5A2 also known as EIF5A isoform 2 and eIF5A or EIF5A isoform 1 play important mechanical roles in protein synthesis. eIF5A2 has a molecular mass of approximately 17 kDa while eIF5A shares a similar molecular weight. Both proteins are expressed throughout different tissues with higher levels observed in certain cancers and rapidly proliferating cells. eIF5A2 is particularly expressed in various tumor tissues and cell lines whereas eIF5A is expressed more ubiquitously.
Biological function summary

These proteins facilitate the translation elongation process during protein synthesis. As part of the translation machinery they interact with ribosomes to promote the efficient synthesis of proteins. eIF5A and eIF5A2 are implicated in the hypusination pathway which activates them through a unique covalent modification. This modification is essential for their activity suggesting their critical involvement in cell growth and proliferation.

Pathways

The hypusination pathway involves these proteins undergoing a post-translational modification that activates them. eIF5A and eIF5A2 are part of the eukaryotic translational elongation pathway which enhances their functional relevance in translational regulation. Their activity links closely with other translation-related proteins such as the eukaryotic initiation factor eIF2 which controls the overall rate of protein synthesis.

EIF5A2 and eIF5A have marked associations with cancer particularly colorectal and ovarian cancers. In these conditions overexpression and dysregulation of these proteins contribute to cancer progression and metastasis. Their connection with other proteins like the tumor suppressor p53 further highlights their role in tumor biology. Changes in eIF5A activity have also been linked to neurodegenerative diseases offering potential targets for therapeutic intervention.

Product protocols

For this product, it's our understanding that no specific protocols are required. You can visit:

Target data

Translation factor that promotes translation elongation and termination, particularly upon ribosome stalling at specific amino acid sequence contexts (PubMed : 33547280). Binds between the exit (E) and peptidyl (P) site of the ribosome and promotes rescue of stalled ribosome : specifically required for efficient translation of polyproline-containing peptides as well as other motifs that stall the ribosome (By similarity). Acts as a ribosome quality control (RQC) cofactor by joining the RQC complex to facilitate peptidyl transfer during CAT tailing step (By similarity). Also involved in actin dynamics and cell cycle progression, mRNA decay and probably in a pathway involved in stress response and maintenance of cell wall integrity (PubMed : 16987817). With syntenin SDCBP, functions as a regulator of p53/TP53 and p53/TP53-dependent apoptosis (PubMed : 15371445). Regulates also TNF-alpha-mediated apoptosis (PubMed : 15452064, PubMed : 17187778). Mediates effects of polyamines on neuronal process extension and survival (PubMed : 17360499). Is required for autophagy by assisting the ribosome in translating the ATG3 protein at a specific amino acid sequence, the 'ASP-ASP-Gly' motif, leading to the increase of the efficiency of ATG3 translation and facilitation of LC3B lipidation and autophagosome formation (PubMed : 29712776).. (Microbial infection) Cellular cofactor of human T-cell leukemia virus type I (HTLV-1) Rex protein and of human immunodeficiency virus type 1 (HIV-1) Rev protein, essential for mRNA export of retroviral transcripts.
See full target information EIF5A

Additional targets

Eukaryotic translation initiation factor 5A-2

Product promise

We are committed to supporting your work with high-quality reagents, and we're here for you every step of the way. In the unlikely event that one of our products does not perform as expected, you're protected by our Product Promise.
For full details, please see our Terms & Conditions

Please note: All products are 'FOR RESEARCH USE ONLY. NOT FOR USE IN DIAGNOSTIC OR THERAPEUTIC PROCEDURES'.

For licensing inquiries, please contact partnerships@abcam.com