JavaScript is disabled in your browser. Please enable JavaScript to view this website.
AB236135

Anti-Elafin/ESI antibody [EPR14631] - BSA and Azide free

Be the first to review this product! Submit a review

|

(1 Publication)

Rabbit Recombinant Monoclonal Elafin/ESI antibody. Carrier free. Suitable for WB, IHC-P and reacts with Human samples. Cited in 1 publication.

View Alternative Names

WAP3, WFDC14, PI3, Elafin, Elastase-specific inhibitor, Peptidase inhibitor 3, Protease inhibitor WAP3, Skin-derived antileukoproteinase, WAP four-disulfide core domain protein 14, ESI, PI-3, SKALP

5 Images
Immunohistochemistry (Formalin/PFA-fixed paraffin-embedded sections) - Anti-Elafin/ESI antibody [EPR14631] - BSA and Azide free (AB236135)
  • IHC-P

Supplier Data

Immunohistochemistry (Formalin/PFA-fixed paraffin-embedded sections) - Anti-Elafin/ESI antibody [EPR14631] - BSA and Azide free (AB236135)

Immunohistochemical analysis of paraffin-embedded Human skeletal muscle labelling Elafin/ESI with ab184972 at 1/5000 dilution (0.2 ug/ml) followed by a ready to use LeicaDS9800 (Bond™ Polymer Refine Detection. Negative control : No staining on human skeletal muscle. The section was incubated with ab184972 for 30 mins at room temperature. The immunostaining was performed on a Leica Biosystems BOND® RX instrument. Secondary antibody only control : Secondary antibody is a ready to use LeicaDS9800 (Bond™ Polymer Refine Detection. Counterstained with Hematoxylin. Heat mediated antigen retrieval was performed with Tris-EDTA buffer (pH 9.0, Epitope Retrieval Solution2) for 20 mins.

Immunohistochemistry (Formalin/PFA-fixed paraffin-embedded sections) - Anti-Elafin/ESI antibody [EPR14631] - BSA and Azide free (AB236135)
  • IHC-P

Supplier Data

Immunohistochemistry (Formalin/PFA-fixed paraffin-embedded sections) - Anti-Elafin/ESI antibody [EPR14631] - BSA and Azide free (AB236135)

This data was developed using the same antibody clone in a different buffer formulation containing PBS, BSA, glycerol, and sodium azide (ab184972).

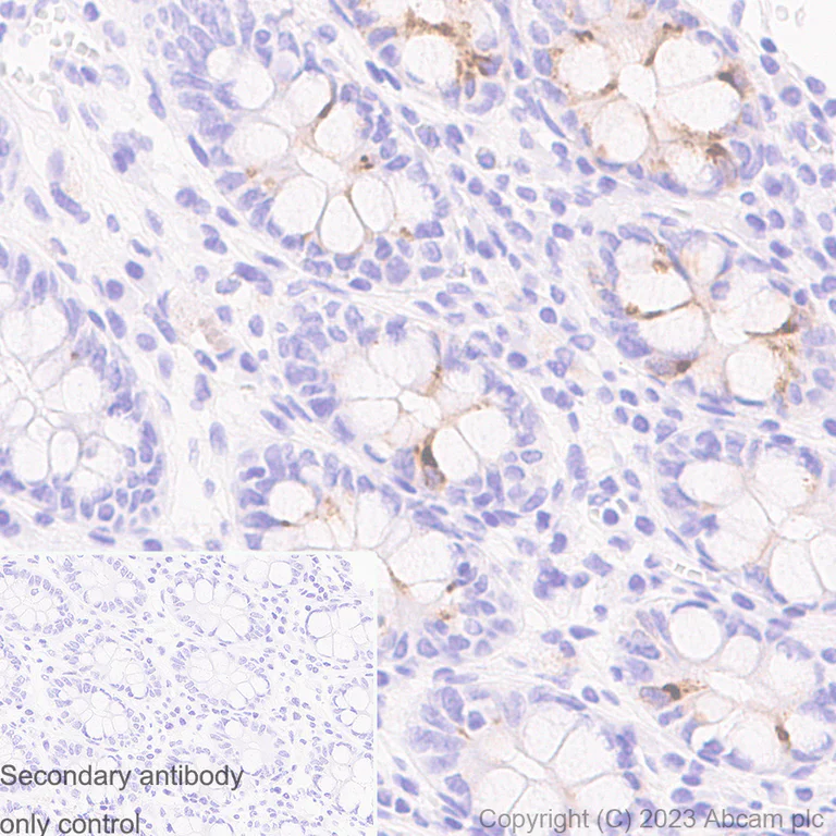
Immunohistochemical analysis of paraffin-embedded Human colon labelling Elafin/ESI with ab184972 at 1/5000 dilution (0.2 ug/ml) followed by a ready to use LeicaDS9800 (Bond™ Polymer Refine Detection). Positive staining on single cells in human colon. The section was incubated with ab184972 for 30 mins at room temperature. The immunostaining was performed on a Leica Biosystems BOND® RX instrument. Secondary antibody only control : LeicaDS9800 (Bond™ Polymer Refine Detection). Counterstained with Hematoxylin. Heat mediated antigen retrieval was performed with Tris-EDTA buffer (pH 9.0, Epitope Retrieval Solution2) for 20 mins.

Immunohistochemistry (Formalin/PFA-fixed paraffin-embedded sections) - Anti-Elafin/ESI antibody [EPR14631] - BSA and Azide free (AB236135)
  • IHC-P

Supplier Data

Immunohistochemistry (Formalin/PFA-fixed paraffin-embedded sections) - Anti-Elafin/ESI antibody [EPR14631] - BSA and Azide free (AB236135)

This data was developed using the same antibody clone in a different buffer formulation containing PBS, BSA, glycerol, and sodium azide (ab184972).

Immunohistochemical analysis of paraffin-embedded Human esophagus labelling Elafin/ESI with ab184972 at 1/5000 dilution (0.2 ug/ml) followed by a ready to use LeicaDS9800 (Bond™ Polymer Refine Detection). Positive staining on human esophagus. The section was incubated with ab184972 for 30 mins at room temperature. The immunostaining was performed on a Leica Biosystems BOND® RX instrument. Secondary antibody only control : LeicaDS9800 (Bond™ Polymer Refine Detection). Counterstained with Hematoxylin. Heat mediated antigen retrieval was performed with Tris-EDTA buffer (pH 9.0, Epitope Retrieval Solution2) for 20 mins.

Western blot - Anti-Elafin/ESI antibody [EPR14631] - BSA and Azide free (AB236135)
  • WB

Supplier Data

Western blot - Anti-Elafin/ESI antibody [EPR14631] - BSA and Azide free (AB236135)

This data was developed using the same antibody clone in a different buffer formulation containing PBS, BSA, glycerol, and sodium azide (ab184972).

All lanes:

Western blot - Anti-Elafin/ESI antibody [EPR14631] (<a href='/en-us/products/primary-antibodies/elafin-esi-antibody-epr14631-ab184972'>ab184972</a>) at 1/2000 dilution

All lanes:

A431 cell lysate at 20 µg

Secondary

All lanes:

Goat anti-rabbit IgG, (H+L), peroxidase conjugated at 1/1000 dilution

Predicted band size: 12 kDa

true

Western blot - Anti-Elafin/ESI antibody [EPR14631] - BSA and Azide free (AB236135)
  • WB

Lab

Western blot - Anti-Elafin/ESI antibody [EPR14631] - BSA and Azide free (AB236135)

This data was developed using ab184972, the same antibody clone in a different buffer formulation.

Western blot : Rabbit Monoclonal[EPR14631] to Elafin/ESI ab184972 staining at 1/1000 dilution, shown in green; Mouse anti GAPDH ab8245 loading control staining at 1/20000 dilution, shown in magenta. A band was observed at 12 kDa in Wild-type U-87 MG cell lysates with no signal observed at this size in PI3 knockout U-87 MG cell line. To generate this image, samples were run on an SDS-PAGE gel then transferred onto a nitrocellulose membrane. Membranes were blocked in 3pc Milk in TBS-0.1 % Tween® 20 (TBS-T) before incubation with primary antibodies overnight at 4 °C. Blots were washed four times in TBS-T, incubated with secondary antibodies for 1 h at room temperature, washed again four times then imaged. Secondary antibodies used were Goat anti-Rabbit HRP (H+L) and Goat anti-Mouse 680RD at 1/20,000 dilution.

All lanes:

Western blot - Anti-Elafin/ESI antibody [EPR14631] (<a href='/en-us/products/primary-antibodies/elafin-esi-antibody-epr14631-ab184972'>ab184972</a>) at 1/1000 dilution

Lane 1:

Wild-type U-87 MG at 20 µg

Lane 2:

PI3 knockout U-87 MG at 20 µg

Lane 3:

PC-3 at 20 µg

Lane 4:

MCF7 at 20 µg

Secondary

All lanes:

Goat anti-Rabbit HRP (H+L) & Goat anti-Mouse 680RD at 1/20000 dilution

Predicted band size: 12 kDa

Observed band size: 12 kDa,37 kDa

false

Key facts

Host species

Rabbit

Clonality

Monoclonal

Clone number

EPR14631

Isotype

IgG

Carrier free

Yes

Reacts with

Human

Applications

IHC-P, WB

applications

Immunogen

The exact immunogen used to generate this antibody is proprietary information.

Reactivity data

{ "title": "Reactivity Data", "filters": { "stats": ["", "Species", "Dilution Info", "Notes"], "tabs": { "all-applications": {"fullname" : "All Applications", "shortname": "All Applications"}, "WB" : {"fullname" : "Western blot", "shortname":"WB"}, "IHCP" : {"fullname" : "Immunohistochemistry (Formalin/PFA-fixed paraffin-embedded sections)", "shortname":"IHC-P"} }, "product-promise": { "all": "all", "testedAndGuaranteed": "tested", "guaranteed": "expected", "predicted": "predicted", "notRecommended": "not-recommended" } }, "values": { "Human": { "WB-species-checked": "testedAndGuaranteed", "WB-species-dilution-info": "", "WB-species-notes": "<p></p>", "IHCP-species-checked": "testedAndGuaranteed", "IHCP-species-dilution-info": "", "IHCP-species-notes": "<p></p>" }, "Mouse": { "WB-species-checked": "notRecommended", "WB-species-dilution-info": "", "WB-species-notes": "", "IHCP-species-checked": "notRecommended", "IHCP-species-dilution-info": "", "IHCP-species-notes": "<p></p>" }, "Rat": { "WB-species-checked": "notRecommended", "WB-species-dilution-info": "", "WB-species-notes": "", "IHCP-species-checked": "notRecommended", "IHCP-species-dilution-info": "", "IHCP-species-notes": "<p></p>" } } }

Product details

ab236135 is the carrier-free version of ab184972.

Patented technology
Our RabMAb® technology is a patented hybridoma-based technology for making rabbit monoclonal antibodies. For details on our patents, please refer to RabMAb® patents.

What are the advantages of a recombinant monoclonal antibody?
This product is a recombinant monoclonal antibody, which offers several advantages including:

  • - High batch-to-batch consistency and reproducibility
  • - Improved sensitivity and specificity
  • - Long-term security of supply
  • - Animal-free batch production

For more information, read more on recombinant antibodies.

Conjugation ready
Our carrier-free antibodies are typically supplied in a PBS-only formulation, purified and free of BSA, sodium azide and glycerol. This conjugation-ready format is designed for use with fluorochromes, metal isotopes, oligonucleotides, and enzymes, which makes them ideal for antibody labelling, functional and cell-based assays, flow-based assays (e.g. mass cytometry) and Multiplex Imaging applications.

Use our conjugation kits for antibody conjugates that are ready-to-use in as little as 20 minutes with 1 minute hands-on-time and 100% antibody recovery: available for fluorescent dyes, HRP, biotin and gold.

Compatibility
This product is compatible with the Maxpar® Antibody Labeling Kit from Fluidigm, without the need for antibody preparation. Maxpar® is a trademark of Fluidigm Canada Inc.

Properties and storage information

Form
Liquid
Purification technique
Affinity purification Protein A
Storage buffer
pH: 7.2 - 7.4 Constituents: PBS
Shipped at conditions
Blue Ice
Appropriate short-term storage conditions
+4°C
Appropriate long-term storage conditions
+4°C
Storage information
Do Not Freeze

Supplementary information

This supplementary information is collated from multiple sources and compiled automatically.

Elafin also known as ESI or ESI protein is a small serine protease inhibitor with a molecular mass of around 6 kDa. This protein produced by epithelial cells resides predominantly in the skin lungs and other mucosal surfaces. The Elafin protein plays an important mechanical role in inhibiting neutrophil elastase and proteinase 3. It contributes to the regulation of protease activity within tissues controlling inflammation and repair processes.
Biological function summary

Elafin interacts intimately with protease inhibitors to guard tissues against excessive proteolytic damage. It does not typically form large complexes but functions as part of the innate immune defense. This protein helps to neutralize the action of neutrophil elastase which can help maintain the integrity of connective tissue extracellular matrix. Despite its standalone function Elafin's activity serves in tandem with other inhibitors in the protease-antiprotease balance.

Pathways

Elafin integrates prominently into the proteolytic and inflammatory pathways. It functions particularly in the inflammation and immune response pathways coordinating with proteins like secretory leukocyte protease inhibitor (SLPI) and alpha-1 antitrypsin. Elafin inhibits enzymes that degrade connective tissue components. Therefore it plays an important role in modulating inflammatory responses and tissue remodeling post-injury.

Connections between Elafin and conditions such as chronic obstructive pulmonary disease (COPD) and psoriasis appear significant. These diseases relate to abnormal protease activity and chronic inflammation where Elafin's inhibitory function can be affected or diminished. Studies have shown that altered Elafin levels link with these diseases alongside proteins like neutrophil elastase and matrix metalloproteinases which contribute to tissue damage. Researchers continue to explore Elafin's therapeutic potential in managing such inflammatory conditions.

Product protocols

For this product, it's our understanding that no specific protocols are required. You can visit:

Target data

Neutrophil and pancreatic elastase-specific inhibitor of skin. It may prevent elastase-mediated tissue proteolysis. Has been shown to inhibit the alpha-4-beta-2/CHRNA2-CHRNB2 nicotinic acetylcholine receptor and to produce a weak inhibition on Kv11.1/KCNH2/ERG1 and on the transient receptor potential cation channel subfamily V member 1 (TRPV1) (PubMed : 29483648).
See full target information PI3

Publications (1)

Recent publications for all applications. Explore the full list and refine your search

Open life sciences 20:20221016 PubMed40059873

2025

SIK1 inhibits IL-1β-stimulated cartilage apoptosis and inflammation through the CRTC2/CREB1 signaling.

Applications

Unspecified application

Species

Unspecified reactive species

Mangmang Chen,Luyou Ye,Shenglei Lin
View all publications

Product promise

We are committed to supporting your work with high-quality reagents, and we're here for you every step of the way. In the unlikely event that one of our products does not perform as expected, you're protected by our Product Promise.
For full details, please see our Terms & Conditions

Please note: All products are 'FOR RESEARCH USE ONLY. NOT FOR USE IN DIAGNOSTIC OR THERAPEUTIC PROCEDURES'.

For licensing inquiries, please contact partnerships@abcam.com