JavaScript is disabled in your browser. Please enable JavaScript to view this website.
AB231120

Anti-Elastase-1 antibody

Be the first to review this product! Submit a review

|

(1 Publication)

Rabbit Polyclonal Elastase-1 antibody. Suitable for WB, IHC-P and reacts with Rat, Human samples. Cited in 1 publication. Immunogen corresponding to Recombinant Fragment Protein within Human CELA1 aa 1 to C-terminus.

View Alternative Names

ELA1, CELA1, Chymotrypsin-like elastase family member 1, Elastase-1, Pancreatic elastase 1

3 Images
Immunohistochemistry (Formalin/PFA-fixed paraffin-embedded sections) - Anti-Elastase-1 antibody (AB231120)
  • IHC-P

Supplier Data

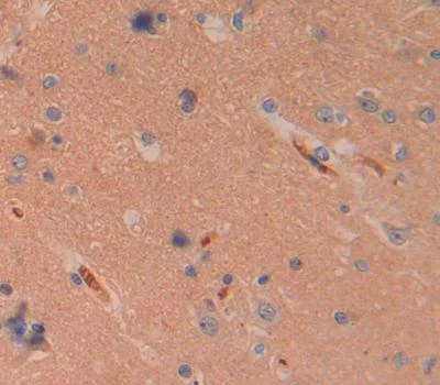
Immunohistochemistry (Formalin/PFA-fixed paraffin-embedded sections) - Anti-Elastase-1 antibody (AB231120)

Formalin-fixed, paraffin-embedded human brain tissue stained for Elastase-1 with ab231120 at 20 μg/ml in immunohistochemical analysis. DAB staining.

Western blot - Anti-Elastase-1 antibody (AB231120)
  • WB

Supplier Data

Western blot - Anti-Elastase-1 antibody (AB231120)

All lanes:

Western blot - Anti-Elastase-1 antibody (ab231120) at 2 µg/mL

All lanes:

Rat spleen lysate

Predicted band size: 28 kDa

false

Western blot - Anti-Elastase-1 antibody (AB231120)
  • WB

Supplier Data

Western blot - Anti-Elastase-1 antibody (AB231120)

All lanes:

Western blot - Anti-Elastase-1 antibody (ab231120) at 2 µg/mL

All lanes:

Recombinant human Elastase-1 protein

Predicted band size: 28 kDa

false

Key facts

Host species

Rabbit

Clonality

Polyclonal

Isotype

IgG

Carrier free

No

Reacts with

Rat, Human

Applications

IHC-P, WB

applications

Immunogen

Recombinant Fragment Protein within Human CELA1 aa 1 to C-terminus. The exact immunogen used to generate this antibody is proprietary information.

Q9UNI1

Reactivity data

{ "title": "Reactivity Data", "filters": { "stats": ["", "Species", "Dilution Info", "Notes"], "tabs": { "all-applications": {"fullname" : "All Applications", "shortname": "All Applications"}, "WB" : {"fullname" : "Western blot", "shortname":"WB"}, "IHCP" : {"fullname" : "Immunohistochemistry (Formalin/PFA-fixed paraffin-embedded sections)", "shortname":"IHC-P"} }, "product-promise": { "all": "all", "testedAndGuaranteed": "tested", "guaranteed": "expected", "predicted": "predicted", "notRecommended": "not-recommended" } }, "values": { "Human": { "WB-species-checked": "testedAndGuaranteed", "WB-species-dilution-info": "0.2-2 µg/mL", "WB-species-notes": "<p></p>", "IHCP-species-checked": "testedAndGuaranteed", "IHCP-species-dilution-info": "5-20 µg/mL", "IHCP-species-notes": "<p></p>" }, "Rat": { "WB-species-checked": "testedAndGuaranteed", "WB-species-dilution-info": "0.2-2 µg/mL", "WB-species-notes": "<p></p>", "IHCP-species-checked": "guaranteed", "IHCP-species-dilution-info": "", "IHCP-species-notes": "" }, "Cat": { "WB-species-checked": "predicted", "WB-species-dilution-info": "", "WB-species-notes": "", "IHCP-species-checked": "predicted", "IHCP-species-dilution-info": "", "IHCP-species-notes": "" }, "Cynomolgus monkey": { "WB-species-checked": "predicted", "WB-species-dilution-info": "", "WB-species-notes": "", "IHCP-species-checked": "predicted", "IHCP-species-dilution-info": "", "IHCP-species-notes": "" } } }

Properties and storage information

Form
Liquid
Purification technique
Affinity purification Immunogen
Purification notes
Antigen-specific affinity chromatography followed by Protein A affinity chromatography
Storage buffer
pH: 7.4 Preservative: 0.011% Proclin 300 Constituents: PBS, 55.77% Glycerol (glycerin, glycerine)
Shipped at conditions
Blue Ice
Appropriate short-term storage duration
1-2 weeks
Appropriate short-term storage conditions
+4°C
Appropriate long-term storage conditions
-20°C
Aliquoting information
Upon delivery aliquot
Storage information
Avoid freeze / thaw cycle

Supplementary information

This supplementary information is collated from multiple sources and compiled automatically.

Elastase-1 also known as ELA1 or pancreatic elastase functions as a serine protease. This enzyme with a molecular mass of approximately 29 kDa assists in breaking down elastin an important protein in the connective tissue. Elastase-1 primarily expresses in the pancreas and gets secreted into the duodenum where it plays an important role in digestion. Its specificity for insoluble elastin makes it distinct among proteolytic enzymes.
Biological function summary

Elastase-1 contributes significantly to digestive processes by degrading elastin and other proteins in the small intestine. This action prepares proteins for absorption into the body. Elastase-1 does not work alone; it acts as part of a complex group of pancreatic enzymes including trypsin and chymotrypsin which together facilitate complete protein digestion. These associated enzymes jointly ensure efficient breakdown of dietary components optimizing nutrient uptake.

Pathways

Elastase-1 participates in the digestion and absorption pathways of proteins. It functions alongside other digestive enzymes such as amylase and lipase which are essential in the breakdown of carbohydrates and fats. Elastase-1 has connections to pathways involved in proteolysis acting synergistically with enzymes like trypsin for effective protein digestion. These pathways highlight the cooperative nature of enzyme systems in the digestive tract.

Elastase-1 often becomes a focus in conditions such as chronic pancreatitis and cystic fibrosis. Reduced levels of elastase-1 in the stool serve as a marker for pancreatic insufficiency a condition where the pancreas fails to secrete adequate digestive enzymes. In cystic fibrosis thick mucus secretions can impede elastase-1 from reaching the duodenum exacerbating malabsorption issues. Proteins like trypsin and chymotrypsin can also be involved as impaired pancreatic enzyme excretion affects multiple enzyme systems complicating nutrient absorption and digestion.

Product protocols

For this product, it's our understanding that no specific protocols are required. You can visit:

Target data

Serine proteases that hydrolyze many proteins in addition to elastin.
See full target information CELA1

Publications (1)

Recent publications for all applications. Explore the full list and refine your search

Molecular medicine (Cambridge, Mass.) 31:253 PubMed40618046

2025

Targeting PFKFB3 to restore glucose metabolism in acute pancreatitis via nanovesicle delivery.

Applications

Unspecified application

Species

Unspecified reactive species

Hai Jiang,Zhipeng Xu,Qi Song,Junjie Tao,Jia Liu,Qiang Wang,Huaisheng Zhang,Heng Zhu,Qiliang Li,Lei Li
View all publications

Product promise

We are committed to supporting your work with high-quality reagents, and we're here for you every step of the way. In the unlikely event that one of our products does not perform as expected, you're protected by our Product Promise.
For full details, please see our Terms & Conditions

Please note: All products are 'FOR RESEARCH USE ONLY. NOT FOR USE IN DIAGNOSTIC OR THERAPEUTIC PROCEDURES'.

For licensing inquiries, please contact partnerships@abcam.com