JavaScript is disabled in your browser. Please enable JavaScript to view this website.
AB232708

Anti-Elastase 3A antibody

Be the first to review this product! Submit a review

|

(1 Publication)

Rabbit Polyclonal CEL3A antibody. Suitable for WB, IHC-P and reacts with Mouse, Human, Cow samples. Cited in 1 publication. Immunogen corresponding to Recombinant Full Length Protein corresponding to Human CELA3A.

View Alternative Names

ELA3, ELA3A, CELA3A, Chymotrypsin-like elastase family member 3A, Elastase IIIA, Elastase-3A, Protease E

4 Images
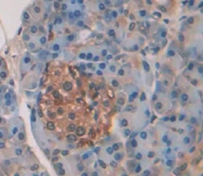
Immunohistochemistry (Formalin/PFA-fixed paraffin-embedded sections) - Anti-Elastase 3A antibody (AB232708)
  • IHC-P

Supplier Data

Immunohistochemistry (Formalin/PFA-fixed paraffin-embedded sections) - Anti-Elastase 3A antibody (AB232708)

Formalin-fixed, paraffin-embedded human pancreas tissue stained for Elastase 3A with ab232708 at 20 μg/ml in immunohistochemical analysis. DAB staining.

Western blot - Anti-Elastase 3A antibody (AB232708)
  • WB

Supplier Data

Western blot - Anti-Elastase 3A antibody (AB232708)

All lanes:

Western blot - Anti-Elastase 3A antibody (ab232708) at 2 µg/mL

All lanes:

Cow pancreas lysate

Predicted band size: 29 kDa

false

Western blot - Anti-Elastase 3A antibody (AB232708)
  • WB

Supplier Data

Western blot - Anti-Elastase 3A antibody (AB232708)

All lanes:

Western blot - Anti-Elastase 3A antibody (ab232708) at 2 µg/mL

All lanes:

Mouse pancreas lysate

Predicted band size: 29 kDa

false

Western blot - Anti-Elastase 3A antibody (AB232708)
  • WB

Supplier Data

Western blot - Anti-Elastase 3A antibody (AB232708)

All lanes:

Western blot - Anti-Elastase 3A antibody (ab232708) at 2 µg/mL

All lanes:

Recombinant human Elastase 3A protein

Predicted band size: 29 kDa

false

Key facts

Host species

Rabbit

Clonality

Polyclonal

Isotype

IgG

Carrier free

No

Reacts with

Mouse, Cow, Human

Applications

IHC-P, WB

applications

Immunogen

Recombinant Full Length Protein corresponding to Human CELA3A.

P09093

Reactivity data

{ "title": "Reactivity Data", "filters": { "stats": ["", "Species", "Dilution Info", "Notes"], "tabs": { "all-applications": {"fullname" : "All Applications", "shortname": "All Applications"}, "WB" : {"fullname" : "Western blot", "shortname":"WB"}, "IHCP" : {"fullname" : "Immunohistochemistry (Formalin/PFA-fixed paraffin-embedded sections)", "shortname":"IHC-P"} }, "product-promise": { "all": "all", "testedAndGuaranteed": "tested", "guaranteed": "expected", "predicted": "predicted", "notRecommended": "not-recommended" } }, "values": { "Human": { "WB-species-checked": "testedAndGuaranteed", "WB-species-dilution-info": "0.2-2 µg/mL", "WB-species-notes": "<p></p>", "IHCP-species-checked": "testedAndGuaranteed", "IHCP-species-dilution-info": "5-20 µg/mL", "IHCP-species-notes": "<p></p>" }, "Mouse": { "WB-species-checked": "testedAndGuaranteed", "WB-species-dilution-info": "0.2-2 µg/mL", "WB-species-notes": "<p></p>", "IHCP-species-checked": "guaranteed", "IHCP-species-dilution-info": "", "IHCP-species-notes": "" }, "Cow": { "WB-species-checked": "testedAndGuaranteed", "WB-species-dilution-info": "0.2-2 µg/mL", "WB-species-notes": "<p></p>", "IHCP-species-checked": "guaranteed", "IHCP-species-dilution-info": "", "IHCP-species-notes": "" }, "Rhesus monkey": { "WB-species-checked": "predicted", "WB-species-dilution-info": "", "WB-species-notes": "", "IHCP-species-checked": "predicted", "IHCP-species-dilution-info": "", "IHCP-species-notes": "" } } }

Properties and storage information

Form
Liquid
Purification technique
Affinity purification Immunogen
Purification notes
Antigen-specific affinity chromatography followed by Protein A affinity chromatography.
Storage buffer
pH: 7.4 Preservative: 0.02% Sodium azide Constituents: PBS, 55.77% Glycerol (glycerin, glycerine)
Shipped at conditions
Blue Ice
Appropriate short-term storage duration
1-2 weeks
Appropriate short-term storage conditions
+4°C
Appropriate long-term storage conditions
-20°C
Aliquoting information
Upon delivery aliquot
Storage information
Avoid freeze / thaw cycle

Supplementary information

This supplementary information is collated from multiple sources and compiled automatically.

Elastase 3A well-known as pancreatic elastase or ELA3A is a serine protease enzyme with a molecular mass of approximately 26 kDa. It functions by breaking down proteins performing hydrolysis of peptide bonds especially those involving the amino acids alanine glycine and serine. This protein is mainly expressed in the pancreas although traces can be found in other tissues as well. Elastase 3A is important in processes involving the degradation of elastin a major component of the extracellular matrix.
Biological function summary

Elastase 3A plays a significant role in digestive processes within the human body. It is part of a family of elastases that contribute to the breakdown of dietary proteins into smaller peptides facilitating nutrient absorption in the small intestine. Its enzymatic activities support the maintenance of the structural integrity and turnover of extracellular matrix proteins. This process is essential for tissue remodeling and repair.

Pathways

The actions of Elastase 3A integrate into digestive enzyme pathways particularly involving protein digestion where it acts alongside other proteolytic enzymes like chymotrypsin and trypsin. These enzymes work together in a coordinated manner to ensure efficient protein degradation. Elastase 3A is also involved in extracellular matrix reorganization pathways where it relates closely to proteins such as collagen and fibronectin which are targeted for degradation and reuse.

Elastase 3A has associations with conditions like pancreatitis and pulmonary emphysema. Variations or imbalances in Elastase 3A activity can contribute to these diseases as uncontrolled proteolysis may lead to tissue damage or inflammation. For instance in pancreatitis Elastase 3A activity can exacerbate tissue injury and inflammation in the pancreas. In the case of pulmonary emphysema excessive elastase activity may break down elastin in lung tissue contributing to loss of elasticity and respiratory complications.

Product protocols

For this product, it's our understanding that no specific protocols are required. You can visit:

Target data

Efficient protease with alanine specificity but only little elastolytic activity.
See full target information CELA3A

Publications (1)

Recent publications for all applications. Explore the full list and refine your search

Animals : an open access journal from MDPI 12: PubMed35405809

2022

Immunoexpression of Relaxin and Its Receptors in Stifle Joints of Dogs with Cranial Cruciate Ligament Disease.

Applications

Unspecified application

Species

Unspecified reactive species

Brunella Restucci,Mariafrancesca Sgadari,Gerardo Fatone,Giovanni Della Valle,Federica Aragosa,Chiara Caterino,Gianmarco Ferrara,Gert W Niebauer
View all publications

Product promise

We are committed to supporting your work with high-quality reagents, and we're here for you every step of the way. In the unlikely event that one of our products does not perform as expected, you're protected by our Product Promise.
For full details, please see our Terms & Conditions

Please note: All products are 'FOR RESEARCH USE ONLY. NOT FOR USE IN DIAGNOSTIC OR THERAPEUTIC PROCEDURES'.

For licensing inquiries, please contact partnerships@abcam.com