JavaScript is disabled in your browser. Please enable JavaScript to view this website.
AB216681

Anti-Elastin antibody

Be the first to review this product! Submit a review

|

(1 Publication)

Rabbit Polyclonal Elastin antibody. Suitable for IHC-P and reacts with Mouse samples. Cited in 1 publication. Immunogen corresponding to Synthetic Peptide within Cow ELN aa 100-200 conjugated to Keyhole Limpet Haemocyanin.

View Alternative Names

Elastin, Tropoelastin, Eln

1 Images
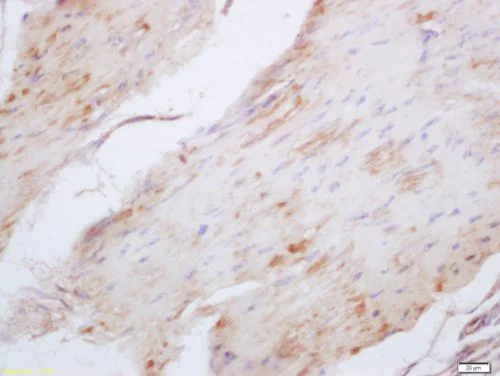
Immunohistochemistry (Formalin/PFA-fixed paraffin-embedded sections) - Anti-Elastin antibody (AB216681)
  • IHC-P

Supplier Data

Immunohistochemistry (Formalin/PFA-fixed paraffin-embedded sections) - Anti-Elastin antibody (AB216681)

Immunohistochemical analysis of formalin-fixed paraffin-embedded mouse stomach tissue, labeling Elastin using ab216681 at a 1/200 dilution, followed by conjugation to the secondary antibody and DAB staining.

Key facts

Host species

Rabbit

Clonality

Polyclonal

Isotype

IgG

Carrier free

No

Reacts with

Mouse

Applications

IHC-P

applications

Immunogen

Synthetic Peptide within Cow ELN aa 100-200 conjugated to Keyhole Limpet Haemocyanin. The exact immunogen used to generate this antibody is proprietary information.

P04985

Reactivity data

{ "title": "Reactivity Data", "filters": { "stats": ["", "Species", "Dilution Info", "Notes"], "tabs": { "all-applications": {"fullname" : "All Applications", "shortname": "All Applications"}, "IHCP" : {"fullname" : "Immunohistochemistry (Formalin/PFA-fixed paraffin-embedded sections)", "shortname":"IHC-P"} }, "product-promise": { "all": "all", "testedAndGuaranteed": "tested", "guaranteed": "expected", "predicted": "predicted", "notRecommended": "not-recommended" } }, "values": { "Human": { "IHCP-species-checked": "predicted", "IHCP-species-dilution-info": "", "IHCP-species-notes": "" }, "Mouse": { "IHCP-species-checked": "testedAndGuaranteed", "IHCP-species-dilution-info": "1/100 - 1/500", "IHCP-species-notes": "<p></p> Perform heat-mediated antigen retrieval with citrate buffer pH 6 before commencing with IHC staining protocol." }, "Rat": { "IHCP-species-checked": "predicted", "IHCP-species-dilution-info": "", "IHCP-species-notes": "" }, "Cow": { "IHCP-species-checked": "predicted", "IHCP-species-dilution-info": "", "IHCP-species-notes": "" } } }

Properties and storage information

Form
Liquid
Purification technique
Affinity purification Protein A
Storage buffer
pH: 7.4 Preservative: 0.02% Proclin 300 Constituents: 50% Glycerol (glycerin, glycerine), 48.98% TBS, 1X, 1% BSA
Shipped at conditions
Blue Ice
Appropriate short-term storage duration
1-2 weeks
Appropriate short-term storage conditions
+4°C
Appropriate long-term storage conditions
-20°C
Aliquoting information
Upon delivery aliquot
Storage information
Avoid freeze / thaw cycle

Supplementary information

This supplementary information is collated from multiple sources and compiled automatically.

Elastin also known as elastin protein is an essential component of the extracellular matrix known for imparting elasticity and resilience to tissues. With a molecular mass of approximately 60-70 kDa some scientists may also refer to it as elastin et. Elastin is expressed in elastic tissues such as the skin lungs and blood vessels. These tissues require the elastic properties provided by elastin. Additionally elastin forms the core of elastic fibers surrounded by a sheath of microfibrils.
Biological function summary

Elastin provides mechanical support and elasticity to tissues. It does so by being part of elastic fibers playing an important role in many connective tissue structures. The unique ability to stretch and return to its original shape allows tissues to resume their shape after stretching or contracting. Elastin is not part of larger protein complexes but interacts with other matrix proteins such as fibrillin to form a fibrous network required for the structural integrity of elastic tissues.

Pathways

Elastin plays an integral role in the extracellular matrix remodeling pathway which is important for maintaining tissue structure and function. It also participates in the TGF-beta signaling pathway where elastin interacts indirectly with proteins such as fibrillin-1 and fibulin. These interactions influence cellular processes like proliferation and differentiation highlighting elastin's involvement in both maintaining tissue elasticity and cell signaling.

Elastin is linked to pathologies like Williams-Beuren syndrome and cutis laxa. Williams-Beuren syndrome associated with elastin deletions leads to cardiovascular issues while cutis laxa results in reduced elasticity of the skin due to elastin mutations. In these conditions elastin interacts with proteins such as fibrillin and fibulin contributing to the observed clinical manifestations. Understanding these interactions helps in diagnosing and developing therapeutic approaches for such disorders.

Product protocols

For this product, it's our understanding that no specific protocols are required. You can visit:

Target data

Major structural protein of tissues such as aorta and nuchal ligament, which must expand rapidly and recover completely. Molecular determinant of the late arterial morphogenesis, stabilizing arterial structure by regulating proliferation and organization of vascular smooth muscle.
See full target information Elastin

Publications (1)

Recent publications for all applications. Explore the full list and refine your search

Oxidative medicine and cellular longevity 2022:3800004 PubMed36092158

2022

Bu Shen Yi Sui Capsule Promotes Myelin Repair by Modulating the Transformation of A1/A2 Reactive Astrocytes and .

Applications

Unspecified application

Species

Unspecified reactive species

Zheng Zha,Yi-Jiang Liu,Si-Si Liu,Nan Zhang,Jun-Ling Li,Fang Qi,Liang-Yun Jin,Bing Xue,Tao Yang,Yong-Ping Fan,Hui Zhao,Lei Wang
View all publications

Product promise

We are committed to supporting your work with high-quality reagents, and we're here for you every step of the way. In the unlikely event that one of our products does not perform as expected, you're protected by our Product Promise.
For full details, please see our Terms & Conditions

Please note: All products are 'FOR RESEARCH USE ONLY. NOT FOR USE IN DIAGNOSTIC OR THERAPEUTIC PROCEDURES'.

For licensing inquiries, please contact partnerships@abcam.com