JavaScript is disabled in your browser. Please enable JavaScript to view this website.
AB213720

Anti-Elastin antibody [EPR20603]

5

(2 Reviews)

|

(11 Publications)

Anti-Elastin antibody [EPR20603] (ab213720) is a rabbit monoclonal antibody detecting Elastin in Western Blot, IHC-P. Suitable for Human.

- Biophysical QC for unrivalled batch-batch consistency

View Alternative Names

Elastin, Tropoelastin, ELN

6 Images
Immunohistochemistry (Formalin/PFA-fixed paraffin-embedded sections) - Anti-Elastin antibody [EPR20603] (AB213720)
  • IHC-P

Supplier Data

Immunohistochemistry (Formalin/PFA-fixed paraffin-embedded sections) - Anti-Elastin antibody [EPR20603] (AB213720)

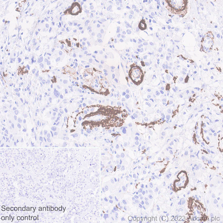
Immunohistochemical analysis of paraffin-embedded human testis tissue labeling Elastin with ab213720 at 1/2000 dilution, followed by Goat Anti-Rabbit IgG H&L (HRP) Ready to use. Positive staining on smooth muscle cells of human testis.

Counter stained with Hematoxylin.

Secondary antibody only control : Used PBS instead of primary antibody, secondary antibody is Goat Anti-Rabbit IgG H&L (HRP) Ready to use.

Perform heat mediated antigen retrieval with Tris/EDTA buffer pH 9.0 before commencing with IHC staining protocol.

Immunohistochemistry (Formalin/PFA-fixed paraffin-embedded sections) - Anti-Elastin antibody [EPR20603] (AB213720)
  • IHC-P

Supplier Data

Immunohistochemistry (Formalin/PFA-fixed paraffin-embedded sections) - Anti-Elastin antibody [EPR20603] (AB213720)

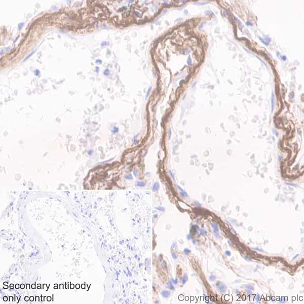
Immunohistochemical analysis of paraffin-embedded artery in human liver tissue labeling Elastin with ab213720 at 1/2000 dilution, followed by Goat Anti-Rabbit IgG H&L (HRP) Ready to use. Extracellular staining on the artery in human liver [PMID : 24461327].

Counter stained with Hematoxylin.

Secondary antibody only control : Used PBS instead of primary antibody, secondary antibody is Goat Anti-Rabbit IgG H&L (HRP) Ready to use.

Perform heat mediated antigen retrieval with Tris/EDTA buffer pH 9.0 before commencing with IHC staining protocol.

Immunohistochemistry (Formalin/PFA-fixed paraffin-embedded sections) - Anti-Elastin antibody [EPR20603] (AB213720)
  • IHC-P

Supplier Data

Immunohistochemistry (Formalin/PFA-fixed paraffin-embedded sections) - Anti-Elastin antibody [EPR20603] (AB213720)

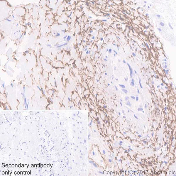
Immunohistochemical analysis of paraffin-embedded blood vessels in human lung tissue labeling Elastin with ab213720 at 1/2000 dilution, followed by Goat Anti-Rabbit IgG H&L (HRP) Ready to use. Positive staining on blood vessels in human lung [PMID : 24461327].

Counter stained with Hematoxylin.

Secondary antibody only control : Used PBS instead of primary antibody, secondary antibody is Goat Anti-Rabbit IgG H&L (HRP) Ready to use.

Perform heat mediated antigen retrieval with Tris/EDTA buffer pH 9.0 before commencing with IHC staining protocol.

Immunohistochemistry (Formalin/PFA-fixed paraffin-embedded sections) - Anti-Elastin antibody [EPR20603] (AB213720)
  • IHC-P

Lab

Immunohistochemistry (Formalin/PFA-fixed paraffin-embedded sections) - Anti-Elastin antibody [EPR20603] (AB213720)

Immunohistochemical analysis of paraffin-embedded human breast carcinoma labeling Elastin with ab213720 at 1/2000 dilution, followed by Goat Anti-Rabbit IgG H&L (HRP polymer) (ab214880) Ready to use. Positive staining on vascular smooth muscle cells of human breast carcinoma. Counter stained with Hematoxylin. Heat mediated antigen retrieval was performed using ab93684 (Tris/EDTA buffer, pH 9.0) before commencing with IHC staining protocol. The section was incubated with ab213720 at 4°C overnight.

Western blot - Anti-Elastin antibody [EPR20603] (AB213720)
  • WB

Supplier Data

Western blot - Anti-Elastin antibody [EPR20603] (AB213720)

Blocking/Dilution buffer : 5% NFDM/TBST.

All lanes:

Western blot - Anti-Elastin antibody [EPR20603] (ab213720) at 1/1000 dilution

All lanes:

Human artery lysate at 20 µg

Secondary

All lanes:

Western blot - VeriBlot for IP Detection Reagent (HRP) (<a href='/en-us/products/reagents/veriblot-for-ip-detection-reagent-hrp-ab131366'>ab131366</a>) at 1/10000 dilution

Predicted band size: 68 kDa

Observed band size: 68 kDa

false

Exposure time: 3min

Western blot - Anti-Elastin antibody [EPR20603] (AB213720)
  • WB

CiteAb

Western blot - Anti-Elastin antibody [EPR20603] (AB213720)

Elastin western blot using anti-Elastin antibody [EPR20603] ab213720. Publication image and figure legend from Ren, S., Chen, J., et al., 2019, Stem Cell Res Ther, PubMed 30704535.

ab213720 was used in this publication in western blot. This may not be the same as the application(s) guaranteed by Abcam. For a full list of applications guaranteed by Abcam for ab213720 please see the product overview.

Effect of ASC-MV treatment on gene expression in all three kinds of cells. qRT-PCR analysis of a cluster of gene expression in cells treated with either PBS or 20 μg/ml ASC-MVs. a Upregulated genes in HUVECs. c Upregulated genes in HaCAT. e Upregulated genes in fibroblasts. Western blot analysis of gene expression in cells given above treatments. b Upregulated genes in HUVECs. d HaCAT. f Fibroblasts. GAPDH served as an internal control. N = 3. *p < 0.05, **p < 0.01, ***p < 0.001, ****p < 0.0001

false

  • Carrier free

    Anti-Elastin antibody [EPR20603] - BSA and Azide free

  • 660 APC

    APC Anti-Elastin antibody [EPR20603]

  • 665 Alexa Fluor® 647

    Alexa Fluor® 647 Anti-Elastin antibody [EPR20603]

  • 578 PE

    PE Anti-Elastin antibody [EPR20603]

  • 519 Alexa Fluor® 488

    Alexa Fluor® 488 Anti-Elastin antibody [EPR20603]

  • 617 Alexa Fluor® 594

    Alexa Fluor® 594 Anti-Elastin antibody [EPR20603]

  • 565 Alexa Fluor® 555

    Alexa Fluor® 555 Anti-Elastin antibody [EPR20603]

  • 775 Alexa Fluor® 750

    Alexa Fluor® 750 Anti-Elastin antibody [EPR20603]

Key facts

Host species

Rabbit

Clonality

Monoclonal

Clone number

EPR20603

Isotype

IgG

Carrier free

No

Reacts with

Human

Applications

IHC-P, WB

applications

Immunogen

The exact immunogen used to generate this antibody is proprietary information.

Reactivity data

{ "title": "Reactivity Data", "filters": { "stats": ["", "Species", "Dilution Info", "Notes"], "tabs": { "all-applications": {"fullname" : "All Applications", "shortname": "All Applications"}, "WB" : {"fullname" : "Western blot", "shortname":"WB"}, "IHCP" : {"fullname" : "Immunohistochemistry (Formalin/PFA-fixed paraffin-embedded sections)", "shortname":"IHC-P"} }, "product-promise": { "all": "all", "testedAndGuaranteed": "tested", "guaranteed": "expected", "predicted": "predicted", "notRecommended": "not-recommended" } }, "values": { "Human": { "WB-species-checked": "testedAndGuaranteed", "WB-species-dilution-info": "1/1000", "WB-species-notes": "<p></p>", "IHCP-species-checked": "testedAndGuaranteed", "IHCP-species-dilution-info": "1/2000", "IHCP-species-notes": "<p>When using the Leica Bond system, heat-mediated antigen retrieval (Tris-EDTA buffer, pH 9.0, Epitope Retrieval Solution 2) may not yield a detectable signal.<br>Customer feedback indicates that enzyme-based retrieval can produce positive results on the Leica Bond system. If no signal is observed, consider enzyme retrieval or the manual method as alternatives.</p> Perform heat-mediated antigen retrieval with Tris/EDTA buffer pH 9.0 before commencing with IHC staining protocol." } } }

Product details

What is this antibody validated in?
Anti-Elastin antibody [EPR20603] (ab213720) is a rabbit recombinant monoclonal antibody and is validated for use in Western Blot (WB), Immunohistochemistry (IHC-P) in Human samples.

What is the molecular weight of Elastin?
Anti-Elastin [EPR20603] (ab213720) specifically detects a band for Elastin (UniProt: P15502) at a molecular weight of 68kDa.

Trial sizes available!
Test your antibody or perform pre-screening before committing to a larger quantity. Sold in 10µl. Discover our selection of trial-size antibodies.

Other related products
We have a range of other formats of antibody clone [EPR20603] also available for your convenience: ab213720, Carrier free - ab238981, PE - ab318355, APC - ab318458, Alexa Fluor® 488 - ab318561, Alexa Fluor® 647 - ab318664, Alexa Fluor® 594 - ab318767, Alexa Fluor® 555 - ab318867, Alexa Fluor® 750 - ab321375

Patented technology
Our RabMAb® technology is a patented hybridoma-based technology for making rabbit monoclonal antibodies. For details on our patents, please refer to RabMAb® patents.

What are the advantages of a recombinant monoclonal antibody?
This product is a recombinant monoclonal antibody, which offers several advantages including:

  • - High batch-to-batch consistency and reproducibility
  • - Improved sensitivity and specificity
  • - Long-term security of supply
  • - Animal-free batch production

For more information, read more on recombinant antibodies.

Properties and storage information

Form
Liquid
Purification technique
Affinity purification Protein A
Storage buffer
pH: 7.2 - 7.4 Preservative: 0.01% Sodium azide Constituents: PBS, 40% Glycerol (glycerin, glycerine), 0.05% BSA
Shipped at conditions
Blue Ice
Appropriate short-term storage duration
1-2 weeks
Appropriate short-term storage conditions
+4°C
Appropriate long-term storage conditions
-20°C
Aliquoting information
Upon delivery aliquot
Storage information
Avoid freeze / thaw cycle

Supplementary information

This supplementary information is collated from multiple sources and compiled automatically.

Elastin also known as elastin protein is an essential component of the extracellular matrix known for imparting elasticity and resilience to tissues. With a molecular mass of approximately 60-70 kDa some scientists may also refer to it as elastin et. Elastin is expressed in elastic tissues such as the skin lungs and blood vessels. These tissues require the elastic properties provided by elastin. Additionally elastin forms the core of elastic fibers surrounded by a sheath of microfibrils.
Biological function summary

Elastin provides mechanical support and elasticity to tissues. It does so by being part of elastic fibers playing an important role in many connective tissue structures. The unique ability to stretch and return to its original shape allows tissues to resume their shape after stretching or contracting. Elastin is not part of larger protein complexes but interacts with other matrix proteins such as fibrillin to form a fibrous network required for the structural integrity of elastic tissues.

Pathways

Elastin plays an integral role in the extracellular matrix remodeling pathway which is important for maintaining tissue structure and function. It also participates in the TGF-beta signaling pathway where elastin interacts indirectly with proteins such as fibrillin-1 and fibulin. These interactions influence cellular processes like proliferation and differentiation highlighting elastin's involvement in both maintaining tissue elasticity and cell signaling.

Elastin is linked to pathologies like Williams-Beuren syndrome and cutis laxa. Williams-Beuren syndrome associated with elastin deletions leads to cardiovascular issues while cutis laxa results in reduced elasticity of the skin due to elastin mutations. In these conditions elastin interacts with proteins such as fibrillin and fibulin contributing to the observed clinical manifestations. Understanding these interactions helps in diagnosing and developing therapeutic approaches for such disorders.

Product protocols

For this product, it's our understanding that no specific protocols are required. You can visit:

Target data

Major structural protein of tissues such as aorta and nuchal ligament, which must expand rapidly and recover completely. Molecular determinant of the late arterial morphogenesis, stabilizing arterial structure by regulating proliferation and organization of vascular smooth muscle (By similarity).
See full target information ELN

Publications (11)

Recent publications for all applications. Explore the full list and refine your search

eLife 12: PubMed41025959

2025

Matrix-associated extracellular vesicles modulate human smooth muscle cell adhesion and directionality by presenting collagen VI.

Applications

Unspecified application

Species

Unspecified reactive species

Alexander N Kapustin,Sofia Serena Tsakali,Meredith Whitehead,George Chennell,Meng-Ying Wu,Chris Molenaar,Anton Kutikhin,Yimeng Chen,Sadia Ahmad,Leo Bogdanov,Maxim Sinitsky,Kseniya Rubina,Aled Clayton,Frederik J Verweij,Dirk Michiel Pegtel,Simona Zingaro,Arseniy Lobov,Bozhana Zainullina,Dylan Owen,Maddy Parsons,Richard E Cheney,Derek T Warren,Martin James Humphries,Thomas Iskratsch,Mark Holt,Catherine M Shanahan

Cellular and molecular life sciences : CMLS 82:192 PubMed40323446

2025

Fibulin-1 deficiency alleviates liver fibrosis by inhibiting hepatic stellate cell activation via the p38 MAPK pathway.

Applications

Unspecified application

Species

Unspecified reactive species

Wenshan Zhao,Jingyu Zhang,Qingdong Guo,Qi Wang,Hong Zhao,Fan Xiao,Ming Han,Ying Cao,Rui Ding,Aiting Yang,Wen Xie

Frontiers in physiology 15:1488152 PubMed39882327

2025

Chronic fetal hypoxia and antenatal Vitamin C exposure differentially regulate molecular signalling in the lung of female lambs in early adulthood.

Applications

Unspecified application

Species

Unspecified reactive species

Erin V McGillick,Sandra Orgeig,Beth J Allison,Kirsty L Brain,Melanie R Bertossa,Stacey L Holman,Ashley S Meakin,Michael D Wiese,Youguo Niu,Nozomi Itani,Katie L Skeffington,Christian Beck,Kimberly J Botting-Lawford,Janna L Morrison,Dino A Giussani

iScience 27:109585 PubMed38623327

2024

Craniofacial chondrogenesis in organoids from human stem cell-derived neural crest cells.

Applications

Unspecified application

Species

Unspecified reactive species

Lauren Foltz,Nagashree Avabhrath,Jean-Marc Lanchy,Tyler Levy,Anthony Possemato,Majd Ariss,Bradley Peterson,Mark Grimes

Human reproduction (Oxford, England) 38:444-458 PubMed36721914

2023

Spatio-temporal remodelling of the composition and architecture of the human ovarian cortical extracellular matrix during in vitro culture.

Applications

Unspecified application

Species

Unspecified reactive species

Johanne Grosbois,Emily C Bailie,Tom W Kelsey,Richard A Anderson,Evelyn E Telfer

Frontiers in genetics 13:1059640 PubMed36518217

2022

Identification and characterization of novel elastin gene mutations in eleven families with supravalvular aortic stenosis.

Applications

Unspecified application

Species

Unspecified reactive species

Jianrong Zhou,Yueheng Wu,Xiaoli Xu,Yong Zhang,Xiong Zhang,Haisheng Chen,Jian Zhuang,Jimei Chen,Yun Teng

Frontiers in bioengineering and biotechnology 10:865545 PubMed35845393

2022

Effect of Decellularized Extracellular Matrix Bioscaffolds Derived from Fibroblasts on Skin Wound Healing and Remodeling.

Applications

Unspecified application

Species

Unspecified reactive species

Hyo-Sung Kim,Hyun-Jeong Hwang,Han-Jun Kim,Yeji Choi,Daehyung Lee,Hong-Hee Jung,Sun Hee Do

Frontiers in cell and developmental biology 10:770550 PubMed35300428

2022

An Aging-Related Gene Signature-Based Model for Risk Stratification and Prognosis Prediction in Lung Squamous Carcinoma.

Applications

Unspecified application

Species

Unspecified reactive species

Wen-Yu Zhai,Fang-Fang Duan,Si Chen,Jun-Ye Wang,Ze-Rui Zhao,Yi-Zhi Wang,Bing-Yu Rao,Yao-Bin Lin,Hao Long

Molecules and cells 45:122-133 PubMed34887365

2021

LncRNA H19 Drives Proliferation of Cardiac Fibroblasts and Collagen Production via Suppression of the miR-29a-3p/miR-29b-3p-VEGFA/TGF-β Axis.

Applications

Unspecified application

Species

Unspecified reactive species

Feng Guo,Chengchun Tang,Bo Huang,Lifei Gu,Jun Zhou,Zongyang Mo,Chang Liu,Yuqing Liu

Human reproduction (Oxford, England) 35:1391-1410 PubMed32539154

2020

Spatiotemporal changes in mechanical matrisome components of the human ovary from prepuberty to menopause.

Applications

Unspecified application

Species

Unspecified reactive species

E Ouni,C Bouzin,M M Dolmans,E Marbaix,S Pyr Dit Ruys,D Vertommen,C A Amorim
View all publications

Product promise

We are committed to supporting your work with high-quality reagents, and we're here for you every step of the way. In the unlikely event that one of our products does not perform as expected, you're protected by our Product Promise.
For full details, please see our Terms & Conditions

Please note: All products are 'FOR RESEARCH USE ONLY. NOT FOR USE IN DIAGNOSTIC OR THERAPEUTIC PROCEDURES'.

For licensing inquiries, please contact partnerships@abcam.com